Submit manuscript...
Journal of
eISSN: 2373-4345

Dental Health, Oral Disorders & Therapy

Case Report Volume 5 Issue 5

Traumatic bone cyst of the jaw: a case report and review of previous studies

Titsinides S,1 Kalyvas D2

1Dental School, University of Athens, Greece
1Department of Prosthodontics, Jordan University of science and technology, UAE
2Department of Oral and Maxillofacial Surgery, Dental School, University of Athens, Greece

Correspondence: Titsinides Savvas, Dental School, University of Athens, Argolidos Street, Ambelokipoi, 11523 Athens, Greece

Received: May 23, 2016 | Published: December 1, 2016

Citation: Titsinides S, Kalyvas D. Traumatic bone cyst of the jaw: a case report and review of previous studies. J Dent Health Oral Disord Ther. 2016;5(5):318-325. DOI: 10.15406/jdhodt.2016.05.00167

Download PDF

Abstract

Traumatic bone cyst (TBC) was initially portrayed in 1929 by Lucas and Blum as a separate disease entity, commonly found in the metaphysis of long bones while relatively rare in the jaws, representing approximately 1 % of all jaw cysts. Epidemiologically, TBCs tend to predispose in young adults with a mean age of 20 years. There is no sex predilection although some studies state they are more frequently found in men. Regarding jaws, lesions are mainly situated in the body and ramus of the mandible, less commonly found in mandibular symphysis and rarely in the maxilla, with non-pathognomonic radiographic features. Surgery with simple curettage is the treatment of choice, consisting simultaneously part of the diagnostic procedure. Clinical and radiological follow-up post - operatively is mandatory to ensure complete healing after 6-12 months since relapse has been documented even within 3 years after surgery. In this article we report a 16 years old female patient with a TBC located in the mandible and review previously published TBC studies of the jaws following specific inclusion criteria

Keywords:traumatic bone cyst, jaws, diagnostic criteria; surgical margins, mandible, unilocular radiolucency, keratocystic odontogenic tumor

Introduction

Traumatic bone cyst (TBC) was initially portrayed in 1929 by Lucas and Blum as a separate disease entity.1 It is commonly found in the metaphysis of long bones while relatively rare in the jaws, representing approximately 1 % of all jaw cysts.2 Diagnostic criteria were established in 1946, comprising of a single bony cavity without epithelial lining, encompassed by bony walls, lacking contents or containing liquid and/or connective tissue.3 These criteria are still valid apart from possibility of multiple lesions that have been described. TBC etiopathogenesis still remains unclear, reflected by the fact that several names have been proposed for this lesion: hemorrhagic bone cyst, simple bone cyst, hemorrhagic traumatic bone cyst, progressive bone cavity, unicameral bone cyst, extravasation cyst, solitary bone cavity and idiopathic bone cavity. A summary of possible etiopathogenetic theories developed during time is available in Table 1. Epidemiologically, TBCs tend to predispose in young adults patients, with a mean age of 20 years. There is no sex predilection although some studies state they are more frequently in men.4 On the other hand, according to a review of multiple TBCs of the jaws there was a female predisposition (1.8: 1), frequently accompanied by bony expansion in 44.1 % of cases.5 S described before, TBCs most commonly affect the long bones (90%), with predominance in the metaphyseal region of the proximal ends of the humeral (65%) and femoral (25%) shafts. Regarding jaws, lesions are mainly situated in the body and ramus of the mandible, less commonly found in mandibular symphysis and rarely in the maxilla.6 Teeth exhibit no mobility or displacement, remain vital, with absence of root absorption.7 In general TBCs are asymptomatic but in morbidity cases pain is the most striking symptom within 10% to 30% of the patients while other symptoms include tooth sensitivity, paresthesia, fistulas, delayed permanent teeth eruption, intraoral/extra oral swelling and pathologic fracture of the mandible.8 The radiographic features of these lesions are non-pathognomonic. Most commonly, TBC stands for a well circumscribed, unilateral, usually unilocular radiolucency with a clear, sclerotic margin. It is possible to penetrate the interdentally bone spaces, described as a scalloped image that is also found in edentulous areas, while, in some cases, it is multilocular with septum-like appearance, thus resembling other pathological entities.9 Differential diagnosis should include dentigerous cyst, keratocystic odontogenic tumor, ameloblastoma, odontogenic myxoma, aneurysmatic bone cyst, focal osteoporotic bone marrow defect, intraosseous vascular malformation and central giant cell lesions. Material for biopsy report may be scant or non-existent, resulting difficulties for a definite diagnosis to be achieved. According to a study only 9.52 % of cases could be evaluated histologically due to material obtained.10 If no tissue is found in the bone cavity, a decision on diagnosis of a TBC will depend on individual experience. In microscopic view, a cancellous empty bone cavity without epithelial lining is usually identified, or a thin connective tissue layer with a scant yellowish, even blood coloured liquid. Fibroblasts and giant cell-like osteoclasts are sometimes visible, newly formed trabecular bone surrounded by osteoblasts, congested capillaries and cholesterol crystals may also be detected. Regarding treatment modalities, surgery with simple curettage of the bone walls is the management of choice, consisting simultaneously part of the diagnostic procedure.11 In some cases the inferior alveolar nerve freely suspended within the bone cavity may be found.12 Clinical and radiological follow-up post-operatively is mandatory to ensure complete healing after 6-12 months. Some cases of relapse have been documented occurring even within 3 years after surgery.13 Possible infection from non - vital and incomplete root - filled teeth was suggested as a reason for recurrence.14 According to a study recurrence of TBC is 26 % whereas; cases of multiple cysts or those associated with florid cemento-osseous dysplasia have high recurrence rates - respectively about 71% and 75%.15 Other treatment modalities include insertion of bone grafting or hydroxyapatite or even injection of autogenously blood within the bone cavity in cases where conventional treatment fails.16 In TBCs of the long bones injection of methylprednisilone in the area affected by the lesion has also been reported with positive results11. Self resolution has also been described although ‘watch and wait’ approach can lead to diagnostic error and might allow more aggressive lesions keep growing, leading to additional complications such as pathological fracture, involvement of adjacent teeth and need for wider surgical margins.17 In this article we report a new case of TBC located in the mandible of a 16 years old female patient and review previously published TBC studies of the jaws following specific inclusion criteria.

Trauma

Incorporation of synovial tissue

Bone tumor degeneration

Altered calcium metabolism

Abnormal bone growth

Venous obstruction

Increased osteolysis

Local ischemia

Low-grade infection

Idiosyncratic factors

Table 1 Clinical and biochemical variables of individuals with overweight-obesity

Case report

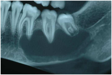
An asymptomatic, 16 years old Caucasian female was referred to a private office for evaluation of an impacted third molar located on the left mandible, with an unremarkable medical history. Intraoral and extra oral examination identified no signs of oral pathology. Panoramic radiograph revealed a unilocular radiolucency with clear margins extending within the molar area of the left mandible (Figure 1). The lesion was scalloping between the aforementioned teeth without any signs of root resorption, affecting the route of inferior alveolar nerve. The differential diagnosis included keratocystic odontogenic tumor, ameloblastoma and traumatic bone cyst. A surgical biopsy was suggested and the patient was operated under local anaesthesia. A mucoperiosteal flap was raised and under saline irrigation a bone window below the roots of 1st and 2nd molars was detached to expose the lesion (Figure 2). The bone cavity was completely empty of tissue or fluid without any epithelial lining while the inferior alveolar nerve was lying within it. The operative findings confirmed the diagnosis of TBC. Post operative course was uneventful with satisfactory bone healing on a follow-up panoramic radiograph.

Figure 1

Figure 2

Materials and methods

Keywords for the search were: “traumatic bone cyst” and its synonyms “simple bone cyst”, “haemorrhagic/hemorrhagic bone cyst”, “solitary bone cyst”, “idiopathic bone cyst/cavity”, “extravasation cyst”, “progressive bone cavity”, and “unicameral bonecyst” in combination with “maxilla” or “mandible” or “jaws” and the terms “study “or “case series”. Only full length articles published until December 2015 were included within our analysis, written in the English language and containing clinic pathological characteristics for at least 5 cases of TBC. Additionally, individual articles retrieved manually from the reference list of the relevant papers were also included. Studies lacking most of the data recorded as well as those containing only percentages were rejected. The following parameters were examined: number of patients, age, gender, chief complaint at presentation, history of orofacial trauma (mechanical trauma, orthodontic treatment, tooth extraction), radiographic characteristics (location, maximum dimension, uni/multilocular radiolucency), bone expansion, intra-operative findings, pathology reports, healing or recurrence during follow up, vitality of the involved teeth and association of the lesion with florid cement-osseous dysplasia. In some cases data of the abovementioned parameters were not available.

Result

A Pubmed search yielded numerous articles (as well as their references); 18 met the requirements and were finally included in our review (Table 2). A total of 597 patients with TBC of the jaws were included in our study; 58 of them had multiple cysts (in 1 study the number of patients with multiple cysts could not be specified). Their age was ranging between 2 and 75 years old, with a mean age of 23.6 years and an almost equal sex predilection (female: male ratio 1: 0.9). The majority of cases were asymptomatic followed by symptoms that could not be further specified by the article and vague symptoms as described by patients in the second and third place respectively. Pain was present in only 4 % of patients. History of orofacial injury was limited in 29.9 % of cases supporting those other possible factors than trauma can be related with TBCs. Most lesions according to radiographic findings were located in the posterior mandible, while the anterior mandible was the second most reported site; 6 % of cases had lesions large enough to be radiographically located in the anterior and posterior part of the mandible simultaneously. Their maximum dimensions were ranging from 35 to 80 mm, most of them described as unilocular lesions. Bone expansion was reported in 29.9 % of cases. Intraoperatively, 60 % of cases were described as an empty cavity by the surgeons. Nevertheless, in most cases tissue specimen was collected and submitted for a histopatholgical report. In almost 95% of cases complete healing was reported; incomplete healing or recurrence was only sporadic. Teeth involved within the lesion borders were in most cases vital. Finally, florid cement osseous dysplasia was associated with TBC in only 23.9 % of included cases.

Year

Author

No of patients            

Age range (mean) [years]             

Gender

Symptoms           

History Of Orofacial Trauma            

Radiologic Characteristics: Location / Max
Dimension /Unilocular-Multilocular
               

Bone expansion           

Findings At Surgery
/Histopathology Carried Out
            

Healing -Recurrence Or
Incomplete Healing
              

Teeth Vitality              

Association
With FCOD            

 

1965

Howe26

60 (1 patients with multiple cysts)

Feb-35

M 36/59

A 32/56

33/60 +

AMB 9/61

21/51 +

EC 18/48

CH,IHR NS

V 40/50

NR

 

-15.9

F 23/59

P 2/56

27/60 -

PMB 44/61

31/51 –

CFT 30/48

nV 9/50

 

   

PS 4/56

 

AMB+PMB 8/61

 

H 28/61

V AS 1/50

 

S 13/56

MD NR

   

 

PR 4/56

U NR

 

IOD 1/56

M NR

 

     
 

1974

Hansen et al.18

66

Jul-75

M 32/65

A 44/61

38/47 +

AMX 18/65

14/56 +

EC 30/60

CH,IHR NR

V 37/50 V

NR

 

(NR)

F 33/65

P 6/61

9/47 -

PMX 3/65

42/56 -

CFT 30/60

nV 5/50 nV

 

   

V 9/61

 

AMB 18/65

 

H 35/66

V+nV 2/50

 

ST/T 2/61

PMB 26/65

 

TA 6/50

 

 

MD NR

 

 

U NR

 

M NR

 

1976

Beasley27

26 (some patients with multiple cysts)       

Dec-57

M 16/26

A 20/26

7/26 +

MAXILLA 2

NR

EC,CFT NS

CH 26/26

V 26/26

NR

 

-23.2

F 10/26

ST/P 6/26

19/26 -

AMB 4

H 30/30

 

       

PMB 20/26

 

MD NR

 

U NR

 

M NR

 

   
 

1976

Melrose et al.28

14 (2 patients with multiple cysts)

NR

NR

A 9/14

NR

PMX 1/17

4/14 +

EC 1/13

CH 11/14

NR

14/14

 

P 5/14

AMB 1/17

10/14 -

CFT 12/13

IHR 3/14

 

 

PMB 14/17

 

H 17/17

 

 

AMB+PMB 1/17

 

 

 

 

MD 35 mm

 

U NR

 

 

M NR

 

1979

Davis et al.29

15 (1 patient with multiple cysts)

Nov-58

M 7/15

A 3/4

NR

AMB 3/15

NR

CFT 15/15

CH 13/15

V 2/2

NR

 

-20.3

F 8/15

P 1/4

PMB 12/15

H NR

IHR 2/15

 

     

MD 55 mm

   

 

U NR

 

M NR

 

   
 

1987

Kaugars et al.19

161 (10 patient with multiple cysts)

2.5-68

M 80/160

A 67/133

53/82 +

NS

NR

EC,CFT NR

CH 155/161

V 73/84

NS

 

-21.1

F 80/160

SNS 66/133

29/82 –

NS

H NS

IHR 6/161

nV 11/84

 

       

NS

     

 

   
 

1988

Forrsell et al.6

23

Aug-59        

M 13/22     

A 16/23

4/23 +

AMB 6/23

1/23 +

EC 15/23

CH 21/23

V 23/23

NR

 

-21.4

F 9/22

P 5/23

19/23 -

PMB 17/23

22/23 -

CFT 8/23

IHR 2/23

 

   

S 1/23

MD 70 mm

 

H 17/23

 

 

F 1/23

U 21/23

 

 

 

M 2/23

 

 

 

1992

Saito et al.30        

15 (4 patient with multiple cysts)

Dec-48

M 8/15

A 13/15

3/13 +

AMX 1/19

NS

EC,CFT NS

CH 17/19

NS

1/15 +

 

-26

F 7/15

P 2/15

10/13 -

PMX 1/19

H 10/19

IHR 2/19

14/15 -

 

       

AMB 4/19

     

 

PMB 11/19

 

AMB+PMB 2/19

 

MD NR

 

U NS

 

M NS

 

1995

MacDonald-Jankowski et al.31

14 (10 patient with multiple cysts)

18-63

M 5/14

A 11/14

1/14 +

AMX 1/20

4/17 +

EC,CFT NR

CH 19/20

V 9/9

NR

 

-35.9

F 9/14

SNS 3/14

13/14 -

AMB 2/20

13/17 -

H NR

IHR 1/20

 

       

PMB 15/20

 

H NR

 

 

AMB+PMB 2

 

MD NS

 

U 16/20

 

M 4/20

 

 

 

1998

Matsumura et al.16

51 (2 patients with multiple cysts)

Sep-53

M 23/51

V 44/51

6/51 +

AMX 2/53

12/53 +

EC,CFT NR

CH 49/51

NR

NR

 

-23.2

F 28/51

P, ST,T 7/51

45/51 -

PMX 1/53

41/53 -

H 53/53

IHR 2/51

 

       

AMB 4/53

     

 

       

PMB 46/53

 

MD NR

 

U NR

 

M NR

 

U NR

 

   
 

2001

Peñarrocha-Diago et al.32

7

29-Sep

M 2/7

A 7/7

1/7 +

AMB 5/7

NR

EC,CFT NS

CH 7/7

V 6/7

NR

 

-15.1

F 5/7

6/7 -

PMB 2/7

H 7/7

ETPD 1/7

 

     

MD NS

   

 

7/7 U

 

   
 

2003

Tong et al.4

5

25-69

M 1/5

A 4/5

NR

3/5 PMB

 

EC 5/5

CH 2/3

V 4/5

3/5 +

 

-45.8

F 4/5

S 1/5

2/5 AMB+PMB

H 4/5

IHR 1/3

nV 1/5

2/5 -

 

               

 

MD NR

 

U 1/3

 

M 2/3

 

2009

Cortell-Ballester et al.33

21

Aug-45

M 7/21

A 21/21

5/21 +

AMB 3/21

NR

EC 19/21

CH 19/19

V 19/21

NR

 

-26.5

F 14/21

16/21 -

PMB 18/21

CFT 2/21

nV 2/21

 

     

MD 40 mm

H NS

 

 

U NR

 

 

M NR

 

   

 

2010

Velez et al.34

44

Sep-74

M 16/44

A 43/44

13/44 +

AMX 3/40

11/44 +

EC 44/44

CH,IHR NR

NR

6/44 +

 

-26

F 28/44

S 1/44

31/44 -

AMB 10/40

33/44 -

H NS

38/44 -

 

       

PMB 23/40

     

 

AMB + PMB 5/40

 

MD 60 mm

 

U 38/44

 

M 6/44

 

2012

Martins- Filho et al.7

26

Oct-70

M 17/26

A 23/26

4 /26 +

AMB 8/26

NR

EC 18/26

CH,IHR NR

NR

NR

 

 

-19.5

F 9/26

P 3/26

22/26 -

PMB 18/26

CFT 8/26

 

     

S 3/26

 

MD 80 mm

H 26/26

 

 

U 19/26

 

 

M 7/26

 

 

 

2012

Discacciati et al.35

9 (1 patient with multiple cysts)

17-Oct

M 5/9

A 10/10

7/10 +

AMB 6/10

NR

EC,CFT NS

CH 9/10

V 10/10

NR

 

-14

F 4/9

3/10 -

PMB 4/10

H 9/10

IHR 1/10

 

     

MD 56mm

   

 

U NR

 

M NR

 

 

 

2013

Sabino-Bezerra et al.36

6

13-45

M 1/6

A 3/4

NS

6/6 PMB

3/3 +

EC 6/6

CH 6/6

V 5/6

NR

 

-24.1

F 5/6

S 1/ 4

MD NR

H 4/6

TA 1/6

 

     

U 3/6

   

 

M 3/6

 

 

 

2014

An et al.5

34 (all patients with multiple cysts)

Oct-43

M 10/28

A 22/30

2 / 22 +

AMX 1/70

15/22 +

EC 15/23

CH 24/27

V 20/20

NR

 

-20.3

F 18/28

P 2/30

20/22 -

PMX 1/70

7/22 -

CFT 8/23

IHR 3/27

 

   

PS 3/30

 

AMB 9/70

 

H NR

 

 

S 3/30

PMB 47

 

 

 

AMB + PMB 12/70

 

MD NR

 

U 14/21

 

M 7/21

 

Symbols      

NR: Not Reported

   

M:male

A:asymptomatic

Trauma: mechanical trauma, orthodontic treatment tooth extraction

AMX: anterior maxilla

 

EC: empty cavity

CH: complete healing

V:vital

 

 

 

NS: Not Specified

F:female

P:pain

 

PMX: Posterior Maxilla

CFT: Cavity with Fluid or Tissue

IHR: incomplete healing or recurrence

nV: non-Vital

 

     

PS: painful swelling

 

AMB: Anterior Mandible

H:histopathology carried out

 

TA: Teeth Absent 

 

 

S:swelling

 

PMB: Posterior Mandible

 

ETPD: Endodontic Treatment Previously Done

 

 

F:fistula

 

MD: Max Dimension

V AS: Vital After Surgery

 

 

ST: Sensitive  Teeth

 

U: Unilocular

 

 

 

T: Tenderness

 

M: Multilocular

 

 

V: Vague

   

 

 

PR: Paresthesia

 

 

 

IOD: Intra Oral Discharge

 

 

 

SNS: symptoms not specified by the article

 

 

Total

 

597

Feb-75

279/573 M

348/547 A

177/446

326/485 PMB

85/284 +

171/284 EC

378/401 CH

274/313 V

34/142 +

 

-23.6

294/573 F

69/547 SNS

+

92/485 AMB

199/284 -

113/284 CFT

23/401 IHR

28/313 nv

108/142 -

 

   

53/547 V

269/446 -

32/485 AMB+PMB

 

240/323 H

 

2/313 V+nV

 

 

26/547 P

 

26/485 AMX

 

1/313 VAS

 

23/547 S

7/485 PMX

7/313 TA

 

7/547 PS

2/485 MAXILLA

1/313 ETPD

 

7/547 P/ST/T

MD 35-80

 

 

6/547 ST/P

 

 

4/547 PR

 

Table 2 Summary of TBC studies included in our analysis

Discussion

Following specific inclusion criteria a number of previously published TBC studies were collected and analyzed. An almost equal sex prevalence was noted, as described in the majority of previously reported studies.18,19 The lesion was noted in a wide range of ages (2-75 years old) but mainly in young adults. It seems that TBCs have a tendency to develop during the first decades of life, possible due to its trauma-related etiopathogenesis. Nevertheless, it is accepted that TBCs related with cemento-osseous dysplasia tend to occur in older patients.20 Another possible explanation of lower incidence in older ages is self-healing.21 TBCs were mainly located in the posterior part of the mandible, possibly related to their still obscure mechanism of development. Another explanation is that maxillary lesions are more difficult to identify due to maxillary sinus radiolucency.22 Most cases were asymptomatic, found during routine radiographic examination for other purposes as described in our case. It is likely that pain is a secondary event, resulting from inflammation of the lesion’s bone cavity for several reasons e.g. inflamed regional teeth. As mentioned before in 1/3 of cases trauma was documented in patients’ medical records. Of course, it must be highlighted that cases of microtraumas to the teeth and alveolar process are not observed and consecutively trauma is underestimated.2

At this point we should mention that:

  1. Men exhibit a higher incidence of trauma; TBC is equally distributed among sexes
  2. TBC tends to appear in the posterior part of the mandible

The anterior mandibular part is usually related to traumatic injuries. Considering all these facts, it seems that the importance of trauma in the development of TBCs remains questionable, allowing other theories to arise. TBCs were mainly located in the posterior part of the mandible, possibly related to their still obscure mechanism of development. Another explanation is that maxillary lesions are more difficult to identify due to maxillary sinus radiolucency.23 Bone expansion was noted in almost 30% of cases. It is believed that TBCs grow along the long axis of the bone, exhibiting relative low potential for developing in medullary spaces, causing bone expansion only in large lesions5. Intra-operatively, an empty cavity was found in 60.2 % of cases, while in the rest fluid or tissue was recorded. According to some authors, different cavity contents represent different stages of the lesion24. Complete healing was notified in most cases included in this study. It is generally accepted that patients with multiple cysts or presence of florid cement-osseous dysplasia exhibit a higher recurrence incidence.11 It is important to comment that criteria for complete, incomplete healing or recurrence have not been established, summarizing a possible heterogeneous material within the same group. In our analysis, follow-up records were not examined since there was no specific follow-up protocol determined in included studies. However, follow up is considered mandatory till complete osseous healing, to avoid possible recurrences.16 Teeth vitality was notified in most cases concluding that lesion does not affect or being affected by the regional teeth, in agreement with majority of researchers. Florid cemento-osseous dysplasia was detected in ¼ of our study cases. Several authors suggest that this lesion leads to TBC due to fibrous degeneration and microcystic formations, especially in older patients.25 According to Wakasa et al.,17 florid cemento-osseous dysplasia is the initiative factor for TBC to develop due to lymphatic drainage obstruction.17

Acknowledgements

None.

Conflits of interest

The authors declare that there are no conflicts of interest.

Funding details

None.

References

  1. Lucas CD. Do all cysts of the jaws originate from the dental system? J Am Dent Assoc. 1929;6:647‒661.
  2. Harnet JC, Lombardi T, Klewansky P, et al. Solitary bone cyst of the jaws:a review of the etiopathogenic hypotheses. J Oral Maxillofac Surg. 2008;6611:2345‒2348.
  3. Rushton MA. Solitary bone cysts in the mandible. Br Dent J. 1946;812:37‒49.
  4. Tong AC, Ng IO, Yan BS. Variations in clinical presentations of the simple bone cyst:report of cases. J Oral Maxillofac Surg. 2003;6112:1487‒1491.
  5. An SY, Lee JS, Benavides E, et al. Multiple simple bone cysts of the jaws:review of the literature and report of three cases. Oral Surg Oral Med Oral Pathol Oral Radiol. 2014;1176:e458‒e469.
  6. Forssell K, Forssell H, Happonen RP, et al. Simple bone cyst. Review of the literature and analysis of 23 cases. Int J Oral Maxillofac Surg. 1988;171:21‒24.
  7. Martins Filho PS, Santos T de S, Araújo de, et al. Traumatic bone cyst of the mandible:a review of 26 cases. Braz J Otorhinolaryngol. 2012;782:16‒21.
  8. Shimoyama T, Horie N, Nasu D, et al. So‒called simple bone cyst of the jaw:a family of pseudocysts of diverse nature and etiology. J Oral Sci. 1999;412:93‒98.
  9. Cowan CG. Traumatic bone cysts of the jaws and their presentation. Int J Oral Surg. 1980;94:287‒291.
  10. Lindsay JS, Martin WR, Green HG. Traumatic bone cyst treated with homogenous bone graft. Report of a case. Oral Surg Oral Med Oral Pathol. 1966;214:536‒542.
  11. Suei Y, Taguchi A, Tanimoto K. Simple bone cyst of the jaws:evaluation of treatment outcome by review of 132 cases. J Oral Maxillofac Surg. 2007;655:918‒923.
  12. Dellinger TM, Holder R, Livingston HM, et al. Alternative treatments for a traumatic bone cyst:a longitudinal case report. Quintessence Int. 1998;298:497‒502.
  13. Tsukamoto G, Sasaki A, Mese H, et al. Atypical Simple Bone Cyst of the Jaws ‒ Multiple Cysts and Repeated Recurrence. Asian J Oral Maxillofac Surg. 2003;152:138‒141.
  14. Sapp JP, Stark ML. Self‒healing traumatic bone cysts. Oral Surg Oral Med Oral Pathol. 1990;695:597‒602.
  15. Suei Y, Taguchi A, Tanimoto K. A comparative study of simple bone cysts of the jaw and extracranial bones. Dentomaxillofac Radiol. 2007;363:125‒129.
  16. Matsumura S, Murakami S, Kakimoto N, et al. Histopathologic and radiographic findings of the simple bone cyst. Oral Surg Oral Med Oral Pathol Oral Radiol Endod. 1998;855:619‒625.
  17. Wakasa T, Kawai N, Aiga H, et al. Management of florid cemento‒osseous dysplasia of the mandible producing solitary bone cyst:report of a case. J Oral Maxillofac Surg. 2002;607:832‒835.
  18. Hansen LS, Sapone J, Sproat RC. Traumatic bone cysts of jaws. Report of sixty‒six cases. Oral Surgery, Oral Med Oral Pathol. 1974;376:899‒910.
  19. Kaugars GE, Cale AE. Traumatic bone cyst. Oral Surgery, Oral Med Oral Pathol. 1987;633:318‒324.
  20. Chadwick JW, Alsufyani NA, Lam E. Clinical and radiographic features of solitary and cemento‒osseous dysplasia‒associated simple bone cysts. Dentomaxillofac Radiol. 2011;404:230‒235.
  21. Bensahel H, Jehanno P, Desgrippes Y, et al. Solitary bone cyst:controversies and treatment. J Pediatr Orthop B. 1998;74:257‒261.
  22. Hara H, Ohishi M, Higuchi Y. Fibrous dysplasia of the mandible associated with large solitary bone cyst. J Oral Maxillofac Surg. 1990;481:88‒91.
  23. Copete MA, Kawamata A, Langlais RP. Solitary bone cyst of the jaws:radiographic review of 44 cases. Oral Surg Oral Med Oral Pathol Oral Radiol Endod. 1998;852:221‒225.
  24. Kuhmichel A, Bouloux GF. Multifocal traumatic bone cysts:case report and current thoughts on etiology. J Oral Maxillofac Surg. 2010;681:208‒212.
  25. Mahomed F, Altini M, Meer S, et al. Cemento‒osseous dysplasia with associated simple bone cysts. J Oral Maxillofac Surg. 2005;6310:1549‒1554.
  26. Howe GL. “Haemorrhagic cysts” of the mandible. I Br J Oral Surg. 1965;31:55‒76.
  27. Beasley JD. Traumatic cyst of the jaws:report of 30 cases. J Am Dent Assoc. 1976;921:145‒152.
  28. Melrose RJ, Abrams AM, Mills BG. Florid osseous dysplasia. A clinical‒pathologic study of thirty‒four cases. Oral Surg Oral Med Oral Pathol. 1976;411:62‒82.
  29. Davis WM, Buchs AU, Davis WM. Extravasation cyst diagnostic curettement :a treatment. Report of 15 cases and suggested treatment. Oral Surg Med Oral Pathol. 1979;471:2‒7.
  30. Saito Y, Hoshina Y, Nagamine T, et al. Simple bone cyst. A clinical and histopathologic study of fifteen cases. Oral Surg Oral Med Oral Pathol. 1992;744:487‒491.
  31. MacDonald‒Jankowski. Traumatic bone cysts in the jaws of a Hong Kong Chinese population. Clin Radiol. 1995;5011:787‒791.
  32. Peñarrocha‒Diago M, Sanchis‒Bielsa JM, Bonet‒Marco J, et al. Surgical treatment and follow‒up of solitary bone cyst of the mandible:a report of seven cases. Br J Oral Maxillofac Surg. 2001;393:221‒223.
  33. Cortell ballester I, Figueiredo R, Berini‒aytés L, et al. Traumatic bone cyst :A retrospective study of 21 cases. Med Oral Patol Oral Cir Bucal. 2009;145:239‒243.
  34. Velez I, Siegel M a, Mintz SM, Rolle R. The relationship between idiopathic bone cavity and orthodontic tooth movement:analysis of 44 cases. Dentomaxillofac Radiol. 2010;393:162‒166.
  35. Discacciati ED, de Faria VMC, Garcia NG, et al. Idiopathic bone cavity:case series involving children and adolescents. J Investig Clin Dent. 2012;32:103‒108.
  36. Sabino‒Bezerra, Santos‒Silva AR, Jorge J, Gouvêa AF, Lopes MA. Atypical presentations of simple bone cysts of the mandible:a case series and review of literature. J Craniomaxillofac Surg. 2013;415:391‒396.
Creative Commons Attribution License

©2016 Titsinides, et al. This is an open access article distributed under the terms of the, which permits unrestricted use, distribution, and build upon your work non-commercially.