Submit manuscript...
Journal of
eISSN: 2373-4345

Dental Health, Oral Disorders & Therapy

Case Report Volume 13 Issue 1

Redefining the new generation endodonticsGenEndo Files: cases reports and review

Harpreet Singh

Dean, BJS Research Institute, Professor Endodontics, BJS Dental College and Hospital, India

Correspondence: Prof (Dr.) Harpreet Singh, Dean, BJS Research Institute, Professor Endodontics, BJS Dental College and Hospital, Ludhiana, India

Received: February 16, 2022 | Published: February 28, 2022

Citation: Singh H. Redefining the new generation endodontics- GenEndo Files: cases reports and review. J Dent Health Oral Disord Ther. 2022;13(1):21-23. DOI: 10.15406/jdhodt.2022.13.00564

Download PDF

Abstract

While there is a plethora of rotary endodontic files available to dental professionals, the need of a simple, easy to use and yet efficient rotary file system is still felt at times. The scientists and researchers are in constant quest, designing new systems which can fulfil all the criteria of a perfect rotary file system. Lately, a new system GenENDO™ rotary endodontic files has been launched, the features of which seem promising enough to satisfy the requirements of a dentist, when it comes to choosing an ideal rotary file system. 

Introduction

Success in endodontic therapy relies on thorough cleaning and shaping of root canal system followed by its complete obturation.1 With rise in number of patients seeking endodontic therapy, the use of rotary endodontic files has substantially increased as well.2 The dental professionals, in addition to managing routine cases, also have to deal with more complicated cases such as those with very fine and curved canals. The researchers, across the globe have been working day and night to create the ‘wonder instruments’ which can make the dynamic endodontic procedure simpler and predictable.

Rotary endodontic instruments have brought a paradigm shift in the field of Endodontics.3,4 However, as the use of these fast cutting Ni Ti Files has progressed across the globe, the instrument related procedural errors such as ledge formation, transportation, perforations etc. have become increasingly common.5-7

While there can be no ideal files for every root canal, considering the variation in diameter, shape, curvature etc., the smart need of the hour is to design a system, which can cater to almost all canal configuration types. The success of this system would perhaps lie on the detailed structural engineering and design of the rotary files, with different heat treatments being given to files, meant for usage in different parts of the root canal. The new GenENDO™ (by Micro Mega, manufactured specially for Coltene India) heat- treated nickel titanium rotary files which are specially designed to give quick and predictable results for endodontic treatments, seem to perfectly match these criteria in totality. These files are unique in design and metallurgy and perfectly represent ‘a perfect combination of flexibility and strength’.

Gen Endo file system

The GenENDO files system has been designed keeping the simplicity of use in mind, with dedicated files for coronal flaring, establishing glide path, efficient preparation and shaping of the canal, and smooth cleaning and finishing. The utilization of different technologies in fabrication of each of these files, makes them highly unique. The rationale behind such extensive exercise lies in the fact that since each file has a specific function to perform and is meant to work in different area of the root canal, their structural designing and properties are meant to be unique in order to optimize the clinical efficacy without causing procedural errors. This unique combination of flexibility and fracture resistance makes these files almost universally acceptable in almost all clinical situations.

The GenENDO files are available in a set of 4 files: Coronal flare (CF), Glide Path File (GPF), Preparation file (PF) and Universal Finishing file(UF1) (Figure 1) or a set of 6 files (Finishing files:FF2 and FF3 in addition to the 4 file set). Recommended speed is 400 rpm and recommended torque is 1.8 Ncm for CF and GPF while it is 2.5Ncm for PF, UF1, FF1 AND FF2.

Figure 1 GenENDO files (pack of 4).

The corresponding gutta percha points and paper points (UF1, FF2, FF3) which perfectly complement the files complete the entire kit.

Let us have a close look at the specific characteristics of each file in this system, which makes it completely unique:

  1. The Coronal Flare file (CF file: #25/0.09) has been made with T-Wire heat treatment which results in better flexibility and cyclic fatigue resistance as compared to instruments manufactured using the traditional austenite Ni Ti alloy. The file, as the name suggests is used for coronal flare only and it facilitates the safe movement of succeeding files by removing the coronal debris. The increased flexibility of this file prevents lodgment of the file in the dentinal walls during usage.
  2. Glide Path File (GPF: #14/0.03) has not been heat treated and is ideal for creating a smooth glide path especially in case of narrow and curved canals. The asymmetrical cross-section of this file facilitates active removal of debris. The three active cutting blades at three radii centering to the canal axis and a variable pitch between each cutting edge helps to eliminate the screwing effect of the file, when in use, which is a major advantage of this file.
  3. Preparation file (PF: #20/0.04) has been subjected to C wire heat treatment (Controlled memory of Ni Ti) which provides the user with a unique advantage to pre-bend the file for easier access to the root canal and elimination of constraints. The triple helix cutting edge helps in circumferential debris removal and the helical angle at the cutting edges prevents screwing of the file in the canal. The longer pitch through the length of the file improves flexibility and strength of the file while the optimized bigger inner core provides excellent fracture resistance to the file.
  4. Universal finishing file (UF1: #25/0.04) is again a C wire heat treated Controlled memory file providing all the benefits, similar to the PF. It is advisable to finish the canal preparation at this stage in cases of narrow and curved canals, provided other criteria of cleaning and shaping are also met.
  5. Final Finishing File 2(FF2: #25/0.06) is used when further apical preparation is required. The file has an asymmetrical cross-section which helps in recapitulating the action of UF1 and smoothening of the canal walls. The triple helix cutting edge helps in circumferential debris removal and facilitates the optimal upward removal of canal debris.
  6. Final Finishing File 3 (FF3: #30/0.06) is used in cases when the apical size of the canal demands further enlargement. This file is similar to FF2 in characterization and functioning as it recapitulates the action of UF1 & FF2 and smoothens the canal walls. In addition, the extended helical machining up to the coronal region enables a continuous bending of the instrument. In overall, the file provides adequate canal preparation ensuring increased apical finishing.

Case reports

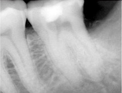
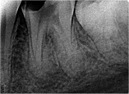
A 25 years old female came with the complaint of pain and sensitivity in mandibular left first molar (Figure 2). After clinical and radiographic examination and endodontic therapy was advised.  After anaesthetizing the tooth, access preparation was done and canal orifices were located with DG 16 endodontic explorer. Initial negotiation of the root canals was performed with K-file # 10. Thereafter GenEndo files were used in a sequential order as per the manufacturer’s instructions.  CF file (Coronal Flare file) was first used to perform the coronal flare. Thereafter, 10 K-file was used to measure the working length using an electronic apex locator (Canalpro, Coltene). Thereafter, GPF was used up to the WL in order to make a smooth glide path for the larger files to follow. Subsequently, the PF and UFI were used in the sequential order up to the WL to complete the preparation. Warm 5 % sodium hypochlorite (warmed using Syringe warmer, Coltene) was used throughout the procedure as the irrigant. Calcium hydroxide was given as intracanal medicament. In the next appointment, as the patient was asymptomatic,  master cone fit radiograph was taken  using corresponding GP Points (GenENDO) which  revealed proper fitting of respective GP cones. Canals were dried with paper points and obturation done by using single cones of corresponding taper and size as MAF, using Gutta Flow Bioseal sealer (Coltene). The fine and curvy mesial canals and two distinct distal canals in this tooth can be easily appreciated (Figure 3).

Figure 2 Pre-operative radiograph of mandibular first molar.

Figure 3 Post-operative radiograph showing fine mesial canals and two distinctive distal canals.

A similar case of mandibular first molar of a 36 year old male (Figure 4) was completed using Gen Endo Files. Canals were wide and relatively straight in the mesial root but had a distinct curvature in the distal root, which is quite apparent in the post-obturation radiograph (Figure 5).

Figure 4 Pre-operative radiograph.

Figure 5 Post-operative radiograph showing curved distal canal.

Conclusion

The prime objective of endodontic therapy lies in the thorough mechanical and chemical debridement of the entire pulp cavity, followed by a three dimensional obturation. The evolution of rotary endodontic files has come a long way, both in terms of metallurgy and surface configuration.

While the quest for ‘ideal files with universal acceptance’ is still in progress, a silver lining in the form of ‘GenENDO Files’ surely gives a direction. A perfect combination of ‘strength and flexibility’, the GenENDO files provide the clinicians an exemplary set of instruments which can be utilized in almost all clinical situations. Special attention given to the structural designing and heat treatments to different files in the set makes this system unique. While on one hand, the T wire treated Coronal flare file gives us the much required coronal enlargement with much ease, on the other hand, the special Glide Path file in the system is the eye-catch of the show as it ensures a smooth path in extremely difficult cases with severe curvatures and thinner canals. As desired, the C wire treated Preparation File and the Universal Finishing File extraordinarily represent the amalgamation of strength and flexibility.

With GenENDO files, it seems that an era of innovational endodontic files has begun…..

References

Creative Commons Attribution License

©2022 Singh. This is an open access article distributed under the terms of the, which permits unrestricted use, distribution, and build upon your work non-commercially.