Submit manuscript...
Journal of
eISSN: 2377-4312

Dairy, Veterinary & Animal Research

Research Article Volume 7 Issue 3

Chronic respiratory disease outbreak in an organized native chicken farm

Kumaragurubaran Karthik, Ramasamy Bharathi, Ramalingam Mahaprabhu, Kaliyaperumal Manimaran, Kulasekaran Shoba

Central University Laboratory, Tamil Nadu Veterinary and Animal Sciences University, India

Correspondence: Kumaragurubaran Karthik, Assistant Professor, Central University Laboratory, Madahavarm Milk Colony, Tamil Nadu Veterinary and Animal Sciences University, Chennai-51

Received: March 01, 2018 | Published: May 11, 2018

Citation: Karthik k, Bharathi R, Mahaprabhu R, et al. Chronic respiratory disease outbreak in an organized native chicken farm. J Dairy Vet Anim Res. 2018;7(3):79-82. DOI: 10.15406/jdvar.2018.07.00194

Download PDF

Abstract

Indian poultry industry is moving with rapid strides in the global market but disease outbreaks cause a major setback to this huge industry. Chronic respiratory disease (CRD) caused by Mycoplasma gallispeticum (MG) is one among the important poultry disease affecting the growth of the industry. This current communication presents the outbreak of CRD among native chicken breeds in an organized farm of India. Post mortem investigation was carried out in the farm as mortality was reported to be 5% and morbidity was 50%. Samples namely trachea, lung, air sac and infra orbital sinus were collected for identifying the causative agent and were subjected to bacteriological and virological detection tests. Samples were found positive for MG by conventional bacteriological method while other bacteriological and virological agents were found negative. Isolates on further characterization using Mycoplasma specific PCR and MG specific PCR revealed that the isolates belong to MG and proved the involvement of the bacterium in causing the disease. Histopathology of the samples also showed the presence of necrotic material and infiltration of lymphocytes. Based on gross pathology, histopathology, isolation and molecular characterization showed that the disease was CRD caused by MG. Thus this reports warrants need for further insights into the clear picture on the status of CRD among native chicken breeds of India so as to carve out a better prevention measure.

Keywords: chronic respiratory disease, native chicken, Mycoplasma gallisepticum, India, PCR, investigation

Introduction

The poultry industry is growing at a rapid phase worldwide in the recent years to meet the global demand for good quality protein.1,2 This rapid increase in production is projected to move further in various parts of the world including India.3 Indian poultry industry is among the top producers of egg and meat production in the world but poultry population is not constant among the states of India. Andhra Pradesh, Telangana, Tamil Nadu leads the country’s poultry production followed by Maharashtra, Punjab and West Bengal.4 This profitable industry has also witnessed the threats caused by pathogens leading to huge mortality of the birds. Among the reported diseases of poultry, chronic respiratory disease (CRD) is one of the important diseases as it can cause higher morbidity thus decreasing the production. CRD is reported from several parts of the world in both poultry layer and broiler stocks. Mycoplasma gallisepticum (MG), a cell wall less bacteria is responsible for CRD which is characterized by coughing, respiratory rales, nasal discharge, infra orbital sinusitis and air sacculitis. The disease has been recorded in layers and breeders causing embryo mortality and also drops in egg production.5 All age group chickens and turkeys are susceptible to MG but young birds are considered to be affected severely than old birds.6 Both horizontal and vertical transmission has been documented in MG infection.7 In India sero diagnosis of MG has been reported at various time frames from various states. Earlier studies show 58.18% sero positivity in Wayanad district of Kerala, India while 53.40% sero positivity was recorded in Namakkal district of Tamil Nadu, India. Recent sero prevalence study conducted in seven states of India showed an overall prevalence of 32.06%, of which highest prevalence was noted in Telangana (50%) while Karnataka state had lowest prevalence (20%).8 Sero prevalence studies are mainly carried out in India and isolation, molecular characterization studies are less. In order to meet the high demand of poultry industry exotic, genetically improved poultry breeds are developed. Major drawback of these improved breeds is their lower resistance to disease resistance compared to indigenous or native breeds.4 To the best of our knowledge reports regarding isolation, molecular and histopathological confirmation of MG in Indian native chicken breeds are inadequate. The present study documents clinical signs, postmortem and histopathology lesions followed by isolation and molecular confirmation of MG in an organized native poultry farm in Tamil Nadu state, India.

Material and methods

Clinical picture and sample collection

An organized farm with a flock strength of 400 native birds of various age groups was reported to have respiratory problems like nasal discharge, swelling of the infra orbital sinus and respiratory rales. Mortality 5% and morbidity of 50% was reported. Postmortem was carried out for four dead birds with similar clinical signs at Central University Laboratory, Tamil Nadu Veterinary and Animal Sciences University, Chennai, India. Gross lesions like sinusitis, conjunctivitis, tracheitis with yellow cheesy material in trachea, air sacculitis with cheesy material and pneumonia were noted (Figure 1). Heart blood swab, tracheal swab, air sac swab, infra orbital sinus swab, liver surface swab were collected in ice. Trachea, lungs, infra orbital sinus and air sac were collected in ice and also in 10% formalin separately for isolation and histopathology respectively. Samples were also subjected to diagnose infectious laryngotracheitis (ILT) by PCR so as to rule out the exact cause of the disease.

Isolation and identification

Samples were processed for bacteriological and mycoplasma isolation by standard procedures. For Mycoplasma isolation, samples were initially enriched in PPLO broth (Himedia) supplemented with 15% heat inactivated horse serum (Invitrogen), 10% yeast extract (HiMedia), 10% glucose (HiMedia), 1% NAD (HiMedia), 2.5% thallium acetate (HiMedia), benzyl penicillin sodium salt (100000 IU) and 0.5% phenol red, for a period of 3-7 days or till the media changes colour from red to yellow at 37°C under 5% CO2 tension. Broth cultures are sub cultured on PPLO agar plate and kept at 37°C under 5% CO2 tension for 5-10 days.

Molecular identification

To extract the DNA following protocol was followed: 1mL of broth cultures were taken in microfuge tubes and centrifuged at 10,000 rpm for 5 min. The pellet obtained was washed twice with phosphate buffered saline (PBS) and the final pellet was dissolved in 100µL nuclease free water (NFW) followed by heating the tube to 95°C for 10min, immediate cooling at -20°C for 5 min. Then the tube with mixture was centrifuged at 10,000 rpm for 5min and the supernatant was used as DNA for polymerase chain reaction (PCR). Initially, the extracted DNA was screened by PCR using Mycoplasma group specific primers (GPO- 1 [5’-ACT CCT ACG GGA GGC AGC AGT A-3’] and MGSO [5’-TGC ACC ATC TGT CAC TCT GTT AAC CTC -3’]) as per Kuppeveld et al.9 Positive samples were screened for MG using the primers MG-14F: GAG CTA ATC TGT AAA GTT GGT C and MG-13R: GCT TCC TTG CGG TTA GCA AC reported by Lauerman.10 Agarose (1.5%) gel electrophoresis was carried out for the PCR products and the gel was visualized under Bio Rad Gel Doc XR+ system.

Histopathology

All samples in 10% formalin were embedded in paraffin and sections of 5μm thicknesses were made from the paraffin blocks which were stained with hematoxyline and eosin.11

Figure 1 Gross pathological lesions of CRD.
(A) Native chicken breeds subjected for necropsy
(B) Trachea lumen with yellow cheesy material
(C) Air sacculitis with yellowish cheesy material in thoracic air sac
(D) Yellowish cheesy material in infra orbital sinus.

Results

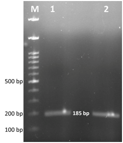
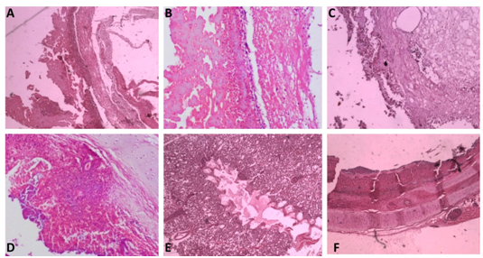
After 2 days of incubation at 37°C with 5% CO2 tension, colour change in the PPLO broth was noticed and this was sub cultured further on PPLO agar plates. Fried egg colonies appeared on PPLO plates from trachea, lung, air sac and infra orbital sinus swab samples after 3 days of incubation. The samples were also processed for identification of other bacterial and viral agents but they were found negative for other agents. Extracted DNA from cultures of trachea, lung, air sac and infra orbital sinus swab samples were subjected to PCR for detection of Mycoplasma sp. and MG. PCR products from all the samples showed a band size of 715bp which was the expected band size for Mycoplasma sp (Figure 2). Similarly, MG specific PCR showed a band size of 185bp showing that all the samples were positive for MG (Figure 3). Histopathology revealed that trachea had a thick layer of necrotic material in the tracheal lumen with the loss of epithelium and cilia and lymphocytic aggregation. Air sac showed necrotic material adhered with lymphocytic infiltration in the air sac wall while lung showed edema in the lumen, congestion of capillaries and lymphoplasmacytic infiltration in the interstitial tissue. Infra orbital sinus showed necrotic material in the lumen with lymphocytic infiltration (Figure 4).

Figure 2 Gel electrophoresis image of Mycoplasma sp. specific PCR products. Lane M- 100bp ladder, Lane 1, 2, 3- positive samples showing expected band size at 715bp.

Figure 3 Gel electrophoresis image of Mycoplasma gallisepticum specific PCR products. Lane M- 100bp ladder, Lane 1, 2- positive samples showing expected band size at 185bp.

Figure 4 Histopathological observation.
(A) Air sac - 4 xs- Necrotic material adhered with the air sac wall
(B) Air sac - 4 xs- Necrotic material adhered with lymphocytic infiltration in the air sac wall
(C) Infraorbital sinus- 10x- Necrotic material in the lumen with lymphocytic infiltration
(D) Lung- 4x- Lung tissue infiltrated with lymphocytes and plasma cells
(E) Lung- 4x- Edema in the lumen, congestion of capillaries and lymphoplasmacytic infiltration in the interstitial tissue
(F) Trachea- 4x- Thick layer of necrotic material in the tracheal lumen with loss of epithelium and cilia and lymphocytic aggregation.

Discussion

M. gallisepticum, the causative organism of CRD has been prevalent in India but studies regarding isolation, molecular characterization and histopathological studies in native chicken are less. CRD affected bird’s exhibit signs like reduced weight gain, poor feed conversion ratio, swollen sinus, nasal discharge, higher morbidity but lesser mortality.12–17 Similar signs like nasal discharge, swelling of the infra orbital sinus and respiratory rales were also noticed in a native chicken farm in Tamil Nadu state, India. Similarly, the mortality was 5% while the morbidity was 50% which was in accordance with the earlier findings.17 Most of the cases of MG get complicated with other agents like E. coli or environmental factors.18 Mycoplasma colonizes the respiratory tract and multiplies in the trachea, lung and air sacs leading to catarrhal exudates in the nasal passages and trachea. Complication with E. coli can further lead to pericarditis and perihepatitis.17 Though CRD is a well known problem in the poultry industry there are only few reports showing the prevalence of CDR in India employing molecular methods. A study reported 27% MG prevalence in Haryana state of India19 while a recent study showed that 36 commercial layer farms out of 64 poultry farms were positive for MG by PCR in Namakkal district, Tamil Nadu, India.20 Another study in Haryana, India shows 18 out of 51 samples were found positive for MG by PCR.21 Reports of MG in native chicken of India are sparse and the present report shows that CRD due to MG is prevalent in native chicken, warranting further studies. Isolation and identification of Mycoplasma sp. requires more time hence rapid methods like PCR can be employed directly from samples so as to reduce the time required for accurate diagnosis and also to work out control strategies. Earlier reports also recommend molecular diagnostic assays for easy, early and accurate diagnosis of MG in poultry.20 Histopathologically severe purulent infraorbital sinusitis, hyperplasia with moderate purulent tracheitis, purulent and necrotic pneumonia combined with secondary bacterial colonization in grey partridge was reported by Vitula et al.22 Histopathology did not show an involvement of other bacterial pathogen and the changes were similar to MG infection in birds as per earlier studies.22

Conclusion

To the best of our knowledge, there are few reports on the molecular and pathological identification of MG in native chicken breeds of India. Thus there is an immediate need to screen native chickens against MG so as to sketch a better control strategy. Rapid diagnostic techniques like PCR can be employed to diagnose CRD as conventional methods are time consuming.

Acknowledgements

The authors are thankful to Tamil Nadu Veterinary and Animal Sciences University for supporting this work.

Conflict of interest

The authors declare that they have no competing interest.

References

  1. Blake DP, Tomley FM. Securing poultry production from the ever-present Eimeria challenge. Trends Parasitol. 2014;30:12–19.
  2. FAOstat. Food and Agriculture Organization of the United Nations FAOstat database. 2015.
  3. Grace D, Mutua F, Ochungo P, et al. Mapping of Poverty and Likely Zoonoses Hotspots. Department for International Development; UK: 2012.
  4. Chatterjee RN, Rajkumar U. An overview of poultry production in India. Indian J Anim Hlth. 2015;54(2):89–108.
  5. Saif YM, Jarosz F. Neotetrazolium staining of three avian Mycoplasma serotypes for microagglutination test. Avian Dis. 1978;22(2): 358–361.
  6. Nunoya T, Yagihashi T, Tajima M, et al. Occurrence of keratoconjunctivitis apparently caused by Mycoplasma gallisepticum in layer chickens. Vet Pathol. 1995;32(1):11–18.
  7. Hassan S, Mukhtar N, Rahman SU, et al. Molecular Epidemiology of Mycoplasma gallisepticum in Different Types of Chickens. Int J Agricult Biol. 2014;16(1):165‒170.
  8. Surajit B, Bhumika FS, Bhargavi T, et al. Seroprevalence of Mycoplasma gallisepticum in different parts of India. Ind J Comp Microbiol Immunol Infect Dis. 2016;37(2):63–66.
  9. Kuppeveld FJM, Logt JTMV, Angulo AF, et al. Genus and species specific identificaition of mycoplasinas by 16s rRNR amplification. Appl Environ Microbiol. 1992;58(8):2606–2615.
  10. Lauerman LH. Mycoplasma PCR Assays. Nucleic Amplification Assays for Diagnosis of Animal Diseases. In: Lauerman LH, editor. American Association of Veterinary Laboratory Diagnosticians: Auburn; 1998. p. 41–52.
  11. Slaoui M, Fiette L. Histopathology Procedures: from Tissue Sampling to Histopathological Evaluation. Methods Mol Biol. 2011;691:69–82.
  12. World Organisation for Animal Health. Avian Mycoplasmosis (Mycoplasma gallisepticum). Manual of Diagnostic Tests and Vaccines for Terrestrial Animals. OIE: Paris; 2004. p. 842–855.
  13. Kleven SH. Mycoplasma synoviae infection. Disease of poultry. In: BW Calnek, CW Beard, HJ Barnes, et al. editors. 10th ed. Iowa: Iowa State University Press; 1997. p. 220–228.
  14. Hasan S, Ahmad K, Fawad N, et al. Current respiratory disease problems and the probes in chicken. Pak Vet J. 2002;22(1):455–459.
  15. Steinlage T, Ferguson N, Sander JE, Garcia M, Subramanian S, Leiting VA, Kleven SH. Isolation and characterization of a 6/85- like Mycoplasma gallisepticum from commercial laying hens. Avian Dis. 2003;47(2):499–505.
  16. Shankar BP. Common respiratory diseases of poultry. Vet World. 2008;7:217–219.
  17. Gondal MA, Rabbani1 M, Muhammad K, et al. Characterization of Mycoplasma gallisepticum isolated from commercial poultry flocks. J Ani Plant Sci. 2015;25(1):108–113.
  18. Kleven SH, Fulton RM, Garcia M, et al. Molecular characterization of Mycoplasma gallisepticum isolates from turkeys. Avian Dis. 2004;48(3):562–569.
  19. Tomar P, Singh Y, Mahajan NK, et al. Molecular Detection of Avian Mycoplasmas in Poultry Affected with Respiratory Infections in Haryana (India). Int J Cur Microbiol Applied Sci. 2017;6(6):2155–2162.
  20. Thilagavathi K, Sivaseelan S, Balasubramaniam GA, et al. Detection of Mycoplasma gallisepticum from field samples of laying chicken using PCR. Int J Sci Env Technol. 2017;6(4):2594–2499.
  21. Singh D, Mahajan NK, Kumar A, et al. Detection of Mycoplasma gallisepticum from field samples of poultry using conventional PCR. Adv Anim Vet Sci. 2013;1(1S):11–13.
  22. Vitula F, Peckova L, Bandouchova H, et al. Mycoplasma gallisepticum infection in the grey partridge Perdix perdix: outbreak description, histopathology, biochemistry and antioxidant parameters. BMC Vet Res. 2011;7:34.
Creative Commons Attribution License

©2018 Karthik, et al. This is an open access article distributed under the terms of the, which permits unrestricted use, distribution, and build upon your work non-commercially.