Submit manuscript...
Journal of
eISSN: 2373-4345

Dental Health, Oral Disorders & Therapy

Case Report Volume 1 Issue 4

Advance all-ceramic restoration by CAD/CAM: a case report

Atul Bhardwaj,1 Smita Singh,2 Koyena Mishra,3 Mazood Ahamad4

1Department of Prosthodontics, Majmaah University, Saudi Arabia
2Department of Pedodontic and Preventive Dentistry, Sharda University, India
3Department of Oral Surgery, Kalka Dental College, India
4Department of Periodontics, Majmaah University, Saudi Arabia

Correspondence: Atul Bhardwaj, Department of Prosthodontics, Al-Zulfi Dental College, Majmaah University, Saudi Arabia, Tel 966-550165825

Received: April 25, 2014 | Published: July 30, 2014

Citation: Bhardwaj A, Singh S, Mishra K, et al. Advance all-ceramic restoration by CAD/CAM: a case report. J Dent Health Oral Disord Ther. 2014;1(4):85-87. DOI: 10.15406/jdhodt.2014.01.00021

Download PDF

Abstract

The demand for the dentist to achieve excellence in aesthetics and function has driven modern advances in materials and restoration fabrication. The development of various casting alloys and precise casting systems has contributed to the successful use of metal-based restorations. However, patient requests for more aesthetic and biologically ‘safe’ materials that has led to an increased demand for metal-free restorations. The following case presentation illustrates a successful aesthetic and functional application of this exciting CAD/CAM-digital Zirconia-based system in combination with porcelain veneers for a natural smile.

Keywords: all-ceramic, CAD/CAM, zirconia

Introduction

The demand for all-ceramic restoration has increased substantially because of their esthetics and biocompatibility. All-ceramic crowns were used to be made up of single layer glass ceramic-Dicor (Dentsply/ Caulk), IPS Empress (IVOCLAR) etc. Their failure rate was high in certain cases.1 A new system was developed to overcome these failures, utilizing a bilayer design, where an Alumina base core, either glass infiltrated (Inceram, Vivadent) or densely sintered (Procera, Novel Biocare),2 support the veneering porcelain applied over this core for aesthetic reason. These systems have shown a lower failure rate for single crown3 and can also be used for 3-unit fixed dental prosthesis.

Clinical studies of fixed partial denture made some of above mentioned system showed discouraging results for the posterior region after the mean follow-up period of approximately 3 years.4,5 Therefore, an improvement in their clinical success rate is needed if performance similar to metal ceramic is expected.4 The literature mentions that new core material with improved physical properties should be developed.5

Recently, densely sintered zirconia based cores have become available (Lava, 3MEspe; DCS Smart-Fit, Austenal; Ceron Smart Ceramics, Dentsply Ceramco; procera Zirconia, Nobel Biocare; Vita inCeram YZ, Vident).6,7 These ceramic systems utilize yttrium-tetragonal zirconia polycrystal (Y-TZP or partially stabilized zirconia) for the fabrication of anterior and posterior crown and fixed partial dentures. “Transformation toughing” where the presence of stabilizing oxide yttrium oxide holds the material in a stable tetragonal state which provides a unique toughing mechanism to enhance the ceramic properties for load-bearing application,6 Y-TZP has a flexural strength of 900 to 1200Mpa which is considerably higher than that reported for densely sintered alumina8 & glass infiltrated alumina/zirconium dioxide material.9 In addition, Y-TZP does not seem to be as sensitive to moisture-induced strength degradation as are other ceramics.10 The following case report describes the restoration of maxillary central incisors and left lateral incisor and illustrates a successful aesthetic and functional application of this exciting digital zirconia-based system for a smile makeover.

Case report

A 21 yr old young female patient reported to the Dept of Prosthodontics. There was protrusion of anterior teeth with spacing .The dental history revealed that she had a trauma 1yr back and her teeth got fractured. At that time the teeth were treated with Root Canal Treatment but crowns were not fixed on teeth.

Treatment plan

As there was anterior spacing, this case was discussed with orthodontist. Patient was having Bimaxillary Protrusion also (Figure 1). Orthodontic correction was advised with fixed appliance for malocclusion (anterior spacing) and all-ceramic crowns on maxillary central incisors and left lateral incisor. Orthodontic Treatment was refused by the patient and she demanded whiter teeth from her natural teeth as she was getting married within one month and she wanted her treatment done before her marriage. Then preferred are all-ceramic crowns. Diagnostic impressions were made, A1 shade was determined with a shade guide (Vita) in place of A2 shade according to her demand and crown preparation done for all-ceramic crowns. Final impression was made after retraction by using Impragum polyether elastomeric impression material (3MESPE). Temporary crowns were cemented using non-eugenol Temp cement.

Then dies were made from final impression and dies of prepared crowns were scanned in scanner (Cercon-eye) (Figure 2). The dimensions and shape of zirconia copings on 3D images of maxillary central incisors and left lateral incisor were modified and finalized with the help of cercon-art (Figure 2). The saved data was then sent to the milling machine (Cercon-brain) for fabrication of copings for prepared teeth (Figure 3).

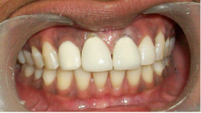
After two days temporary crowns were removed then all-ceramic coping trial was done and after one week temporary crowns were removed and internal fit of the all-ceramic restoration was evaluated intra-orally with a disclosing agent (Fit checker, GC America) and occlusion was assessed in inter cuspal & excursion position. Minor adjustment was made and again crowns sent for glazing. The crowns were cemented with self etch unicem luting cement (3MEspe). Patient was satisfied with the crown length, width and esthetics which was improved and equal to adjacent natural teeth (Figure 4a and 4b).

Figure 1 Pre-operative view of maxillary anterior teeth.
Figure 2 Cercon-eye (scanner), Cercon-art (desktop).
Figure 3 Cercon-brain (milling machine).
Figure 4a Pre-operative view of maxillary incisors.
Figure 4b Post-operative view of maxillary incisors.

Discussion

Many all-ceramic systems are available. Out of all these Zirconia all-ceramic crowns was selected in this case. As these were discolored teeth and zirconia is opaque, hence it can mask this discoloration better than Alumina crown. Hefferman et al.11 suggested that zirconia restoration would be better suited to match opaque, high value teeth. In this study, the translucency of several all-ceramic systems was compared under transmitted light, and the zirconia system was found to be as opaque as the metal ceramic. The Dens System is a computer assisted design/computer-assisted manufacturing (CAD/CAM) system designed for the creation of anterior posterior crown & fixed partial dentures. The fabrication of a zirconia coping with system requires 4 main steps:

  1. Scanning of dies.
  2. Computer-Assisted Design of Substrate. 
  3. Automated milling of the zirconia block. 
  4. Sintering.

The coping is veneered with the Dens System porcelain. There are other restorative systems available that use zirconia for fabrication of coping. One of them is DCS Smart-Fit is a CAD/CAM system that utilizes fully sintered Y-TZP under hot isotonic pressure. This result in an extremely hard and dense ceramic10 that require mill time of around 2 to 4 hours for coping.12 In contrast Dens System crown employ partially sintered Y-TZP milling blocks that are weak but easy to mill.10

Procera, a CAD/CAM system that until recently utilized only densely sintered alumina, added zirconia (Procera Zirconia, Nobel Biocare) as an option for fabrication of single and multiple-unit restoration.13 One other system (Inceram Zirconia, Vident) employs a glass-infiltrated 35% zirconia 65% alumina material for fabrication of posterior crown and FDPs9 that can be slip cast or milled from pre-sintered blocks. Its flexural strength is about 620 MPa,14 which is lower than that reported for densely sintered zirconia, the ceramic used in other system mentioned above.10

Conclusion

Sometimes many challenges are faced by dentists while dealing with young and female patients and sometimes treatment plans are also affected by those patients’ demands. To provide improved aesthetics and function to increasingly discriminating tastes, dentists have turned to advanced and exciting materials and digital techniques. The Dens system provides innovative technology using strong CAD/CAM fabricated copings and highly aesthetic all-ceramic restorations on a zirconium oxide base. The evolution of dental materials continues to revolutionize the way we practice modern dentistry, satisfying a maximum patient and clinician demands.

Acknowledgements

None.

Conflicts of interest

The author declares that there is no conflict of interest.

References

  1. Malament KA, Socransky SS. Survival of Dicor glass ceramic dental restoration over 14 years: Part I. Survival of Dicor complete coverage restorations and effect of internal surface acid etching, tooth position, gender and age. Prosthet Den. 1999;81(1):23−32.
  2. Russell MM, Andersson M, Dahlmo K, et al. A new computer-assisted method for fabrication of crowns and fixed partial dentures. Quintessence Int. 1995;26(11):757−763.
  3. McLaren EA, White SN. Survival of In-Ceram crowns in a private practice: a prospective clinical trial. J Prosthet Den. 2000;83(2):216−222.
  4. Kelly JR. Clinically relevant approach to failure testing of all-ceramic restorations. J Prosthet Dent. 1991;81(6):652−661.
  5. Lawn BR, Deng Y, Thompson VP. Use of contact testing in the characterization and design of all-ceramic crownlike layer structures: a review. J Prosthet Dent. 2001;86(5):495−510.
  6. Filser F, Kocher P, Weibel F, et al. Reliability and strength of all-ceramic dental restorations fabricated by direct ceramic machining (DCM). Int J Comput Dent. 2001;4(2):89−106.
  7. Besimo CE, Spielmann HP, Rohner HP. Computer-assisted generation of all-ceramic crowns and fixed partial dentures. Int J Comput Dent. 2001;4(4):243−262.
  8. Wagner WC, Chu TM. Biaxial flexural strength and indentation fracture toughness of three new dental core ceramics. J Prosthet Dent. 1996;76(2):140−144.
  9. McLaren EA, White SN. Glass-infiltrated zirconia/alumina-based ceramic for crowns and fixed partial dentures: clinical and laboratory guidelines. Quintessence Dental Technol. 2000;23:63−76.
  10. Sorensen JA. The lava system for CAD/CAM production of high strength precision fixed prosthodontics. Quintessence Dental Technol. 2003;26:56−67.
  11. Heffernan MJ, Aquilino SA, Diaz-Arnold AM, et al. Relative translucency of six all-ceramic systems. Part II: core and veneer materials. J Prosthet Dent. 2002;88(1):10−15.
  12. McLaren EA. Zirconia based ceramic: Material properties, easthetic and layering techniques of a new veneering porcelain, VM9. Quintessence Dental Technol. 2005;28:99−111.
  13. Witkowski S. CAD/CAM in dental technology. Quintessence Dental Technol. 2005;28:169−184.
  14. Guazzato M, Albakry M, Swain MV, et al. Mechanical properties of In-Ceram Alumina and In-Ceram Zirconia. Int J Prosthodont. 2002;15(4):339−346.
Creative Commons Attribution License

©2014 Bhardwaj, et al. This is an open access article distributed under the terms of the, which permits unrestricted use, distribution, and build upon your work non-commercially.