Submit manuscript...
Journal of
eISSN: 2373-4345

Dental Health, Oral Disorders & Therapy

Case Report Volume 14 Issue 4

The challenge of implant support prosthesis with a bony defect in the esthetic zone: a clinical report

Emna Boudabous, Imen Kalghoum, Oumayma Mejri, Islem Ayechi, Zohra Nouira, Dalenda Hadyaoui, Belhassen Harzallah

Department of Fixed Prosthodontics, Research Laboratory of Occlusodontics and Ceramic, University of Monastir, Tunisia

Correspondence: Imen Kalghoum, Assistant professor in the Department of Fixed Prosthodontics, Research Laboratory of Occlusodontics and Ceramic, University of Monastir, Tunisia

Received: October 03, 2023 | Published: October 20, 2023

Citation: Boudabous E, Kalghoum I, Mejri O, et al. The challenge of implant support prosthesis with a bony defect in the esthetic zone: a clinical report . J Dent Health Oral Disord Ther. 2023;14(4):113-118. DOI: 10.15406/jdhodt.2023.14.00603

Download PDF

Abstract

The replacement of a single incisor with an implant-supported prosthesis is considered as a professional challenge in daily practice. The aesthetic success of the restoration depends on several local and loco-regional factors that the practitioner must perfectly know. This article describes a 29 years old female patient who presented in the department of prosthodontics for the replacement of her lateral incisor and the restoration of her canine. After clinical and radiographic study, the minimal bone volume could only accommodate the placement of a narrow implant to support a ceramic incisor.

Keywords: anterior sector, esthetics, implant position, surgical procedures, connective tissue grafting

Introduction

The absence of an incisor can have aesthetic, psychological and functional repercussions. This is why the demand for aesthetic restoration is increasing and presents a clinical challenge despite the low frequency of loss.1

 Faced with this loss, fixed prosthesis offers a wide range of choices with various advantages and disadvantages.

Today, the implant-supported prosthesis finds its interest thanks to the tissue economy offered and its sufficient clinical hindsight. Indeed, implantology, which has proven itself in terms of osseointegration, must meet a double objective in the anterior sector, namely function and aesthetics.2

The anterior region is a delicate area to treat, and its rehabilitation requires great rigor and precision, involving increased clinical and technical skills on the part of the practitioner and the laboratory technician. The aesthetic challenge consists in reproducing the natural tooth in terms of shape, color and emergence and restoring the surrounding periodontal tissues.

The esthetic success of the restoration depends on several local and loco-regional factors that the practitioner must perfectly know. A pre-implant assessment must be done before implant surgery.3 Surgical bone and mucosal management may be necessary in certain clinical situations to place the implant in its optimal position. Therefore, placement of implants in a correct three-dimensional position is a key element to obtain a satisfactory result.

In addition, a rigorous recording of the peri-implant tissue using proper impression techniques, the right choice of the prosthetic abutment, and the suprastructure are also essential to ensure a satisfactory and durable esthetic and functional result. The purpose of this article is to review the aesthetic and biomechanical requirements as well as the guidelines for the success of the supra-implant prosthesis through a clinical case describing the replacement of the lateral incisor with a narrow implant- supporting ceramic single-crown.

Case report

A 29-year-old woman with insignificant medical history, presented at the department of fixed prostheses in dental clinic of Monastir for the replacement of her lateral incisor (12) and the restoration of her canine (13) .

Extraoral examination showed a mouth opening: sufficient and Smile line: low (Figure 1)

Figure 1 Low smile line.

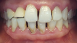
Intraoral examination showed an inadequate hygiene, a Periodontal thick ,a sufficient attached gingiva , a defective mesially extended metal-resin bridge replacing the 12 and a symmetry of the neck line. (Figures 2–4)

Figure 2 Occlusal view of the maxilla.

Figure 3 Occlusal view of the mandible.

Figure 4 OIM.

Cone beam examination revealed mesio distal space: 8mm , Bone thickness<6mm and Available bone height: 15mm (Figure 5)

Figure 5 Cone beam + sagittal sections.

The low bone volume represented a real surgical difficulty in placing a standard diameter implant.

Faced with this clinical situation, the patient was offered these different therapeutic attitudes:

  1. A bone graft allowing the placement of a standard diameter implant in an adequate vestibulolingual volume. But the patient refused this solution.
  2. The use of a small diameter implant.
  3. The latter solution was adopted by the patient.
  4. The clinical and radiological results led us to a restoration with a narrow implant of 3.3 mm diameter, with a length of 11.5 mm.

Prosthetic decision

All ceramic crown on 13+ implant-supported prosthesis replacing 12.

Surgical protocol

On the day of implant placement : (Figures 6,7). The implant was placed 7 years after the fall of 12 (loss of tooth due to trauma) in a completely healed site. 10 days after implant placement: (Figure 8). A temporary mesially extended bridge supported on 13 was cemented .

Figure 6 Placement of the implant + screw cover + suture.

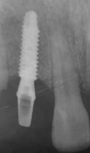
Figure 7 Postoperative retro alveolar radiograph on the day of implant placement.

Figure 8 10 days after implant placement: removal of sutures.

6 months after implant placement: (Figure 9). A second surgical step for the placement of the healing screw to shape the soft tissue, especially the emergence profile.

Figure 9 Placement of the healing screw (6 months after osseointegration).

After 15 days : Implant impression (Figures 10–12). An Open-tray dual -mix implant impression has been realized.

Figure 10 Fixture pick-up impression coping.

Figure 11 Retro alveolar radiograph: transfer in place.

Figure 12 Open-tray dual -mix implant impression.

Prosthetic conception

(Figures 13–20) All ceramic crown with a zirconia framework would provide an acceptable aesthetic result. Zirconia framework always requires a try-in step to confirm fit, insertion, retention, and mostly the space left for cosmetic ceramic. After veneering with feldspathic ceramic, and intraoral checking, crowns were glazed, then cemented: A good aesthetic integration was observed: respect of the shape, volume and color of the tooth compared to its counterpart with well distributed diastemas.

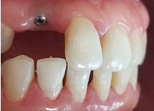
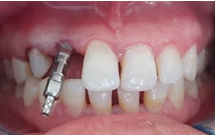
Figure 13 Placement of a prosthetic abutment.

Figure 14 Retro alveolar radiograph: abutment in place.

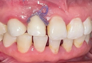
Figure 15 A try-in of the Zirconia framework.

Figure 16 Ceramic stratification was performed in the laboratory.

Figure 17 A final try-in, of the zirconia ceramic crowns.

Figure 18 Profile views of the definitive crowns.

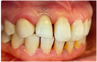
Figure 19 Final result: discreet smile.

Figure 20 Forced smile.

An asymmetry of the neckline persisted after the prosthesis was placed, but this did not bother the patient, since her smile is purely dental. Functionally, care was taken to integrate the prosthesis into the patient's occlusal context while paying attention to the aesthetic aspect (situation of the free edge of the prosthesis).

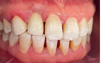
1 month after sealing (Figures 21,22). After a clinical examination, we noticed the absence of plaque, good hygiene, the absence of all signs of inflammation (edema, redness or bleeding on probing...)

Figure 21 Clinical results after 1 month.

Figure 22 Retroalveolar control.

The radiological examination showed the absence of radiolarity opposite the implant, indicating good osseointegration of the implant. On the other hand, a grayish aspect at the neck was noted, showing the thinness of the vestibular cortical layer at this level.

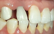
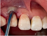
2 months after sealing (Figures 23–27). In implantology, connective tissue grafting is indicated at all stages of implant therapy to guarantee an optimal aesthetic result. Connective tissue tunnel grafts has been chosen. After 2 months of surgery, we note a good aesthetic result and the satisfaction of the patient.

Figure 23 Preparation of recipient site.

Figure 24 Palatal graft harvesting.

Figure 25 Graft fixation+sutures.

Figure 26 Clinical results after 10 days.

Figure 27 Clinical results after 2 months.

Discussion

The replacement of a tooth in the maxillary anterior region is a difficult treatment on the esthetic and functional level.

A panoply prosthetic solutions were proposed to the patient. since the patient refuses a full-coverage bridge , The implant-supported prosthesis is interesting because of the tissue saving offered and its sufficient clinical follow-up. To achieve a satisfactory aesthetic and functional result, the practitioner must follow a rigorous management protocol. The esthetic success of the restoration depends on several local and loco-regional factors that the practitioner must perfectly know. A pre-implant assessment must be done before implant surgery.

In this clinical situation, the cone bean revealded a low bone volume that represented a real surgical difficulty in placing a standard diameter implant.

Faced with this clinical situation, the patient was offered these different therapeutic attitudes:

  1. A bone graft allows the placement of a standard diameter implant in an adequate vestibulolingual volume. However, the risk of failure is not negligible. Grafting increases morbidity (postoperative pain, risk of complications, superinfection, site exposure and the patient refused this solution.
  2. The use of a small diameter implant. It reduces the risk of bone dehiscence during implant placement and may, in some cases, avoid : the use of bone reconstruction techniques

A prospective study realized on 2015 has shown that after 3 years of function the survival rate of narrow 3 mm diameter implants is 96.8% similar to the survival rate of standard implants. There is stability of marginal bone levels, peri-implant tissues and durable mechanical function of these narrow implants.4

Recent systematic reviews , clinical studies and retrospective study have shown that no significant difference in survival rate, marginal bone loss and biological complication rate between narrow-diameter and standard-diameter implants.5,6 The conventional dental implant that has a two-piece design was choosen. In this case , the Morse taper connection is preferred because it allows:7,8

More vertical space for the abutment-implant complex and thus an optimized emergence profile. A more accurate tactile impression.

  1. a) Better antibacterial sealing.
  2. b) Better resistance to lateral bending forces

In case of incisor replacement, the use of implants with platform switching is desired for several reasons:

  1. a) Maintenance of marginal bone and possibly bone gain: no risk of resorption and bone loss
  2. b) Maintenance of the biomechanical stability of the implant
  3. c) Respect of the biological distance
  4. d) Prevention of mechanical and bacterial aggression
  5. e) Better integration of soft tissues.

Therefore, placement of implants in a correct three-dimensional position is a key element to obtain a satisfactory result ; The distance between the tooth and the implant must be respected: 1.5 mm to 2 mm , It is necessary to respect a vestibular table width ≥ 2 mm , a lingual table width = 1 mm and The implant should be located between 1 and 3 mm apical to the imaginary line passing through the buccal amelo-cementary junction of the adjacent teeth.9

But , in this case report , the impression transfer was too vestibular; so we opted for an angled abutment with a gingival height of 3 mm and an angulation of 15.

 This abutment allowed us to catch up with the implant axis. This malpositioning highlights the importance and necessity of using a surgical guide and guided surgery to place the implant in an ideal position, especially in the anterior sector.

The timing of implant placement post-extraction is considered an important factor which influences the esthetic outcome.

The classification of timing of implant placement after tooth extraction, established by the third ITI Consensus Conference in 2003, includes four different time frames for implant placement based on wound-healing . These include: immediate placement , early placement (after four at eight weeks post-extraction), early placement (typically twelve at sixteen weeks post-extraction), and late placement (more than sixteen weeks).10,11

According to the most recent Systematic reviews and prospective studies from 2016 to 2021 on the immediate loading of single implants in the anterior region, positive outcomes were reported, with high survival (100%) and success (95.2%) rates . This technique is predictable clinical approache, and can be considered an alternative to delayed placement. It is essential to carefully select cases, also surgical and prosthetic protocols.12–14

Recent systematic reviews , clinical studies and retrospective stydy have shown that the survival rate and the success rate of immediate implant placement were similar to those with a delayed approach.15,16 But More bone loss can be seen in delayed loading group than in early loading group.17

Based on this literature review, placement of dental implants at an early timing after tooth extraction remained the safest method to prevent unaesthetic appearance.

In this case , the implantation was done on a completely healed site. There are two distinct protocols implant placement : a two-stage surgical protocol or a single-stage surgical protocol but in the case of replacement of an incisor we prefer the two-stage surgical protocol for aesthetic reasons, allowing better management of the soft tissue, especially when the quantity and quality of the gingiva are insufficient, and better preparation of the emergence profile.18,19

The “pick-up” technique is the most accurate and precise as the transfers remain stably encased in the impression material and the position of the implant is therefore accurately reproduced in the model.20

However, according to the literature, in the anterior region, achieving a prosthetic emergence profile similar to that of the natural tooth is an essential criterion for esthetic success.

Various techniques have been proposed to reliably transmit the emergence profile to the laboratory technician:21

  1. The impression-transfer will be customized directly in the mouth by injecting flowable composite around the impression transfer already connected in the mouth.
  2. The impression-transfer will be customized in the laboratory by molding the provisional prosthesis that will be connected to an implant analog
  3. Processing with a digital impression.
  4. The choice of the abutment is a determining factor of the esthetic result because it conditions the emergence profile of the implant-supported restoration and it ensures the transition between the round section of the implant and the cervical shape of the tooth to be replaced.

The abutment can be used with different materials: in this clinical situation , the majority of small-diameter implants on the market don’t have zirconia abutments in their prosthetic range due to mechanical resistance problems. Therefore, we chose a titanium abutment.

The titanium abutment has excellent mechanical properties (high mechanical strength and modulus of elasticity close to the implant) and biological properties (it is biocompatible, corrosion resistant and promotes soft tissue healing). Its grayish coloring in the presence of very thin soft tissue compromises the aesthetic result, especially for maxillary incisors.

Only the presence of para-function such as bruxism, for example, obliges the practitioner to use it at the anterior level in order to avoid any risk of mechanical complication.22

Also , the right choice of the suprastructure is essential to ensure a satisfactory and durable esthetic and functional result. In this case , Given the available prosthetic space > 7 mm, A cement-retained implant crown was chosen to make up for the too-vestibular implant axis and get an adaptation of the emergence profile : a good aesthetic integration was observed .23 The peri-implant maintenance phase is an essential step in the treatment plan. Its objective is to ensure the long-term durability of the treatment; to prevent inflammatory reactions, peri-implant disease, loss of attachment and recurrence of periodontal disease.24

1 month after sealing , On the other hand, a grayish aspect at the neck was noted. In implantology, connective tissue grafting is indicated at all stages of implant therapy to guarantee an optimal esthetic result. Application of a connective graft in the vestibular region will reinforce the thickness of the mucosa and help recreate a vestibular convexity. When it is necessary to mask a metallization due to the underlying implant, the technique of total covering of the graft by the flap, called bilaminar flap, allows to obtain a double thickness and gives the best result.25

Connective tissue tunnel grafts will allow an optimal aesthetic result thanks to the absence of a discharge incision in the anterior zone (thus avoiding any appearance of scar tissue) and to the preservation of the papillae as well as the neck of the implant.

Its disadvantage lies in the difficulty of its operative implementation. This technique is very delicate and requires experience and skill on the part of the surgeon. Indeed, the work of the clinician is done in a very confined environment. At this time, it is difficult to predict the future of alternative techniques. Further studies and long-term follow-up of results seem necessary.

After 2 months of surgery, we note a good aesthetic result and the satisfaction of the patient. Based on a retrospective study of Mario Roccuzo and all , at 5 years, complete implant soft tissue coverage was depicted in 8 out of 13 cases (62%). Mean soft tissue dehiscence coverage was 86%. Patients’ esthetic evaluation showed the persistency of high VAS scores.26

Conclusion

Several factors are determining for the esthetic integration of the implant restoration in the oral cavity and its harmony with the patient's face: topography and integrity of hard and soft tissue, choice of implant and its three-dimensional orientation, choice of the intermediate prosthetic elements as well as a prosthesis concept use adequate to each situation.

All this, together with any eventual tissue developments that can improve the conditions of the implant must be considered from the pre-implant stage analysis to avoid any esthetic failure.

Acknowledgments

None.

Conflicts of interest

The authors declare that there are no conflicts of interest.

References

  1. Cabello G, Rioboo M, Fábrega JG. Immediate placement and restoration of implants in the aesthetic zone with a trimodal approach: soft tissue alterations and its relation to gingival biotype. Clin Oral Impl Res. 2013;24(10):1094–1100.
  2. Sammartino G, Marenzi G, di Lauro AE, et al. Aesthetics in oral implantology: biological, clinical, surgical, and prosthetic aspects. Implant Dent. 2007;16(1):54–65.
  3. Obiechina N. Treatment planning of dental implants in the anterior maxilla; risk assessment and review of soft tissue along with bone preservation and augmentation techniques for successful clinical outcomes. OHDM. 2019;18(2):1–10.
  4. Maiorana C, King P, Quaas S, et al. Clinical and radiographic evaluation of early loaded narrow-diameter implants: 3 years follow-up. Clin Oral Impl Res. 2015;26(1):77–82.
  5. Telles LH, Portella FF, Rivaldo EG. Longevity and marginal bone loss of narrow-diameter implants supporting single crowns: a systematic review. PLoS One. 2019;14(11):e0225046.
  6. Cruz RS, Lemos CAA, de Batista VES, et al. Narrow-diameter implants versus regular-diameter implants for rehabilitation of the anterior region: a systematic review and meta-analysis. Int J Oral Maxillofac Surg. 2021;50(5):674–682.
  7. Bittencourt ABBC, Neto CL de MM, Penitente PA, et al. Comparison of the morse cone connection with the internal hexagon and external hexagon connections based on microleakage-review. Prague Med Rep. 2021;122(3):181–190.
  8. Mangano F, Lucchina AG, Brucoli M, et al. Prosthetic complications affecting single-tooth morse-taper connection implants. J Craniofac Surg. 2018;29(8):2255–2262.
  9. Le juste positionnement des implants. Lefildentaire Magazine Dentaire. 2010.
  10. Ghahroudi AAR, Rokn AR, Shamshiri AR, et al. Does timing of implant placement affect esthetic results in single-tooth implants? a cohort evaluation based on mPES. J Esthet Restor Dent. 2020;32(7):715–725.
  11. Schropp L, Wenzel A. Timing of single implant placement and long-term observation of marginal bone levels. Eur J Oral Implantol. 2016;9(Suppl 1):S107–S122.
  12. Rojo R, Prados-Frutos JC, Manchón Á, et al. Soft tissue augmentation techniques in implants placed and provisionalized immediately: a systematic review. BioMed Res Int. 2016;2016:7374121.
  13. Stanley M, Braga FC, Jordao BM. Immediate loading of single implants in the anterior maxilla: a 1-year prospective clinical study on 34 patients. Int J Dent. 2017;2017:8346496.
  14. Sui Z, Dongning HE. Current status of immediate implant placement in the aesthetic zone of the anterior teeth. J Prevent Treat Stomatol Dis. 2020;28(5):331–335.
  15. Blanco J, Carral C, Argibay O, et al. Implant placement in fresh extraction sockets. Periodontol. 2019;79(1):151–617.
  16. Sekar S, Suthanthiran T, Thangavelu A, et al. Clinical and radiological evaluation of delayed and early loading of single-tooth implant placement: a 6-month, prospective, randomized, follow-up clinical study. J Pharm Bioallied Sci. 2019;11(Suppl 2):S278–S284.
  17. Buser D, Chappuis V, Belser UC, et al. Implant placement post extraction in esthetic single tooth sites: when immediate, when early, when late? Periodontol 2000. 2017;73(1):84–102.
  18. Esposito M, Grusovin MG, Chew YS, et al. One-stage versus two-stage implant placement. a cochrane systematic review of randomised controlled clinical trials. Eur J Oral Implantol. 2009;2(2):91–99.
  19. Gheisari R, Eatemadi H, Alavian A. Comparison of the marginal bone loss in one-stage versus two-stage implant surgery. J Dent. 2017;18(4):272–276.
  20. Leize-Zal E, Lorgeoux C, Chauvel B, et al. Supra-implant impression technique: is impression transfer still relevant in the treatment of single edentulism? Prosthetic Strategy. 2016;16(9):89–96.
  21. Duffort S. Gestion du profil d’émergence en implantologie. Revue d’Odonto-Stomatologie. 2011;40:117–129.
  22. de Avila ED, Vergani CE, Mollo Junior FA, et al. Effect of titanium and zirconia dental implant abutments on a cultivable polymicrobial saliva community. J Prosthet Dent. 2017;118(4):481–487.
  23. Majeed U, Agarwal SK, Singhal R, et al. Screw retained versus cement retained implant prosthesis: a review. Ann Int Med Dent Res. 2020;6(2):24–28.
  24. Monje A, Aranda L, Diaz KT, et al. Impact of maintenance therapy for the prevention of peri-implant diseases: a systematic review and meta-analysis. J Dent Res. 2016;95(4):372–379.
  25. Yoshino S, Kan JYK, Rungcharassaeng K, et al. Effects of connective tissue grafting on the facial gingival level following single immediate implant placement and provisionalization in the esthetic zone: a 1-year randomized controlled prospective study. Int J Oral Maxillofac Implants. 2014;29(2):432–440.
  26. Roccuzzo M, Dalmasso P, Pittoni D, et al. Treatment of buccal soft tissue dehiscence around single implant: 5-year results from a prospective study. Clin Oral Invest. 2019;23(4):1977–1983.
Creative Commons Attribution License

©2023 Boudabous, et al. This is an open access article distributed under the terms of the, which permits unrestricted use, distribution, and build upon your work non-commercially.