Submit manuscript...
Journal of
eISSN: 2373-4345

Dental Health, Oral Disorders & Therapy

Case Report Volume 4 Issue 6

A two-piece sectional definitive obturator: a clinical report

Nitesh Srivastava

Department of Prosthodontics, India

Correspondence: Nitesh Srivastava, Department of Prosthodontics, Govt. Dental College and Hospital, Nagpur, India, Tel 9860108980

Received: March 16, 2016 | Published: August 9, 2016

Citation: Srivastava N. A two-piece sectional definitive obturator: a clinical report. J Dent Health Oral Disord Ther. 2016;4(6):162-167. DOI: 10.15406/jdhodt.2016.04.00132

Download PDF

Abstract

Prosthetic rehabilitation of acquired maxillary defects can be achieved satisfactorily if all facets of treatment planning and design considerations are taken into account before the rehabilitation process. Complications associated with maxillary defects limit treatment protocols to a great extent. The prosthodontist has to identify these problem areas and suitably devise feasible options and incorporate them in the design. In this report, an acquired maxillary defect with unfavorable undercuts in the defect was successfully treated by making a two-piece sectional obturator. The cast generated after pouring the impression is duplicated twice to fabricate the defect component and the palatal base-plate component separately. Both the components were then oriented and attached with the help of a pair of the magnets. This magnet retained obturator facilitates the insertion and removal of the prosthesis in two separate pieces in restricted mouth opening situation. The methodology greatly reduced chair side time and number of visits, and effective obturation was satisfactorily achieved.

Keywords: maxillectomy, oral cancer, trismus, two-piece sectional obturator

Introduction

Malignant tumors that involve the maxillary sinus often squamous cell carcinoma or adenocarcinoma, and are best treated with a surgery, chemotherapy and radiotherapy. Obturator prosthesis is generally recommended after maxillectomy to regurgitation of fluids, maintenance of speech and for psychological reasons.1–3 Fabrication of interim and definitive obturator requires impression of the maxillary arch that includes proper anatomy of defect side for proper retention.4 For proper impression mouth should be adequately open for easy removal. A patient who undergone maxillectomy and after surgery if radiotherapy, then due to fibrosis mouth opening will be restricted.5 The fabrication of sectional prostheses has been advocated most commonly in patients with restricted mouth opening such as microstomia, trismus, large maxillofacial defects, and/or presence of deep undercuts interfering with insertion/removal of conventional dentures. Sectional dentures with preformed or customized attachments are designed with ease of insertion/removal and functional requirements in mind for patients with microstomia or for maxillofacial rehabilitation. This article describes the fabrication steps of a two-piece magnet retained definitive obturator.

Case report

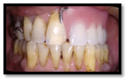
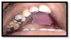
A 60-year-old man visited the department of Prosthodontics, Government Dental College and Hospital, Nagpur for the rehabilitation of a four-year-old maxillary defect after hemi maxillectomy due to squamous cell carcinoma of the left maxilla. The patient requested restoration of his masticatory function, improvement of speech and deglutition. On extra oral examination, the left suborbital area, the left nasal alar area, and the left angle of the mouth are depressed that restrict the mouth opening and intraoral examination revealed that partial resection of the left maxilla extending from pre maxilla to the anterior border of the soft palate (Figure 1A & Figure 1B). Teeth remaining 11, 12, 13, 14, 15, 16, 17, 18 in upper ach. In lower arch teeth present are 31, 32, 33, 34, 35, 36, 37, 41, 42, 43, 44, 45, 46, and 47.

Figure 1a&1b Preoperative photos.

Procedure

Diagnostic impression & fabrication diagnostic cast & surveying of cast

Preliminary impression of the maxillary arch along with the intraoral defect was made using irreversible hydrocolloid (Dentalgin; Prime Dental Products, Mumbai, India). Primary cast was made with type III gypsum material (Kalstone; Kalabhai Karson, Mumbai, India) (Figure 2). Surveying of the diagnostic cast was done and mouth preparation steps were done according to surveying (Figure 3).

Figure 2 Diagnostic impression.

Figure 3 Surveying of cast.

  1. Mouth prepration, final impression & master cast fabrication
  2. After surveying proper guiding planes and occlusal rest seats were prepared in mouth. Maxillary custom impression tray was fabricated. A physiologic definitive impression was made using a medium viscosity polyvinyl-siloxane impression material (AQUASIL). The master cast was made in type III dental stone (Figure 4)..

    Figure 4 Mouth Preparation, final impression & master cast fabrication.

  3. Wax pattern fabrication & fabrication of metal framework
  4. A wax pattern for framework was fabricated and casting was contemplated (Figure 5A–5C).

    Figure 5a,5b&5c Wax pattern fabrication & fabrication of metal framework.

  5. Try in of metal framework & impression of defect
  6. Metal frame work was tried in patient mouth and impression of defect was made with medium fusing impression material (green stick) and light body impression material (AQUASIL)(Figure 6a & 6b).

    Figure 6 Try in of metal framework & impression of defect.

  7. Altered cast fabrication
  8. After impression was made, an altered cast was fabricated (in dental stone) that contain both dentulous part and impression of defect (Figure 7). Make two duplicate casts from the final casts for processing of the Obturator in heat polymerizing acrylic resin (DPI Heat cure; Dental Products of India, Mumbai, India). Use one duplicated cast to fabricate defect (or bulb component) and another duplicated cast for fabrication of normal palatal component. Note that the defect of the cast to be used for palatal base-plate should be filled with stone for block out the defect before processing.

    Figure 7 Altered cast fabrication.

  9. Hollowing of defect to form intraoral obturator
  10. To reduce the weight of intra oral obturator defect part was followed by packing, a pouch of salt was used (lost salt technique). Curing procedures were performed according to the manufacturer’s instructions. The cured internal portion (bulb) was retrieved after deflasking, and the salt was removed after drilling 2 mm holes in the lid portion5,6 (Figure 8A–8F). Process, finish, and polish both the components of obturator. Try both components on the final cast. Perform try in of each part individually and then simultaneously to verify their adaptation to oral tissues. Select a pair of suitable magnets for joining two components of the obturator. Create space to accommodate one piece of magnet in each component. Mix auto polymerizing resin and attach magnet in bulb and plate component simultaneously, and prevent the resin to flow on extra surfaces that interfere with attachment of both components (Figure 6B).

    Figure 8 Hollowing of defect to form intraoral obturator.

    Figure 8a Adaptation of a layer of wax and sealed wax lid.

    Figure 8b Flasking of waxed-up bulb.

    Figure 8c Dewaxing of waxed-up bulb.

    Figure 8d Packing with heat-cured PMMA.

    Figure 8e A pouch of packed salt.

    Figure 8f Defect side view of bulb.

  11. Centric relation &teeth arrangement
  12. With palatal plate component of intra oral obturator was placed in mouth record centic relation teeth arrangement was done (Figures 9A & 9B).

    Figure 9a&9b Centric relation & teeth arrangement.

  13. Flasking & finishing of obturator
  14. After performing teeth arrangement on palatal base-plate component of obturator was flasked and finished the prosthesis(Figure 10a-10d).Try it in patient’s mouth with bulb and the palatal plate component of the Obturator simultaneously (Figures 11A–11C). Check for any sore spots using pressure indicator paste, and deliver the obturator. Instruct the patient regarding use and maintenance of the Obturator. Schedule the recall appointments for prosthesis maintenance.

Figure 10a, 10b, 10c & 10dFlasking & finishing of obturator.

Figure 11a, 11b & 11c Inner Piece of Intraoral Obturator with Magnet Placed in Mouth over Which Outer Piece Placement.

Discussion

Obturators have been classified surgical obturator, interim obturator and definitive obturator.6 A patient undergone maxillectomy and radiotherapy may present with restricted mouth opening.5 Crucial part of this procedure is obtaining a proper impression. Wherever we faultier in recording the details in and around the defect, we compromise on the retention of the prosthesis. It even leased to regurgitation of fluids from nose. Failure to record peripheral tissues around the defect and its interior portion may lead to inadequate retention of prosthesis and nasal regurgitation of fluids.7 Many authors suggested the sectional impression trays with hinge and plunger attachment, press button attachment or interlocking attachment between parts of the tray to obtain well extended impression if it is impossible to get conventional impression.8 In this case however conventional impression was adequate so there was no need for sectional impression. Patients presenting with reduced mouth opening are generally suitable candidates for sectional prosthesis due to inability of the individual to seat the entire prosthesis due to its size. Magnets are very helpful in retaining the prosthesis and help seat the sections in correct position. In presence of restricted mouth opening, sectional prostheses have often been recommended, particularly in maxillofacial prosthetics, due to large size of the prosthesis.9 Magnets are commonly used adjuncts in retention of sectional maxillofacial prostheses.10

Replacing any part of maxilla-facial region with prosthesis puts a great responsibility on the specialist to use his experience and knowledge for fabrication of prosthesis which is customized to the individual’s need so as to improve his confidence and thus quality of life. Though it is difficult to improve the quality of life for hemimaxillectomy patients compared with patients with conventional prostheses, this can be achieved with skill, knowledge, and experience of specialists. With constant advent in technology there is coordinated improvement in quality of prosthesis and its clinical servability. The new generations of magnets with improved technology provide sufficient denture retention for clinical application. This case highlights on better management of compromised mouth opening cases however longitudinal studies with larger population are needed to ascertain the success of such prosthesis on a long run and patient’s acceptance for the same. However, further follow-up may be necessary to ascertain the long-term usefulness of the magnet-retained obturator prosthesis, because loss of magnetism can occur because of corrosion.

Funding

None.

Acknowledgments

None.

Conflicts of interest

The author declares there are no conflicts of interest.

References

  1. Beumer J, Curtis D, Firtell D. Restoration of acquired hard palate defects: etiology, disability and rehabilitation. In: Maxillofacial rehabilitation: prosthodontic and surgical considerations. In: Beumer J, et al. editor. Medico Dental Media International. USA: St. Louis, Missouri; 2009. 225–284 p.
  2. Jacob FJ. Clinical management of the edentulous maxillectomy patient. In: Taylor TD, editor. Clinical maxillofacial prosthetics, Chicago, USA: Quintessence; 2014. 85–87 p.
  3. Patil PG. new technique to fabricate an immediate surgical obturatorrestoring the defect in original anatomical form. J Prosthodont. 2011;20(6):494–498.
  4. Patil PG, Patil SP. Fabrication of a hollow obturator as a single unit for management of bilateral subtotal maxillectomy. J Prosthodont . 2012;21(3):194–199.
  5. Kramer DC. The radiation therapy patient: treatment planning andpost treatment care. In: Taylor TD, editor. Clinical maxillofacial prosthetics. Chicago, USA: Quintessence; 2000. 37–52 p.
  6. Patil PG, Patil SP. Nutrition and cancer. J Am Dent Assoc. 2012;143(2):106–107.
  7. Conroy B, Reitzik M. Prosthetic restoration in microstomia.  Prosthet Dent. 1971;26(3):324–327.
  8. McCord JF, Tyson KW, Blair IS. A sectional complete denture for a patient with microstomia. J Prosthet Dent. 1989;61(6):645–647.
  9. Suzuki Y, Abe M, Hosoi T, Kurtz KS. Sectional collapsed denture for partially edentulous patient with microstomia: a clinical report. J Prosthet Dent. 2000;84(3):256–259.
  10. Matsumura H, Kawasaki K. Magnetically connected removable sectional denture for a maxillary defect with severe undercut: a clinical report. J Prosthet Dent. 2000;84(1):22–26.
Creative Commons Attribution License

©2016 Srivastava. This is an open access article distributed under the terms of the, which permits unrestricted use, distribution, and build upon your work non-commercially.