Submit manuscript...
Journal of
eISSN: 2377-4312

Dairy, Veterinary & Animal Research

Case Report Volume 2 Issue 6

Osteosynthesis of the radius and ulna in a brown hare lepus europeus

Marko Pecin, Marija Lipar, Ozren Smolec, Berislav Radisic, Josip Kos, Mario Kreszinger, Drazen Vnuk, Marko Stejskal

Surgery Orthopaedic and Ophthalmology Department, University of Zagreb, Croatia

Correspondence: Marko Pecin, Heinzelova 55, 10000 Zagreb, Croatia, Tel 38 591 239 0161, Fax 3851 239 0380

Received: August 12, 2015 | Published: December 7, 2015

Citation: Pecin M, Lipar M, Smolec O, et al. Osteosynthesis of the radius and ulna in a brown hare lepus europeus. J Dairy Vet Anim Res. 2015;2(6):225-227. DOI: 10.15406/jdvar.2015.02.00059

Download PDF

Abstract

Six months old brown hare was presented at the Surgery Clinic for evaluation of a right forelimb third grade lameness. Full physical examination, blood samples for complete blood count, and serum biochemistry were performed. Radiographic examination from anteroposterior and lateral views confirmed a old, closed, complete, non-comminuted, transverse fracture in the middle part of right radius and ulna. Fracture repair in the brown hare is a similar to those in cats and dogs. Stabilization of fractures with bone plates and screws are the most popular methods of fracture fixation. Osteosynthesis was performed by 2.0, 8-hole stainless steel Synthes dynamic compression plate, DCP (Synthes Holding AG, 4500 Solothurn, Switzerland) placed on radius in neutral position to achieve anatomical repositioning of fragments and to restore normal biological function of the limb. Surgical procedure was performed within 45minutes in order to reduce residence in a hospital environment, which hares generally find stressful. The fracture was assessed as clinically stable in the 5th day postoperatively and the animal was weightbearing on it's forelimb. Osteosynthesis of hare radius using DCP plate 2.0 is a good method of fixation and healing fractures. After performing full clinical examination and bloodwork, controled and modulated anaesthesia and analgesia, it is possible to perform osteosynthesis with excellent outcome and also a good way to preserve fragile wildlife.

Keywords: brown hare, radius, fracture, osteosynthesis, plate

Introduction

A brown hare is a small wild mammal in the family Leporidae, order Lagomorpha, found in several parts of the world and Croatia. Aproach to brown hare should be very careful in order to minimize stress. Stress can cause exitus during examination.1 Sometimes they get injuried in traffic or by farm machinery. Surgical procedure should be chosen having in mind these facts and it is not adequate to implement surgical, anesthesiological and intensive care procedures used for rabbits, although their morphology is similar.2 There are also metabolic differences between rabbit and brown hare caused by stress during medical care. The brown hare is an important game animal and it is of a grate economical importance.

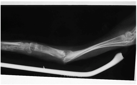
Six months old hare was found near a suburban area, immobile with several injuries. It was presented at the Surgery Clinic for evaluation of a third grade right forelimb lameness. The initial examination showed a bright, alert and stabile animal. Full orthopaedic and neurological examination was performed. Radiographic examination from anteroposterior and lateral views confirmed a old, closed, complete, non-comminuted, transverse diaphyseal fracture of right radius and ulna (Figure 1). Osteosynthesis was performed to achieve anatomical repositioning of fragments and to restore normal biological function of the limb.

Figure 1 Old non-union fracture of radius and ulna in young brown hare. Radiograph shows a formed callus and fused radius and ulna under angulation. Fracture line is still visible.

Case presentation

Full physical examination and bloodwork

Full physical examination, blood samples for complete blood count, and serum biochemistry were taken from auricular vein while animal was sedated.1,3 Respiratory rate was 58/min, heart rate 210/min, body temparature 38oC, mucus membrane were normal and dehydration wasn't observed prior to surgery. Body weight was 1.8kg. Blood counts were: red blood cells 8.5x1012/L (reference range 7.86-10.66x1012/L), hemoglobin 177g/L, (154.6-208g/L), Pack cells volume 52% (49-60%), mean cell volume 61fL, (53.2-60.50fL), mean cell hemoglobin 21pg, (18.68-20.87pg), mean cell hemoglobin concentration 339g/L, (308-345.6g/L), white blood cells 1,8x109/L, (3.19-3.49x 109/L), granulocit 35% and lymphocits 65%, platelets 502x109 (343-385), mean platelet volume was 5fL.

Serum biochemistry: Blood urea nitrogen (BUN) 2.6mmol/L (reference range 4.81-18.13mmol/L), creatinine (crea) 61μmol/L (60.1-131.9μmol/L), phosphorus (P) 2.37mmol/L, calcium (Ca) 2.36mmol/L, total protein (TP) 36g/L ( 27.4-53.8g/L), albumin (alb) 26g/L (14.7-36.7g/L), globulins 10g/L, alanine aminotransferase (ALT) 57U/L (2.77-48.88U/L), aspartate aminotransferase (AST) 72U/L ( 85.91-94.82U/L), alkaline phosphatase (AP) 130U/L (69.12-337.52U/L), total bilirubine (Tbil) 2μmol/L (0-3.43μmol/L), glucose (Glu) 17.99mmol/L (3.54-12.9mmol/L). Serum biochemistry analysis were performed by Idexx VetTest 8008 analizer (Idexx VetTest, Idexx Laboratories, Westbrook, Maine, 04092, USA). Reference intervals were according to Marco et al.3

Sedation, general anaesthesia and analgesia

Sedation was performed by ketamine (Narketan® 10, Vetoquinol A.G., 3063 Ittigen, Switzerland) in dose of 35mg/kg and xylazine (Xylapan®, Vetoquinol UK Ltd, Buckingham MK18, UK) in dose of 3mg/kg applied intramuscularly. In v. Cephalica antebrachii venous catheter 24G was placed. Induction to general anaesthesia was performed by ketamine in dose of 4mg/kg body weight applied intravenously. Blind endotracheal intubation with uncuffed endotracheal tube, 3.0mm diameter (Blue Line®, Smiths Medical, Lower Pemberton, Ashford, Kent, TN25, UK), was performed while anesthetized brown hare was placed in sternal recumbency with its head extended. General anaesthesia was maintaned by 2% sevoflurane (SevoFlo®, Abbott UK, Berkshire, Maidenhead SL6, UK), O2 flow was 1L/min during surgical procedure. It is very important to use sufficient analgesia to keep the hare comfortable and prevent the development of gastro-intestinal stasis; ileus.1,4 Therefore ketoprofen (Ketofen®, Fort Dodge, 50501 Webster Iowa, USA) was administered subcutaneously 24 hours prior to surgery in dose 2mg/kg of bw and applied also three days post operatively. Fluid therapy was maintained by 0,9% NaCl intravenously in total dose of 25mL. Antibiotic enrofloxacin 5% (Vetoflok®, Veterina, 10000 Zagreb, Croatia) was applied subcutaneously in dose of 5mg/kg bw per day for 7days (including 2days prior to surgery).

Osteosynthesis of radius with 2.0 Synthes DCP stainless steel plate

The animal was placed in right lateral recumbency, and the right forelimb was shaved and prepared with chlorhexidine detergent (PLIVA®sept, Pliva, 1000 Zagreb, Croatia), isopropile alcohole (PLIVA® tinktura, Pliva, 1000 Zagreb, Croatia) and 10% povidone-iodine (Betadine®, Alkaloid, 1000 Skopje, R. Macedonia) for aseptic surgery. Radius was palpated directly under the skin and subcutaneous tissue on the craniomedial surface of the limb. Incision was made through skin and subcutaneous tissue 5mm from carpal joint craniomedially to proximal third of radius to expose the radial diaphysis. Soft tissue and vascular damage in the area appeared to be minimal. Extensor tendons were elevated to expose the cranial surface of the distal metaphysis of the radius. The cephalic vein was also retracted to expose fracture site.

Osteosynthesis was performed by 2.0, 8-hole stainless steel Synthes DCP plate (Synthes 2,0 DCP® plate, Synthes Holding AG, 4500 Solothurn, Switzerland) placed on radius in neutral position with seven cortical 2.0mm Synthes (Synthes cortical 2.0mm screw, Synthes Holding AG, 4500 Solothurn, Switzerland) cortical screws. In the distal bone fragment 3 screws were placed, and 4 in the proximal fragment. One hole was omitted above the fracture line due to small distance of plate holes and huge calus in fracture line (10days old fracture). DCP was placed craniomedially 10mm from carpal joint to avoid negative effects on extensor tendons and radial growth plate. No other fixation was applied to the ulna. Muscles fascia and skin were sutured by polydioxanone 4-0 ( PDS® , Ethicon INC, Somerville 08876-0151 New Jersey, USA) by running suture pattern. Surgery procedure was performed within 45minutes to minimise residence in a hospital environment, which hares generally find stressful.1 Robert-Jones bandage with aluminium splint (aluminijska udlaga, Vetom alfa d.o.o., 10000 Zagreb, Croatia) was placed in order to stabilise fragments in a position additionally. Five days later bandage and splint were removed. Range of motion of both elbow and carpal joint were almost normal. The fracture was assessed as clinically stable in the 5th day postoperatively and the animal was weightbearing on its forelimb.

X-ray examination was performed after the surgery while animal was still anaesthetised. Another x-ray was performed 4weeks post surgery and showed complete healing of the radius with thinner remodelling callus but ulnar fracture line was still present. Bone callus was visible and smaller than in a preoperative x-ray. As a time goes on the primary or temporary callus was gradually replaced by mature lamellar bone, and the excess callus was resorbed. Soft tissue swelling and pain was not observed over fracture site. Palpatory there was no excesive callus present. Plate and screw heads could be palpated through the skin. Range of motion of the carpal joint was the same as on contralateral limb. Pronation and supination were possible and painless. Six weeks post operative x-ray showed that both radius and ulna healed completely Figure 2.

Figure 2 Osteosynthesis of radius with 2.0 Synthes stainless steel plate with 7 cortical 2.0 screws. Five weeks postoperatively fracture line is not visible, angulation is not present. Fused radius and ulna within healed fracture.

Discussion

Fracture repair in the brown hare is a similar to those in cats and dogs. Stabilization of fractures with bone plates and screws are the most popular methods of fracture fixation. Bone plates and screws are often used in wild animals for bone fixation of axial skeleton and are particularly useful when postoperative comfort and early limb use are desired. Plate provide rigid internal fixation and anatomic alignment, and do not interfere with joint function.5 Cranial placement of the plate has been the most widely used method for all radial diaphyseal fractures, because it is easily accessible and provides a broad and only slightly curved surface.5 Dissection and elevation of the extensor tendons from their synovial sheaths in the middle groove of the distal radius and the subsequent gliding of these tendons over the plate surface produce varying degrees of functional problems.5 Also, in young brown hare it is possible to interfere with distal epiphyseal growth plate. Therefore 2.0 small plate was used and positioned 7mm of the radial growth plate and 10mm from carpal joint. Extensor tendons were elevated without dissection of their synovial sheats. Due to restricted cortex space and minimal three screws in distal fragment of the radius, distal screws were longer and penetrated through ulnar cis cortex. Such screw placement enabled more rigid distal plate stabilisation. Reposition clamps were not used for reduction of the bone fragments and fixation of the plate. Plate was fixed by fingers first in the distal and than in proximal bone fragment. Therefore no additional trauma was applied to the already fragile bones.

Four weeks postoperatively the function of the limb was assessed as normal. Throughout the whole four-week recovery period feeding abnormalities were not recorded. In hematology data MCV and MCH were elevated due to folic acid or B12 deficiency, liver disease, hypothyroidism, anemia and season of the year.6 Leukopenia can occure due to extensive neutrophil use or reduction in the number of neutrophils.7 Other causes are chemotherapy, radiation therapy, leukemia, myelofibrosis, aplastic anemia, some types of cancer, Rickettsial infections and folate deficiences.8

Leukopenic patient may have difficulty in anti-inflammatory response postoperatively.2 Factors that influence the numbers of circulating neutrophils include the relative rates of bone marrow production and release, exchange between circulating neutrophile pool and marginal neutrophil pool and migration into tissue.7 Fear can cause intensive epinephrine releasing which causes increased blood flow and washes marginated lymphocytes back into circulation.4,6,8 That was the reason for lymphocyte predomination among white blood cells in circulating blood.

Decreased values of blood urea nitrogen (BUN) can be due to liver failure, malnutrition, overhydration and impaired nutrient absoption.8 In this case blood sample was taken proir to fluid therapy, level of liver enzim AST was within normal ranges, wherease ALT was elevated. The main reason for decreased BUN was malnutrition and captivity. Increased values of P, ALT and Glu were noted. Increased serum phosphorus can be caused by inbalanced diet and slightly damaged kidneys or infavorable ratio between calcium and phosphorus.6 Increased values of serum ALT was owing to liver damage. Increased serum glucose was induced by stress.8

Conclusion

Osteosynthesis of radius in small wild animals like european brown hare Lepus Europaeus using stainless steel DCP plate 2,0 with 2,0 bicortical stainless steel screws is a good method of fixation and healing fractures. If performed within AOVET standards it provides good and stabile osteosynthesis with fast recovery and limb function. After performing full clinical examination and bloodwork, controled and modulated anaesthesia and analgesia, it is possible to perform osteosynthesis with excellent outcome and also a good way to preserve fragile wildlife.

Acknowledgements

The authors are grateful to the Surgery, ophthalmology and orthopaedics Clinic, Veterinary faculty University of Zagreb for funding and other necessary help.

Conflict of interest

Author declares that there is no conflict of interest.

References

  1. Frasier M, Girling SJ. Restraint, Handling, Anesthesia, Analgesia and Fluid Therapy. In: Frasier M, Girling SJ, editors. Rabbit medicine and surgery for Veterinary Nurses. UK: Wiley-Blackwell Pubications; 2009. p. 77‒102.
  2. Meredith A, Flecknell PA. BSAVA manual of rabbit medicine and surgery 2nd ed. In: Meredith A, Flecknell PA, editors. British Small Animal Veterinary Association. UK: Blackwell Publising; 2006. p. 44‒49.
  3. Marco I, Cuenca R, Pastor J, et al. Hematology and serum chemistry values of the european brown hare. Clin Pathol. 2008;32(4):195‒198.
  4. Harcourt-Brown F. Anaesthesia and analgesia. In: Harcourt-Brown F, editor. Textbook of Rabbit Medicine. UK: Elsevier; 2004. p. 121‒139.
  5. Piermattei DL, Flo GL, DeCamp CE. Fractures of radius and ulna. In: Fathman L, Stringer S, editors. Handbook of small animal orthopedics and fracture repair. 4th ed. US: St. Louis, Missouri. Saunders; 2006. p. 359‒381.
  6. Massanyi P, Slamečka J, Lukač N, et al. Seasonal variations in the blood bichemistry of brown hare. Medycyna weterynaryjna. 2009;65(6):389‒93.
  7. Andreasen CB, Roth JA. Neutrophil functional abnormalities. In: Weiss DJ, Wardrop KJ, editors. Schalm's veterinary hematology. 5th ed. UK:Lippincott Williams & Wilkins, 2009. p. 356‒365.
  8. Loeb FW. Clinical biochemistry of laboratory rodents and rabbits. In: Kaneko JJ, editors. Clinical biochemistry of domestic animals. 5th ed. San Diego, London, Boston, New York, Sydney, Tokio, Toronto, US: Academic press; 1997. p. 846‒854.
Creative Commons Attribution License

©2015 Pecin, et al. This is an open access article distributed under the terms of the, which permits unrestricted use, distribution, and build upon your work non-commercially.