Submit manuscript...
Journal of
eISSN: 2377-4312

Dairy, Veterinary & Animal Research

Case Report Volume 9 Issue 6

Pathological diagnosis of infectious bursal disease in 24 weeks old vaccinated commercial laying hens in Kagarko, Nigeria: a case report

Ogbe AO,1 Audu Z,2 Kwaja EZ3

1Department of Veterinary Medicine, Faculty of Veterinary Medicine, University of Abuja, Nigeria
2Department of Animal Production & Health, Faculty of Vet. Medicine, University of Abuja, Nigeria
3Department of Vet. Public Health & Preventive Medicine, Faculty of Vet. Medicine, University of Abuja, Nigeria

Correspondence: Adamu O Ogbe, Department of Veterinary Medicine, Faculty of Veterinary Medicine, University of Abuja, Nigeria

Received: October 20, 2020 | Published: December 21, 2020

Citation: Ogbe AO, Audu Z, Kwaja EZ. Pathological diagnosis of infectious bursal disease in 24 weeks old vaccinated commercial laying hens in Kagarko, Nigeria: a case report. J Dairy Vet Anim Res. 2020;9(6):172-176. DOI: 10.15406/jdvar.2020.09.00300

Download PDF

Abstract

Infectious bursal disease (Gumboro disease) was diagnosed in 24 weeks old vaccinated commercial laying hens. Clinical signs observed were severe depression, greenish-white diarrhea and high mortality. Postmortem findings observed were ruffled feathers, congestion of the lungs, enlarged kidneys, enlarged spleens, congested ovarian follicles, pale livers, haemorrhages of the mucosa of the proventriculus and ventricular junction, enlarged, oedematous and haemorrhagic bursa of Fabricius and haemorrhages of caecal tonsils. Histopathology findings showed severe congestion of kidneys, presence of red blood cells in the interstitial spaces, tubular degenerative necrosis with dissolution of nuclear material, glomerular atrophy and increase in capsular spaces. There was severe follicular inflammation of the bursa of Fabricius evident by massive presence of inflammatory cells. Infectious bursal disease was diagnosed based on the gross pathological and histopathological findings. King herbs was administered for 5 days at dose rate 2ml/L in the birds drinking water ad-lib and the client was advised to isolate and treat the sick birds with the drug and to enforce strict biosecurity measures. There was no mortality after the treatments.

Keywords: gumboro disease, Gross pathology, histopathology, laying hens

Introduction

Infectious bursal disease (IBD), also known as Gumboro disease, infectious avian nephrosis, or avian infectious bursitis is caused by IBD virus (IBDV), belonging to the genus Avibirnavirus in the family Birnaviridae, a non-enveloped icosahedral virus with a bi-segmented double-stranded ribonucleicacid (RNA) genome.1,2 Two IBD serotypes were identified on the basis of lack of cross-neutralization.3 These are serotype 1-IBDV, which causes IBD (Gumboro disease) and serotype 2-IBDV, a non-pathogenic IBD virus. Most of the problems associated with the control of IBD (Gumboro disease) are due to the changing properties of the IBDV.4 The infected chickens discharge large quantities of IBD virus in their faeces thereby contaminating the poultry farm environment.5

Infectious bursal disease is transmitted mainly by ingestion of contaminated feed and water. IBDV can also persist in contaminated farms and premises for long durations because it can withstand harsh environmental conditions.6 Mechanical spread by rats, pigeons, guinea fowls and dogs has been reported.7 The incubation period is usually 3 to 5 days by both intra ocular and contact exposure.8,9 It usually starts with a drop of feed intake (anorexia) and water consumption followed by drooping wings, sleepiness and later prostration and mortality of birds.

In Nigeria and other countries where very virulent strains (vvIBDV) exist, the mortalities are usually high and could approach 50-100% in pullets, cockerels and local chickens with upto 70% of the total mortalities occurring by third or fourth day of appearance of clinical signs, which do not last more than 5-7 days.4 Prevention and control of IBD is by vaccination of chickens supported by proper biosecurity measures. Despite vaccinations to prevent the disease, outbreaks of the disease still occurred in vaccinated and non-vaccinated laying chickens in Nigeria.10–12 Many reasons have been suggested for the poor responses to vaccination. These include poor hygiene, poor storage and handling of live vaccines and stress of transportation on chicks. This study aims at evaluating the pathological changes that occurred in infectious bursal disease in Lorman brown laying hens in Kagarko, Nigeria.

Case report

Case history

A case of 31 mortalities of 24 weeks old hens from a flock of 5,000 commercial laying chickens was reported to the Avian Clinic of the Veterinary Teaching Hospital (VTH), Abuja on 10th December, 2018. History revealed that mortality of 6 and 9 was observed 2 days earlier and they were treated with doxycycline (2g/L), vitamin C (1g/5L) and virucine (2ml/L) in drinking water for 3 days.

The chickens were procured from a commercial hatchery in Kaduna State, Nigeria as day old chicks and brooded on deep litter and later transferred into battery cage at 15 weeks of age. They were fed ad-lib with chick mash (1–8 weeks of age), grower mash (9–21 weeks of age), pre-layer mash for 2 weeks at point of lay to attainment of 5% egg production and later changed to layers mash. A borehole on the farm serves as the source of drinking water.

Further history revealed that IBD (Gumboro disease) vaccine was administered (1st and 2nd Dose) at 1 and 3 weeks of age in drinking water, Newcastle disease vaccine (LaSota) at 2 and 4 weeks of age in drinking water, Fowl pox vaccine at 5 weeks of age by wing web, Komarov at 8 weeks of age by intramuscular injection and a combination of Newcastle disease + infectious bronchitis + egg drop syndrome vaccines via intramuscular injection at 15 weeks of age.

Diagnostic plans

  1. Poultry farm visit to perform physical examination of the flock and farm premises.
  2. Perform rapid diagnostic test against Newcastle disease (ND) and avian influenza (AI).
  3. Perform post mortem examination to determine the cause of mortalities in the flock.
  4. Collection of organs and tissue samples for histopathology laboratory examination.

Farm visit

Physical examination: The laying hens were on battery cage system in an open-sided poultry house. Clinical signs observed were severe depression, greenish-white diarrhea and mortalities.

Rapid diagnostic test: Results of rapid test scan of cloacae swab were negative against Newcastle disease (ND) and avian influenza (AI), respectively.

Post-mortem examination

Post-mortem examination was conducted and gross lesions observed were recorded. Photographs of lesions were taken using Techno-C8 (13.0 megapixel) and tissues were collected from the kidneys, bursae and spleens and fixed in 10% formalin for routine histopathological examination by embedding in paraffin, sectioning at 5 micrometer and staining with haematoxylin and eosin (H & E) for microscopic examination under varying magnification according to standard procedure.13

Data collected and analysis

The observed gross lesions on the organs and tissues of each carcass were properly recorded and analysed using descriptive statistic and expressed in percentages as described by Ogbe et al.14

Results

Physical appearance of the flock

Physical clinical examination of the flock showed clinical signs of depression and high mortality evident by the presence of carcasses (0.6%) found at the time of the visit to the farm. All the live laying hens were housed in a battery cage system.

Gross pathology findings

The gross lesions observed were ruffled feathers (20%), slightly enlarged heart (10%), congested lungs (40%), enlarged kidneys (20%), paleness of the liver (20%), enlarged spleen (50%), congested ovarian follicles (50%), haemorrhages of the mucosa of the proventriculus and ventricular junction (100%), enlarged and oedematous bursae (70%), severely haemorrhagic bursae (50%) and haemorrhagic caecal tonsils (70%) (Figures 1–6).

Figure 1 Paint-brush intramuscular haemorrhages of the leg and thigh muscles (Black arrow).

Figure 2 Petechial haemorrhages of the breast muscles (Black arrow) and ecchymotic (Blue arrow).

Figure 3 (a) Severe haemorrhages of the bursa of Fabricius (Black arrow).

Figure 3 (b) Enlarged and severely haemorrhagic bursa of Fabricius (Black arrow).

Figure 3 (c) Enlarged and oedematous bursa of Fabricius (Black arrow).

Figure 4 Haemorrhagic mucosa of proventriculus and ventricular junction (Black arrow).

Figure 5 Grossly enlarged spleens (Black arrow) and bursa of Fabricius (Blue arrow).

Figure 6 Petechial haemorrhages of mucosa of the caecal tonsil (Black arrow).

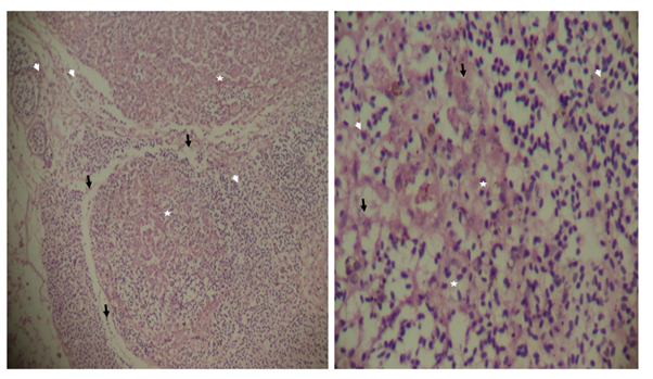
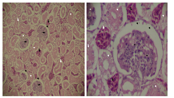
Histopathology finding

Histopathological changes in the kidneys and bursa are showed on the micrographs (Figure 7&8). The micrographs of the kidneys showed severe congestion evident by the heavy presence of red blood cells within the interstitial spaces (as shown by the white arrows on Figure 7). The white arrow heads showed tubular degeneration (necrosis) and the black arrow heads indicates glomerular atrophy and increase in capsular spaces. The glomeruli (black stars) appear congested and the white stars are vascular ploes. These findings showed that infectious bursal disease (IBD) has pathological effect on the kidneys, thus the disease was formerly known as avian infectious nephrosis due to the effects on the kidneys.

Figure 7 Severe congestion of kidneys evident by heavy presence of red blood cells (white arrows) within the interstitial spaces. Tubular degeneration (necrosis) observed by the dissolution of nuclear material (white arrowheads). There is glomerular atrophy and increase in capsular spaces (black arrowheads). The glomeruli (black stars) appear congested and degenerated. White stars are vascular poles. H&E A: X100 B: X400.

Histopathological changes in the bursa of Fabricius showed severe follicular inflammation of the bursa evident by the massive presence of inflammatory cells within the bursal follicles (as shown by the white arrow heads on Figure 8). The black arrow heads showed that there was loss of connective tissue due to degeneration of the lamina propria and atrophy of the bursa. These histopathological findings of inflammation and cellular infiltration of the bursa showed the effect of IBD, thus the disease was also referred to as infectious bursitis due to the inflammation of the bursa of Fabricius (Figure 7&8).

Figure 8 Severe follicular inflammation of Bursar evident by the massive presence of inflammatory cells (white arrowheads) within the follicles. There is massive loss of tissue morphology evident by loss of tissue components. There is lamina propria degeneration and atrophy evident by the loss of connective tissue(black arrows) surrounding the follicles.H&E A: X100 B: X400.

Treatments

King herb–containing herbal extract was administered at the dose rate of 2 ml/L of drinking water for seven consecutive days.

Recommendations

The client was advised to isolate the apparently sick birds and to administer the drug orally using syringe without needle and to introduce foot dip (sanitizer) at the entrance of the poultry house as a form of biosecurity measure (Figure 9).

Figure 9 Percentage (%) mortality of laying hens on days 3 – 5 and spiking mortality on day 4.

Discussion and conclusion

Infectious bursal disease (IBD) was reported in several outbreaks in vaccinated and non-vaccinated laying chickens in Nigeria.10–12 The disease is common in young chickens 3-8 weeks of age but outbreaks affecting up to 20 weeks old adult birds have also been reported.15,16 In the case reported here, the layers were 24 weeks old indicating this age group is also susceptible to infectious bursal disease. The inflammation and cellular infiltration in the bursa and destruction of B-lymphocytes or cloacal-bursa by the IBD virus may result in severe immunosuppression (evident by the depression of the birds). Immunosuppression can lead to increased susceptibility to other diseases.17

In the case here, a post-mortem diagnosis of infectious bursal disease was made based on the gross pathological lesions of petecchial and ecchymotic haemorrhages of the thigh and pectoral muscles, severely enlarged and haemorrhagic bursa of Fabricius, haemorrhagic mucosa between the proventriculus and ventricular junction and the haemorrhagic caecal tonsils. Similar gross lesions of petechial and ecchymotic or paint-brush haemorrhages on pectoral (breast) muscles, haemorrhages of the thigh muscles, haemorrhages of mucosa of the proventriculus and ventricular junction, haemorrhages of the caecal tonsils and bursa of Fabricius were reported in infectious bursal disease by others.18,19

In the case here, histopathological changes of inflammation and cellular infiltration were observed in the bursa and kidneys. Histopathological changes in the bursa was reported earlier and said to be diagnostic for infectious bursal disease (IBD).4 Pathological diagnosis of IBD was made in this case based on the gross pathological lesions and histopathological changes in the bursa and kidneys of the affected laying hens.

IBD is a viral disease that has no treatment but antibiotic and vitamins are used to prevent secondary bacterial infection and to improve resistance of birds. In the case here, the birds were treated with King Herbs for 5 consecutive days and mortality was arrested at the end of the treatment coinciding with the recovery of the birds from the disease course (Figure 9). The treatment commenced on day 3 and ended day 7 and by day 8 there was no mortality recorded (Figure 9). The highest mortalities recorded were on days 3-5 with spiking mortality on day 4. In conclusion, there is need to evaluate the potential benefits of King Herbs (antiviral drug) used in the control of infectious bursal disease of chickens in Nigeria.

Acknowledgments

None.

Conflicts of interest

The authors declared that there is no conflict of interest.

References

  1. Dobos P, Hill BJ, Hallet R, et al. Biological and biophysical characterization of five animal viruses with bisegmented double–stranded RNA genomes. Journal of Virology. 1979;32:593–605.
  2. Pringle CR. The universal system of virus taxonomy updated to include the new proposals ratified by the International Committee on the taxonomy of Viruses during 1998. Archives of Virology. 1999;144:421–429.
  3. McFerran JB, McNulty MS, McKillop ER, et al. Isolation and Serological studies with infectious bursal disease virus from fowl, turkey and ducks: demonstration of a second serotype. Avian Pathology. 1980;9(3):395–404.
  4. Okoye JOA. The changing faces of infectious bursal disease and the problems in its surveillance and control. Zaria: Proceedings of the Workshop on Improved Disease Diagnosis, Health, Nutrition and Risk Management Practices in Poultry Production Efficiency; organized by the Department of Veterinary Surgery and Medicine & Vet. Teaching Hospital, ABU; 2005. P. 22–34.
  5. Takashe K, Nonaka F, Fukuda T, et al. Recovery of virus from faeces and tissues of chicks infected with cell culture adapted infectious bursal disease virus. Japanese Journal of Vet. Science. 1982;44:207–211.
  6. Okoye JOA. Infectious bursal disease in vaccinated flocks in Nigeria. Bulletin of Animal Health and Production in Africa. 1984;32:193–196.
  7. Pages–Mante A, Torrents D, Maldonado J, et al. Dogs as potential carriers of infectious bursal disease virus. Avian Pathology. 2004;33:205–209.
  8. Okoye JOA, Aba–Adulugba EP. Comparative study of the resistance or susceptibility of local Nigerian and exotic chickens to infectious bursal disease. Avian Pathology; 1988;27:168–173.
  9. Okoye JOA, Aba–Adulugba EP, Ezeokonkwo RC, et al. Susceptibility of local Nigerian and exotic chicks to infectious bursal disease by contact exposure. Tropical Animal Health and Production. 1999;31:75– 81.
  10. Abdu PA. An outbreak of Gumboro disease in a vaccinated flock in Zaria. Zariya Veterinarian. 1986;1:40–41.
  11. Abdu PA. Infectious bursal disease; immunization failures in chickens in Nigeria. Tropical Anim. Hlth & Prod. 1986b;18:123–125.
  12. Abdu PA, Umoh JU, Abdullahi SU, et al. Infectious bursal disease (Gumboro) of chickens in Nigeria. Tropical Veterinarian. 2001;19(4):216–236.
  13. Bancroft JD, Cook HC. Manual of Histological Techniques and their Diagnostic Application. London: Churchill Livingstone; 1994. p; 289–305.
  14. Ogbe AO, Abalaka SE, Adamu AM, et al. Mixed natural Escherichia coli, Staphylococcus aureus and Streptococcus spp. Infections in Suspected case of Fatty Liver Haemorrhagic Syndrome in Commercial Laying Hens in Masaka, Nigeria. J Dairy Vet Anim Res. 1989;8(1):55–59.
  15. Okoye JOA, Uzoukwu M. An outbreak of infectious bursal disease among chickens between 16–20 weeks old. Avian Diseases. 1981;25:1034–1038.
  16. Durojaiye OA, Ajibade HA, Olafimiham GO. An outbreak of infectious bursal disease in 20–week old birds. Tropical Veterinarian. 1984;2:175–176.
  17. Okoye JOA, Shoyinka SVO. Newcastle disease in vaccinated flock which had experienced subclinical infectious bursal disease. Tropical Animal Health and Production. 1983;16:221–224.
  18. Okoye JOA, Uzoukwu M. Characterization of Nigerian strains of infectious bursal disease virus of chickens. Histopathological changes occurring in field outbreaks. Bulletin of Animal Health and Production in Africa. 1982;30:185–191.
  19. Okoye JOA, Uzoukwu M. Histopathogenesis of infectious bursal disease in the bursa of Fabricius. Tropical Veterinarian. 1984;2:91–96.
Creative Commons Attribution License

©2020 Ogbe, et al. This is an open access article distributed under the terms of the, which permits unrestricted use, distribution, and build upon your work non-commercially.