Submit manuscript...
Journal of
eISSN: 2374-6947

Diabetes, Metabolic Disorders & Control

Case Report Volume 11 Issue 2

Hypoglycemia in a non - diabetic patient: a case report

Giraldo Cardona Joaquín, Licopanti Cinthia, Monteiro Agustina, Gonzalez Yasmin, Villegas Angelo Cesar, Otero Yamila, Buono Monica

Internal Medicine Service, Professor Dr. B. Houssay Hospital, University of Buenos Aires, Argentina

Correspondence: Giraldo Cardona Joaquín, Internal Medicine Service, University of Buenos Aires, Dr B. Houssay Hospital, Hipólito Yrigoyen Avenue 1757 – Zip Code 1638, Vicente Lopez, Buenos Aires, Argentina

Received: August 15, 2024 | Published: August 30, 2024

Citation: Joaquín GC, Cinthia L, Agustina M, et al. Hypoglycemia in a non - diabetic patient: a case report. J Diabetes Metab Disord Control. 2024;11(2):56-58. DOI: 10.15406/jdmdc.2024.11.00278

Download PDF

Abstract

Non diabetic hypoglycemia (or endogenous hypoglycemia) is an uncommon clinical problem, their study and treatment are a complex process. Under normal physiologic conditions, counterregulatory mechanisms prevent hypoglycemia. The use (involuntary or prescribed) of drugs associated with hypoglycemia (meglitinides, sulfonylureas and insulin) must always be ruled out. In healthy patients the main cause is an insulinoma (a type of neuroendocrine pancreatic tumor) and demands multidisciplinary management. The key for the diagnosis of insulinoma is the Whipple's triad described in 1930 by Allen Whipple (an American surgeon); symptoms occur during fasting or exercise, and are weird after eating. Surgical treatment is usually the only curative option. We aim to improve the diagnosis approach and our comprehension about these rare cases in clinical practice. Below we present a clinical case of a 51-year-old female patient with no history of diabetes admitted to our institution due to persistent hypoglycemia.

Keywords: Hypoglycemia, diabetes mellitus, insulinoma, pancreatic neuroendocrine tumor, hyperinsulinism

Abbreviations

CT, computed tomography; MRI, magnetic resonance imaging; MRCP, magnetic resonance cholangiopancreatography; US, ultrasound; CNS, central nervous system

Introduction

Glucose is our primary source of energy and it is essential for the brain, which unlike other tissues is unable to synthesize or store it. Blood glucose homeostasis is coordinated by the sympathetic and parasympathetic nervous system and endocrine system. Hormones involved are insulin, glucagon, cortisol, catecholamines and growth hormone.1 There are minimal fluctuations in glucose on a daily basis, keeping a balance between tissue needs, endogenous and exogenous sources. The lower limit of the reference range for a normal fasting plasma glucose level is 70 mg/dL (3.9 mmol/L).

Hypoglycemia depicts an emergency situation2 characterized by the presence of neuroglycopenic symptoms elicited by decreased central nervous system (CNS) glucose supply (abnormal behavior, visual disturbances, confusion, drowsiness, psychomotor abnormalities, stupor, seizures and coma) and autonomic symptoms, which in turn are divided into adrenergics triggered by sympathetic nervous system and catecholamines release (anxiety, palpitations, tremor) and cholinergics (diaphoresis, hunger, paresthesias); diagnosis is confirmed by Whipple's triad, which consists of symptoms and signs caused by hypoglycemia, a low plasma level of glucose when symptoms are present (below 50 mg/dl - 2.8 mmol/L),3 and resolution of symptoms after correction of the hypoglycemia. Hypoglycemia is common in diabetic patients, associated with states of starvation, the use of oral antidiabetics and insulin; conversely, it is rare in healthy-appearing patients and its approach is a challenge.

Case report

A 51-year-old female with a medical history of hypothyroidism under treatment with levothyroxine 100 mcg daily, presented to our institution due to altered mental status, drowsiness, dizziness, sudden slow and disorder gait while shopping. Patient’s physical examination in the emergency department showed normal vital signs, slow cognition, and slow speech. Fingerstick blood glucose was performed with a result of 36 mg/dL (2 mmol/L) with multiple requirements of 5% glucose solution with a last result of 71 mg/dL (3.94 mmol/L) and resolution of symptoms, so it fulfilled the Whipple's triad. Laboratory showed blood glucose: 66 mg/dL (3.66 mmol/L), liver and kidney function within normal range and was admitted to the hospitalization service of internal medicine.

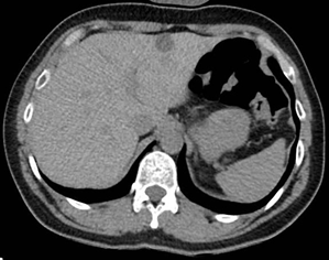
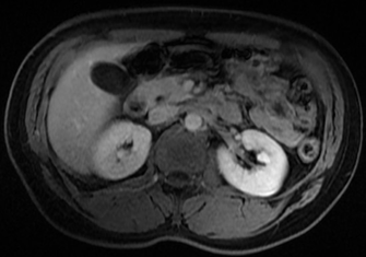
Subsequently, the patient reported a similar episode a year ago while riding a bike, which resulted in a wrist fracture. However, it was not studied by then. During his hospitalization the patient presented repeated episodes of hypoglycemia, so studies were expanded, a lipid profile, thyroid function, and plasma cortisol were performed, all of which were normal, and possible infection was ruled out. It was evaluated in conjunction with the endocrinology service, who indicated imaging studies and a 72 hours fasting test because of insulinoma suspicion. Computed tomography (CT) with abdominal contrast and magnetic resonance cholangiopancreatography (MRCP) were performed, showing a cystic image in the liver without other significant anomalies (Figures 1 and 2). A 72-hour carbohydrate fasting test was performed, which ended after 14 hours due to symptoms of hypoglycemia and fingerstick blood glucose of 36 mg/dL (2 mmol/L). Laboratory tests were taken immediately, confirming venous blood glucose of 35 mg/dL (1.94 mmol/L) and insulin of 46.7 uIU/mL (high, reference range 2.6 - 25 uIU/ml). Then dextrose intravenous was administered and the symptoms resolved. Unfortunately, in our hospital there is no availability to measure C-peptide, beta-hydroxybutyrate, proinsulin levels and anti-insulin antibodies.

Figure 1 Abdominal contrast enhanced CT indicating a morphology cystic image in the left lobe liver.

Figure 2 MRCP shows pancreas with preserved and signal, without evidence of nodular lesions.

The patient was diagnosed with hyperinsulinism owing to probably an insulinoma, is discharged with a special diet rich in carbohydrates every 4 hours, fingerstick blood glucose and appointments with internal medicine and endocrinology. In subsequent follow up the patient continued to have episodes of hypoglycemia and diazoxide treatment was indicated. Later, an endoscopy ultrasound was performed at San Martín de La Plata Hospital, which reported a focal lesion in the pancreatic neck compatible with a neuroendocrine tumor. Currently the patient will be scheduled for surgery.

Although an insulinoma has not been confirmed, we have a high suspicion because of symptoms of the patient and a 72- hours fasting test positive. So it is paramount to talk about this condition

Discussion

Hypoglycemia can lead to permanent neurological damage and death; it is a rare disease in healthy patients and its study methodology depends on whether the patient is critically ill or not. On the one hand, if the patient is critically ill hypoglycemia is a marker of severity of the underlying disease, such as sepsis or multiorgan failure (cardiac, renal, liver, adrenal4). On the other hand, if the patient is healthy, the main cause is hyperinsulinism endogenous owing to an insulinoma (a pancreatic islet beta cell tumor that secretes insulin); and hypoglycemia may be the only hint. The initial diagnostic approach includes a detailed history of symptoms (nature and timing), particularly in relation to meals, medications, alcohol intake and medical history. At the time of the symptoms, laboratory tests should be performed. Most healthy people will experience symptoms at a blood glucose level of <55 mg/dL (3.1 mmol/L).5 In ill individuals, biochemical evaluation includes assessments for cortisol deficiency, sepsis and renal and liver dysfunction; healthy patients should undergo additional testing to support or exclude a neuroendocrine tumor.

Neuroendocrine tumors are a rare group of tumors6 with incidence less than one case per 100000 individuals per year; these arise from neuroendocrine cells, located in all organs, but especially lungs, pancreas and the gastrointestinal tract. Neuroendocrine pancreatic tumors are classified as functional or nonfunctional; with symptoms that are related to the hormone secreted (insulin, gastrin, vasoactive intestinal peptide, glucagon, somatostatin, and serotonin), when there are not metastases, surgical resection is the only potentially curative treatment. Drug therapy includes corticosteroids, somatostatin analogues and nowadays biological therapy, targeted therapy, immunotherapy and chemotherapy have been researched and developed.

Insulinoma is the most common pancreatic functional neuroendocrine tumor,7 and is most commonly benign; it happens mainly during the fifth decade of life. Most patients present a 1.5 years of symptoms duration like our patient, so the diagnosis is often unrecognized for years. The gold standard for confirmation of insulinoma diagnosis is the 72 hours fasting test (supervised); the patient initiates the fast and is monitored for up to 72 hours with fingerstick blood glucose every two hours. Once the glucose level is <70 mg/dL (3.9 mmol/L), samples for C-peptide, beta-hydroxybutyrate, insulin and proinsulin levels should be taken. A simultaneous measurement of insulinemia and glycemia is made at the time the patient presents symptoms (provoked hypoglycemia), besides C-peptide, beta-hydroxybutyrate and proinsulin levels again. Most patients develop symptoms within 24 hours of starting the test;8 the fast is ended when one of following occurs: hypoglycemic symptoms are present and glucose is <55 mg/dL (3 mmol/L), hypoglycemic symptoms are absent and glucose is < or equal 45 mg/dL (2.5 mmol/L) or 72 hours elapse. In patients with a blood glucose level < 55 mg/dL (3.0 mmol/L), a plasma insulin level >3 uIU/mL indicates insulin-mediated hypoglycemia. An insulin/glucose ratio >0.3 it is confirmatory of endogenous hyperinsulinism (1.33 in our patient). The plasma C-peptide and proinsulin level makes out endogenous (C-peptide >0.2 nmol/L and proinsulin >5 pmol/L) from exogenous (C-peptide <0.2 nmol/L and proinsulin <5 pmol/L) hyperinsulinemia. Glucagon should be administered at the termination of the test.

Owing to small size, insulinoma localization through images is difficult (more than 90% have a diameter of <2 cm), diagnostic confirmation is essential since surgical treatment is curative; besides to research the presence or absence of metastasis. Some of diagnostic methods currently available include contrast enhanced computed tomography (first line), magnetic resonance imaging, ultrasound (US) or endoscopic US in combination with fine needle aspiration biopsy, calcium test which allows find out a venous gradient of insulin levels in pancreatic veins after a stimulus with intraarterial administration of calcium gluconate (a secretagogue of insulin) into the supplying arteries of pancreas and the hepatic arteries; and in case of non-detectable insulinomas, intraoperative US or intraoperative palpation.

Nonoperative and symptomatic treatment includes prevention of hypoglycemia with frequent meals, diet rich in complex carbohydrates, avoid fasting, diazoxide (which avoid the secretion of insulin), octreotide (a somatostatin analogue) and chemotherapy for malignant insulinoma. Surgical treatment includes enucleation, central pancreatectomy, distal pancreatectomy with or without splenectomy, and pancreatoduodenectomy (Whipple’s operation), depending on tumor location. In cases of malignant tumors, it should be considered a lymph node dissection. Treatment complications encompass fistula, abscess, pseudocyst, diabetes mellitus, pancreatitis and pulmonary embolism. Another uncommon causes of hypoglycemia includes nesidioblastosis (islet cell hypertrophy), post-gastric bypass hypoglycemia, starvation or autoimmune hypoglycemia that can occur due to anti-insulin antibodies or anti-insulin receptor antibodies.9

Conclusion

Hypoglycemia is frequent in patients with glucose regulation disorders and is a common side effect of oral antidiabetic drugs and insulin, however is unusual in non - diabetic patients and its differential diagnosis is broad. The symptoms are nonspecific and can be caused by hyperinsulinemia, illness critical, drugs and insulin antagonistic hormone deficiency. Severe and long hypoglycemia may cause serious neurological sequelae and even death. Further evaluation is necessary. Insulinoma can occur at any age, more than 90% are benign and surgical resection is the preferred treatment. With this case report our objective was to highlight the importance of this condition, for an early diagnosis and a prompt treatment.

Acknowledgments

We would like to express our gratitude to Santos Maria Julia, Dr. Profesor B. Houssay Hospital, and Endocrinology Service.

Conflicts of interest

The authors declare no conflict of interests.

References

Creative Commons Attribution License

©2024 Joaquín, et al. This is an open access article distributed under the terms of the, which permits unrestricted use, distribution, and build upon your work non-commercially.