Submit manuscript...
Journal of
eISSN: 2373-4345

Dental Health, Oral Disorders & Therapy

Case Report Volume 14 Issue 2

Dysmorphic craniofacial features in tetralogy of fallot: a case report

Anu Bharti, Saugat Ray, Sanjeev Datana, Amrit Thapa

Department of Orthodontics and Dentofacial Orthopedics, Armed Forces Medical College, India

Correspondence: Anu Bharti, Department of Orthodontics and Dentofacial Orthopedics, Armed Forces Medical College, Pune, India

Received: June 02, 2023 | Published: June 20, 2023

Citation: Bharti A, Ray S, Datana S, et al. Dysmorphic craniofacial features in tetralogy of fallot: a case report. J Dent Health Oral Disord Ther. 2023;14(2):48-51. DOI: 10.15406/jdhodt.2023.14.00594

Download PDF

Abstract

Tetralogy of Fallot is characterised by tetrad of pulmonary stenosis, ventricular septal defect, overriding aorta and right ventricular hypertrophy. This case report addresses an array of craniofacial anomalies associated with an operated case of Tetralogy of Fallot.

Keywords: tetralogy of fallot, craniofacial anomalies

Abbreviations

TOF, tetralogy of fallot; CHD, congenital heart disease; IOPA, intraoral periapical; HERS, Hertwig’s epithelial root sheath.

Introduction

Tetralogy of Fallot (TOF) identifies as a type of cyanotic congenital heart disease is a life threatening congenital cardiac anomaly associated with four abnormalities: pulmonary stenosis, an interventricular defect, overriding aorta and right ventricular hypertrophy. The total worldwide prevalence of congenital cardiac disease is around 8/1,000 live births.1 The estimated number of children born with Congenital Heart Disease (CHD) in India is more than 200,000 per year.2 Tetralogy of Fallot has been ranked fifth most common cyanotic heart condition in children. The prevalence of TOF is 3.4/10,000 live births.3 The etiology of Tetralogy of Fallot is multifactorial. Exact etiology remains obscure in most cases. However, some of the most common reasons associated are untreated maternal diabetes, maternal intake of retinoic acid, phenylketonuria and chromosomal anomalies (trisomies 18, 21, 13, microdeletions chromosome 22).4

Children with tetralogy of Fallot presents with clinical manifestations which can vary through mild-to-moderate cyanosis depending upon the insufficiency of blood circulation, loud cardiac murmurs, paroxysms of cyanosis and breathlessness. These patients show poor development physically, clubbing of the fingers and toes and polycythaemia due to persistent hypoxia.5

Oral manifestations of Tetralogy of Fallot include cyanosis prominent more in the mucous membranes of the lips and mouth,6,7 delayed eruption of both dentitions, enamel hypoplasia and higher risk of caries, gingiva may present with gingival hypertrophy, higher prevalence of periodontal disease, marginal gingivitis, periodontal destruction.8–10 Few cases presented with geographic tongue also.11 Incidence of bacterial endocarditis in TOF is 15%.12

This article reports a 14-year male, an operated case of tetralogy of Fallot with dysmorphic craniofacial features associated with taurodontism of molar teeth.

Case report

A 14-year-old male reported to the division of Orthodontics and Dentofacial Orthopedics of tertiary care hospital with complains of forwardly placed upper front teeth. Patient presented with dysmorphic craniofacial features with protruding upper jaw. Medical history revealed that he was diagnosed with tetralogy of Fallot at the age of 1 year and was operated at the age of 1.5 years. The patient was thin and short statured with height of 142 cms, weight of 35 kgs and a BMI of 17.4.

Extraorally, patient presented with dolichocephalic head with cephalic index of 71.0, leptoprosopic facial form, convex profile, decreased nasofrontal angle, reduced prominence of nose, reduced nasolabial angle along with microstomia (Figure 1). Upper lips had a reverse cupid bow curvature, incompetent and short lips with interlabial gap of 11mm, increased incisal show at rest. Gingival exposure at rest and smile was increased to be 2mm and 8mm respectively.

Figure 1 Extraoral photographs.

Intraorally, patient had a constricted maxilla with reduced interpremolar and intermolar width, tapered maxillary arch, increased palatal depth, Angle class II molar and canine relation, proclined incisors with overjet of 10 mm and overbite of 4 mm along with fractured incisal edge of 21. On periodontal examination, attached gingiva of maxillary anteriors was inflamed with pseudopockets of 4mm in 11, 12, 21 and 22 (Figure 2 & 3).

Figure 2 Intraoral photographs.

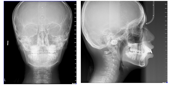
Figure 3 Extraoral radiographs.

Pretreatment orthopantomogram revealed three roots in maxillary first premolar teeth bilaterally which was further confirmed by Intraoral periapical (IOPA) radiograph (Figure 4). The permanent first and second molars of all the four quadrants presented with enlarged pulp chambers with unusual cervical constriction and shortened roots indicating taurodontism. Taurodontism was evaluated using Shifman and Chanannel method.13 Taurodontism was diagnosed if calculated index was more than 20%. Taurodontism index for first and second molar teeth are tabulated in Table 1.

S.No

Tooth notation

TI (%)

Inference

1.                    

16

56

Hypertaurodontism

2.

26

54

Hypertaurodontism

3.

17

70

Hypertaurodontism

4.

27

54

Hypertaurodontism

5.

36

29

Hypotaurodontism

6.

37

44

Hypertaurodontism

7.

46

31

Mesotaurodontism

8.

47

46

Hypertaurodontism

Table 1 Taurodontism index for first and second molar teeth

Figure 4 Orthopantomogram.

To further confirm introral periapal radiographs were taken and evaluated (Figure 5). Lateral cephalogram analysis revealed patient was in cervical maturation stage CS stage 2.14 The patient was skeletally class II with hyperdivergent growth pattern and proclined upper and lower incisors (Table 2).

S.No

Cephalometric parameter

Normal value

Case

1

SNA

82º

84º

2

SNB

80º

77º

3

ANB

4

Co-A

95±3 mm

79 mm

5

Co-Gn

125±5 mm

94 mm

6

Max mand differential

25-30mm

15 mm

7

LAFH:AFH

55-60%

59%

8

SN: ANS-PNS

01:00.7

01:00.7

9

SN: GoPog

01:01.0

01:00.9

10

SN to GoGn

32º

30º

11

Lip length

19-21mm

11mm

12

Nasolabial angle

102º

87º

Table 2 Skeletally class II with hyperdivergent growth pattern

Figure 5 Intraoral periapical radiographs.

On skeletal maturation assessment by hand wrist radiograph patient was in Fishman’s skeletal maturity indicator (SMI) stage 2.15 No evidence of adductor sesamoid was present according to the chronological age of the patient thus depicting skeletal immaturity (Figure 6).

Figure 6 Hand wrist radiograph.

Discussion

Congenital cardiac patients include non-cyanotic CHD and cyanotic CHD. Cyanotic congenital heart defects, primarily including decreased pulmonary blood flow fall are the serious ones amongst all types. Tetralogy of Fallot falls under the category of cyanotic heart disease. Infants with tetralogy of Fallot have higher risk of getting an infection of the layers of the heart, called infective endocarditis, irregular heart rhythms, called arrhythmia, dizziness, fainting, or seizures, because of the low oxygen levels in their blood and showcase delayed growth and development.5 In addition to systemic involvement, patients present with various oral health issues.6–12

CHD also adversely affects the development of the dentition. Patients with CHD have more enamel anomalies i.e., enamel hypomineralisation pertaining to nutritional deficiencies during initial years of these children and chronic hypoxia.16,17 These patients have high risk of early childhood caries.18–20

The present case had taurodontism with respect to all maxillary and mandibular first and second molars. Taurodontism is a developmental anomaly of tooth morphology which arises as a result of delay or failure in root invagination by Hertwig’s epithelial root sheath (HERS). It is found in both the maxilla and mandible. Molars in deciduous as well as permanent dentition are most commonly involved, both unilaterally and bilaterally.

Taurodontism is characterized by an enlarged apically displaced pulp chamber, a proportionately shortened root, and an enlarged pulp chamber in the affected tooth, resulting in apical displacement of furcation areas and loss of usual constriction at the cementoenamel junction. Taurodontism occurs in approximately 11.8% of the living population.21

The frequency of taurodontism for posterior teeth (except third molars) among orthodontic patients has been reported as 4.5%.22 According to extent, taurodontism is classified into the mildest (hypotaurodontism), the moderate (mesotaurodontism) to the most severe manifestation (hypertaurodontism).23

Taurodontism warrants careful speculation during restoration of tooth, endodontic therapy, extraction of tooth, orthodontic tooth movement, or prosthodontic tooth preparation. The anchorage of a taurodontic tooth is reduced due to reduction in the surface area of the root, increasing risk of root resorption24 and making use of headgear contraindicated.22 Orthodontic anchorage during fixed mechaotherapy in such cases can be increased by adding a greater number of teeth in the anchored unit or with indirect anchorage using orthodontic implants.

However, the patient had fair level of oral hygiene maintenance and no active carious lesion. Early intervention and successful management of CHD has reduced the degree of systemic disturbances during enamel formation and thus burden of dental diseases in CHD patients.25

There is paucity of literature which compares craniofacial growth in children with CHD to healthy children. Muscles and bones of these patients are subjected to various potentially deleterious influences during growth and development.26 These patients may show dysmorphic facial features: hypertelorism, low-set ears, small mouth, short philtrum, and micrognathia.27

Physical examination of patient revealed thin and short stature height of 142 cms and weight of the patient was 35 and BMI- 17.4. Congenital cardiac patients often show reduced cortical bone growth, retarded skeletal maturation, scoliosis, pulmonary osteoarthropathy and premature fusion of the sternum. These features occur more commonly in cyanotic than in acyanotic patients.28 Children with congenital heart disease may grow or develop more slowly than other children.29 However, de Andrade Goldner et al. found that patients suffering from heart disease have similar craniofacial characteristics to those without this condition. Children with CHD have more mesial occlusions and crowding of teeth than other healthy children.30

Skeletal maturity assessment is crucial in orthodontic diagnosis and treatment planning since many treatment interventions require growth modifications. Cervical vertebral maturation, a skeletal maturity indicator, is evaluated from lateral cephalometric radiographs using cervical vertebrae maturation stage. The morphology of the bodies of the second (C2), third (C3), and fourth (C4) cervical vertebrae are analysed.31,32 Male estimates for chronological age as per cervical vertebrae maturation ranges from 9.7- 12.3 years.33 Chronological age of this patient was 14 years. In addition to CS stage, hand wrist radiograph also showed SMI stage 2 which depicts that patient was trailing behind in skeletal maturation.

Patient with Class II Division 1 with hyperdivergent growth pattern and vertical maxillary excess is a challenging malocclusion to deal with. Past medical history of operated TOF further added up to the complexities. Gradual improvement of therapeutic procedures medicine for congenital heart disease in field of medicine has improved prognosis for these patients, thereby increasing the demand for adjunctive/dental treatment in these individuals.

Formulation of orthodontic treatment plan is done after careful evaluation of nature and severity of anomaly and growth potential of the patient. For skeletal component of malocclusion, the best treatment would include correction of the anomaly if the growth potential permits. Skeletal correction of maxillary vertical excess necessitates redirection or restraining of growth of maxilla or surgical impaction of maxilla depending upon the growth potential of the patient. Headgears are most commonly used to inhibit maxillary anterior displacement.34,35

In the present case the treatment has been planned in two phases. In phase I, the patient has been given high pull headgear with splint and is under regular follow up. Phase 2 of the treatment would comprise of comprehensive fixed orthodontic mechanotherapy followed by retention phase.

Nevertheless, maintenance of meticulous oral hygiene is mandatory for these patients to reduce the risk of gingival disease, owing to the fact that these patients are at higher risk of infective endocarditis.12 Antibiotic prophylaxis is must before extraction and any invasive procedure. Bonding should be preferred over banding. Every effort should be made to provide stress free care to the patient in order to avoid cyanotic spells.36,37

Conclusion

Orthodontic treatment of patient with significant medical history should comprise of interdisciplinary management. Tetralogy of Fallot may present with plethora of extracranial and intracranial features. A holistic approach for the patient needs to be followed and evaluated time to time for overall better prognosis and favourable clinical outcomes.

Acknowledgments

None.

Conflicts of interest

Author declares there are no conflicts of interest.

References

  1. Van Der Linde D, Konings EEM, Slager MA, et al. Birth prevalence of congenital heart disease worldwide: a systematic review and meta-analysis. J Am Coll Cardiol. 2011;58(21):2241–47.
  2. Saxena A. Congenital heart disease in India: A status report. Indian Pediatr. 2018;55(12):1075–1082.
  3.  Gupta K, Bajaj B, Das B. Successful outcome of pregnancy in uncorrected tetralogy of Fallot. Int J Reprod Contracept Obstet Gynecol. 2014;3(3):799–802.
  4. Frias JD, Guillaume M. Tetralogy of Fallot. StatPearls Publishing. 2022.
  5. Bailliard F, Anderson RH. Tetralogy of Fallot. Orphanet J Rare Dis. 2009;13:2–4.
  6. Kaner A, Losch PK, Green H. Oral manifestation of congenital heart disease. J Pediatrics. 1945;29:269−274.
  7. Behrman RE, Vaughan VC. Nelson textbook of pediatrics. III ed. Philadelphia: WB Saunders Co. 1983;660−1026.
  8. Carranza FA. Glickman’s clinical periodontology. 7th ed. Philadelphia: WB Saunders Co. 1990:469–470.
  9. Gedik S, Gedik R, Gedik TN. Tetralogy of Fallot. Report of 30 cases and dental considerations with review of literature. WIMJ Open. 2015;2(2):102–105.
  10. Weymen J. The dental care of handicapped children. Edinburg and London: Churchill Livingstone. 1971;40−5.
  11.  Tetralogy of fallot. Texas: Texas Heart Institute. 2005.
  12.  Baraas F. Penyakit jantung pada anak. Jakarta: Balai Penerbit Fakultas Kedokteran Universitas Indonesia. 1995;10:140–51.
  13. Shifman A, Chanannel I. Prevalence of taurodontism found in radiographic dental examination of 1,200 young adult Israeli patients. Community Dent Oral Epidemiol. 1978;6(4):200–203.
  14. Baccetti T, Franchi L, McNamara JA. The Cervical Vertebral Maturation (CVM) method for the assessment of optimal treatment timing in dentofacial orthopedics. Semin Orthod. 2005;11:119–129.
  15. Fishman LS. Radiographic evaluation of skeletal maturation. A clinically oriented method based on hand‑wrist films. Angle Orthod. 1982;52(2):88–112.
  16. Franco F, Saunders CP, Roberts GJ, et al. Dental disease, caries related microflora and salivary IgA of children with severe congenital cardiac disease: an epidemiological and oral microbial survey. Pediatr Dent. 1996;18(3):228–35.
  17.  Jalevik B, Noren JG. Enamel hypomineralization of permanent first molars: A morphological study and survey of possible aetiological factors. Int J Paediatr Dent. 2000;10(4):278–289.
  18.  Hallett KB, Radford DJ, Seow WK. Oral health of children with congenital cardiac diseases: a controlled study. Pediatr Dent. 1992;14(4):224–230.
  19.  Stecksén-Blicks C, Rydberg A, Nyman L, et al. Dental caries experience in children with congenital heart disease: A case-control study. Int J Paediatr Dent. 2004;14(2):94–100.
  20. Karikoski E, Sarkola T, Blomqvist M. Dental caries prevalence in children with congenital heart disease - a systematic review. Acta Odontol Scand. 2021;79(3):232–240.
  21. Decaup PH, Couture C, Colin M, et al. Prevalence of taurodontism: meta-analysis in recent humans and evolutionary perspectives. Homo. 2022;73(1):1–11.
  22. Çelpkoolu M, Miloglu O, Oztek O, et al. The frequency of taurodontism in an east anatolian orthodontic patient population. Turk Klin J Dent Sci. 2010;16:214–217.
  23. MacDonald D. Taurodontism. Oral Radiol. 2020;36(2):129–132.
  24. Yordanova M, Yordanova S, Tomov G. Orthodontic problems in patients with hypodontia and taurodontism of permanent molars. J IMAB Annual Proceed (Scientific Papers). 2011;17(2):109–13.
  25. Datana S, Agarwal, S, Bhandari S. Implication of taurodontism in orthodontic diagnosis and treatment planning a review and case report. J Dent Defence Section. 2021:15(1):43–46.
  26.  Tasioula V, Balmer R, Parsons J. Dental health and treatment in a group of children with congenital heart disease. Pediatr Dent. 2008;30(4):323–328.
  27. Witzel C, Sreeram N, Coburger S, et al. Outcome of muscle and bone development in congenital heart disease. Eur J Pediatr. 2006;165(3):168–174. 
  28. Radford DJ, Thong YH. Facial and immunological anomalies associated with tetralogy of Fallot. Int J Cardiol. 1989;22(2):229–236.
  29. White RI, Jordan CE, Fischer CE, et al. Skeletal changes associated with adolescent congenital heart disease.Am J Roentgenol Radium Ther Nucl Med. 1972;116(3):531–538.
  30. Schaan CW, Feltez G, Schaan BD, et al. Functional capacity in children and adolescent with congenital heart diseases. Rev Paul Pediatr. 2019;37(1):65–72.
  31. Goldner MTA, Martins MM, Quintão CCA, et al. Craniofacial characteristics of patients with heart disease. Am J Orthod Dentofacial Orthop. 2009;136(4):554–558.
  32. Hassel B, Farman AG. Skeletal maturation evaluation using cervical vertebrae. Am J Orthod Dentofacial Orthop. 1995;107(1):58–66.
  33. Baccetti T, Franchi L, McNamara JA, Jr. An improved version of the cervical vertebral maturation (CVM) method for the assessment of mandibular growth. Angle Orthod. 2002,72(4):316–23.
  34. Magalhães MI, Machado V, Mascarenhas P, et al. Chronological age range estimation of cervical vertebral maturation using Baccetti method: a systematic review and meta-analysis. Eur J Orthod. 2022;44(5):548–555.
  35. Kloehn SJ. Orthodontics-force or persuasion. Angle Orthodont. 1953;23:56–65.
  36. Ricketts RM. The influence of orthodontic treatment on facial growth and development. Angle Orthodont. 1960;30:103–133.
  37. Spivack E. Tetralogy of Fallot: an overview, case report, and discussion of dental implications. Spec Care Dentist. 2001;21(5):172–75.
Creative Commons Attribution License

©2023 Bharti, et al. This is an open access article distributed under the terms of the, which permits unrestricted use, distribution, and build upon your work non-commercially.