Submit manuscript...
Journal of
eISSN: 2373-4345

Dental Health, Oral Disorders & Therapy

Case Report Volume 15 Issue 3

Vertical alveolar ridge distraction using intraoral distraction device after ablative surgery for treatment of gingival squamous cell carcinoma in patient under chemotherapy: a case report

Ayman Hegab,1 Mohamed Elmasry2

1Professor and Head of Oral and Maxillofacial Surgery Department, Faculty of Dental Medicine, Al-Azhar University, Egypt
2Researcher PhD of Oral and Maxillofacial Surgery, Faculty of Dental Medicine, Al-Azhar University, Egypt

Correspondence: Ayman Hegab, Professor and Head of Oral and Maxillofacial Surgery Department, Faculty of Dental Medicine, Al-Azhar University, Egypt

Received: July 02, 2024 | Published: July 29, 2024

Citation: Hegab A, Elmasry M. Vertical alveolar ridge distraction using intraoral distraction device after ablative surgery for treatment of gingival squamous cell carcinoma in patient under chemotherapy: a case report. J Dent Health Oral Disord Ther. 2024;15(3):128-134. DOI: 10.15406/jdhodt.2024.15.00624

Download PDF

Abstract

Background: Squamous cell carcinoma is a malignant epithelial neoplasm characterized by variable clinical manifestations. When located in the gingiva, this neoplasm may mimic common inflammatory lesions. This is a case report of gingival Squamous cell carcinoma treated by marginal mandibular resection and then, reconstruction by distraction osteogenesis during chemotherapy.

Patient: In a 50-year-old female patient marginal resection was done for treatment of gingival Squamous Cell Carcinoma and an attempt was made to reconstruct the mandible using distraction osteogenesis during contaminant chemotherapy.

Result: Reconstruction of the mandible using distraction osteogenesis was successful with no adverse effect of the chemotherapy on the bone for formation by the distraction. Both soft tissue and bone healing were uneventfully. Conclusion: This case indicates that DO and chemotherapy could be performed simultaneously with no complications.

Keywords: gingival squamous cell carcinoma, marginal mandibular resection, distraction osteogenesis, chemotherapy

Introduction

The incidence of Squamous cell carcinoma (SCCA) of the gingiva has been reported to represent 25% of oral SCCA with estimated range from 10 to 30%.1–4

Due to diverse clinical appearance of the gingival SCCA and its resemblances to different benign lesions, early diagnosis of gingival SCCA could be represent a significant challenge to the clinician. Subsequently, delays in diagnosis and treatment may be result from misdiagnosis. Gingival SCCA exhibits cervical node metastases in one-third or more of cases.5 In addition, early bony invasion is a frequent occurrence because of the proximity of the underlying alveolar bone.6,7

Marginal resection of the human mandible invaded by Gingival SCCA is a common procedure leading to loss of teeth and resulting in a critical reduction to the load-bearing height of the mandible associated with a high risk of pathological fractures. Moreover, the risk of mandibular fracture could be increased by the lack of pain due to scarifying the inferior alveolar nerve during mandibular resection. Another factor can lead to mandibular fracture in such cases is the overloading of the surgical site due to reduced mandibular height.

One more complication of the mandibular resection of the gingival SCCA is the resulted atrophic mandible which may not be suitable for conventional dentures as there is a lack of functional stability. Cases with atrophic mandible represent a challenge for prosthodontics rehabilitation.

Repair of mandibular defects following ablative head and neck surgery is a great ongoing challenge. The treatment of first choice is primary reconstruction with free vascularized bone that can resist postoperative radiotherapy. Reconstruction plates or secondary reconstruction are second choice options if primary reconstruction is not possible or if a graft was lost.8

Distraction osteogenesis (DO) has been proposed as an alternative method for secondary reconstruction aiming to replace bone. The concept of distraction osteogenesis was introduced by Ilizarov for the legs and has been used and further developed since his first report.9 It has gained acceptance and has been widely used by orthopedic surgeons. Recent studies have shown that distraction osteogenesis has the potential to also play an important role in craniofacial reconstruction, in the treatment of congenital craniofacial anomalies, and in reconstruction of the severely resorbed mandible.10–13 DO offers greater augmentation of the alveolar ridge and the newly formed bone by DO seems to undergo less resorption when compared with conventional techniques.14

The results of the previous studies showed that chemotherapy improved survival in non-metastatic SCCA treated by surgery and/or radiotherapy.15 Chemotherapy can be administrated before, at the same time or after loco-regional treatment corresponding to induction, concomitant or adjuvant chemotherapy. A greater benefit (8%) was observed in trials that gave chemotherapy concomitantly to radiotherapy.16 Neo-adjuvant chemotherapy potentially can have an adverse effect on bone healing in DO whether given before or concomitant with distraction osteogenesis.17

This is a case report of gingival Squamous cell carcinoma treated by marginal mandibular resection and reconstruction by distraction osteogenesis during contaminant chemotherapy.

Case report

A healthy 50-year-old female patient was referred for evaluation of gingival lesion related to lower left central and lateral incisor teeth (Figure 1). The clinical impression from the referring clinician was a localized gingival inflammation. According to the patient's description, she had found the painless lesion over the lower left anterior teeth one week previous. The lesion of the gingiva not responded to the regular care and local treatment for two weeks. The patient medical and family histories were noncontributory. An Incisional biopsy was performed and read as well-differentiated squamous cell carcinoma (Grade I).

Figure 1 Intraoral clinical presentation of gingival SCC.

A comprehensive history was taken including the demography, past medical history, and dental and social history (tobacco and alcohol habits) was free. This was followed by a detailed examination that recorded the site of lesion, size of lesion, type of lesion (ulcerated, infiltrative, proliferative, or combination) and a detailed examination of the neck for lymph node involvement. Ulcerative lesion of the marginal gingiva related to lower left lateral incisor about 5 X 5 mm was observed. No lymph nodes involvement was noticed.

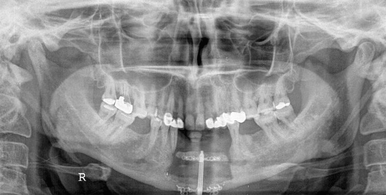
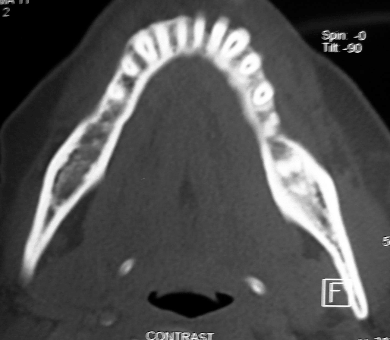
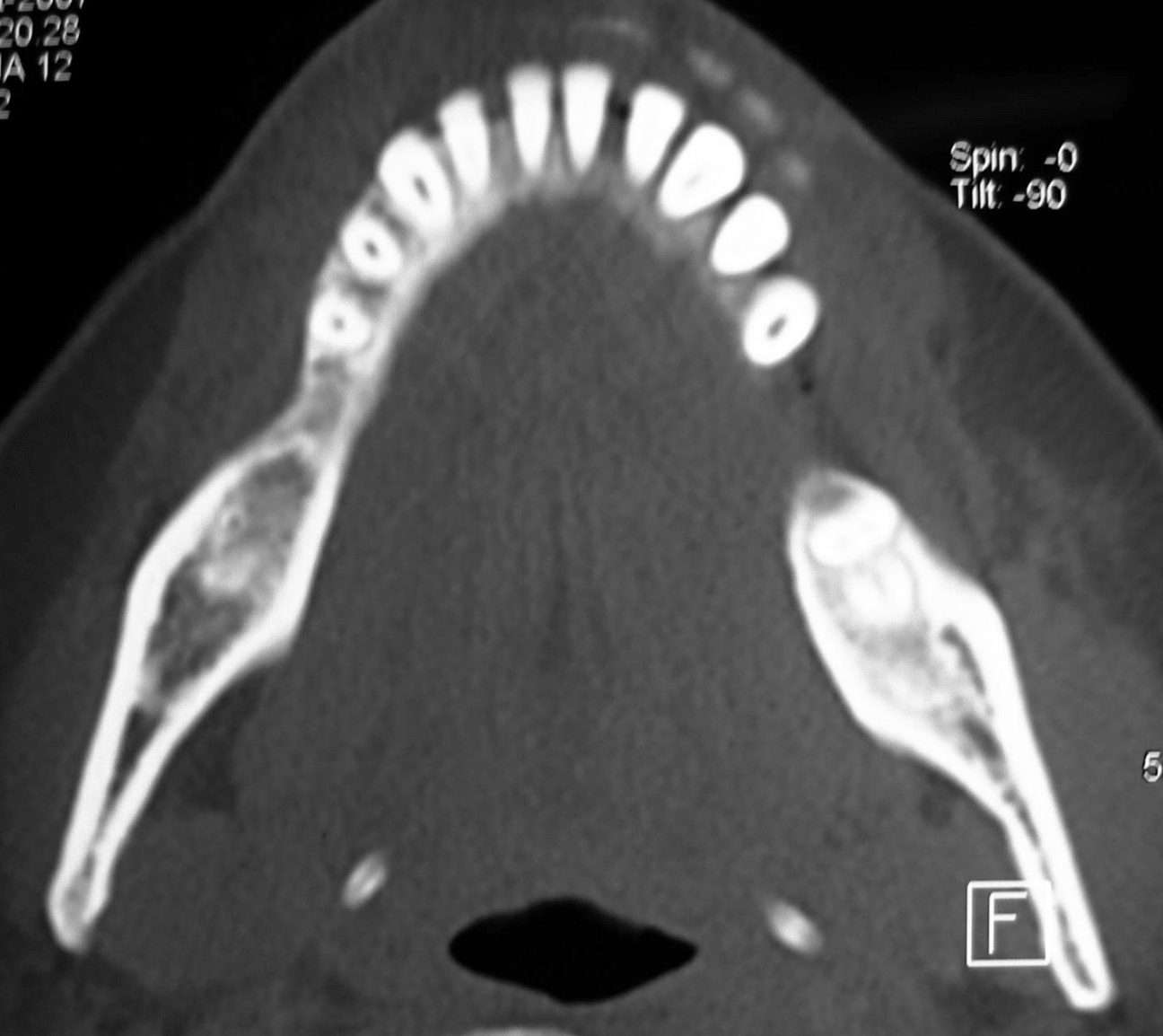
Preoperative radiographic examination including panoramic X-ray and C.T for evaluation of mandibular bone invasion by the lesion and evaluation of the neck lymph nodes (Figure 2A, B, C). Both the mandibular bone and neck lymph nodes were free. Whole body scan with Technetium-99m radiopharmaceuticals imaging was negative (Figure 2D). Clinical stage according to TNM system was T1N0M0.

Figure 2a CT axial view for evaluation of bone invasion by GSCC.

Figure 2b CT axial view for evaluation of bone invasion by GSCC.

Figure 2c CT coronal view for evaluation of bone invasion by GSCC.

Figure 2d Negative whole body scan with Technetium 99.

IRB and patient informed consent were obtained. Under general anaesthesia, marginal mandibular resection (alveolar rim resection with preservation of the inferior border) was done with safety margins around all the tissues with clinically evident tumor including the teeth. The safety margin involved the right central and lateral incisors and left canine and first premolar teeth with 0.5 cm of the bone apical to the teeth. A thin osteotome is then used to complete the bony cut through the alveolar process and between the teeth, attempting to maintain the integrity of the soft tissue and avoid damaging teeth. The wound healing was decent, and the soft tissue profile was good (Figure 3A, B, C, and D).

Figure 3a Outline of the mandibular marginal resection with surgical burs.

Figure 3b The resected bony segment.

Figure 3c The mandible after resection of the GSCC.

Figure 3d Postoperative panoramic x-ray view.

After resection, the mandible was decalcified and was sectioned to determine bone invasion. Histopathological report suggested that all margins were free and no involvement of mandibular bone.

After one month, under nasoendotracheal general anesthesia. The access is obtained through the usual genioplasty incision. A Subperiosteal plane is carefully developed to expose the osteotomy site, while an intact periosteal layer is maintained. The osteotomy is placed in the predetermined position on the basis of the findings on the preoperative workup.

Distraction device

Micro-track extra-osseous type from KLS Martin (KLS Martin Group, Tuttlingen, Germany) distractors was used in this case report. This distractor provides distraction length/turn of 0.3mm. The distractor is screwed to the bone using 1.5 X 5mm screws.

Distraction devices were applied to the bone and adapted to accommodate it plates according to the predetermined distraction vector. Then, devices were screwed by drilling bone using 1.5 mm screws. The osteotomy sites were then marked using surgical bur and the devices were removed. The osteotomy is then completed by using a series of osteotomies on the inferior and superior borders and on the lingual aspect. At this point, activation is attempted to ensure movement of the bone segment (Figure 4). The device is then returned to its starting position. The tissue is carefully closed over the device.

Figure 4 Fixation if the distraction to mandible.

The distraction protocol

Distraction osteogenesis was started after one week of latency period. A Distraction osteogenesis rate of 1 mm/day for 12 days was used followed by consolidation period of two months. To maximizing tumour control and decrease the recurrence rate, the oncologist decided to start chemotherapy with Cisplatin.

During the distraction and consolidation periods, the patient received chemotherapy consisted of Cisplatin 100 mg/m2. Before starting chemotherapy the patients underwent clinical examinations, a complete blood count and a biochemistry profile were performed for the assessment of toxicity and response.

At the end of the distraction (Figure 5A and B), the distraction removed and the chemotherapy no significant negative effect on the bone formation by distraction osteogenesis. Both soft tissue and bone healing were uneventful.

Figure 5a Panoramic x-ray at the end of distraction period.

Figure 5b Panoramic x-ray at the end of consolidation period.

Two weeks later, partial denture was made for replacement of the missing teeth (the patient refused to make implants). The patient profile was good and patient satisfaction was high (Figure 6A and B). Follow up extended to 3 years with no recurrence.

Figure 6a Frontal profile view showed good lip support.

Figure 6b Lateral profile view showed good lip support.

Discussion

The incidence of SCC of the gingiva is more commonly involves the mandible than the maxilla with high predominant in female over 50 years.18–20

The results of treatment of gingival SCCA showed better results in comparison to SCCA in other parts of the oral cavity. The main goal of the Treatment for gingival carcinoma is to provide the maximum probability of cure and maintain quality of life. One of the real dangers of this neoplasm is that in its early stages, it can go unnoticed. Usually at the initial stages it is painless but may develop a burning sensation or pain when it is advanced.

These clinical radiographic and histopathologic studies have helped to understand the pattern and extent of mandibular invasion by lower gingival cancer, but accurate preoperative estimation of mandibular invasion remains challenging.

A combination of surgery, radiotherapy or chemotherapy is used for its treatment. As for chemotherapy, Cisplatin-based chemo-radiation remains the standard for loco-regionally advanced head and neck SCC.21

The treatment of the involved nodal metastasis mainly based on the Radical neck dissection, or its modification. However, the Radiotherapy is usually not the preferred modality of treatment for early gingiva-buccal complex cancer. Radiotherapy can be used as an adjuvant therapy postoperatively or it can be used as definitive treatment for advanced cancer with or without chemotherapy. Chemotherapy has been used as neo-adjuvant, adjuvant, or palliative treatment.22–24

The management of the mandible is considered as the main factor in the decision of tumor ablation in oral cancer. In case of rim or marginal resection is possible treatment plan, then the lower border of the jaw is maintained which simplifying the reconstructive options. However, if a segmental resection of the mandible is considered as the only treatment option, then a composite reconstruction is required, which resulting in increased morbidity.25

Preoperative radiographic evaluation of mandibular invasion by the tumor is not always accurate. The sensitivity and specificity of the radiologic evaluation is low. For orthopantomogram, the sensitivity is 92% with a low specificity of 58%.7 while, the Computed tomography (CT) scan, magnetic resonance imaging (MRI), and bone scintigraphy have been found to be more useful with sensitivity and specificity ranging from 85% to 95%.26–30

Van den Brekel et al evaluated the accuracy of different radiological tools in assessing the invasion of mandible by tumour. In their series of 29 patients of oral carcinomas where all the mandibles were examined histopathological, MRI had the maximum sensitivity (94.0%) but the least specificity. Three of eleven normal mandibles were diagnosed as involved on MRI. MRI also overestimated the extent of tumour invasion beyond its accurate extension. Both of the Computerized tomography using 5 mm cuts and panoramic X-ray had relatively lower sensitivity (64 and 63% respectively) but higher specificity (80.0%). They concluded that as none of the radiological tests are accurate enough, the final decision regarding need for segmental resection should be made by intra operative clinical assessment. However, evidence of tumour invasion on CT scan or orthopantomogram should be a strong predictor for actual involvement, as these have high specificity.31

Although, the clinical examination has been found to be sensitive, the best results could be obtained by combining a clinical examination with one or more radiologic examinations.32

Marginal resection considered as the main treatment of the Gingival SCCA of the mandible. The survival rate following Marginal resection can be affected by several factors such as, stage of the SCCA, status of the surgical margin, with the bony invasion considered as the important factor.33–37

The rate of non-invaded resections of the mandible is variable, with a reported range of between 29 and 100%.38–49 The reason for this large discrepancy is not clear but it shows that clinicians adopt widely differing protocols for mandibular resection. Many of these studies assessed the accuracy of preoperative investigations and the margins of resection are rarely quoted. The Glasgow group50–54 has done most to establish the criteria for mandibular resection, but yet there is no acceptable standard as regards the non-invaded rate to guide surgeons about the accuracy of their practice.

In the present case report, no bony invasion of the mandible was observed by the panoramic X-ray and C.T evaluation. Marginal resection was planned according to both clinical and radiographic evaluation. The histopathologic examination revealed free surgical margin of the resected segment.

Different studies have been showing that the tumor predominantly entering the mandible through the occlusal surface. The results of these studies lead to the development of the rationale of the conservative approach to mandibular resection.500 The surgical technique of the conservative mandibular resection in cases of early invasion by SCCA includes the removal of the superior surface of the mandible with a safety margin. The method of conservative resection of the mandible is now well established and provides good control of disease in the primary site.

Obviously when clinically invaded nodes are present, a therapeutic neck dissection will be necessary. The management of the N0 neck in gingival cancer is still controversial with little published guidance for the clinician about its management. Eicher et al. looked at predictive factors for lymph node metastases from mandibular gingival SCC.55 Predictive factors for cervical metastases included T stage, histological or radiological evidence of bony invasion, and worse differentiation of the SCC. In their retrospective study, 66 patients had elective neck dissection and 61 nodes were found to be clinically clear. Occult disease was found in 18% of the group at neck dissection. Of the clinically N0 patients, 10% developed late metastases. Based on the results of their study, the authors recommended elective neck dissection for patients with moderately or poorly differentiated SCC, radiological or histological signs of bony invasion, and tumors in the mandibular symphyseal region.56,57

In the present case study, there was no lymph nodes involvement, and the histopathological grading was well differentiated SCC (grade I), so no need for neck dissection.      

In the study that was done by Gravel et al17 to evaluate the Effect of neo-adjuvant chemotherapy on distraction osteogenesis in the goat model, there was no statistically significant difference between the control goats versus goats that received chemotherapy; indicating that there was no sustained inhibitory effect on bone formation by the chemotherapy.

Another study by Subasi et al58 to evaluate the effects of chemotherapeutic agents on distraction osteogenesis. For this purpose, 23 rabbits randomly divided into two groups were included in the study. The experimental group and the control group consisted of 12 rabbits and 11 rabbits, respectively. The experimental groups were administered chemotherapeutic agents with the protocol identified in the osteogenic sarcoma regimen. All the subjects were corticotomised in the metaphyseal-diaphyseal region, and both groups underwent distraction with a circular ring fixator. X-ray films, bone scintigraphy and histopathological examination were performed three times during the study. No difference between the two groups was observed in radiological, scintigraphical and histopathological studies carried out before the distraction period and following the end of the distraction period. In this study, it was shown that the use of antineoplastic drugs has no significant negative effect on distraction osteogenesis applied for reconstruction in rabbits. We think that it can be an alternative treatment method in humans as well.

In 2001, Sakurakichi et al59 compared the results of limb reconstruction with the distraction osteogenesis after bone tumor resection. The patients were 13 males and 11 females; the average age at operation was 26 years. The average lengthening was 8.6 cm. The histological diagnoses were malignant bone tumor in 19 and benign bone tumor in five patients. They divided into three groups of the patients. Group A consisted of nine patients who received preoperative and postoperative chemotherapy. Group B consisted of five patients who received preoperative chemotherapy. Group C consisted of ten patients who did not receive chemotherapy. They evaluated distraction index (D.I.), external fixation index (E.F.I.), consolidation index (C.I.), blood flow measurement, and limb function. Blood flow was measured using technetium scintigraphy (blood flow ratio=distraction side/control side). The indices, blood flow ratio, and limb function did not show any significant difference in the three groups. There is no significant adverse effect in bone formation of distraction osteogenesis during chemotherapy.

In our case report, the patient started the chemotherapy during the distraction period and she continued the chemotherapy during the consolidation period. No adverse effect was observed on the distraction osteogenesis. Both bone healing and soft tissue healing were uneventful. This result in agreement with the results of the study conducted by Tsuchiya et al,60 who concluded that the use of Postoperative chemotherapy for malignant bone tumors has little or minimal effect on the ability to achieve bony union, and to have a negligeable effect on distraction osteogenesis.

Conclusion

This case indicates that the use of chemotherapy has no significant negative effect on distraction osteogenesis applied for reconstruction of the mandibular defect.

Acknowledgments

None.

Conflicts of interest

The author declares there are no conflicts of interest.

References

  1. Makridis SD, Mellado JR, Freedman AL, et al. Squamous cell carcinoma of gingiva and edentulous alveolar ridge: a clinicopathologic study. Int J Periodontics Restorative Dent. 1998;18(3):292–298.
  2. Soo KC, Spiro RH, King W, et al. Squamous carcinoma of the gums. Am J Surg. 1988;156(4):281–285.
  3. Rautava J, Luukkaa M, Heikinheimo K, et al. Squamous cell carcinomas arising from different types of oral epithelia differ in their tumor and patient characteristics and survival. Oral Oncol. 2007;43(9):911–919.
  4.  Shingaki S, Nomura T, Takada M, et al. Squamous cell carcinomas of the mandibular alveolus: analysis of prognostic factors. Oncology. 2002;62(1):17–24.
  5. Lubek J, El–Hakim M, Salama AR, et al. Gingival carcinoma: retrospective analysis of 72 patients and indications for elective neck dissection. Br J Oral Maxillofac Surg. 2011;49(3):182–185.
  6. Seoane J, Varela–Centelles PI, Walsh TF, et al. Gingival squamous cell carcinoma: diagnostic delay or rapid invasion? J Periodontol. 2006;77(7):1229–1233.
  7. Gomez D, Faucher A, Picot V, et al. Outcome of squamous cell carcinoma of the gingiva: a follow–up study of 83 cases. J Craniomaxillofac Surg. 2000;28(6):331–335.
  8. Raghoebar GM, Jansma J, Vissink A, et al. Distraction osteogenesis in the irradiated mandible. A case report. J Cranio Maxillofac Surg. 2005;33(4):246–250.
  9. Ilizarov GA. The principles of the Ilizarov method. Bull Hosp Jt Dis Orthop Inst. 1998;48(1):1–11.
  10. Constantino PD, Shybut G, Friedman CD, et al. Segmental mandibular regeneration by distraction osteogenesis an experimental study. Arch Otolaryngol Head Neck Surg. 1990;116(5):535–545.
  11. McCarthy JG, Schrieber J, Karb N, et al. Lengthening the human mandible by gradual distraction. Plast Reconstr Surg. 1992;89(1):1–8.
  12. Raghoebar GM, Heydenrijk K, Vissink A. Vertical distraction of the severely resorbed mandible. The Groningen distraction device. Int J Oral Maxillofac Surg. 2000;29(6):416–420.
  13. Honig JF, Grohmann UA, Merten HA. Mandibular distraction osteogenesis for lengthening the mandible to correct a malocclusion: a more than 70–year–old German concept in craniofacial surgery. J Craniofac Surg. 2002;13(1):96–98.
  14. Chiapasco M, Romeo E, Casentini P, et al. Alveolar distraction osteogenesis vs. vertical guided bone regeneration for the correction of vertically deficient edentulous ridges: a 1-3–year prospective study on humans. Clin Oral Implants Res. 2004;15(1):e82–e95.
  15. Pignon JP, Bourhis J, Domenge C, et al. Chemotherapy added to locoregional treatment for head and neck squamous–cell carcinoma: three meta–analyses of updated individual data. MACH–NC collaborative group. Meta-analysis of chemotherapy on head and neck cancer. Lancet. 2000;355(9208):949–955.
  16. Pignon JP, le Maître A, Maillard E, et al. Meta–analysis of chemotherapy in head and neck cancer (MACH–NC): an update on 93 randomised trials and 17,346 patients. Radiother Oncol. 2009;92(1):4–14.
  17. Gravel CA, Le TT, Chapman MW. Effect of neoadjuvant chemotherapy on distraction osteogenesis in the goat model. Clin Orthop Relat Res. 2003;412:213–224.
  18. Barasch A, Gofa A, Krutchkoff DJ, et al. Squamous cell carcinoma of the gingiva. A case series analysis. Oral Surg Oral Med Oral Pathol Oral Radiol Endod. 1995;80(2):183–187.
  19. Torabinejad M, Rick GM. Squamous cell carcinoma of the gingiva. J Am Dent Assoc. 1980;100(6):870–872.
  20. Yoon TY, Bhattacharyya I, Katz J, et al. Squamous cell carcinoma of the gingiva presenting as localized periodontal disease. Quintessence Int. 2007;38(2):97–102.
  21. Specenier PM, Vermorken JB. Current concepts for the management of head and neck cancer: chemotherapy. Oral Oncol. 2009;45(4–5):409–415.
  22. Misra S, Chaturvedi A, Misra NC. Management of gingivobuccal complex cancer. Ann R Coll Surg Engl. 2008;90(7):546–553.
  23. Lubek J, El–Hakim M, Salama AR, et al. Gingival carcinoma: retrospective analysis of 72 patients and indications for elective neck dissection. Br J Oral Maxillofac Surg. 2011;49(3):182–185.
  24. Mourouzis C, Pratt C, Brennan PA. Squamous cell carcinoma of the maxillary gingiva, alveolus, and hard palate: is there a need for elective neck dissection? Br J Oral Maxillofac Surg. 2010;48(5):345–348.
  25. Kroll SS, Schusterman MA, Reece GP, et al. Choice of flap and incidence of free flap success. Plast Reconstr Surg. 1996;98(3):459–463.
  26.  Lam KH, Lam LK, Ho CM, et al. Mandibular invasion in carcinoma of the lower alveolus. Am J Otolaryngol. 1999;20(5):262.
  27. Kalavrezos ND, Gratz KW, Sailer HF, et al. Correlation of imaging and clinical features in assessment of mandibular invasion of oral carcinomas. Int J Oral Maxillofac Surg. 1996;25(6):439.
  28. Noyek AM. Bone scanning in otolaryngology. Laryngoscope. 1979;89(9 Pt 2 Suppl 18):1–87.
  29. Brown JS, Jones HL. Evidence for imaging the mandible in the management of oral squamous cell carcinoma: a review. Br J Oral Maxillofac Surg. 2001;39(6):411–418.
  30. Higashi K, Wakao H, Ikuta H, et al. Bone scintigraphy in detection of bone invasion by oral carcinoma. Ann Nucl Med. 1996;10(1):57–61.
  31. Lewis–Jones HG, Rogers SN, Beirne JC, et al. Radionuclide bone imaging for detection of mandibular invasion by squamous cell carcinoma. Br J Radiol. 2000;73(869):488–493.
  32. van den Brekel MWM, Runne RW, Smeele LE, et al. Assessment of tumour invasion into the mandible: the value of different imaging techniques. Eur Radiol. 1998;8(9):1552–1557.
  33. Rao LP, Das SR, Mathews A, et al. Mandibular invasion in oral squamous cell carcinoma. Investigation by clinical examination and orthopantomogram. Int J Oral Maxillofac Surg. 2004;33(5):454–457.
  34. Guerra MFM, Gias LN, Campo FR, et al. Marginal and segmental mandibulectomy in patients with oral cancer: a statistical analysis of 106 cases. J Oral Maxillofac Surg. 2003;61(11):1289–1296.
  35. Tankere F, Golmard J, Barry B, et al. Prognostic value of mandibular involvement in oral cancers. Rev Laryngol Otol Rhinol (Bord). 2002;123(1):7–12.
  36.  De Vicente JC, Recio OR, Pendas SL, et al. Oral squamous cell carcinoma of the mandibular region: a survival study. Head Neck. 2001;23(7):536–543.
  37. Dubner S, Heller KS. Local control of squamous cell carcinoma following marginal and segmental mandibulectomy. Head Neck. 1993;15(1):29–32.
  38. Wald RM, Calcaterra TC. Lower alveolar carcinoma. Segmental VS marginal resection. Arch Otolaryngol. 1983;109(9):578–582.
  39. Baker HL, Woodbury DH, Krause CJ, et al. Evaluation of bone scan by scintigraphy to detect subclinical invasion of the mandible by squamous cell carcinoma of the oral cavity. Otolaryngol Head Neck Surg. 1982;90(3 Pt 1):327–336.
  40.  Leipzig B. Assessment of mandibular invasion by carcinoma. Cancer. 1985;56(5):1201–1205.
  41.  Luyk NH, Laird EE, Booth PW, et al. The use of radionuclide bone scintigraphy to determine local spread of oral squamous cell carcinoma to mandible. J Maxillofac Surg. 1986;14(2):93–98.
  42. O’Bnen CJ, Carter RL, Soo KC, et al. Invasion of the mandible by squamous carcinomas of the oral cavity and oropharynx. Head Neck. 1986;8(4):247–256.
  43. Barttelbort SW, Bahn SL, Ariyan SA. Rim mandibulectomy for cancer of the oral cavity. Am J Surg. 1987;154(4):423–428.
  44.  Ahuja RB, Soutar DS, Moule B, et al. Comparative study of technetium–99m bone scans and orthopantomography in determining mandible invasion in intraoral squamous cell carcinoma. Head Neck. 1990;12(3):237–243.
  45.  Soderholm AL, Lindqvist C, Hietanen J, et al. Bone scanning for evaluating mandibular bone extension of oral squamous cell carcinoma. J Oral Maxillofac Surg. 1990;48(3):252–257.
  46.  Muller H, Slootweg PJ. Mandibular invasion by oral squamous cell carcinoma. Clinical aspects. J Craniomaxillofac Surg. 1990;18(2): 80–84.
  47. Totsuka Y, Usui Y, Tei K, et al. Mandibular involvement by squamous cell carcinoma of the lower alveolus: analysis and comparative study of histologic and radiologic features. Head Neck. 1991;13(1):40–50.
  48. Brown JS, Griffith JF, Phelps PD, et al. A comparison of different imaging modalities and direct inspection after periosteal stripping in predicting the invasion of the mandible by oral squamous cell carcinoma. Br J Oral Maxillofac Surg. 1994;32(6):347–359.
  49. Ord RA, Sarmadi M, Papadimitrou J. A comparison of segmental and marginal bony resection for oral squamous cell carcinoma involving the mandible. J Oral Maxillofac Surg. 1997;55(5):470–477.
  50.  Jones AS, England J, Hamilton J, et al. Mandibular invasion in patients with oral and oropharyngeal squamous carcinoma. Clin Otolaryngol Allied Sci. 1997;22(3):239–245.
  51.  McGregor AD, MacDonald DG. Patterns of spread of squamous cell carcinoma to the ramus of the mandible. Head Neck. 1993;15(5):404–444.
  52.  McGregor AD, MacDonald DG. Reactive changes in the mandible in the presence of squamous cell carcinoma. Head Neck. 1988;10(6):378–386.
  53.  McGregor AD, MacDonald DG. Routes of entry of squamous cell carcinoma to the mandible. Head Neck. 1988;10(5):294–301.
  54.  McGregor IA, MacDonald DG. Spread of squamous cell carcinoma to the non–irradiated edentulous mandible -a preliminary report. Head Neck. 1987;9(3):157–161.
  55. Ahuja RB, Soutar DS, Moule B, et al. Comparative study of technetium–99m bone scans and orthopantomography in determining mandible invasion in intraoral squamous cell carcinoma. Head Neck. 1990;12(3):237–243.
  56. Eicher SA, Overholt SM, Naggar AKE, et al. Lower gingival carcinoma. Clinical and pathologic determinants of regional metastases. Arch Otolaryngol Head Neck Surg. 1996;122(6):634–638.
  57. Overholt SM, Eicher SA, Wolf P, et al. Prognostic factors affecting outcome in lower gingival carcinoma. Laryngoscope. 1996;106(11): 1335–1339.
  58. Subasi M, Kapukaya A, Kesemenli C, et al. Effect of chemotherapeutic agents on distraction osteogenesis. Arch Orthop Trauma Surg. 2001;121(7):417–421.
  59. Keisuke S, Hiroyuki T, Kenji U, et al. Results of the distraction osteogenesis under chemotherapy. J Japan Assoc Ext Fix Limb Length. 2001;12(3):31–36.
  60. Tsuchiya H, Shirai T, Morsy AF, et al. Safety of external fixation during post–operative chemotherapy. J Bone Joint Surg Br. 2008;90(7):924–8. 
Creative Commons Attribution License

©2024 Hegab, et al. This is an open access article distributed under the terms of the, which permits unrestricted use, distribution, and build upon your work non-commercially.