Submit manuscript...
Journal of
eISSN: 2373-4345

Dental Health, Oral Disorders & Therapy

Case Report Volume 2 Issue 2

CBCT findings of complete calcification of the stylohyoide ligament: case reports

Alexandre Khairallah

Lebanese University Scholl of dentistry, North Lebanon

Correspondence: Alexandre Khairallah, Lebanese University Scholl of dentistry, Street n2 deek el Mehdi metn North Lebanon, Tel 9613264332

Received: February 12, 2015 | Published: March 30, 2015

Citation: Khairallah A. Sound levels in movie theaters: is there a potential for hearing loss? J Dent Health Oral Disord Ther. 2015;2(2):41-44. DOI: 10.15406/jdhodt.2015.02.00040

Download PDF

Abstract

Calcification of the stylohyoide ligament or Eagle syndrome, which cause is still unclear, is a group of symptoms caused by an elongated ossified styloid process. It can occur unilaterally or bilaterally and most frequently results in symptoms of dysphagia, headache, pain on rotation of the neck, pain on extension of the tongue, change in voice, and a sensation of hyper salivation. This finding is well documented in otolaryngology literature and dentistry literature but has not been sufficiently reported in the radiology literature, although it often goes undetected in the absence of radiographic studies. In these report, we will present some radiographic evidences on a series of CBCT views and 3D reconstructions of three cases with clinical evidence of Eagle syndrome.

Keywords: cbct, stylo hyoide ligament calcification, incidental findings, eagle syndrom

Introduction

Stylohyoid complex includes the styloid process, the stylohyoid ligament, and the small horn of hyoid bone and it has been drawing the attention of researchers at least for 400years.1 In 1937, W.W. Eagle2 documented cases in which elongation of the styloid process (over 25cm), or calcification of the stylohyoid ligament, appeared to be the cause of pharyngeal and cervical pain. The prevalence of an elongated styloid process is somewhat varied, although Fritz reports it as a common finding.3 Eagle believed that approximately 4% of the population had an elongated styloid process, and that only 4% of these persons showed symptoms. Kaufman et al. radiographically found a 7.3% incidence of elongation in their sample, but no correlation to clinical symptoms was noted. Most cases are found in women, with an age distribution greater than 30years of age.4 The Eagle’s syndrome is usually asymptomatic but sometimes comprises symptoms that may include a dull, acing pain localized in either or both sides of the throat, with or without referred pain to the ear and mastoid region on the affected side. Some patients may complain of pain on swallowing (dysphagia) or an abnormal sensation of a foreign body in the pharynx (globushystericus). Other symptoms that aid in the diagnosis include pain with rotation of the head, recurrent headache, and vertigo.2 Accurate diagnosis is important because the symptoms are similar to other diseases in this region. Most patients are not diagnosed, because clinical features are intangible, and accurate diagnosis by clinical findings alone is difficult. Practitioners, especially dentists should be aware of the related radiological features in order to correct diagnosis and consider it in the differential diagnosis of other head, throat and neck complaints.5 The purpose of this report is to describe three patients with the diagnosis of Eagle’s syndrome and to review the proposed treatment options.

Case 1

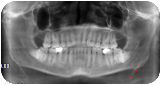
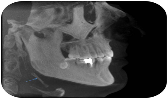
A 28-year-old man presented to the Department of oral and maxillofacial radiology of the Lebanese University complaining of dysphagia and vague throat discomfort that he had experienced continuously for less than a year. He also complained of a solid mass felt on palpation of the right and left tonsillar fossa and an occasional ‘‘shooting’’ pains to his both ears that lasted only a couple of minutes and then disappeared. His history was uneventful for any significant trauma. A panoramic radiograph (Figure 1) was obtained from an old lower third molar assessment where a calcification of both right and left stylohyoid ligament are observed. A CBCT exam (Figure 2) was conducted (Icat imaging sciences 120Kv, 24mA 0.4 voxel) with 3D reconstructions (Figure 3) which showed an elongated ossified styloid process on both sides, the thick calcified process extended from the stylomastoid foramen to the hyoid bone.

Figure 1 Panoramic view showing calcifications on both sides.

Figure 2 Lateral view of the calcification.

Figure 3 3d reconstruction of the calcification.

Case 2

The second case was an asymptomatic 44year old male patient who underwent a CT exam using multi-slice CT scanner (GE 16 light speed) for implant positioning assessment. The parameters used were helical, 0.625mm slice thickness, pitch 0.562:1, interval 0.625mm, 120Kv and 250mA. The images were obtained as Dicom file and reconstructed in 3D mode using the Unic 3D view program. This showed bilateral elongated styloid process. The right one is completely calcified and the left one partially calcified (Figure 4,5).

Figure 4 Complete calcification of the right ligament.
Figure 5 Partial calcification of the left ligament.

Case 3

A 23-year-old girl presented to the Department of oral and maxillofacial radiology of the Lebanese University, with a chief symptom of pain in the right neck that worsened on turning the head. The dull, aching pain radiated to the right pre auricular and post auricular areas. The patient also reported intermittent dysphagia, nonspecific for certain food types. On physical examination, tenderness to palpation was elicited bilaterally in the tonsillar fossa region. She had a limited range of neck motion, especially rotation. Neck masses were neither palpable intra orally nor extra orally, and there was no cervical or submandibular lymphadenopathy. The remainder of the neck examination was normal, with a no palpable thyroid and a midline trachea. Radiographic evaluation consisted of a CBCT imaging modality that showed bilateral radiopaque bodies extending from the styloid processes lateral to the mandible (Figure 6,7).

Figure 6 3D reconstruction of the calcifications.
Figure7 MIP reconstruction of the calcifications.

Discussion

The normal length of the styloid process usually varies between 25.0 and 30.0mm.3 However, Moffat et al. regard the normal range of the length of the styloid process as between 15.2mm and 47.7mm. In human skulls elongation of the styloid process can occur. This condition is regarded as an anatomical anomaly. A styloid process is considered to be elongated when it is longer than 30.0 mm.6 The cause of an elongated styloid process or calcification of the stylohyoid ligament is unclear. Several earlier reports have attempted to hypothesize its occurrence. One such mechanism describes a congenital elongation of the styloid process attributable to the persistence of a cartilaginous element that connects it to the temporal bone, which may grow abnormally and be converted to bone. Research has provided histologic evidence for metaplastic changes in the subperiosteal cells in the vicinity of the stylohyoid ligament insertion that ultimately results in the growth of the osseous tissues. Yet another proposed mechanism is the elongation or extension of the osseous styloid process so that it merges with an independently calcified stylohyoid ligament.4 Many researchers have compared the prevalence and severity of mineralized area in stylohyoid ligament with age and highly different results are obtained.7–9 O Correll et al. did not express any relationship between length of the mineralization and age,7 whereas Ruprecht and colleagues found an opposing trend with increasing age and further ossification of stylohyoid ligament.9 On the other hand, Ferrario was found a relationship between the number and length of mineralized stylohyoid ligaments and patient age.8 The different pain mechanisms also have been studied. With sudden jerking of the head, fracture of the ossified stylohyoid ligament can occur, and a nonunion may develop because of continuous micro movement of the hyoid bone. The proliferation of granulation tissue in the region of the nonunion could then cause pressure on the surrounding structures, resulting in pain in that area.2 Compression of neural elements by the elongated styloid process has also been proposed as a pain mechanism, with the glossopharyngeal nerve, lower branch of the trigeminal nerve, or the chorda tympani being directly involved. The tendinous region of the stylohyoid ligament insertion also may show degenerative or inflammatory changes resulting in a tendinitis as a cause of the pain. This phenomenon is seen also in other narrow-based muscle tendon insertions that are anchored directly to bone. The pharyngeal mucosa also may become chronically irritated and painful as continuous stretching of the mucosa over the pointed styloid process occurs. Pain also may be in the form of dysesthesia, where fibrosis results from post-tonsillectomy healing of the sensory nerve endings (cranial nerves V, VII, IX, and X), all of which have branches that supply the involved area.2 Lastly, impingement on the carotid vessels by the styloid process, affecting the circulation and producing irritation of the sympathetic nerves in the arterial sheath, has been suggested as a cause of the dull, aching pain seen in these patients. There are numerous conditions to consider in the differential diagnosis of neck pain. Cranial nerve neuralgia, such as that involving the trigeminal, glossopharyngeal, superior laryngeal, and primary geniculate ganglion, temporomandibular joint disease, chronic pharyngotonsilitis, unerupted or impacted molar teeth, improperly fitting dental prostheses, pharyngeal and tongue base tumors all may cause referred pain similar to that produced by an elongated stylohyoid process.10 The description of a constant, dull pain worsening during swallowing, palpation of the tonsillar fossa and retro mandibular area eliciting pharyngeal pain, and a radiologic demonstration of an elongated styloid process should alert the clinician to a possible diagnosis of Eagle’s syndrome. Diagnostic local anesthetic block can be administered in the tonsillar fossa region. Relief of the pain (a positive test) would provide the clinician with a basis to consider a possible diagnosis of Eagle’s syndrome. The diagnosis can be further confirmed with plain radiographs such as the lateral skull film, posteroanterior skull film, oblique mandible films, and Towne’s or panoramic views. With the evolution of three dimensional imaging such as computerized tomography (CT) and Cone beam CT, the anatomic relationships between the elongated bony process and the adjacent vital vascular structures can easily be differentiated.11 It is very difficult to ascertain whether the styloid process is elongated or whether the stylohyoid ligament is calcified from radiographic findings alone. Both processes produce radio densities on plain film radiography and hyper densities on CT scanning.12 Clinically, it is difficult to distinguish which of the 2 entities exist, or if there is a coexistence. However, analyzing the specimen for its mineral content may help to distinguish an elongated process from a calcified ligament.13 Our first and third cases developed pain associated with radiological evidence. The second one didn’t show any pain sign although the stylohyoid ligament on the right side is a fully calcified one. The only satisfactory and effective treatment to completely eliminate symptoms caused by an elongated or misdirected styloid process is surgical shortening. There are well-accepted intraoral and extra oral surgical approaches. Intraorally, access is relatively easy, and is generally a less time-consuming procedure than the extra oral operation, with a shorter recovery period. It can be performed under local anesthesia, avoiding the morbidity and mortality associated with a general anesthesia.9 The incision is made in the tonsillar fossa, so unsightly external scars are avoided. However, this approach is not without risk, with the possibility of a deep cervical infection associated with bacterial contamination after opening of the pharynx into the neck. Also, the posterior pharynx is a poorly visualized region and, therefore, has the increased risk of trauma to the external carotid artery or to the cranial nerves V, VII, IX, X, and XI that course in the surgical field.4 The extra oral approach offers the advantage of better exposure, especially of the bifurcation of the external carotid artery and the styloid process. There is also decreased risk of bacterial contamination associated with a properly prepared sterile surgical field. The disadvantages include the necessity of general anesthesia and endo tracheal intubation, with its inherent risks and complications.14 Also, with today’s society focused on aesthetics, creating a scar on the neck is undesirable.

Conclusion

The exact cause of Eagle’s syndrome is still considered a mystery.15 Most patients with calcified stylohyoid processes are asymptomatic. Conversely, many patients with the constellation of vague symptoms of neck, ear, and pharyngeal discomfort do not show radiographic evidence of an elongated/calcified stylohyoid process. However, despite the age of the patient, clinicians should consider the possibility of Eagle’s syndrome when both the clinical and radiographic evidence support the diagnosis.

Acknowledgements

None.

Funding

None.

Conflicts of interest

The authors declare that there is no conflict of interest.

References

  1. Oztas B, Orhan K. Investigation of the incidence of stylohyoid ligament calcifications with panoramic radiographs. J Investig Clin Dent. 2012;3(1):30–35.
  2. Eagle WW. Elongated styloid process: symptoms and treatment. AMA Arch Otolaryngol. 1958;67(2):172–176.
  3. Baugh RF, Stocks RM. Eagle’s syndrome: a reappraisal. Ear Nose Throat J. 1993;72(5):341–344.
  4. Balbuena L, Hayes D, Ramirez SG, et al. Eagle’s syndrome (elongated styloid process). South Med J. 1997;90(3):331–334.
  5. Kosar MI, Atalar MH, Sabanciogullari V, et al. Evaluation of the length and angulation of the styloid process in the patient with pre–diagnosis of Eagle syndrome. Folia morphol (Warsz). 2011;70(4):295–299.
  6. Jung T, Tschernitschek H, Hippen H, et al. Elongated styloid process: when is it really elongated?. Dentomaxillofac Radiol. 2004;33(2):119–124.
  7. Alpoz E, Akar GC, Celik S, et al. Prevalence and pattern of stylohyoid chain complex pattern detected by panoramic radiographs among Turkish population. Surg Radiol Anat. 2014;36(1):39–46.
  8. Booshehri Z, Ardakani EF, Rasooli A, et al. Incidence of Stylohyoid Ligament Calcification and Its Length in an Iranian Adult Population. SSU Journals. 2011;19(2):211–218.
  9. Shaik MA, Naheeda, Kaleem SM, et al. Prevalence of elongated styloid process in Saudi population of Aseer region. Eur J Dent. 2013;7(4):449–454.
  10. Balasubramanian S. The ossification of the stylohyoid ligament and its relation to facial pain. Br Dent J. 1964;116:108–111
  11. Murtagh RD, Caracciolo JT, Fernandez G. CT findings associated with Eagle’s syndrome. AJNR Am J Neuroradiol. 2001;22(7):1401–1402.
  12. Keur JJ, Campbell JP, McCarthy JF, et al. The clinical significance of the elongated styloid process. Oral Surg Oral Med Oral Pathol. 1986;61(4):399–404.    
  13. Strauss M, Zohar Y, Laurian N. Elongated styloid process syndrome: intraoral versus external approach for styloid surgery. Laryngoscope. 1985;95(8):976–979.
  14. Roopashri G, Vaishali MR, David MP, et al. Evaluation of elongated Styloid Process on digital panoramic radiographs. J Contemp Dent pract. 2012;13(5):618–622.
  15. Rechtweg JS, Wax MK. Eagle’s syndrome: a review. Am J Otolaryngol. 1998;19(5):316–321.
Creative Commons Attribution License

©2015 Khairallah. This is an open access article distributed under the terms of the, which permits unrestricted use, distribution, and build upon your work non-commercially.