Submit manuscript...
Journal of
eISSN: 2574-9943

Dermatology & Cosmetology

Case Report Volume 8 Issue 3

Complete pachydermoperiostosis (Touraine–Solente–Gole Syndrome) in a young Yemeni man

Mohammad Ali Alshami,1 Ahlam Mohammad Alshami,2 Hadeel Mohammad Alshami1

1Dermatology Department, Faculty of Medicine and Health Sciences, Sana’a University, Sana’a,Yemen
2Department of Conservative Dentistry, Faculty of Dentistry, Sana’a University, Sana’a,Yemen

Correspondence: Mohammad Ali Alshami, Dermatology Department, Faculty of Medicine and Health Sciences, Sana’a University, Sana’a,Yemen, Tel +967-733760082

Received: August 24, 2024 | Published: September 10, 2024

Citation: Alshamia MA, Alshami AM, Alshami HM. Complete pachydermoperiostosis (Touraine–Solente–Gole Syndrome) in a young Yemeni man. J Dermat Cosmetol. 2024;8(3):83-85. DOI: 10.15406/jdc.2024.08.00272

Download PDF

Abstract

Pachydermoperiostosis (PDP) is a rare genodermatosis, caused by pathogenic variants in the 15-hydroxyprostaglandin dehydrogenase (HPGD) or Solute Carrier Organic Anion Transporter Family Member 2A1 (SLCO2A1) genes, affecting the skin and bones. It is frequently misdiagnosed as acromegaly due to its presentation, which includes digital clubbing, bone thickening, and deep skin creases on the forehead. We report the first Yemeni case of PDP in a 22-year-old man who displayed classic features: digital clubbing, pachydermia (thickening of the skin) with furrowing on the forehead and scalp, bone thickening (hyperostosis) of the fingers, toes, radius, ulna, tibia, and fibula, as well as hyperhidrosis and seborrhea. Although acromegaly was initially considered, the absence of other typical features led to a final diagnosis of PDP. PDP should be considered in patients presenting with acromegaloid features.

Keywords: pachydermoperiostosis, hydroxyprostaglandin dehydrogenase, acromegaly, touraine–solente–gole syndrome, primary hypertrophic osteoarthropathy, cox-2 inhibitors, Yemen

Abbreviations

COX, cyclooxygenase; HPGD, hydroxyprostaglandin dehydrogenase; PDP, pachydermoperiostosis; PGE2, prostaglandin E2; PHO, primary hypertrophic osteoarthropathy; SLCO2A1, solute carrier organic anion transporter family member 2A1

Introduction

Pachydermoperiostosis (PDP), also known as Touraine–Solente–Gole Syndrome, Primary Hypertrophic Osteoarthropathy (PHO), and Rosenthal–Koepfer syndrome, is a rare genodermatosis characterized by thickening of the skin (pachydermia) and bones (hyperostosis). Patients typically present with digital clubbing, bone thickening, and deep forehead skin creases, which closely resemble acromegaly.1 First described by Friedreich in 1868, the condition was later named by Touraine, Solente, and Gole as the primary form of hypertrophic osteoarthropathy.2 The disorder predominantly affects males (7:1 ratio) and can be inherited in both autosomal dominant and recessive patterns.1 It is associated with pathogenic variants in the HPGD or SLCO2A1 genes, leading to reduced catabolism of prostaglandin E2 (PGE2) and elevated levels of PGE2.1

Case report

A 22-year-old man presented to our clinic with increased sweating in his hands, and feet which began at the age of 17 years. He is the third of five male siblings, with the exception of the fifth sibling, who did not have similar symptoms. The second and fourth siblings also showed similar, albeit milder, symptoms, while the first and fifth siblings were free of similar symptoms.

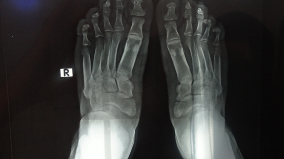
On cutaneous examination, the patient had thickened and moist fingers and toes, digital clubbing, and deep creases on the forehead and scalp (Figures 16). Initially, acromegaly was considered; however, the absence of facial features such as an enlarged nose, chin, and tongue made this diagnosis unlikely. Radiographic imaging of the hands and feet showed periostosis of the fingers and toes, confirming pachydermoperiostosis (PDP).

Figure 1 Deep furrowing, and creases of the forehead.

Figure 2 Dorsal view of both hands, showing plump, thick, wet, and clubbed fingers.

Figure 3 Palmar view of the hands, showing wet, thick, plump, and clubbed fingers.

Figure 4 Hand X-ray revealing hyperostosis of all fingers, radius, and ulna.

Figure 5 Lateral view of the feet, showing hyperhidrosis, clubbing of the toes, and swelling of the ankles (column-like legs).

Figure 6 Foot X-ray revealing periostosis of the toes, tibia, and fibula.

Initially, acromegaly was considered a working diagnosis. However, the early onset during puberty, association with hyperhidrosis, seborrhea, cutis vertices gyrata, positive family history, and the absence of coarse facial features such as a large nose and chin made acromegaly unsuitable. Given the characteristic clinical and radiological findings, along with the positive family history, a diagnosis of complete pachydermoperiostosis was established. The patient was prescribed etoricoxib 60mg daily, a COX-2 inhibitor, which was proven efficacious in several reports, with a good response, seen in a follow up visit, in two months.

Discussion

Pachydermoperiostosis (PDP), also known as Touraine–Solente–Gole Syndrome, primary hypertrophic osteoarthropathy (PHO), and Rosenthal–Koepfer syndrome, is a rare genodermatosis characterized by thickening of the skin (pachydermia) and bones (periostosis).1 Clinically, three subtypes are recognized: (i) complete, with both pachydermia and hyperostosis; (ii) incomplete, with hyperostosis but only mild pachydermia; and (iii) fruste, with pachydermia but minimal hyperostosis.3 Genetically, three forms are defined based on inheritance patterns and the gene harboring the pathogenic variant: (i) autosomal recessive type 1, caused by variations in HPGD; (ii) autosomal recessive type 2, caused by variations in SLCO2A1; and (iii) autosomal dominant, caused by variations in SLCO2A1.3

The proposed diagnostic criteria include four major groups: family history, finger clubbing, pachydermia, and periostosis. Additionally, 11 minor criteria are considered: seborrhea, folliculitis, hyperhidrosis, arthritis or arthralgia, column-like legs, gastric ulcer and/or gastritis, neurovegetative syndrome (flushing, blanching), edema, joint effusion, blepharoptosis, and cutis verticis gyrata (Table 1).4

Major

Minor

1. Clubbing of digits

1.Hyperhidrosis

2. Periostosis

2. Arthralgia

3. Pachydermia

3. Gastric ulcer

4. Family history

4. Cutis verticis gyrata

 

5. Blepharoptosis

 

6. Joint effusion

 

7. Column-like legs

 

8. Edema

 

9. Seborrhea

 

10. Acne

 

11. Flushing

Table 1 Diagnostic criteria for PDP

HPGD is involved in the degradation of prostaglandin E2 (PGE2), while SLCO2A1 facilitates its transport into the mitochondria. Deficiencies in these processes result in elevated plasma PGE2 levels.3 Both urinary and plasma PGE2 levels are increased in affected individuals, highlighting its role in the pathology of the disease. COX-2, a key enzyme in PGE2 synthesis, is a potential target for PDP treatment. However, caution is needed to manage the renal and gastrointestinal side effects associated with COX-2 inhibitors.3

Our case was successfully treated with oral etoricoxib 60mg/d, seen after 60 days of treatment. The present case highlights the importance of considering PDP, in a case of acromegaly features.

Acknowledgments

None.

Conflicts of interest

The authors declare no conflict of interest.

Funding

None.

References

Creative Commons Attribution License

©2024 Alshamia, et al. This is an open access article distributed under the terms of the, which permits unrestricted use, distribution, and build upon your work non-commercially.