Submit manuscript...
Journal of
eISSN: 2374-6947

Diabetes, Metabolic Disorders & Control

Case Report Volume 10 Issue 1

Efficacy of low carbohydrate diet (LCD) on obesity and alcohol intake from bio-psycho-social points of view

Hiroshi Bando,1,2,3 Noboru Iwatsuki,1 Tomoya Ogawa,1 Kazuki Sakamoto1

1Sakamoto Hospital, Higashi Kagawa city, Kagawa, Japan
2Tokushima University / Medical Research, Tokushima, Japan
3Japan Low Carbohydrate Diet Promotion Association, Kyoto, Japan

Correspondence: Hiroshi Bando, MD, PhD, FACP Tokushima, University/Medical Research, Address: Nakashowa 1-61, Tokushima 770-0943, Japan

Received: January 13, 2023 | Published: January 27, 2023

Citation: Bando H, Iwatsuki N, Ogawa T, et al. Efficacy of low carbohydrate diet (LCD) on obesity and alcohol intake from bio-psycho-social points of view. J Diabetes Metab Disord Control. 2023;10(1):21-24. DOI: 10.15406/jdmdc.2023.10.00247

Download PDF

Abstract

Background: Low carbohydrate diet (LCD) and very low-carbohydrate ketogenic (VLCK) diet have been in focus.

Case presentation: Patient is a 66-year-old male with obesity (87kg, BMI 29.4kg/m2), fatty liver, gall stone and excessive alcohol consumption with GGT 661 U/L.

Results: By continuing LCD and quitting alcohol consumption, his weight decreased to 65kg and GGT decreased to 28 U/L.

Discussion: This case was followed up for 10 years, and showed no apparent findings of arteriosclerotic cardiovascular disease (ASCVD). From bio-psycho-social points of view, he was brought up in a rather wealthy home related to Japan Agricultural (JA) Cooperatives in the community.

Keywords: low carbohydrate diet (LCD), very low-carbohydrate ketogenic (VLCK), arteriosclerotic cardiovascular disease (ASCVD), Japan LCD promotion association (JLCDPA), excessive alcohol consumption

Introduction

For decades, adequate management for type 2 diabetes (T2D) has been discussed. American Diabetes Association (ADA) has announced the medical care guideline in Jan 2022.1 For basic nutritional therapy, calorie restriction (CR) and low carbohydrate diet (LCD) have been in discussion for long. LCD was formerly initiated in Western countries, and authors and colleagues have LCD promotion in Japan.2 From historical point of view, Doctors of Atkins and Bernstein had firstly proposed LCD method.3,4 After that, ADA proposed in "Life with Diabetes 2004" that carbohydrates would be the only nutrient element raising postprandial blood glucose levels.5 Successively, LCD, low-fat diet and Mediterranean diet were compared, indicating clinical efficacy of LCD.6,7 As regard to LCD, debates have been continued for Low-carbohydrate weight-reducing diets vs balanced-carbohydrate weight-reducing diets for years.8 Some research was conducted for RCTs in adults for weight, HbA1c, LDL and other markers. As a result, apparent difference was not observed between randomized to either LCD or balanced-LCD weight-reducing diets. For the perspectives for obesity and diet, two categories have been found. One is traditional concept of the energy balance model (EBM). Another concept would be the carbohydrate-insulin model (CIM). The latter has been gradually accepted worldwide, and such paradigm change has been observed 9. Authors et al. have continued diabetic practice and research for long.10,11 We have experienced an impressive patient with obesity and alcohol intake, who was treated by LCD and followed up for years. The general status and some perspectives are described in this article.

Case presentation

History and physicals

The patient is a 66-year-old male patient with obesity, and T2D. As regards to previous history, he was diagnosed as obesity and T2D when he was 56 years old. His body stature was 172cm, 87kg, and BMI 29.4 kg/m2. At that time, he was advised to start LCD. The degree of T2D was light level, and oral hypoglycemic agent (OHA) was discontinued soon by LCD. He continued standard LCD method for years and his weight reduction was successful. Six years later, his weight decreased to 68kg with BMI 22.9 kg/m2. During 62-66 years old, his weight has been rather stable with around 65-72 kg for 5 years (Figure 1). He has another problem of fatty liver and excessive alcoholic consumption. For his daily life habit, he has drunk for years. His GGT (γ-GTP) has been followed up for long, which was 535 U/L in 2018. He almost quit drinking during 2019, where GGT was in normal range. He drank again during May 2020 to 2021, with keeping elevated GGT results. His GGT was 456 U/L in May 2021, and he decided to reduce alcohol intake. After that, his liver function test was gradually normalized, and GGT was 28 U/L in July 2022 (Figure 1). His physicals in April 2022 were as follows: consciousness is alert, speech and vitals are normal range, his lung, heart, abdomen were unremarkable and neurological findings were intact. His physique was 172cm, 65kg with BMI 21.9 kg/m2.

Figure 1 Clinical progress for weight and GGT for long period years.

Several examinations

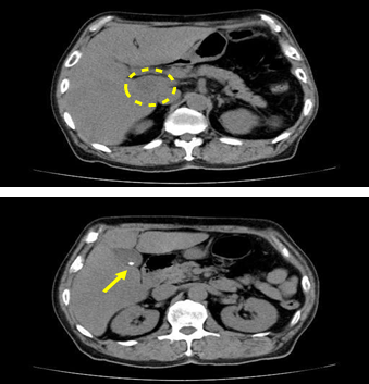
His blood examinations in July 2022 were as follows: TP 7.0 g/dL, Alb3.6 g/dL, ALT 15 U/L, ALT 6 U/L, ALP 44 U/L (38-113), GGT 28 U/L, LDL 70 mg/dL, TG 60 mg/dL, HDL-C 36 mg/dL, BUN 15 mg/dL, Cr 0.97 mg/dL, UA 2.8 mg/dL, Na 134 mEq/L, K 3.4 mEq/L, Cl 97 mEq/L, WBC 9500 /μL, RBC 3.07 x 106 /μL, Hb 10.7 g/dL, Ht 30.9 %, MCV 101 fL, MCH 34.9 pg, MCHC 34.6 g/dL, Plt 35.7 x 104 /μL, fasting blood glucose 118 mg/dL and HbA1c 5.9 %. Other examinations were conducted during Sept 2021 to July 2022. Chest X-ray revealed negative findings, and Electrocardiogram (ECG) showed ordinary sinus rhythm without specific ST-T changes. He received the detail examination of mechanocardiogram and sphygmogram. The results showed that ankle brachial index(ABI)was 1.25/1.29 in right/left, respectively. The values of cardio-ankle vascular index (CAVI) were 8.7/8.5 for right/left, respectively (Figure 2). Furthermore, the results of upstroke time (UT) and % mean arterial pressure (%MAP) were within normal limits. He received abdominal CT scan. Low density area was observed in the caudate lobe of the liver. It was suggested to be due to local infiltration of fat tissue. Furthermore, one gallstone was found in the gall bladder (Figure 3).

Figure 2 Mechanocardiogram and sphygmogram.

Figure 3 Findings of abdominal CT.
3a: Low density area was observed in the tailed leaf of the liver.
3b: One gallstone was found in the gall bladder.

Medical problems

This case had several problems. They are i) obesity with previous BMI 29.4 kg/m2, ii) improvement of T2D by LCD in short period, iii) effective LCD treatment with weight reduction from 87kg to 65kg, iv) habitual excessive alcohol consumption, v) extreme elevated value of serum GGT, vi) fatty infiltration of the liver, vii) gall stone and viii) psychological weakness for drinking dependence. His current medication has been as follows: aspirin 100mg, telmisartan 40mg, nifedipine 20mg, rebamipide 100mg, febuxostat 20mg, bezafibrate 400mg, mecobalamin 1000mg, potassium aspartate 600mg, glycyrrhizic acid, glycine, and DL-methionine combined drug per day. 

Ethical considerations

Current case report was basically performed with the ethical principles of the Declaration of Helsinki. In addition, some commentaries were present with the Ethical Human Research Guideline. They include the principle of the Good Clinical Practice (GCP). Authors and colleagues had established our ethical committee for this investigation. This committee exists in the hospital with some professional staffs. They include hospital director, physician, nurse, pharmacist, dietician, and also legal specialty. For the meeting of the committee, enough discussion was conducted. As a result, their agreement was provided for current protocol. The document for the informed consent was taken from the patient.

Discussion

As to this case, there seems to be several medical problems.12 They include physical, psychological and social problems for the discussion in weight reduction and alcohol intake.13 Some perspectives are described in this order. Firstly, medical problems include obesity, T2D, LCD and liver dysfunction.14 When he was first diagnosed as obesity, he weighed 87 kg and had mild T2D. OHA was administered for a short period of time, but OHA could be discontinued because LCD decreased body weight satisfactory and normalized HbA1c. In this way, LCDs are effective for obesity and diabetes.

Concerning LCD, randomized controlled trials (RCT) were conducted for three groups, which were LCD, CR and Mediterranean method.6,15 It was a large RCT by Dietary Intervention Randomized Controlled Trial (DIRECT) Group. As a result, LCD was proved to show beneficial effects on body weight, glycemic control and HbA1c. Other studies were found associated with positive clinical efficacy.16 From fundamental medical point of view, the relationship of glucose intake and elevation of blood glucose is argued in the Harper’s biochemistry which is well-known medical textbook.17 Glucose has been a major metabolic fuel of human and mammals. Formerly, it was believed that carbohydrate, protein and lipids could influence post-prandial elevation of blood glucose to some extent. However, recent research has clarified that only carbohydrate elevates blood glucose level. For several annual guidelines of ADA, clinical effect of restricting glucose intake contributes improvement of diabetic pathophysiology.18

LCDs are understood for its clinical effect and prevalent in Western European countries and North America. It was originally started by doctors of Atkins and Bernstein. In Japan, Ebe et al.19 initiated the LCD method, and the authors research group have been involved in the development.19 Through the activities of the Japan LCD Promotion Association (JLCDPA), we have continued various activities such as English papers, books, seminars, workshops and internet presentation.20 The contents include obesity, diabetes, diabetic pregnant women, and research using continuous glucose measurement (CGM) and Meal Tolerance Test (MTT).21 Recently, SGLT2i and GLP-1RA agents have been introduced to medical practice, and we have continued clinical research related to these agents.

However, LCD has been recommended for the basic treatment. Regarding LCDs, we have proposed useful three methods to keep up with the routine. They are super-, standard- and petite-LCDs.22 The percentage of carbohydrate content per calorie is 12%, 26%, and 40%, respectively. Carbohydrate restriction would be always required for obesity and diabetes as the basic treatment. For the current case, liver dysfunction has been observed due to excessive alcohol consumption. Although it has been seen before, he has recently restricted the amount of alcohol in response to the habitual advice of our medical staffs. Especially in 2021-2022, he could decrease alcohol intake. As a result, the GGT value decreased from 661 U/L to 28 U/L in July 2022. The improvement was found by several factors related to physical, psychological and social aspects. Secondly, psychological problems showed the dependency for drinking too much for years. It suggested to be due to various stressful matters.23 He has liked to have gourmet foods for years. When he was exposed to various stressful matters, he could not cope well, which led to excessive drinking. His psychological condition probably led to obesity. He has been involved in the medical and health support of mother and brother. Furthermore, he has a role to conduct a leader for agricultural management in the community, in which he has felt various stress so far.

Thirdly, from social point of view, there is an impressive aspect. Since his parents continued agricultural work in the community, his home played a leadership role for long. He was brought up in such a wealthy family. For actual management of agriculture in Japan, Japan Agricultural (JA) Cooperatives have mainly decided general management for annual planning.24 In his house, there are many large tractors and cultivators as equipment necessary for rice production. He has had four expensive foreign driving cars in his house. Such a community role inherited from his parents may influence his daily habit and social role in his background. It is also suggested that economic conditions affected dietary habit and obesity, and psychological stress led to alcohol consumption.

This report showed some figures. Although alcohol intake was related to changes in GGT in Figure 1, no apparent relationship was suggested with changes in body weight. In Figure 2, the presence of clear arteriosclerotic cardiovascular disease (ASCVD) was not suggested in this case from the result of sphygmogram. Gallstones and localized fatty deposits were observed in Figure 3, but moderate or severe fatty liver was not observed, which was expected from history and alcohol intake amount. This patient was initially obese and was able to lose weight by very low-carbohydrate ketogenic (VLCK) diet. For LCD, dose-dependent effect was investigated systematic review for several markers.25 The protocol included 50 trials with 4291 cases. Each 10% decrease of carbohydrate intake showed HbA1c -0.20%, fasting plasma glucose (FPG) -0.34 mmol/L, and weight -1.44kg. Reduction degree was linearly for HbA1c, FPG, weight, TG and systolic BP from 65% to 10%. In contrast, total-Cho and LDL-C showed U-shaped, where greatest weight reduction was -35%. Recent focus includes VLCK diet to obesity and T2D. The study was for 8 RCTs with 648 cases.26 As a result, compared with the control, VLCK showed -0.61% of HbA1c and -2.91kg of weight reduction after 3 months. VLCK diet seems to decrease weight for up to half year against diabetes and obesity. Beneficial effects of HDL and TG would continue until 1 year. For VLCK performance, main limitation may be the lack of carbohydrate restriction for the patient.

For weight reduction, LCD and VLKD, strong correlation was found between diet types and gut microbiota composition. From narrative review, beneficial impact of VLCKD was found for gut microbiota for patients with obesity and T2D.27 Insulin resistance (IR) would play crucial role for various pathogenesis, including T2D, obesity, cardiovascular disease (CVD), non-alcoholic fatty liver disease ((NAFLD), neurodegenerative disease and others. For IR-related disorders, ketogenic diet (KD) has been applied associated with beneficial results. For the review in these fields, analysis method of Strengths, Weaknesses, Opportunities, and Challenges (SWOC) was applied. It showed successful KD works on IR-related chronic inflammation, mitochondrial stress and oxidative stress.28 In summary, 66-year-old patient was presented, who has obesity and excessive alcoholic consumption. He was treated by several strategies from bio-psycho-social points of view including LCD. The case was followed up for 10 years, and showed no apparent findings of ASCVD, such as cerebral vascular accident (CVA), coronary artery disease (CAD) and peripheral artery disease (PAD). This case will become hopefully a reference for future medical practice and research.

Acknowledgments

None.

Conflicts of interest

The authors declare no conflict of interest.

References

  1. American Diabetes Association; Standards of Medical Care in Diabetes—2022 Abridged for Primary Care Providers. Clin Diabetes. 2022;40(1): 10–38.
  2. Muneta T, Hayashi M, Nagai Y, et al. Ketone Bodies in the Fetus and Newborn During Gestational Diabetes and Normal Delivery. Int J Diabetes. 2022;3(1):142–148.
  3. Atkins RC. Dr. Atkins' new diet revolution. Harper, New York, 2002.
  4. Bernstein R. Dr. Bernstein's diabetes solution. Newly revised & Updated. Little Brown and Company, New York, 2007.
  5. American Diabetes Association. Life with Diabetes Third Edition. American Diabetes Association, Alexandria, 2004.
  6. Shai I, Schwarzfuchs D, Henkin Y, et al. Weight loss with a low-carbohydrate, Mediterranean, or low-fat diet. N Engl J Med. 2008;359(3):229–241.
  7. Feinman RD, Pogozelski WK, Astrup A, et al. Dietary carbohydrate restriction as the first approach in diabetes management: Critical review and evidence base. Nutrition. 2015;31(1):1–13.
  8. Naude CE, Brand A, Schoonees A, et al. Low-carbohydrate versus balanced-carbohydrate diets for reducing weight and cardiovascular risk. Cochrane Database Syst Rev. 2022;1(1):CD013334.
  9. Ludwig DS, Apovian CM, Aronne LJ, et al. Competing paradigms of obesity pathogenesis: energy balance versus carbohydrate-insulin models. Eur J Clin Nutr. 2022;76(9):1209–1221.
  10. Bando H, Yamashita H, Kato Y, et al. Seasonal Variation of Glucose Variability in Rather Elderly Patients with Type 2 Diabetes (T2D) Treated by Vildagliptin and Metformin (EquMet). Asp Biomed Clin Case Rep. 2022;5(3):146–151.
  11. Ogawa H, Bando H, Urasaki H, et al. Clinical Change in the Relationship with Post-Prandial Blood Glucose and Actual Carbohydrate Amount. SunText Rev Case Rep Image. 2022;3(2):146.
  12. Fanali A, Giorgi F, Tramonti F. Thick description and systems thinking: Reiterating the importance of a biopsychosocial approach to mental health. J Eval Clin Pract. 2022.
  13. Megherbi Moulay O, Igier V, Julian B, et al. Alcohol Use in Older Adults: A Systematic Review of Biopsychosocial Factors, Screening Tools, and Treatment Options. Int J Ment Health Addiction. 2022
  14. Bidstrup H, Brennan L, Kaufmann L, et al. Internalised weight stigma as a mediator of the relationship between experienced/perceived weight stigma and biopsychosocial outcomes: a systematic review. Int J Obes (Lond). 2022;46(1):1–9.
  15. Schwarzfuchs D, Golan R, Shai I. Four-year follow-up after two-year dietary interventions. N Engl J Med. 2012;367(14):1373–1374.
  16. Yamada S, Kabeya Y, Noto H. Dietary Approaches for Japanese Patients with Diabetes: A Systematic Review. Nutrients. 2018;10(8):1080.
  17. Bender DA, Mayers PA. Chapter 15: Carbohydrates of Physiological Significance. Harper's Illustrated Biochemistry, 31edition. Lange. McGraw-Hill Education. 2018.
  18. ElSayed NA, Aleppo G, Aroda VR. Obesity and Weight Management for the Prevention and Treatment of Type 2 Diabetes: Standards of Care in Diabetes-2023. Diabetes Care. 2023;46(Suppl 1):S97–S110.
  19. Ebe K, Ebe Y, Yokota S, et al. Low Carbohydrate diet (LCD) treated for three cases as diabetic diet therapy. Kyoto Medical Association Journal. 2004;51:125–129.
  20. Miyashiro H, Bando H, Kato Y, et al. Improved Glucose Variability of Continuous Glucose Monitoring (CGM) By Intake of Japanese Healthy Tofu as Low Carbohydrate Diet (LCD). Int J Endocrinol Diabetes. 2022;5(2):136.
  21. Urasaki H, Bando H, Urasaki H, et al. Useful meal tolerance test (MTT) for carbohydrate amount and post-prandial blood glucose. Int J Complement Alt Med. 2022;151(1):47‒49.
  22. Bando H. Useful Tips for Actual Low Carbohydrate Diet (LCD) with Super-, Standard- and Petit-LCD Methods. EC Nutrition. 2020;15(5):01–04.
  23. Ceci FM, Francati S, Ferraguti G, et al. Behavioral dysregulations by chronic alcohol abuse. Motivational enhancement therapy and cognitive behavioral therapy outcomes. Riv Psichiatr. 2022;57(1):1–9.
  24. Nakamura M. A City Founded on the Automobile Industry and Agriculture: Is Cooperation Between Agriculture and Industry Possible?. In: Nibe N, et al., editors. Toyota City in Transition. 2022.
  25. Jayedi A, Zeraattalab-Motlagh S, Jabbarzadeh B, et al. Dose-dependent effect of carbohydrate restriction for type 2 diabetes management: a systematic review and dose-response meta-analysis of randomized controlled trials. Am J Clin Nutr. 2022;116(1):40–56.
  26. Rafiullah M, Musambil M, David SK. Effect of a very low-carbohydrate ketogenic diet vs recommended diets in patients with type 2 diabetes: a meta-analysis. Nutr Rev. 2022;80(3):488–502.
  27. Defeudis G, Rossini M, Khazrai YM, et al. The gut microbiome as possible mediator of the beneficial effects of very low calorie ketogenic diet on type 2 diabetes and obesity: a narrative review. Eat Weight Disord. 2022;27(7):2339–2346.
  28. Nuwaylati D, Eldakhakhny B, Bima A, et al. Low-Carbohydrate High-Fat Diet: A SWOC Analysis. Metabolites. 2022;12(11):1126.
Creative Commons Attribution License

©2023 Bando, et al. This is an open access article distributed under the terms of the, which permits unrestricted use, distribution, and build upon your work non-commercially.