Submit manuscript...
Journal of
eISSN: 2374-6947

Diabetes, Metabolic Disorders & Control

Review Article Volume 1 Issue 3

Nonalcoholic steatohepatitis: lessons from different diet-induced animal models

Alini Schultz, D Angelo Carlo Magliano, Isabele Bringhenti, Sandra Barbosa da Silva, Tatiane da Silva Faria, Vanessa Souza Mello

Department of Metabolism and Cardiovascular Disease, State University of Rio de Janeiro, Brazil

Correspondence: Vanessa Souza Mello, Department of Metabolism and Cardiovascular Disease, State University of Rio de Janeiro, Av 28 de Setembro 87 fds. 20551-030 Rio de Janeiro, RJ, Brazil, Tel +55.21.2868 8689, Fax 2868 8033

Received: July 04, 2014 | Published: July 16, 2014

Citation: Schultz A, Carlo Magliano DA, Bringhenti I, et al. Nonalcoholic steatohepatitis: lessons from different diet-induced animal models. J Diabetes Metab Disord Control. 2014;1(3):59-67. DOI: 10.15406/jdmdc.2014.01.00014

Download PDF

Abstract

The nonalcoholic fatty liver disease has been considered the hepatic manifestation of the metabolic syndrome, which is prone to progress to nonalcoholic steatohepatitis, cirrhosis and hepatocellular carcinoma. Modern lifestyle, which includes less time dedicated to exercise parallel to preference for fast foods rich in fats and simple carbohydrate, has been suggested as the cornerstone for the development of metabolic impairments linked to obesity. In this way, experimental models are useful in trying to mimic metabolic pathways and morphological alterations involved with the spectrum of nonalcoholic steatohepatitis pathophysiology. Diets rich in saturated fatty acids, trans fatty acids and fructose emerge as the most relevant dietary models to induce nonalcoholic steatohepatitis. Consideration should be given to the composition of the diet and time of administration, both of which can induce many different results. Pharmacological approach aims to alleviate insulin resistance, lipotoxicity and inflammation, which are pivotal to NASH triggering. The resulting control of the underlying metabolic impairments reduces NASH expressively. All in all, the jury is still out on the adequate management of this disease. Giving that dietary patterns exert a crucial role in NASH progression, considerations should be given to the exact mechanisms by which each nutrient underpin NASH development.

Keywords: nonalcoholic steatohepatitis, fructose, saturated fatty acids, trans fatty acids, sucrose, treatment, insulin resistance, inflammation

Abbreviations

ACC, acetyl-coa carboxylase; ACL - ATP-citrate lyase; ACOX1, acyl coa oxidase; ALIOS, american lifestyle induced obesity syndrome; ALT, alanine transaminase; ARB, angiotensin receptor blocker; AT1R, angiotensin ii type 1 receptor; ChREBP, carbohydrate responsive element binding protein; CPT1a, carnitine palmitoyl transferase 1A; DM2, type 2 diabetes mellitus; DNL, De novo lipogenesis; ER, endoplasmic reticulum; FAS, fatty acid synthase; FFAs, free fatty acids; GLUT 2, glucose transporter 2; HFCS, high fructose corn syrup; HFG, hepatocyte growth factor; HFHSD, high-fat and high-sucrose diet; HSCs, stellate cells; ICAM-1, inter cellular adhesion molecules; IKKß, ikb kinase ß; IL-6, inter leukin-6; IR, insulin resistance; IRS-1, insulin receptor; MAPK, Mitogen Activated Protein kinases; MCD, methionine and choline-deficient diet; MUFA, mono unsaturated fatty acid; NAFLD, non alcoholic fatty liver disease; NASH, non alcoholic steato hepatitis; PPAR, peroxisome proliferator activated receptor; PUFA, poly unsaturated fatty acid; RAS, renin angiotensin system; SCD1, stearoyl coenzyme a desaturase-1; SFA, saturated fatty acid; SREBP-1, sterol regulatory element binding proteins 1c; TGF-ß, transforming growth factor-beta1; TNF-a, tumoral necrosis factor alpha; TRANS, trans fatty acids; UCP-2, un coupling protein 2; WAT, white adipose tissue; a-SMA, alpha smooth muscle action

Introduction

Currently, NAFLD (nonalcoholic fatty liver disease) is considered the hepatic manifestation of the metabolic syndrome and may progress to NASH (nonalcoholic steatohepatitis), cirrhosis and hepatocellular carcinoma.1 Although NAFLD and NASH are associated together, and the pathogenesis of NASH is not yet completely elucidated. The pathogenesis of NASH was considered as the "First hit", characterized by the accumulation of intrahepatic lipid due to disrupting metabolic pathways and increase vulnerability to cell damage. Lipotoxicity triggers the "Second hit", which encompasses increased oxidative stress that triggers the secretion of tumoral necrosis factor alpha (TNF-α) and interleukin-6 (IL-6), activation of hepatic stellate cells (HSCs) and expression of cellular adhesion molecules (ICAM-1, Intercellular adhesion molecules; E-selection or P-selection).2,3 The lipotoxicity, mitochondrial dysfunction and magnitude of oxidative stress result in lipid peroxidation, which leads to death of hepatocytes, inflammation and ultimately, fibrosis.4

Changes in lifestyle as dietary interventions or prescriptions of exercise, as well as the pharmacological treatments have not been established. As a rule, the progression NAFLD -NASH is related to the continuity of the stimulus that generates the injury, i.e.: chronic dietary fat intake.5 These observations highlight a need to exactly understand how different nutrients underpin hepatic alterations that can result into NASH and to establish suitable approaches to tackle this metabolic constraint.

Dietary models of nash

Dietary models of NASH are relevant as an attempt to mimic the pathogenesis of the current epidemics of diet-induced obesity and the resulting metabolic disturbances, which includes NAFLD and NASH.1

In general, animals fed diets rich in lipogenic nutrients, particularly simple sugars such as fructose or sucrose6,7 and/or saturated fats,7?10 develop steatosis rather than steatohepatitis. In older animals, some evidence of hepatocellular injury, focal lobular inflammation and even early pericellular fibrosis may be observed, particularly during prolonged intake of a lipogenic diet.7,8,11 Other commonly used fatty liver disease models are animals lacking genes that affect appetite regulation, or which predispose to diabetes.12?16

High-fat diet and NASH

High-fat feeding when used as a model for NASH produces variable results with respect to the levels of steatosis, inflammation and fibrosis that is dependent on the rodent species, fat content, duration of treatment and qualitative composition of dietary fat.17

Nowadays, the “two-hit” hypothesis is widely accepted as the pathogenesis of NAFLD/NASH, however, an obligatory role for oxidative stress in the progression to NASH could not been shown.18

As an alternative hypothesis, emerging evidence now points to metabolites of fatty acids as the real culprits in the hepatocellular injury in NASH, as they are identified in other target organs of lipotoxicity. Lipotoxicity is the phenomenon that refers to the cellular dysfunction seen when accumulation of excessive lipid occurs in non-adipose tissue such as the liver.19

The literature has shown that both quantity and quality of dietary fat influence liver fatty acid synthesis,20 insulin sensitivity and can induce IR (insulin resistance).21 Among high dietary fat models, intragastric overfeeding of mice seems to resemble the histopathology and pathophysiology of human NASH most closely. This model, however, requires technical expertise and specialized equipment that may hamper its widespread use.

More recent studies prefer to use overfeeding because livers of the overfed mice were metabolically characterized by an increased expression of (pericentrally located) lipogenic genes (FAS, Fatty acid synthase; SCD1, Stearoyl-Coenzyme A desaturase-1; and PPAR-γ, Peroxisome proliferator-activated receptor y), combined with a high portal inflow of dietary free fatty acids (FFAs). These nutritional and metabolic sources of fat explain the initial homogeneous lipid accumulation observed in the livers of these mice. At later stages, the basal expression of lipolytic genes (CPT1a, carnitine palmitoyl transferase 1A; ACOX1, acyl CoA oxidase; and PPAR-α, Peroxisome proliferator-activated receptor α), combined with the maximal inflow of dietary FFAs cause the observed periportal lipid accumulation on top of the initially homogeneous steatosis.20–23

In an attempt to create an experimental model to study NASH, it was used a liquid high fat diet given ad libitum to Sprague-Dawley rats or a controlled daily fat intake by force-feeding Sprague-Dawley rats.24 In these two cases, high fat diet induced mild steatosis and huge hepatic inflammation. The main fat component of these two diets was corn oil, consisting of 13% (w/w) saturated fatty acid (SFA), 24% monounsaturated fatty acid (MUFA) and 59% polyunsaturated fatty acid (PUFA). These PUFA were almost entirely composed by pro-inflammatory n-6 polyunsaturated fatty acids which are known to be involved in liver oxidative stress.25 This rat model is suitable for diet-induced obesity.

The intragastric overfeeding of C57BL/6 mice with a high-fat diet (37% of corn oil in the diet, corresponding to 185% normal energy intake) over 9 weeks to induce NASH in male C57BL/6 mice provoked overweight (71% higher body weight), with increased visceral fat (white adipose tissue [WAT]), hyperglycemia, hyper insulinemia, hyper leptinemia, glucose intolerance and IR. Almost half of the animals (46%) developed NASH with a 5- to 6-fold increase in plasma alanine transaminase (ALT). However, these models represent excessive overfeeding and some of the biochemical changes observed in the liver did not mimic those seen in NASH patients.22 Furthermore, the human NASH features usually have a diet with higher levels of SFA and cholesterol and low levels of PUFA.26 It is noteworthy that C57BL/6 is an inbred mouse model that provides suitable background for studying NASH as whenever fed onto high fat diet, they manifest early metabolic syndrome features.27

The effects of giving a high-fat diet to rodents can be highly variable. Some of this variability could be explained by the influence of rodent strain, which is known to be important in the susceptibility to several types of liver disease. In a longitudinal study, chronic administration of a high-fat diet (60% of calories from fat) led to the development of steatohepatitis in male C57BL/6 mice, after 50weeks.28,29 Likewise, a high-fat diet (60% lard) has been used to trigger the “second hit” and to initiate steatohepatitis in fa/fa (defective long-form Leptin receptor) rats.30 In this model, oxidative stress was proposed to initiate steatohepatitis, because there was an increase in NADPH oxidase activity, lipid peroxidation and protein carbonyl formation together with decreases in GSH and antioxidant enzymes, such as catalase. Similarly, a high-fat diet administered to foz/foz mice with a dysfunctional Alstrom syndrome 1 (ALMS1) gene induced steatohepatitis in these obese animals.31

A murine model incorporating prolonged administration of a “western diet” with high saturated fat and cholesterol content was able to reproduce NASH with some increase in fibrosis markers, but not ballooning.32

It’s well described the proatherogenic effect of the trans fatty acids. However, little is known about the influence of trans fatty acids on hepatic lipid metabolism. A recent study evaluated the consumption of 3 different high-fat diets (PUFA, SFA and Trans Fatty acids (TRANS)) in male LDLr-KO mice (LDL Receptor Knock-Out mice) and demonstrated that the mice fed the TRANS diet had greater hepatomegaly due to fat accumulation and inflammatory NASH-like lesions and impaired glucose tolerance when compared with mice fed the PUFA and SFA diets.33 In agreement with another study, the TRANS diet intake elicited increased transcription of genes involved in liver fat synthesis such as PPAR-γ and Sterol regulatory element-binding proteins 1c (SREBP-1c) and was associated with higher hepatic cholesterol and TG concentrations compared with the PUFA and SFA diets.34 Recently, LDLr-KO mice have been described as a suitable model to detect the onset inflammation in NAFLD, which is crucial to NASH development.35

Another study observed that NASH was induced by the American lifestyle induced obesity syndrome (ALIOS diet) model for an initial period of 16weeks. The ALIOS model includes feeding male C57BL/6 mice with high fat, trans-fat enriched chow and consumption of high fructose corn syrup resulting in a NASH-like liver histological phenotype.36

Fructose and NASH

The consumption of sugar incorporated in the diet increased their rates by 3 times in the last 50 years in a global context.37 The corn syrup, high fructose (HFCS) is a sweetener produced by the isomerization of existing glucose fructose corn syrup. HFC-90 (90% 9% fructose and glucose) is the main product of such chemical reactions and is diluted with glucose syrup to form HFCS - and HFCS 42-55, these are the most commonly used in processed foods and beverages as soft drinks, fruit and bread to yogurts.38 The low cost and easy handling pointed to the main attractions for increased consumption.39,40

In 1986, the average intake of fructose has increased 16% from 56g/day to 65g/day in 2007.41 The 74g/day consumption, equivalent to 2.5 cans of soda affect a rise in blood pressure without cardiovascular risk.42

Along with the increasing growth of the amount of fructose in the diet, an increase in the presence of obesity, IR and hypertension in the United States, leading producer of high-fructose syrup from corn.37 Studies report that more than 10% of daily calories come from fructose. Ingestion of a sweetening agent in the diet is 75% in adults and 82% children.43

Glucose transporter 2 (GLUT2) mediates the entry of fructose in the liver and frutokinase rapidly phosphorylates it into fructose-1P. Fructose-1P is converted into dihydroxyacetone and glyceraldehyde-3P. The latter will have different targets:

  1. Participate into the glycolytic pathway providing pyruvate and releasing energy in the Krebs cycle.
  2. A part of the P-trioses produced can be converted to lactate (25%) and being released into the blood vessels.
  3. Be reduced to glycerol, necessary to form lipids, triglycerides and phospholipids – it means that a part of the carbon atoms of fructose can be converted to FFAs within hepatocytes by the process of DNL (de novo lipogenesis).
  4. Form fructose 1,6-diphosphate and thereafter forming glucose (50%) and glycogen (>15%) by gluconeogenesis, which is the major portion. Fructose-1P still activates protein kinase (7-8), which in turn activate Mitogen-activated protein kinases (MAPK) family proteins (MAPK7 and MAPK8) that induces serine phosphorylation of the insulin receptor (IRS-1) leading to hepatic IR.44

In hepatic lipogenesis, lipid oxidation is inhibited by fructose, favoring the formation of fatty acids linked to glycerol, triglycerides and VLDL. Despite being the smallest amount of fructose converted into fatty acid, chronic intake pre-offers the framework of hepatic steatosis. Increased DNL associated with the process of dyslipidemia and hepatic steatosis, mechanisms promoted by fructose.44 The continuous production of acetyl-CoA due to mobilization of fructose exceeds the responsiveness of mitochondria (Krebs cycle) and this excess is converted to citrate, leaving the cytosol and being the substrate for DNL. In addition, acetyl-CoA form malonyl-CoA (reaction mediated ACC - acetyl-CoA carboxylase) inhibits the action of CPT-1a, decreasing the input of fatty acids into the mitochondria for oxidation.45 On the other hand, fructose directly or indirectly activates transcription factors (SREBP-1c and Carbohydrate responsive element-binding protein - ChREBP) responsible for the activation of genes encoding enzymes of DNL (ACL, ATP-citrate lyase; ACC and FAS), leading to production of VLDL and triglycerides. All factors combined culminate with the storage of fat in the form of macro and micro vesicles within hepatocytes.44

For the analysis of NAFLD and NASH, it is not conclusive to say that the effects of chronic ingestion of fructose develop these valences. Various parameters such as dose-response, time and delivery vehicle are offered from many experimental studies.46

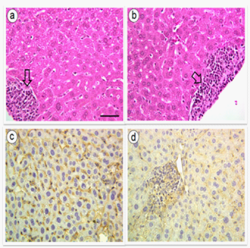
The onset of hepatic steatosis frames for possible progression to NASH, mediated by obesity; these lipogenic effects are not dependent on the increase of body mass.47 Sprague Dawley rats fed a 60% fructose for 28days showed increased levels of mRNA factors transition of hepatic lipogenesis (ACC, FAS, SREBP-1c and ChREBP) without change in body mass. On the other hand, Wistar rats fed with 70% fructose for 5weeks showed large amount of macro and micro vesicles of fat and intra hepatic intralobular inflammation.8 C57BL/6 mice consuming a diet rich in fat and carbohydrate intake associated with the 55% fructose in water for 16weeks developed significant fibrosis with NASH and obesity.7 We observe livers from C57BL/6 mice subjected to 34% fructose or fructose combined with a high-fat diet (34% fructose and 42% lipid - lard) for 16weeks, showing inflammatory infiltrate [depicted in Figure 1a-1b].48 The results show that mice fed a high-fructose diet are good models for the development of NASH.49,50

Figure 1 Liver histology of mice fed a high-fructose diet, 34% fructose (A) or high fructose and high-fat diet, 34% fructose and 42% fat (B) for 16 weeks. Both photomicrographs (A & B) show marked microvesicular steatosis as well as scattered necroinflammatory foci (open arrows) (hematoxylin and eosin stain, ×40). In photomicrographs (C and D), positive immunostaining for alpha-smooth muscle actin (1:100 dilution) suggests stellate cell activation in the liver (x40).

Sucrose and NASH

Studies in animals have found that high carbohydrate diet induced histopathological features of the NAFLD and NASH, especially when administered at high doses.6?8,51?53 Some studies have shown the induction of NAFLD and NASH by high-sucrose diet, alone or in interaction with other diets. In this model, hepatic steatosis occurs first and steatohepatitis develops later. On the other hand, in a dietary model induced by methionine and choline deficiency, steatohepatitis occurs very quickly.54?57 Discrepancy between studies may be partially a result of differences in the experimental diet and its time administration period.

The metabolic pathways accomplishing carbohydrate conversion into fat are well known and they were well characterized in earlier studies.58,59 In animal models, numerous studies have addressed the effects of diets enriched with fructose or sucrose. Several studies using animal models have shown that a high-sucrose diet leads to hepatic steatosis. Wistar rats fed a high-sucrose diet showed an induction of multiple components of the unfolded protein response in the liver consistent with endoplasmic reticulum (ER) stress, and hepatic lipid accumulation, liver injury and inflammation.60 In other study, male C57BL/6 mice fed a high-carbohydrate diet (65% sucrose) for long-term (16weeks) induced typical hepatic steatosis and, for the feeding period employed, the liver did not display markers of hepatitis (in?ammation, necrosis and others).6 Whether feeding this diet for longer periods may lead to NASH remains to be established.

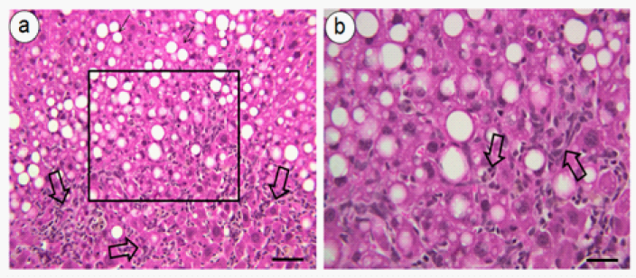
Current evidence shows that sucrose diet altered the liver structure. C57BL/6 mice fed to 32% sucrose for 8weeks showing abundant micro- and macrovesicular steatosis with areas of inflammatory infiltrate (Figure 2).61

Figure 2 Photomicrographs of liver histology of C57BL/6 mice fed a high-sucrose diet (32% sucrose) for 8 weeks.
(A) Abundant micro- and macrovesicular steatosis (inserted square) with some areas of inflammatory infiltrate (open arrows) and
(B) Magnification of the square area of (Figure 2A), showing inflammatory infiltrate with abundant macrophage cells (open arrows).

Interestingly, adult male Sprague-Dawley rats fed with high-sucrose diet (70% sucrose) for 2 or 3weeks developed fatty livers and became obese, being the fat distributed periportally and the absolute weights of the livers and liver/body weight ratio increased by 20%,7 where as Wistar rats fed with a sucrose rich diet (70% sucrose) for 5weeks demonstrated mild steatosis, inflammation and lipogranulomas in the liver tissues, without steatohepatitis.8 Moreover, C57BL/6 mice fed a 65% sucrose diet for 8weeks exhibit obesity, IR and macrovesicular steatosis.62

Experimental studies seldom identify potential genes/pathways that may contribute to the progression of liver steatosis to NASH. Enzymes involved into glucose and fructose metabolism and their conversion to fat59,63 were up regulated by the high-sucrose diet model. In addition, the transcription factor SREBP-1c, which controls the transcription of genes involved in fatty acid synthesis,64 and whose transcription is regulated by insulin,65 were up regulated.

The metabolism of sucrose-rich diets generates fructose, which exerts acute effects on hepatocyte energy homeostasis.11 Thus, pathology that occurs during the chronic ingestion of high-sucrose diets is caused by fructose. The phosphorylation of fructose causes an abrupt decline in hepatocyte ATP content that gradually recovers as phosphofructose and is metabolized via the pentose phosphate shunt. The activity of this metabolic pathway requires a sufficient pool of diet that causes purine depletion and exacerbates the fatty liver that is caused by high-fructose diets in rats.11,66

Mixed models

Diets that are enriched with a high-sucrose/fructose diet develop steatosis in Fischer 344 rats.67 In addition, Zucker fatty (fa/fa) rats are also particularly sensitive to fatty livers induced by feeding 60% sucrose or orotic acid (1%).68 In all strains of rodents that have been evaluated, males are more susceptible to fatty liver than females.

Emerging data indicate that specific dietary nutrients, as sucrose, when coupled with methionine and choline deprivation, can influence MCD-mediated liver disease.52 Recent study reported a diet model of NASH by using a MCD diet associated a sucrose diet, in which C3H/HeJmice developed hepatic steatosis, hepatocellular apoptosis, alanine aminotransferase elevation, lipid peroxidation and hepatic inflammation.52 Others studies have shown that mice feeding of high-sucrose (54%) diets that are also deficient in choline (0.05%) for 6months showed perivenous fatty change and hepatic fibrosis in most of the rats.11 Deficiency of methionine and choline, which are essential for hepatic β-oxidation and production of VLDL, enhances the lipogenic effect of high sucrose diet.54

Excessive sucrose and long-chain saturated fatty acids in the diet of Zucker rats and C57BL/6 may play a role in the development and progression of NAFLD.53,69,70 High-fat and/or high sucrose diet induced steatosis in C57BL/6 mice leads to hepatic cell depletion, a similar Th-1 polarization to that in ob/ob mice and exaggerated lipopolysaccharide sensitivity.69 Recent studies demonstrated that ingestion of a diet rich in fat and sucrose by C57BL/6 mice significantly elevated WAT weights, hepatic steatosis and plasma insulin levels as early as 2weeks.71 In addition, rodents exposed to high-fat and high-sucrose diet (HFHSD) for 2weeks demonstrate fat accumulation in the liver, however without histopathological features of NASH.70

Methionine- and choline-deficient-diet

The methionine- and choline-deficient-diet (MCD) is frequently utilized to establish NASH in the rodent liver. Rodents fed MCD-diet develop steatohepatitis producing changes on the redox balance and hepatic lesions that mimic the impairment of patients with NASH.72,73 It happens because the choline and the methionine amino acids are essentials for hepatic β-oxidation and production of VLDL.51 Choline is an essential nutrient that participates in cell membrane integrity, phosphatidylcholine synthesis, transmembrane signaling, neurotransmission and methyl metabolism. Dietary with choline deficiency promotes hepatic steatosis and reduces plasma VLDL level as well established in the literature. It was thought that these effects were caused due to impaired synthesis of phosphatidylcholine, which could diminish VLDL synthesis and secretion, but observations74 have brought doubts about it and suggest other mechanisms and further studies to define the role of choline deficiency in steatosis.54 Furthermore, the lack of the methionine, an essential nutrient as well as choline, increases oxidative stress, impairs phosphatidylethanolamine synthesis and the transport of fat from the liver to extrahepatic sites causing hepatic steatosis.72 It fits highlight that mice fed a diet that is deficient in both choline and methionine develop inflammation and hepatic fibrosis in addition to steatosis.54

Serum alanine aminotransferase level is consistently increased after MCD-diet administration, steatohepatitis in this diet-model occurs at day 10, and perisinusoidal fibrosis is observed by 8-10weeks in mice. After 10weeks of MCD-diet administration, it can be observed extensive macrovesicular steatosis in all areas except in the periportal region and many necroinflammatory foci containing lymphocytes, and neutrophils are observed in mice.50 Nevertheless, it is important to note that although the MCD-diet causes these effects, NASH in rodents fed MCD-diet may depends on the species, gender and strain of the animal.75 A study76 has compared the effects of MCD-diet using male and female rats (Wistar, Long-Evans and Sprague-Dawley) and C57Bl/6 mice. It was found that male Wistar strain had the greatest NASH rate of all rats groups, but C57Bl/6 mice developed the most expressive necrosis and inflammation, in addition to the best histological features of NASH.

Evidences suggest that MCD-diet leads to induction of alcohol-inducible CYP2E1 expression that also is observed on patients with NASH. These findings support the hypothesis that alcoholic and nonalcoholic steatohepatitis could share the same pathogenic mechanisms.77,78 CYP2E1 is a member of the cytochrome P450 mixed-function oxidase system and can produce ROS by mitochondria. These ROS, in turn, cause peroxidation of membrane lipids resulting in alteration of the membrane function. Moreover, products of peroxidation of lipids can react with functional groups of amino acids of proteins and enzymes, altering their function, as in uncoupling protein-2 (UCP-2) and CPT-1.73,79

By decreasing oxidative defense mechanisms, MCD-diet creates a situation that is known to induce TNF-alpha and others proinflammatory cytokines. Oxidants and TNF-alpha are also expected to activate the IkB kinase β (IKKβ) pathway that interacts with others pathway signaling as insulin and renin angiotensin system (RAS). However and interestingly, this NASH model did not develop the metabolic profile observed in typical patients with NASH. Animals fed the MCD-diet are cachectic and show significant weight loss (often, more than 20% weight loss after three weeks and 50% compared with control mice by 10weeks), low fasting glucose, serum insulin, Leptin and triglycerides levels and peripheral insulin sensitivity. An unchanged or an increased Adiponectin level in plasma is also observed.80?82 Moreover, the histological distribution of hepatic steatosis differs from the pattern seen in humans where a periportal rather than perivenous deposition is noted.66

Taking all these information into account, we can highlight two main conclusions: first, MCD-diet is an excellent model to induce steatohepatitis in mice models rather than in rats models, even some changes in Wistar rat being observed; and second, MCD-diet reproduces the inflammatory and lipid profiles of NASH, including activation of RAS and HSCs, but differently of human NASH, this diet did not reproduce the metabolic profile, induces a significant weight loss and present some difference between loci of collagen deposition in liver. To improve the metabolic problems, it is frequent use some genetically obese mice, such as ob/ob and db/db mice. Finally, the main advantage of the MCD-diet is that it is easy to obtain and use.50

Pharmacological treatment

Drug treatment to NASH should target metabolic alterations that underpinned NAFLD and inflammation.83,84 Insulin sensitizers have become the main approach, given that IR is closely linked to hepatic steatosis development.85 More recently, an important role in the pathogenesis of NAFLD was attributed to angiotensin II and the use of angiotensin receptor blockers (ARBs) to tackle NASH has been put forward. Hypolipidemic agents such as fibrates and statins have also been addressed owing to the prevailing involvement of lipoprotein metabolism disturbances into hepatic lipotoxicity.86

Insulin sensitizers

Metformin: Metformin has been the first option to treat type 2 diabetes mellitus (DM2) since 1994 when it was approved by Food and drug administration. It is a biguanide, causing reduction of hepatic glucose production, which in turn, alleviates hepatic IR. In humans, Metformin seems to be efficient in reducing hepatic steatosis parallel to decreased inflammation and fibrosis.85,87

Concerning experimental data, administration of 0.1% of Metformin during 8weeks provoked substantial reduction of hepatic triglyceride, reversed hepatic steatosis in histological evaluation, suppressed HSCs activation, reduced the transcription of genes involved with lipogenesis, inflammation and fibrogenesis in mice fed MCD+HFD.88

Thiazolidinediones: PPAR-g agonist, such as Pioglitazone, is widely used to counter IR and promote diabetes control.89 PPAR-gamma is a transcription factor that regulates gene expression in many tissues, mainly in liver and white adipose tissue, being crucial to hepatic lipogenesis and adipogenesis, respectively. Besides, therapy with PPAR-gamma agonist has been linked with inhibition of cell proliferation and collagen expression in HSCs in vitro and in vivo,90,91 making PPAR-gamma agonists a potential approach to treat NASH.

Pioglitazone (1mg/Kg day) prevented rats with NASH due to MCD diet from developing cirrhosis. A significant amelioration of liver histology, followed by decreased expression of alpha smooth muscle actin (α-SMA), transforming growth factor-beta1 (TGF-β), procollagen and TNF-α was observed.92 All of these endpoints highlight efficiency in tackling inflammation and fibrosis prevention.

Higher levels of circulating adiponectin, which enhances insulin sensitivity and ameliorates NASH, have been reported in rodents under Rosiglitazone treatment.93,94 In Sprague-Dawley rats with NASH induced by high-fat high-cholesterol diet, treatment with 4mg/Kg day of Rosiglitazone yielded modulation of adiponectin receptor in liver (decrease) and white adipose tissue (increase). Reduced circulating levels of TNF-α also contributed to tackle NASH as it is inversely correlated with adiponectin levels.95,96

Other agents: Glucagon like peptide-1 analog also exhibits positive effects, minimizing body mass, liver mass, liver steatosis and fibrosis in ob/ob mice with NASH induced by high trans- fat diet.97 Sitagliptin (dipeptidyl peptidase-4 inhibitor) reduced steatosis, ameliorated hepatic ultra structure by enhancing beta-oxidation and reducing lipogenesis in the liver of C57BL/6 mice fed with a high saturated-fat diet, preventing from NASH development.98

Angiotensin Receptor Blockers (ARB): RAS activation is involved in liver fibrosis due to activation of HSCs, which mainly express angiotensin II type 1 receptor (AT1R). By blockade of AT1R, Telmisartan inhibits HSCs activation by angiotensin II, reducing liver fibrosis (111,162). Furthermore, Telmisartan acts as partial PPAR-g agonist and, hence, has been indicated as the first-class option for patients with NASH.86

In the MCD diet model, Telmisartan markedly alleviated hepatic steatosis, inflammation, and fibrosis in Fischer rats when compared to Valsartan (pure ARB). Conversely, Pioglitazone (total PPAR-gamma agonist) reduced NAFLD, but did not decrease subcutaneous and visceral fat like Telmisartan did.99 Then, dual ARB/PPAR-gamma agonist appears as the most promising approach to tackle NASH.

Due to selective PPAR-gamma activation, Telmisartan ameliorates IR and promotes ectopic fat redistribution into proliferating adipocytes, reducing glucolipotoxicity.100,101 In C57BL/6 mice fed MCDHF diet, the treatment with telmisartan (10mg/Kg day) had striking effects upon liver steatosis, hepatic triglycerids and fibrogenesis. Treated animals showed rise in adiponectinemia, reduced size of adipocytes, suppression of macrophage infiltration into liver, decreased expression of mRNA for type 1 collagen and TGFβ1, implying inhibition of fibrogenesis and prevention of hepatocellular carcinoma.100

Likewise, a study pursued in rats fed chronically with MCD diet showed that the daily dose of 3mg/kg of Telmisartan has the potential to improve NASH possibly owing to increased hepatocyte growth factor (HGF) production. This observation emphasizes the partial PPAR-gamma agonist property of Telmisartan, making this drug differs and be more attractive than others ARBs.102 Even with diagnosis of cirrhosis after 24weeks feeding rats with MCD diet, Telmisartan at the dose of 2mg/Kg day avoided hepatocellular carcinoma occurrence.103 After all, Telmisartan has been reported as a suitable strategy to prevent NAFLD from becoming NASH in different diet-induced models.98,102

Fibrates

PPAR-alpha is essential to the b-oxidation process within hepatocytes, which counteracts lipogenesis making output of FFAs surpasses their input, alleviating hepatic steatosis. For that reason, Fenofibrate (pure PPAR-alpha agonist) has been used to treat NASH.104,105 In APOE2 knock-in mice fed with a western diet, Fenofibrate treatment decreased hepatic macrophage accumulation, which preceded hepatic steatosis and abolished hepatic lipotoxicity. This observation was accounted for by massive reduction in the expression of inflammatory genes and increased expression in b-oxidation related genes, all of which were PPAR-alpha target genes. In addition, procollagen type 1 expression was diminished by fibrate.106,107

Bezafibrate (50 or 100mg/Kg day), a pan-PPAR agonist, and GW501516 (10mg/Kg day), a PPAR-delta agonist, inhibited the MCD-diet-induced NASH. Both of them increased the levels of hepatic mRNAs linked to Beta-oxidation and lipid transportation within hepatocytes concomitant with reduction in the levels of mRNA associated with inflammatory cytokines. Bezafibrate also enhanced levels of adiponectin and its receptors 1 and 2, ameliorating IR, which has a pivotal role in liver lipotoxicity.80

Other drug classes

Nifedipine, a calcium channel blocker, activates PPAR-gamma. Hence, it targets IR and inflammation, two paramount features in NASH pathogenesis. In a rat model of NASH due to MCD diet, Nifedipine effects bore resemblance to Bezafibrate treatment, emerging as a promising option to treat NASH in hypertensive individuals.108

Statins are the most prescribed drug to treat dyslipidemia worldwide. Nearly 70% of patients with NASH have dyslipidemia, which justify its evaluation in NASH. Rosuvastatin has striking effects upon diet induced NAFLD in C57BL/6, favoring b-oxidation instead of lipogenesis and blocking inflammatory pathways.109 In humans, preliminary studies indicate favorable effects of treatment with Atrovastatin and Rosuvastatin in patients with NASH.110,111 However, results seem to be inconclusive, for instance, simvastatin did not show positive effects upon NASH.112 Works that are more detailed should be carried out to unravel the benefits and safety of using statins to control NASH.

Overall, taking into account the largely controversial clinical data and the vast amount of options to treat NASH indicated by experimental studies, attention should be drawn to high cost and known side effects of pharmacological agents while choosing. (Figure 3) summarizes the main effects of the drugs proposed to treat NASH.

Figure 3 Pharmacological treatment of NASH: main mechanisms of action.
ARBs: Angiotensin Receptor Blockers; HSCs: Hepatic Stellate Cells

Conclusion

Taken together, the animal studies described above clearly configure excellent models to induce steatohepatitis, mainly in mice and rats. These experimental models are useful in trying to mimic metabolic pathways and morphological alterations involved with the spectrum of NASH pathophysiology in humans. Diets rich in nutrients like SFA, Trans fatty acids, fructose, sucrose or even the absent of others (like methionine and choline) may disrupt different pathways, yielding nonalcoholic steatohepatitis. Consideration should also be given to the time of administration, which can induce many different results. Since NAFLD is considered the hepatic manifestation of MS and may progress to NASH, it is essential to understand the molecular mechanisms involved in the development of this disease. In this way, pharmacological approach aims to alleviate IR, lipotoxicity and inflammation, which are pivotal to NASH triggering. All efforts in trying to treat or avoid NASH are relevant, given that it represents greater risk to Hepatocellular carcinoma and cirrhosis, both of which exhibit higher lethality and can be induced by dietary inadequacies facing the recent nutritional transition and global obesity pandemic.

Acknowledgements

None.

Conflict of interest

Author declares that there is no conflict of interest.

References

  1. Marchesini G, Brizi M, Bianchi G, et al. Nonalcoholic fatty liver disease: a feature of the metabolic syndrome. Diabetes. 2001;50(8):1844?1850.
  2. Jaeschke H. Reactive oxygen and mechanisms of inflammatory liver injury: Present concepts. J Gastroenterol Hepatol. 2011;26 Suppl 1:173?179.
  3. Lee KS, Buck M, Houglum K, et al. Activation of hepatic stellate cells by TGF alpha and collagen type I is mediated by oxidative stress through c-myb expression. J Clin Invest. 1995;96(5):2461?2468.
  4. Day CP. Pathogenesis of steatohepatitis. Best Pract Res Clin Gastroenterol. 2002;16(5):663?678.
  5. Cave M, Deaciuc I, Mendez C, et al. Nonalcoholic fatty liver disease: predisposing factors and the role of nutrition. J Nutr Biochem. 2007;18(3):184?195.
  6. Deaciuc IV, Song Z, Peng X, et al. Genome-wide transcriptome expression in the liver of a mouse model of high carbohydrate diet-induced liver steatosis and its significance for the disease. Hepatol Int. 2008;2(1):39?49.
  7. Kohli R, Kirby M, Xanthakos SA, et al. High-fructose, medium chain trans fat diet induces liver fibrosis and elevates plasma coenzyme Q9 in a novel murine model of obesity and nonalcoholic steatohepatitis. Hepatology. 2010;52(3):934?944.
  8. Kawasaki T, Igarashi K, Koeda T, et al. Rats fed fructose-enriched diets have characteristics of nonalcoholic hepatic steatosis. J Nutr. 2009;139(11):2067?2071.
  9. Lieber CS, Leo MA, Mak KM, et al. Model of nonalcoholic steatohepatitis. Am J Clin Nutr. 2004;79(3):502?509.
  10. Winzell MS, Ahren B. The high-fat diet-fed mouse: a model for studying mechanisms and treatment of impaired glucose tolerance and type 2 diabetes. Diabetes 2004;53(Suppl 3):S215?219.
  11. Poulsom R. Morphological changes of organs after sucrose or fructose feeding. Prog Biochem Pharmacol. 1986;21:104?134.
  12. Campfield LA, Smith FJ, Burn P. The OB protein (leptin) pathway--a link between adipose tissue mass and central neural networks. Horm Metab Res. 1996;28(12):619?632.
  13. Kersten S, Seydoux J, Peters JM, et al. Peroxisome proliferator-activated receptor alpha mediates the adaptive response to fasting. J Clin Invest. 1999;103(11):1489?1498.
  14. Moitra J, Mason MM, Olive M, et al. Life without white fat: a transgenic mouse. Genes Dev. 1998;12(20):3168?3181.
  15. Phillips MS, Liu Q, Hammond HA, et al. Leptin receptor missense mutation in the fatty Zucker rat. Nat Genet. 1996;13(1):18?19.
  16. Shimomura I, Hammer RE, Richardson JA, et al. Insulin resistance and diabetes mellitus in transgenic mice expressing nuclear SREBP-1c in adipose tissue: model for congenital generalized lipodystrophy. Genes Dev. 1998;12(20):3182?3194.
  17. London RM, George J. Pathogenesis of NASH: animal models. Clin Liver Dis. 2007;11(1):55?74.
  18. Syn WK, Yang L, Chiang DJ, et al. Genetic differences in oxidative stress and inflammatory responses to diet-induced obesity do not alter liver fibrosis in mice. Liver Int. 2009;29(8):1262?1272.
  19. Unger RH. The physiology of cellular lipo regulation. Annu Rev Physiol. 2003;65:333?347.
  20. Buettner R, Parhofer KG, Woenckhaus M, et al. Defining high-fat-diet rat models: metabolic and molecular effects of different fat types. J Mol Endocrinol. 2006;36(3):485?501.
  21. Manco M, Calvani M, Mingrone G. Effects of dietary fatty acids on insulin sensitivity and secretion. Diabetes Obes Metab. 2004;6(6):402?413.
  22. Deng QG, She H, Cheng JH, et al. Steatohepatitis induced by intragastric overfeeding in mice. Hepatology. 2005;42(4):905?914.
  23. Baumgardner JN, Shankar K, Hennings L, et al. A new model for nonalcoholic steatohepatitis in the rat utilizing total enteral nutrition to overfeed a high-polyunsaturated fat diet. Am J Physiol Gastrointest Liver Physiol. 2008;294(1):G27?G38.
  24. Zou Y, Li J, Lu C, et al. High-fat emulsion-induced rat model of nonalcoholic steatohepatitis. Life Sci. 2006;79(11):1100?1107.
  25. Yoo JS, Ning SM, Pantuck CB, et al. Regulation of hepatic microsomal cytochrome P450IIE1 level by dietary lipids and carbohydrates in rats. J Nutr. 1991;121(7):959?965.
  26. Musso G, Gambino R, De Michieli F, et al. Dietary habits and their relations to insulin resistance and postprandial lipemia in nonalcoholic steatohepatitis. Hepatology. 2003;37(4):909?916.
  27. Black BL, Croom J, Eisen EJ, et al. Differential effects of fat and sucrose on body composition in A/J and C57BL/6 mice. Metabolism. 1998;47(11):1354?1359.
  28. Larter CZ, Yeh MM. Animal models of NASH: getting both pathology and metabolic context right. J Gastroenterol Hepatol. 2008;23(11):1635?1648.
  29. Ito M, Suzuki J, Tsujioka S, et al. Longitudinal analysis of murine steatohepatitis model induced by chronic exposure to high-fat diet. Hepatol Res. 2007;37(1):50?57.
  30. Carmiel-Haggai M, Cederbaum AI, Nieto N. A high-fat diet leads to the progression of non-alcoholic fatty liver disease in obese rats. FASEB J. 2005;19(1):136?138.
  31. Arsov T, Larter CZ, Nolan CJ, et al. Adaptive failure to high-fat diet characterizes steatohepatitis in Alms1 mutant mice. Biochem Biophys Res Commun. 2006;342(4):1152?1159.
  32. DeLeve LD, Wang X, Kanel GC, et al. Prevention of hepatic fibrosis in a murine model of metabolic syndrome with nonalcoholic steatohepatitis. Am J Pathol. 2008;173(4):993?1001.
  33. Machado RM, Stefano JT, Oliveira CP, et al. Intake of trans fatty acids causes nonalcoholic steatohepatitis and reduces adipose tissue fat content. J Nutr. 2010;140(6):1127?1132.
  34. Cassagno N, Palos-Pinto A, Costet P, et al. Low amounts of trans 18:1 fatty acids elevate plasma triacylglycerols but not cholesterol and alter the cellular defence to oxidative stress in mice. Br J Nutr. 2005;94(3):346?352.
  35. Bieghs V, Van Gorp PJ, Wouters K, et al. LDL receptor knock-out mice are a physiological model particularly vulnerable to study the onset of inflammation in non-alcoholic fatty liver disease. PLoS One. 2012;7(1):e30668.
  36. Tetri LH, Basaranoglu M, Brunt EM, et al. Severe NAFLD with hepatic necroinflammatory changes in mice fed trans fats and a high-fructose corn syrup equivalent. Am J Physiol Gastrointest Liver Physiol. 2008;295(5):G987?G995.
  37. Lustig RH, Schmidt LA, Brindis CD. Public health: The toxic truth about sugar. Nature 2012;482(7383):27?29.
  38. Parker K, Salas M, Nwosu VC. High fructose corn syrup: Production, uses and public health concerns. Biotechnology and Molecular Biology Review. 2010;5(5):71?78.
  39. Hanover LM, White JS. Manufacturing, composition, and applications of fructose. Am J Clin Nutr. 1993;58(5 Suppl):724S?732S.
  40. Moeller SM, Fryhofer SA, Osbahr AJ, et al. The effects of high fructose syrup. J Am Coll Nutr. 2009;28(6):619?626.
  41. Tappy L, Le KA. Metabolic effects of fructose and the worldwide increase in obesity. Physiol Rev. 2010;90(1):23?46.
  42. Jalal DI, Smits G, Johnson RJ, et al. Increased fructose associates with elevated blood pressure. J Am Soc Nephrol. 2010;21(9):1543?1549.
  43. Vos MB, Kimmons JE, Gillespie C, et al. Dietary fructose consumption among US children and adults: the Third National Health and Nutrition Examination Survey. Medscape J Med. 2008;10(7):160.
  44. Lim JS, Mietus-Snyder M, Valente A, et al. The role of fructose in the pathogenesis of NAFLD and the metabolic syndrome. Nat Rev Gastroenterol Hepatol. 2010;7(5):251?264.
  45. McGarry JD. Malonyl-CoA and carnitinepalmitoyltransferase I: an expanding partnership. Biochem Soc Trans. 1995;23(3):481?485.
  46. Wiernsperger N, Geloen A, Rapin JR. Fructose and cardiometabolic disorders: the controversy will, and must, continue. Clinics (Sao Paulo). 2010;65(7):729?738.
  47. Janevski M, Ratnayake S, Siljanovski S, et al. Fructose containing sugars modulate mRNA of lipogenic genes ACC and FAS and protein levels of transcription factors ChREBP and SREBP1c with no effect on body weight or liver fat. Food Funct. 2012;3(2):141?149.
  48. Schultz A, Neil D, Aguila MB, et al. Hepatic adverse effects of fructose consumption independent of overweight/obesity. Int J Mol Sci. 2013;14(11):21873?21886.
  49. Nanji AA. Animal models of nonalcoholic fatty liver disease and steatohepatitis. Clin Liver Dis. 2004;8(3):559?574.
  50. Takahashi Y, Soejima Y, Fukusato T. Animal models of nonalcoholic fatty liver disease/nonalcoholic steatohepatitis. World J Gastroenterol. 2012;18(19):2300?2308.
  51. Pickens MK, Ogata H, Soon RK, et al. Dietary fructose exacerbates hepatocellular injury when incorporated into a methionine-choline-deficient diet. Liver Int. 2010;30(8):1229?1239.
  52. Pickens MK, Yan JS, Ng RK, et al. Dietary sucrose is essential to the development of liver injury in the methionine-choline-deficient model of steatohepatitis. J Lipid Res. 2009;50(10):2072?2082.
  53. Sato A, Kawano H, Notsu T, et al. Antiobesity effect of eicosapentaenoic acid in high-fat/high-sucrose diet-induced obesity: importance of hepatic lipogenesis. Diabetes. 2010;59(10):2495?2504.
  54. Anstee QM, Goldin RD. Mouse models in non-alcoholic fatty liver disease and steatohepatitis research. Int J Exp Pathol. 2006;87(1):1?16.
  55. Leclercq IA, Farrell GC, Field J, et al. CYP2E1 and CYP4A as microsomal catalysts of lipid peroxides in murine nonalcoholic steatohepatitis. J Clin Invest. 2000;105(8):1067?1075.
  56. Chowdhry S, Nazmy MH, Meakin PJ, et al. Loss of Nrf2 markedly exacerbates nonalcoholic steatohepatitis. Free Radic Biol Med. 2010;48(2):357?371.
  57. McCuskey RS, Ito Y, Robertson GR, et al. Hepatic microvascular dysfunction during evolution of dietary steatohepatitis in mice. Hepatology. 2004;40(2):386?393.
  58. Flatt JP. Conversion of carbohydrate to fat in adipose tissue: an energy-yielding and, therefore, self-limiting process. J Lipid Res. 1970;11(2):131?143.
  59. Foufelle F, Girard J, Ferre P. Regulation of lipogenic enzyme expression by glucose in liver and adipose tissue: a review of the potential cellular and molecular mechanisms. Adv Enzyme Regul. 1996;36:199?226.
  60. Gentile CL, Nivala AM, Gonzales JC, et al. Experimental evidence for therapeutic potential of taurine in the treatment of nonalcoholic fatty liver disease. Am J Physiol Regul Integr Comp Physiol. 2011;301(6):R1710?R1722.
  61. Oliveira LS, Santos DA, Barbosa-da-Silva S, et al. The inflammatory profile andliverdamageof a sucrose-rich diet in mice. J Nutr Biochem. 2014;25(2):193?200.
  62. Feldstein AE, Canbay A, Guicciardi ME, et al. Diet associated hepatic steatosis sensitizes to Fas mediated liver injury in mice. J Hepatol. 2003;39(6):978?983.
  63. Basciano H, Federico L, Adeli K. Fructose, insulin resistance, and metabolic dyslipidemia. Nutr Metab (Lond). 2005;2(1):5.
  64. Muller-Wieland D, Kotzka J. SREBP-1: gene regulatory key to syndrome X? Ann N Y Acad Sci. 2002;967:19?27.
  65. Eberle D, Hegarty B, Bossard P, et al. SREBP transcription factors: master regulators of lipid homeostasis. Biochimie. 2004;86(11):839?848.
  66. Koteish A, Diehl AM. Animal models of steatosis. Semin Liver Dis. 2001;21(1):89?104.
  67. Zhou AL, Hintze KJ, Jimenez-Flores R, et al. Dietary fat composition influences tissue lipid profile and gene expression in Fischer-344 rats. Lipids. 2012;47(12):1119?1130.
  68. Novikoff PM. Fatty liver induced in Zucker "fatty" (ff) rats by a semisynthetic diet rich in sucrose. Proc Natl Acad Sci U S A. 1977;74(8):3038?3042.
  69. Li Z, Soloski MJ, Diehl AM. Dietary factors alter hepatic innate immune system in mice with nonalcoholic fatty liver disease. Hepatology. 2005;42(4):880?885.
  70. Kajikawa S, Harada T, Kawashima A, et al. Highly purified eicosapentaenoic acid prevents the progression of hepatic steatosis by repressing monounsaturated fatty acid synthesis in high-fat/high-sucrose diet-fed mice. Prostaglandins LeukotEssent Fatty Acids. 2009;80(4):229?238.
  71. Yang ZH, Miyahara H, Takeo J, et al. Diet high in fat and sucrose induces rapid onset of obesity-related metabolic syndrome partly through rapid response of genes involved in lipogenesis, insulin signalling and inflammation in mice. Diabetol Metab Syndr. 2012;4(1):32.
  72. Pelz S, Stock P, Bruckner S, et al. A methionine-choline-deficient diet elicits NASH in the immunodeficient mouse featuring a model for hepatic cell transplantation. Exp Cell Res. 2012;318(3):276?287.
  73. Serviddio G, Giudetti AM, Bellanti F, et al. Oxidation of hepatic carnitinepalmitoyltransferase-I (CPT-I) impairs fatty acid beta-oxidation in rats fed a methionine-choline deficient diet. PLoS One. 2011;6(9):e24084.
  74. Kulinski A, Vance DE, Vance JE. A choline-deficient diet in mice inhibits neither the CDP-choline pathway for phosphatidylcholine synthesis in hepatocytes nor apolipoprotein B secretion. J Biol Chem. 2004;279(23):23916?23924.
  75. Fan JG, Qiao L. Commonly used animal models of non-alcoholic steatohepatitis. Hepatobiliary Pancreat Dis Int. 2009;8(3):233?240.
  76. Kirsch R, Clarkson V, Shephard EG, et al. Rodent nutritional model of non-alcoholic steatohepatitis: species, strain and sex difference studies. J Gastroenterol Hepatol. 2003;18(11):1272?1282.
  77. Weltman MD, Farrell GC, Hall P, et al. Hepatic cytochrome P450 2E1 is increased in patients with nonalcoholic steatohepatitis. Hepatology. 1998;27(1):128?133.
  78. Weltman MD, Farrell GC, Liddle C. Increased hepatocyte CYP2E1 expression in a rat nutritional model of hepatic steatosis with inflammation. Gastroenterology. 1996;111(6):1645?1653.
  79. Serviddio G, Bellanti F, Tamborra R, et al. Uncoupling protein-2 (UCP2) induces mitochondrial proton leak and increases susceptibility of non-alcoholic steatohepatitis (NASH) liver to ischaemia-reperfusion injury. Gut. 2008;57(7):957?965.
  80. Nagasawa T, Inada Y, Nakano S, et al. Effects of bezafibrate, PPAR pan-agonist, and GW501516, PPARdelta agonist, on development of steatohepatitis in mice fed a methionine- and choline-deficient diet. Eur J Pharmacol. 2006;536(1?2):182?191.
  81. Rinella ME, Green RM. The methionine-choline deficient dietary model of steatohepatitis does not exhibit insulin resistance. J Hepatol. 2004;40(1):47?51.
  82. Larter CZ, Yeh MM, Williams J, et al. MCD-induced steatohepatitis is associated with hepatic adiponectin resistance and adipogenic transformation of hepatocytes. J Hepatol. 2008;49(3):407?416.
  83. Duvnjak M, Tomasic V, Gomercic M, et al. Therapy of nonalcoholic fatty liver disease: current status. J Physiol Pharmacol. 2009;60(Suppl 7):57?66.
  84. Schattenberg JM, Schuppan D. Nonalcoholic steatohepatitis: the therapeutic challenge of a global epidemic. Curr Opin Lipidol. 2011;22(6):479?488.
  85. Stein LL, Dong MH, Loomba R. Insulin sensitizers in nonalcoholic fatty liver disease and steatohepatitis: Current status. Adv Ther. 2009;26(10):893?907.
  86. Georgescu EF. Angiotensin receptor blockers in the treatment of NASH/NAFLD: Could they be a first-class option? Adv Ther. 2008;25(11):1141?1174.
  87. Hookman P, Barkin JS. Current biochemical studies of non-alcoholic fatty liver disease (NAFLD) and non-alcoholic steatohepatitis (NASH) suggest a new therapeutic approach. Am J Gastroenterol. 2003;98(2):495?499.
  88. Kita Y, Takamura T, Misu H, et al. Metformin prevents and reverses inflammation in a non-diabetic mouse model of nonalcoholic steatohepatitis. PLoS One. 2012;7(9):e43056.
  89. Olefsky JM, Saltiel AR. PPAR gamma and the treatment of insulin resistance. Trends Endocrinol Metab. 2000;11(9):362?368.
  90. Miyahara T, Schrum L, Rippe R, et al. Peroxisome proliferator-activated receptors and hepatic stellate cell activation. J Biol Chem. 2000;275(46):35715?35722.
  91. Galli A, Crabb DW, Ceni E, et al. Antidiabetic thiazolidinediones inhibit collagen synthesis and hepatic stellate cell activation in vivo and in vitro. Gastroenterology. 2002;122(7):1924?1940.
  92. Uto H, Nakanishi C, Ido A, et al. The peroxisome proliferator-activated receptor-gamma agonist, pioglitazone, inhibits fat accumulation and fibrosis in the livers of rats fed a choline-deficient, l-amino acid-defined diet. Hepatol Res. 2005;32(4):235?242.
  93. Nakayama H, Otabe S, Yuan X, et al. Effects of adiponectin transgenic expression in liver of nonalcoholic steatohepatitis model mice. Metabolism. 2009;58(7):901?908.
  94. Phillips SA, Kung JT. Mechanisms of adiponectin regulation and use as a pharmacological target. Curr Opin Pharmacol. 2010;10(6):676?683.
  95. Tomita K, Oike Y, Teratani T, et al. Hepatic AdipoR2 signaling plays a protective role against progression of nonalcoholic steatohepatitis in mice. Hepatology. 2008;48(2):458?473.
  96. Liu S, Wu HJ, Zhang ZQ, et al. The ameliorating effect of rosiglitazone on experimental nonalcoholic steatohepatitis is associated with regulating adiponectin receptor expression in rats. Eur J Pharmacol. 2011;650(1):384?389.
  97. Trevaskis JL, Griffin PS, Wittmer C, et al. Glucagon-like peptide-1 receptor agonism improves metabolic, biochemical, and histopathological indices of nonalcoholic steatohepatitis in mice. Am J Physiol Gastrointest Liver Physiol. 2012;302(8):G762?772.
  98. Souza-Mello V, Gregorio BM, Cardoso-de-Lemos FS, et al. Comparative effects of telmisartan, sitagliptin and metformin alone or in combination on obesity, insulin resistance, and liver and pancreas remodelling in C57BL/6 mice fed on a very high-fat diet. Clin Sci (Lond). 2010;119(6):239?250.
  99. Fujita K, Yoneda M, Wada K, et al. Telmisartan, an angiotensin II type 1 receptor blocker, controls progress of nonalcoholic steatohepatitis in rats. Dig Dis Sci. 2007;52(12):3455?3464.
  100. Kudo H, Yata Y, Takahara T, et al. Telmisartan attenuates progression of steatohepatitis in mice: role of hepatic macrophage infiltration and effects on adipose tissue. Liver Int. 2009;29(7):988?996.
  101. Kuwashiro S, Terai S, Oishi T, et al. Telmisartan improves nonalcoholic steatohepatitis in medaka (Oryziaslatipes) by reducing macrophage infiltration and fat accumulation. Cell Tissue Res. 2011;344(1):125?134.
  102. Nakagami H, KiomyOsako M, Nakagami F, et al. Prevention and regression of non-alcoholic steatohepatitis (NASH) in a rat model by metabosartan, telmisartan. Int J Mol Med. 2010;26(4):477?481.
  103. Tamaki Y, Nakade Y, Yamauchi T, et al. Angiotensin II type 1 receptor antagonist prevents hepatic carcinoma in rats with nonalcoholic steatohepatitis. J Gastroenterol. 2013;48(4):491?503.
  104. Zambon A, Cusi K. The role of fenofibrate in clinical practice. Diab Vasc Dis Res. 2007;4(Suppl 3):S15?20.
  105. Ban S, Kasuga J, Nakagome I, et al. Structure-based design, synthesis, and nonalcoholic steatohepatitis (NASH)-preventive effect of phenylpropanoic acid peroxisome proliferator-activated receptor (PPAR) alpha-selective agonists. Bioorg Med Chem. 2011;19(10):3183?3191.
  106. Lalloyer F, Wouters K, Baron M, et al. Peroxisome proliferator-activated receptor-alpha gene level differently affects lipid metabolism and inflammation in apolipoprotein E2 knock-in mice. Arterioscler Thromb Vasc Biol. 2011;31(7):1573?1579.
  107. Shiri-Sverdlov R, Wouters K, van Gorp PJ, et al. Early diet-induced non-alcoholic steatohepatitis in APOE2 knock-in mice and its prevention by fibrates. J Hepatol. 2006;44(4):732?741.
  108. Nakagami H, Shimamura M, Miyake T, et al. Nifedipine prevents hepatic fibrosis in a non-alcoholic steatohepatitis model induced by an L-methionine-and choline-deficient diet. Mol Med Report. 2012;5(1):37?40.
  109. Fraulob JC, Souza-Mello V, Aguila MB, et al. Beneficial effects of rosuvastatin on insulin resistance, adiposity, inflammatory markers and non-alcoholic fatty liver disease in mice fed on a high-fat diet. Clin Sci (Lond). 2012;123(4):259?270.
  110. Hyogo H, Tazuma S, Arihiro K, et al. Efficacy of atorvastatin for the treatment of nonalcoholic steatohepatitis with dyslipidemia. Metabolism. 2008;57(12):1711?1718.
  111. Nakahara T, Hyogo H, Kimura Y, et al. Efficacy of rosuvastatin for the treatment of non-alcoholic steatohepatitis with dyslipidemia: An open-label, pilot study. Hepatol Res. 2012;42(11):1065?1072.
  112. Nelson A, Torres DM, Morgan AE, et al. A pilot study using simvastatin in the treatment of nonalcoholic steatohepatitis: A randomized placebo-controlled trial. J Clin Gastroenterol. 2009;43(10):990?994.
Creative Commons Attribution License

©2014 Schultz, et al. This is an open access article distributed under the terms of the, which permits unrestricted use, distribution, and build upon your work non-commercially.