Case Report Volume 9 Issue 3
1Dermatology Department, Faculty of Medicine and Health Sciences, Sana’a University, Sana’a,Yemen
2Department of Conservative Dentistry, Faculty of Dentistry, Sana’a University, Sana’a,Yemen
Correspondence: Mohammad Ali Alshami, Dermatology Department, Faculty of Medicine and Health Sciences, Sana’a University, Sana’a,Yemen, Tel 00967733760082
Received: July 17, 2025 | Published: July 28, 2025
Citation: Alshami MA, Al-shami AM, Alshami HM. Langerhans cell histiocytosis in a four-month-old male infant. J Dermat Cosmetol. 2025;9(3):74-79. DOI: 10.15406/jdc.2025.09.00295
Langerhans cell histiocytosis (LCH), a condition that mainly affects the skin and bones, is a rare disorder caused by the accumulation of histiocytes in different tissues. The resultant cutaneous lesions can be highly variable in appearance, potentially leading to misdiagnosis as other common dermatoses. In this report, we describe the case of a 4-month-old boy who presented with a generalized vesiculopustular itchy skin rash that had persisted for 3 months. In addition, the patient had a wide spectrum of cutaneous lesions, the pattern of which, to the best of our knowledge, has not been previously reported in the literature for LCH. On the basis of the typical clinical findings, the patient was ultimately diagnosed with LCH. This case highlights the importance of considering LCH in the differential diagnosis, even during the neonatal period, and of distinguishing this condition from other common neonatal dermatoses.
Keywords: dermatology, pediatric dermatosis, histiocyte, cutaneous lesion, langerhans cells
LCH, Langerhans cell histiocytosis
Langerhans cell histiocytosis (LCH) is a rare disorder caused by the accumulation of Langerhans histiocytes in different tissues.1 Although primarily affecting the skin and bones, other organs may be involved to a lesser extent. The estimated incidence is 1 to 2 cases per million per year in adults and 2 to 9 per million per year in children.2 Although individuals of all ages and both sexes can be affected, the peak incidence occurs in children between 1 and 3 years, with a preponderance among white males. The extent of LCH can be divided into two major categories, single-system and multisystem. “Single-system” LCH (typically in older children and adults), involves a single organs/system, which, depending on the number of sites involved, can be further subdivided into unifocal and multifocal. “Multisystem” LCH (typically in children aged < 2 years), is characterized by the involvement of two or more organs, with or without involvement/dysfunction of “risk organs” (hematopoietic system, liver, and/or spleen).2 In pediatric cases, the most frequently affected sites are bones (80%), followed by skin (40%) and the lymphatic ganglia.3
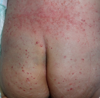
A 4-month-old boy presented with a generalized vesiculopustular itchy skin rash that had persisted for 3 months (Figure 1a - Figure 1d). In addition, the patient was characterized with a wide spectrum of cutaneous lesions, occurring concurrently in novel patterns (Figure 2a - Figure 2d). Moreover, the boy’s body temperature was elevated, but not indicative of serious illness. Given the observation of generalized vesicular lesions on the palms, soles (Figure 2a), and scalp, the initial provisional diagnosis was varicella (Figure 1d). However, the relatively long duration of symptoms (3 months) rendered this diagnosis less likely. Given the typical light-colored pearly appearance of the umbilicated papules over the patient’s face and trunk (Figure 1c, Figure 2b), molluscum contagiosum was also considered. Molluscum contagiosum was ruled out by the mosaic pattern of other cutaneous lesions, particularly the pink, purpuric papules on his lower abdomen and buttocks (Figure 1b, Figure 1c). The yellow-crusted lesions on the patient’s scalp (Figure 2c, Figure 2d) and the macerated plaques on his groin and neck (Figure 1b) suggested cradle cap, their association with the other skin lesions made this less likely. Blueberry muffin nevus was included in the differential diagnosis, due to the purpuric papules on the lower abdomen and buttocks (Figure 1b, Figure 1c). On the basis of the typical clinical findings, we ultimately arrived at a diagnosis of Langerhans cell histiocytosis (LCH).
Figure 1a An exceedingly polymorphic spectrum of skin lesions, including papules, vesicles, pustules, crusts, purpuric papules, brown, and hypopigmented macules.
Figure 1b Scattered purpuric lesions on the patient’s lower abdomen and groin, and macerated plaques over both inguinal folds.
Figure 1c Koebner phenomenon presenting as clustered, linear, and skin-colored to red papules on the patient’s waist area, some exhibiting central umbilication resembling Molluscum contagiosum. Red papules on both buttocks resemble mulberry nevi.
Figure 1d Palmar involvement, with scattered papules, vesicles, and pustules, ranging from skin-colored to dark red.
Skin involvement is observed in 40% of children and 20% of adults with LCH. Cutaneous LCH is characterized by a spectrum of lesions that can mimic several other types of skin disease.2 The most commonly involved sites are the scalp, trunk, and intertriginous areas, with the face, palms, and soles being less commonly affected. The findings in the present case are similar to those reported by Johno et al., who described a varicelliform eruption.1 To the best of our knowledge, involvement of the palms and soles has been reported only 10 times (Table 1).
|
Publication Year |
1st Author |
Title |
Journal |
Country |
Age & Sex |
Number |
|
1990 |
Herman LE |
Congenital self-healing reticulohistiocytosis: A new entity in the differential diagnosis of neonatal papulovesicular eruptions |
Arch Dermatol |
|
1DF |
1 |
|
2001 |
Stein SL |
Langerhans cell histiocytosis presenting in the neonatal period: A retrospective case series |
Arch Pediatr Adolesc Med |
USA |
6F, 13M |
19 |
|
2010 |
Li Z |
Two case report studies of Langerhans cell histiocytosis with an analysis of 918 patients of Langerhans cell histiocytosis in literatures published in China |
Int J Dermatol |
China |
6MF, 2YM |
2 |
|
2010 |
Battistella M |
Neonatal and early infantile cutaneous langerhans cell histiocytosis: Comparison of self-regressive and non-self-regressive forms |
Arch Dermatol |
France |
10M, 11F |
21 |
|
2016 |
Morren MA |
Diverse Cutaneous Presentations of Langerhans Cell Histiocytosis in Children: A Retrospective Cohort Study |
Pediatr Blood Cancer |
Belgium |
32 |
|
|
2018 |
Kalpana S |
Systemic Congenital Langerhans Cell Histiocytosis Masquerading as Diffuse Neonatal Hemangiomatosis |
Indian Pediatr |
India |
3MF |
1 |
|
2021 |
Lv X |
Langerhans cell histiocytosis misdiagnosed as cow protein allergy: A case report |
BMC Pediatr |
China |
2MM |
1 |
|
2022 |
Han D |
Multisystem Langerhans Cell Histiocytosis in Younger Infants First Presenting in Skin: A Case Series |
J Pers Med |
China |
6,5MM, 4MF, 3.5YF, 3YF |
4 |
|
2023 |
Utiyama TO |
Langerhans cell histiocytosis: A rare case of the multisystemic form in an infant |
An Bras Dermatol |
Brazil |
2MM |
1 |
|
2024 |
Afonso C |
Cutaneous Manifestations of Langerhans Cell Histiocytosis in Pediatric Age: A Case Report |
Cureus |
Portugal |
8MF |
1 |
Table 1 Reported LCH cases with Palmoplantar involvement
Diffuse hemorrhagic vesiculopustular and umbilicated papulovesicles involving the trunk, palms, and soles were reported by Morren et al.2 The involvement of the palms and soles with hemorrhagic papules and vesicles has been reported on five occasions, including the case of a 2-month-old Chinese infant described by Lv et al.4 (Table 2).
|
Publication Year |
1st Author |
Title |
Journal |
Country |
Age & Sex |
Number |
|
2003 |
Inuzuka M |
Congenital self-healing reticulohistiocytosis presenting with hemorrhagic bullae |
J Am Acad Dermatol |
Japan |
1DM |
1 |
|
2018 |
Kalpana S |
Systemic Congenital Langerhans Cell Histiocytosis Masquerading as Diffuse Neonatal Hemangiomatosis |
Indian Pediatr |
India |
3MF |
1 |
|
2020 |
Widodo I |
Case series of cutaneous Langerhans cell histiocytosis in Indonesian children: The clinicopathological spectrum |
Dermatol Rep |
Indonesia |
4F, 6M |
10 |
|
2021 |
Lv X |
Langerhans cell histiocytosis misdiagnosed as cow protein allergy: A case report |
BMC Pediatr |
China |
2MM |
1 |
|
2023 |
Utiyama TO |
Langerhans cell histiocytosis: A rare case of the multisystemic form in an infant |
An Bras Dermatol |
Brazil |
2MM |
1 |
Table 2 Reported LCH cases with hemorrhagic skin lesions
In contrast, hypopigmented macules accompanied by vesiculopustules on the palms and soles have been reported 11 times, including by Battistella et al. (Table 3).2,5,6,7
|
Publication Year |
1st Author |
Title |
Journal |
Country |
Age & Sex |
Number |
|
2010 |
Battistella M |
Neonatal and early infantile cutaneous langerhans cell histiocytosis: Comparison of self-regressive and non-self-regressive forms |
Arch Dermatol |
France |
10M, 11F |
21 |
|
2010 |
Mehta B |
Langerhans cell histiocytosis presenting as hypopigmented papules |
Pediatr Dermatol |
India |
1.5YM |
1 |
|
2014 |
Uaratanawong R |
Congenital self-healing reticulohistiocytosis presented with multiple hypopigmented flat-topped papules: A case report and review of literatures |
J Med Assoc Thai |
Thailand |
2MF |
1 |
|
2016 |
Kassardjian M |
Congenital selfhealing reticulohistiocytosis: An underreported entity |
Cutis |
USA |
6MM |
1 |
|
2018 |
Mori S |
Cutaneous Langerhans cell histiocytosis presenting with hypopigmented lesions: Report of two cases and review of literature |
Pediatr Dermatol |
USA |
5WM, 10MF |
2 |
|
2018 |
Bishnoi A |
Hypopigmented and acneiform lesions: An unusual initial presentation of adult-onset multisystem Langerhans cell histiocytosis |
Indian J Dermatol Venereol Leprol |
India |
35YM, 21YM |
2 |
|
2019 |
Wu X |
Congenital self-healing reticulohistiocytosis with BRAF V600E mutation in an infant |
Clin Exp Dermatol |
China |
5MF |
1 |
|
2020 |
Dhar S |
Langerhans cell histiocytosis in children: A retrospective case series of 126 cases |
Pediatr Dermatol |
India |
126 |
|
|
2023 |
Utiyama TO |
Langerhans cell histiocytosis: A rare case of the multisystemic form in an infant |
An Bras Dermatol |
Brazil |
2MM |
1 |
|
2024 |
Afonso C |
Cutaneous Manifestations of Langerhans Cell Histiocytosis in Pediatric Age: A Case Report |
Cureus |
Portugal |
8MF |
1 |
|
2024 |
Xiao A |
Hypopigmented Cutaneous Langerhans Cell Histiocytosis in a Hispanic Infant |
Cutis |
USA |
7MM |
1 |
|
2008 |
Feroze K |
Langerhans cell histiocytosis presenting with hypopigmented macules |
Indian J Dermatol Venereol Leprol |
India |
3YM |
1 |
Table 3 Reported LCH cases with Hypopigmented lesions
Involvement of the eyelids has only been reported 10 times, including cases described by El Hindy et al., Ramzan et al., Huang et al., and Gupta et al., in which the patients had single, unilateral lesions on either the upper or lower eyelids (Table 4).7–9
|
Publication Year |
1st Author |
Title |
Journal |
Country |
Age & Sex |
Number |
|
1989 |
Tosaka Y |
A case of localised histiocytosis X of the eyelid |
Nippon Ganka Gakkai Zasshi |
Japan |
33YM |
1 |
|
1992 |
Miller ML |
Diffuse histiocytosis X involving the eyelid of a 65-year-old woman |
Am J Ophthalmol |
USA |
65YF |
1 |
|
1994 |
Weissgold DJ |
Eosinophilic granuloma of the eyelid |
Ophthalmic Plast Reconstr Surg |
USA |
15YF |
1 |
|
1995 |
Daras C |
Langerhans' cell histiocytosis of the eyelid |
Br J Ophthalmol |
South Africa |
3YF |
1 |
|
1998 |
Chikama T |
Langerhans cell histiocytosis localized to the eyelid |
Arch Ophthalmol |
Japan |
46YM |
1 |
|
2009 |
Oono S |
Langerhans cell histiocytosis limited to the eyelid margin |
Jpn J Ophthalmol |
Japan |
52YM |
1 |
|
2011 |
El Hindy N |
Langerhans cell histiocytosis of the eyelid |
J Paediatr Child Health |
|
7YM |
1 |
|
2012 |
Ramzan M |
Eyelid nodule: A rare presentation of Langerhans cell histiocytosis |
J Pediatr Hematol Oncol |
India |
5YM |
1 |
|
2012 |
Huang JT |
Langerhans cell histiocytosis mimicking molluscum contagiosum |
J Am Acad Dermatol |
|
2YF |
1 |
|
2014 |
Gupta R |
Langerhans cell disease of the eyelids masquerading as blepharochalasis |
Pediatr Dermatol |
India |
4YF |
1 |
Table 4 Reported LCH cases with eyelid involvement
In the present case, we observed multiple, symmetrical bilateral lesions that were distributed on both the upper and lower eyelids, similar to the observations reported by Gupta et al.7 Although involvement of the nasolabial folds has rarely been reported, the Koebner phenomenon, observed in the present case as a belt on the waist area, has previously been described by Akay et al. in a Turkish girl.9
In this case it is characterized by the clustering of lesions on the sacral area. In a case described by Dhar et al., it was assumed that the lesions were attributable to friction.10,11 Additionally, involvement of the paranasal and preauricular areas, as well as the scalp was reported by Akay et al. in a Turkish girl.10 Minute lichen nitidus-like papules have been reported by both Dhar et al., and Lozano Masdemont et al.11,12 In the present case, we detected two minute hypopigmented, lichen nitidus-like papules on the patient’s right hand. Furthermore, molluscum-like pearly umbilicated papules have been reported by Huang et al.,12 in a 2-year-old girl who had pink friable papules on the margin of her eyelid.4 (Table 5)
|
Publication Year |
1st Author |
Title |
Journal |
Country |
Age & Sex |
Number |
|
|
2010 |
Mehta B |
Langerhans cell histiocytosis presenting as hypopigmented papules |
Pediatr Dermatol |
India |
1.5YM |
1 |
|
|
2011 |
Edwards AN |
Molluscumlike papules in a 4-month-old boy--quiz case: Langerhans cell histiocytosis (LCH)–congenital self-healing reticulohistiocytosis |
Arch Dermatol |
USA |
4MM |
1 |
|
|
2012 |
Huang JT |
Langerhans cell histiocytosis mimicking molluscum contagiosum |
J Am Acad Dermatol |
USA |
2YF |
1 |
|
|
2015 |
Hatter AD |
Langerhans Cell Hyperplasia from Molluscum Contagiosum |
Am J Dermatopathol |
|
14YM |
1 |
|
|
2017 |
Karpman MS |
Molluscum Contagiosum-Like Presentation of Langerhans Cell Histiocytosis: A Case and Review |
Pediatr Dermatol |
Canada |
5.5MF |
1 |
|
|
2018 |
Fernández Armenteros JM |
Langerhans cell histiocytosis mimicking molluscum contagiosum: A case series |
Pediatr Blood Cancer |
Spain |
5MF, 13MM, 24YF |
3 |
|
|
2022 |
Sanke S |
Molluscum-Like Lesions in a Child with T Cell Lymphoma |
Indian J Dermatol |
India |
3YF |
1 |
|
|
2022 |
Katayama S |
An Uncommon Pediatric Rash: Langerhans Cell Histiocytosis |
J Pediatr |
Japan |
5MF |
1 |
|
|
2019 |
Campos-Filho MM |
Molluscum contagiosum-like presentation of Langerhans cell histiocytosis: A case report |
WDC |
Brazil |
3YM |
1 |
|
Table 5 Reported cases of LCH presenting with Molluscum like lesions
This contrasts with the present case, in which more typical, skin-colored umbilicated lesions were symmetrically and bilaterally distributed on the patient’s periocular and perinasal areas. These are broadly consistent with the polymorphic cutaneous lesions described by Katayama et al.13
None.
The authors declare there is no conflict of interest.
None.
©2025 Alshami, et al. This is an open access article distributed under the terms of the, which permits unrestricted use, distribution, and build upon your work non-commercially.