Submit manuscript...
Journal of
eISSN: 2373-4345

Dental Health, Oral Disorders & Therapy

Case Report Volume 13 Issue 1

Success tips for renewing fractured ceramic veneer on central insicor

Yosra Farhat, Imen Kalghoum, Ines Azzouzi, Zohra Nouira, Belhssen Harzallah, Mounir Cherif, Dalenda Hadyaoui

Department of Fixed Prosthodontics, Research Laboratory of Occlusodontics and Ceramic Prostheses LR16ES15, Faculty of Dental Medicine, University of Monastir, Tunisia

Correspondence: Imen kalghoum Department of Fixed Prosthodontics, Research Laboratory of Occlusodontics and Ceramic Prostheses LR16ES15, Faculty of Dental Medicine, University of Monastir, Monastir, Tunisia

Received: October 01, 2021 | Published: January 28, 2022

Citation: Farhat Y, Kalghoum I, Azzouzi I, et al. Success tips for renewing fractured ceramic veneer on central insicor. J Dent Health Oral Disord Ther. 2022;13(1):4-7. DOI: 10.15406/jdhodt.2022.13.00562

Download PDF

Abstract

This clinical report describes how to achieve a successful rebonding of a debonded porcelain veneer successfully using several procedures such as grinding enamel to eliminate the remaining adhesive from the first bonding and ultrasonic treatment of the veneer’s surface.  Care is given the bonding protocol in order to optimize the durability of the interface.

Keywords: Incisor, veneer, fracture, Rebonding, surface preparation, etching

Introduction

Nowadays, the social demand of aesthetic restorations is steadily growing since dental appearance is an important indicator of facial attractiveness and present a significant factor of person’s well‒being.1 For many years, crowns were the most predictable aesthetic solution for anterior region however, the evolution of prosthodontics dentistry approach seeks to provide a treatment that allow good aesthetic outcomes and preserve as far as possible dental structures.2  In search for more durable aesthetics and less invasive solution, porcelain veneers which was introduced in the early 1980s3 demonstrate excellent clinical performance and provide an opportunity to enhance the patient’s smile in minimally invasive way.4

These restorations can restore slight discolorations, abrasion or fracture, modify tooth’s shape, close diastema and improve minor alignment problems5 these veneers must be bonded to teeth following the principles of adhesion.

Although, porcelain veneers are generally successful under the appropriate clinical conditions different modes of failure can occur including the possibilities of postoperative sensitivity, marginal discoloration, fracture, debonding, and wear of opposing teeth. In fact The most frequently observed type of failure was a veneer fracture. Contributing factors can lead to the occurrence of fractures including dentin exposure during tooth preparation, placing finish lines on large composites, or heavy parafunctional occlusal loading.2 When confronted clinically to a fractured restoration, a new veneer is often necessary, however, in case of insufficient residual enamel a full coverage crown is often indicated, in fact when sufficient enamel remains for successful adhesive bonding, an attempt to rebond a new porcelain veneer restoration may be an appropriate treatment option.

The objective of this article is to determine the several causes that can lead to the fracture of porcelain veneers as well as the different procedures that improve rebonding of porcelain veneer to enamel.

Case report

A healthy 23‒year‒old woman presented to our department with fractured veneer on the left central incisor 21. Clinical examination revealed a static fracture, the remainder of the veneer still remains intact on the tooth. According to the patient fracture occurred while she was eating a sandwich and since then teeth has become sensitive.

A brief evaluation of her medical history indicated that the patient had a traumatic fracture of both her central incisors and had undergone a prosthetic treatment with porcelain veneers on 11 and 21 within the past 3 years. The preparation of both veneers were made with insical coverage according to the degree of destruction.

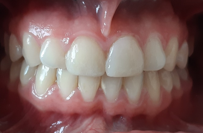
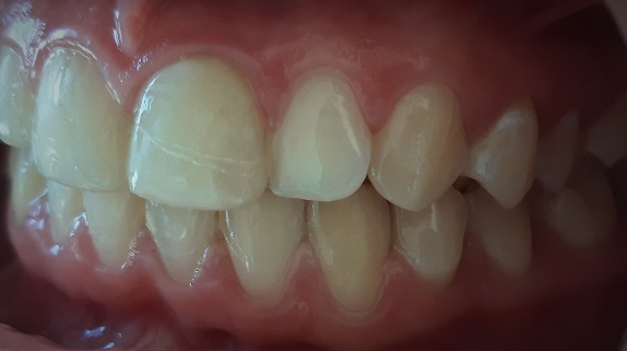
During the first appointment, intraoral photographs were taken (Figure 1 & 2) and first impression was taken for study models.

Figure 1 Intraoral front view (fractured fragment temporary cemented).

Figure 2 Intraoral lateral view.

Then, debonding was performed using ultrasonic devices, the 2 fragments of fractured veneers were retrieved (Figure 3). After that, the enamel was grinded to eliminate the underlying layer of previously treated enamel (mechanically) using diamond burs (Figure 4) and chemically using pumice polishing powder (Figure 5).

Figure 3 Fractured veneer.

Figure 4 Grinding enamel using diamant burse.

Figure 5 Grinding enamel using pumice powder.

Consequently, final impression was made using light‒body and heavy‒body consistency polyvinylsiloxane (Virtual 380, Ivoclar Vivadent, Amherst, NY, USA ) as well as temporary restoration using self‒cured temporary composite material (Structur Premium, VOCO GmbH, Cuxhaven, Germany) (Figure 6). The following appointment, before bonding, the restorations were evaluated in terms of adaptation (Figure 7).

Figure 6 Temporary restoration.

Figure 7 Fitting session.

The color of the adhesive cement was selected using a try in cement (Variolink II, Ivoclar Vivadent). Cementation of the restoration was performed using the appropriate cement color (color A1). Firstly, the try‒in was removed, washing it under running water, and, subsequently, 10% hydrofluoric acid was applied (Ceramic Etching Gel, Ivoclar) for 60 seconds. The sample was then rinsed thoroughly, then the restoration was immersed into 95% alcohol for 4 minutes (Figure 8). Consequently, silane (Monobond‒Ivoclar) was applied for 60 seconds (Figure 9a & 9b). An operating field was then set, the tooth surface was first treated with 32% phosphoric acid gel (Condac, FGM) for 30 seconds (Figure 9 c), then rinsed, and dried.  The adhesive system (Syntac‒ivoclar) was applied for 30 seconds (Figure 9 d). The light color cement (Variolink Esthetic LC, Ivoclar Vivadent) was applied to the restoration which was placed onto the tooth (Figure 9 e). Excess cement was removed with a micro brush and using a floss in the interproximal surfaces before light curing for 20 seconds on the facial surface. Finally, a glycerin layer (Liquid Strip, Ivoclair Vivadent) was applied between the union piece and tooth, and resin cement was light cured for another 20 seconds, aiming at blocking the oxygen entrance (Figure 10a & 10b).

Figure 8 Immersing the restoration into alcohol.

Figure 9a Silane application.

Figure 9b Silane.

Figure 9c Etching.

Figure 9d Adhesive application.

Figure 9e The cement.
Figure 9 Bonding protocol.

Figure 10a Front view.

Figure 10b Lateral view.
Figure 10 Final result.

Discussion

Failures associated with ceramic veneers are related to fracture, microleakage, and debonding. Fracture alone accounted for 67% of the total failures recorded for ceramic veneers during the clinical observation period up to 15 years.6

The aim cause of fracture are related to patient’s habits so it is important to recommend to the patient to avoid incision especially hard food and interposition of objects between teeth. It has been shown that clinical studies are needed in order to evaluate the performance of restorative materials, given that certain intraoral conditions cannot be duplicated in the laboratory. These situations include the application of multiple, intermittent and cyclical forces on biting, chewing or grinding; the constant exposure to a moist, bacteria‒rich environment; the consumption of hot and cold liquids, as well as vigorous brushing. In vivo studies are therefore necessary to verify the acceptability of a laminate veneer as a definitive restorative treatment.7,8 Since the high rate of failure in restorations is related to the large exposed dentin, the preparation technique is considered as the most determining factor for the longevity of porcelain laminate veneer. Tooth preparations for bonded restorations should be restricted to enamel .On this grounds tooth preparation methods are the most considerable factor in influencing the bonding interface for both clinicians and patients.9

A clinical study is reported a 93% survival rates for ceramic veneers after 15 years which is attributed to the conservation of tooth structure, reliable bonding to enamel, favorable esthetics, and color stability.10,11 Additionally ,the literature suggests a relationship between bond strength values and failures modes. Successful luting increases fracture resistance of the tooth and the restoration, and reduces the incidence of micro‒leakage. In fact, the strength of Laminate veneers restorations rely highly on the adhesion protocol used where surface conditioning of the ceramic and tooth substrates play a significant role. Although procedures for adhesive luting are well established, failures are still experienced in clinical studies and survival rates are reported to range between 82 and 96% in 10‒21 years.12‒14

When rebonding porcelain veneer, the properties of the underlying layer of previously treated enamel can affect the rebonding strength. Probably, the surface of the enamel can contain adhesive remains even after removing all visible adhesive. The remaining adhesive can decrease the roughness of the enamel surface and therefore reduce also the rebonding strength. It has been reported that reetching does not remove this residual adhesive, so another method should be employed. Literature has shown that grinding enamel refreshes the surface for rebonding and improves bonding’s properties.15

After acid etching the surface is rinsed and dried. However SEM studies (scanning electron microscopy) showed that, even after the etched surface is rinsed with copious amounts of water, a great number of aid crystals will stay deposited on the etched surface that may affect the bond strength. In order to eliminate this, the veneers should be placed into the ultrasonic cleaner. All residual acid and dissolved debris can be removed from the etched surface with an ultrasonic cleaning in 95% alcohol for 4 minutes, or acetone or distilled water.

Many authors agree that the immersion of the etched porcelain in an ultrasonic bath creates the best surface that allows penetrability. However, some have observed no significant differences in surface morphology and bond strength between the hydrofluoric acid etched Feld spathic porcelain and that without ultrasonic cleaning.16 The adhesive interface is a key element of successful treatment with ceramic veneers. The continuity between the tooth substrate, cement, and the internal face of a ceramic veneer is responsible for its fracture resistance and the solubility of cement in the oral environment.17

The interfacial leakage is attributed for the partial debonding, discoloration, and fracture.  The polymerization shrinkage of resin cements and the differences in coefficients of thermal contraction of bonded surfaces are credited for the accelerated marginal gap formation .Literature has shown that the best enamel sealing of the cemented veneers was obtained with the etch‒rinse resin luting cements.18

Conclusion

Veneers have been considered one of the most viable treatment modalities but their success depends on both the suitable indications and the correct clinical application based on appropriate materials and techniques. Veneers have been considered as one of the most viable treatment modalities, however, a good communication with the patient allows him to avoid possible fracture that may be caused by inappropriate habits. In case of fracture, reprise is necessary and due care should be given to the rebonding protocol.

References

  1. Nalbandian S, Millar BJ. The effect of veneers on cosmetic improvement. British Dental 2009;207(2):E3–E3.
  2. Pineda‒Vasquez L, Fons‒Font A, Bustos‒Salvador J, et al. Shear bond strength of debonded ceramic restorations re‒cemented by means of a cleaning and retreatment protocol. Journal of Clinical and Experimental Dentistry.
  3. St Germain H, St Germain T. Shear Bond Strength of Porcelain Veneers Rebonded to Enamel. Operative Dentistry. 2015;40(3);E112–E121.
  4. Pascotto R, Pini N, Aguiar FHB. Advances in dental veneers: materials, applications, and techniques. Clinical, Cosmetic and Investigational Dentistry. 2012;9.
  5. Elif OztürkSükran Bolay. Survival of porcelain laminate veneers with different degrees of dentin exposure: 2‒year clinical results, Quintessenz Journals. 2014;481‒489.
  6. M J Friedman. A 15‒year review of porcelain veneer failure‒‒a clinician's observations. 1998;630‒632.
  7. Alhekeir DF, Al‒Sarhan RA, Al Mashaan AF. Porcelain laminate veneers: Clinical survey for evaluation of failure. The Saudi Dental Journal. 2014;26(2);63–67.
  8. Granell‒Ruiz M, Granell‒Ruiz R, Fons‒Font A. Influence of bruxism on survival of porcelain laminate veneers. Medicina Oral Patología Oral y Cirugia Bucal. 2004;e426–e432.
  9. Castelnuovo J, Tjan AHL, Phillips K. Fracture load and mode of failure of ceramic veneers with different preparations. The Journal of Prosthetic Dentistry. 2000;83(2);171–180.
  10. Sadighpour L, Geramipanah F, Rasaei V. Fracture Resistance of Ceramic Laminate Veneers Bonded to Teeth with Class V Composite Fillings after Cyclic Loading. International Journal of Dentistry. 2018;1–6.
  11. Elif OztürkSükran Bolay. Survival of porcelain laminate veneers with different degrees of dentin exposure: 2‒year clinical results. J Adhes Dent. 2014;481‒489.
  12. Blatz MB, Vonderheide M, Conejo J. The Effect of Resin Bonding on Long‒Term Success of High‒Strength Ceramics. Journal of Dental Research. 2017;97(2);132–139.
  13. Gresnigt MMM, Özcan M, Carvalho M. Effect of luting agent on the load to failure and accelerated‒fatigue resistance of lithium disilicate laminate veneers. Dental Materials. 2017;33(12);1392–1401.
  14. Peumans M, Van Meerbeek B, Lambrechts P. Porcelain veneers: a review of the literature. Journal of Dentistry. 2000;28(3):163–177.
  15. Kilponen L, Lassila L, Tolvanen M, et al. Effect of Removal of Enamel on Rebonding Strength of Resin Composite to Enamel. BioMed Research International. 2016;1–7.
  16. Morita RK, Hayashida MF, Pupo YM, et al. Minimally Invasive Laminate Veneers: Clinical Aspects in Treatment Planning and Cementation Procedures. Case Reports in Dentistry. 2016;1–13.
  17. Graça L, Palmeira A, Fernandes L, et al. In vivo optical coherence tomographic imaging to monitor gingival recovery and the adhesive interface in aesthetic oral rehabilitation: A case report. Imaging Science in Dentistry. 2019;49(2).
  18. Haralur SB. Microleakage of porcelain laminate veneers cemented with different bonding techniques. J Clin Exp Dent. 2018;10(2):166‒71.
Creative Commons Attribution License

©2022 Farhat, et al. This is an open access article distributed under the terms of the, which permits unrestricted use, distribution, and build upon your work non-commercially.