Submit manuscript...
Journal of
eISSN: 2377-4312

Dairy, Veterinary & Animal Research

Case Report Volume 12 Issue 1

Pulmonary hypertension in dog: Case report

Paolo Ruggero Errante

Clínica Veterinária Reino Animal, São Paulo, Brazil

Correspondence: Paolo Ruggero Errante, Clínica Veterinária Reino Animal, Avenida José Maria Whitaker, 1650. Planalto Paulista, São Paulo, SP, Brazil

Received: March 25, 2023 | Published: April 4, 2023

Citation: Errante PR. Pulmonary hypertension in dog: Case report. J Dairy Vet Anim Res. 2023;12(1):29-33 DOI: 10.15406/jdvar.2023.12.00319

Download PDF

Abstract

The pulmonary hypertension in dogs is a progressive and serious disease, characterized by abnormal and persistent increase of pressure in pulmonary vasculature and pulmonary artery pressure (>25-30mmHg). Clinical signs of pulmonary hypertension are usually nonspecific and discrete, which leads to a delay in diagnosis. When signs are observed, they are related with the respiratory and cardiovascular tract, where the animal may present dyspnea, tachypnea, respiratory distress, syncope, cough and cyanosis. This case report describes a female dog with 12 year-old, Shih-Tzu breed that presented pulmonary hypertension associated with heart disease, infection and suspected of hyperadrenocorticism.

Keywords: pulmonary hypertension, dogs, cardiopathy. infection, doppler echocardiography

Introduction

The pulmonary hypertension is defined as an abnormal and persistent elevation of pulmonary arterial pressure, with pulmonary arterial pressure result of interactions between pulmonary blood flow, vascular impedance and post-capillary pressure. The pulmonary hypertension can be primary or secondary to differents pulmonary or cardiovascular system abnormalities, as well as in cases of systemic inflammatory reaction, infectious disease, drugs or toxins.1

The pulmonary hypertension can be classified in arterial pulmonary hypertension when it causes alterations in the arterial vascular bed of the lung; or in venous pulmonary hypertension associated to post-capillary alterations associated with left heart disease.2

The clinical presentation of pulmonary hypertension in dogs includes clinical signals of cyanosis, cough, dyspnea, syncope and in some dogs may have a history of exercise intolerance. During the physical examination of dogs, pulmonary auscultation may reveal the presence of crackles and wheezing, in addition to tachycardia and pulmonary edema. Heart murmurs of varying degrees can be observed when ocours insufficiency of tricuspid, mitral or pulmonary valves.1,3

The diagnosis of pulmonary hypertension in dogs is based on clinical signs observed on physical examination associated with complementary tests such as laboratory tests, gasometry and oximetry, electrocardiography, chest radiography and doppler echocardiography.1,2

Case report

An animal of canine species, 12 years old, female, Shih-Tzu breed, whit four kilos of weight was attended. The tutor mentions the beginning of purulent nasal discharge 20 days ago, where she was atendet by other veterinary who prescribed amoxicillin+potassium clavulanate 50mg twice daily and omeprazole 4 mg once daily orally. After 10 days of treatment, there was no improvement in the clinical picture of nasal secretion, and it was decided to perform a culture of material obtained from nasal secretion, with growth of Pasteurella sp. sensitive to amoxicillin+clavulanate, ceftriaxone, ampicillin, azithromycin, doxycycline and trimethoprim-sulfamethoxazole.

At the emergency room, the female dog was prostate, with respiratory effort, cyanotic mucous membranes and with the presence of abundant purulent bilateral nasal secretion. In the physical assessment, temperature (38.40C), capillary refill time (1 second) and heart rate (130bpm) were checked, with the presence of a discrete heart murmur. The respiratory detected rate was 50mpm, and the pulmonary auscultation and percussion revealed the presence of rales and discreet crepts. The systemic blood pressure detected at the moment of consult was 132mmHg, with blood oxygen saturation 85-92%, blood glucose 87 mg/dL and lactate dosage 1.1mmol/L.

The electrocardiogram was realized, and in the T-Fast electrocardiogram, there were few B lines in the right hemithorax and moderate in the left. A-Fast not performed due to positioning intolerance.

An blood amostre was collected for venous blood gas analysis, complete blood count and serum biochemistry, and have also been made performance of chest X-ray, doppler echocardiography and abdominal ultrasound. The complete blood count verified the presence of moderate microcytic and hypochromic anemia and leukocytosis (29.60 thousand/mm³; normal value between 6.0 to 16.0 thousand/mm³) with a shift to the left, urea of 70.60 (normal value between 10.0 to 60.0mg/dL), ALT 168.00 (normal value between 10 to 100 IU/L), alkaline phosphatase 214.00 (normal value between 23 to 212 IU/L), cholesterol 384.00 (normal value between 110 to 320mg/dL) and triglycerides 243.00 (normal value between 10 to 100mg/dL).

Arterial blood gases showed severe hypoxemia with hypocapnia, and the female dog was kept in oxygen therapy in an incubator with an inspired oxygen concentration between 40 and 50%. An venous access was fixed in the right forelimb and Ringer's lactate fluid therapy was started at a rate of 2ml/kg/h and KCl replacement was maintained. Intravenous furosemide 2mg/kg was administered. In the chest X-ray was observed an overall increase in the cardiac silhouette with dorsal displacement of trachea (Figure 1).

Figure 1 Right lateral (A) and dorsoventral (B) chest radiography. Radiography pictures demonstrating global enlargement of the cardiac silhouette, dorsal displacement of the thoracic tracheal path and caudal main bronchi.

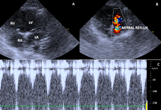
The echodoplercardiogram showed changes in the tricuspid (Figure 2), mitral (Figure 3) and pulmonary (Figure 4) valves. Due to the presence of pulmonary artery pressure greater than 25-30mmHg (35 mmHg), a diagnosis of pulmonary hypertension was definided.

Figure 2 Echocardiographic image showing right parasternal short-axis view of tricuspid valve. A. Tricuspid valve with degenerated appearance of the leaflets. B. Doppler study and color flow mapping showing moderate valve insufficiency. C. Spectral doppler tracing of tricuspid valve regurgitation.

Figure 3 Echocardiographic image showing right parasternal short-axis view of the mitral valve. A. Mitral valve with normal appearance and movement of its valves. B. Doppler study and color flow mapping showing severe valve insufficiency. C. Spectral doppler tracing with mitral valve regurgitation.

Figure 4 Echocardiographic image showing right parasternal short-axis view of the pulmonary valve. A. Pulmonary valve with normal appearance and movement of its valves. B. Doppler study and color flow mapping showing mild valve regurgitation. C. Spectral doppler tracing with pulmonary valve regurgitation.

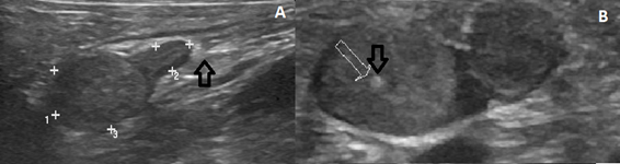
 Abdominal ultrasound showed the presence of nodular images associated with the right and left adrenal glands (Figure 5). Although hyperadrenocorticism was suspected, baseline cortisol measurement was not performed since serum cortisol levels fluctuate throughout the day. Due to the severe clinical condition, the dexamethasone suppression test and adrenocorticotropic hormone (ACTH) stimulation test were not performed.

Figure 5 Abdominal ultrasound. A. Right adrenal gland (1.9cm long x 0.37cm thick at caudal pole x 1.0cm thick at cranial pole) with bulging cranial pole due the presence of hyperechogenic and slightly coarse nodulation (1.1cm x 0.97cm, arrow). B. Left adrenal gland with usual shape, curved contours and poles (2.0cm length x 0.72cm thickness at caudal pole x 0.84cm thickness at cranial pole) presence of hyperechogenic and slightly coarse nodulation (1.1cm x 0.82cm and 0.75 cm) at caudal pole (arrow).

After 48 hours of hospitalization, the female dog was very prostrate, unable to stand up, with no proprioception in all limbs and spasticity of thoracic limbs. During this period, she was maintained in a good breathing pattern in oxygen therapy in an incubator with an inspired oxygen concentration between 40 and 50%, but upon weaning from oxygen, she again presented dyspnea, tachypnea, cyanotic mucous membranes and persistent oxygen saturation of 85-88%.

During this period the female dog was maintained in fluid therapy with Ringer's lactate at a rate of 2ml/kg/hour with administration of furosemide 1mg/kg intravenous, ceftriaxone 50mg/kg every 12 hours intravenous, burtorphanol 0.3mg/kg every 12 hours intramuscularly and sildenafil 25mg every 8 hours orally. In view of the clinical picture and unfavorable prognosis, the tutor opted for the patient's euthanasia.

Discussion

The pulmonary hypertension in dogs is characterized by abnormal and persistent elevation of pressure in the pulmonary vasculature and pulmonary artery pressure (≥ 25 mmHg).1 Because the pulmonary hypertension in dogs is a progressive and serious disease whose clinical signs are usually nonspecific and discreet, its diagnosis is usually delayed. When these signals and symptoms are present, dogs may experience dyspnea, tachypnea, respiratory distress, syncope, cough, and cyanosis.4 The patient described in this case report had an upper airway infection, which masked the symptoms of respiratory distress and cyanosis of the mucous membranes related to arterial hypertension.5

The diagnosis of pulmonary hypertension in dogs is based on the clinical signs observed in the physical examination, which must always be associated with laboratory tests, gasometry and oximetry, electrocardiogram, chest X-ray and Doppler echocardiography.1,2

In the patient of the case report, a change in the blood count was verified, with the presence of normocytic and hypochromic anemia and leukocytosis due to the severe infectious condition, demonstrating the need for intravenous antibiotic therapy.

The gasometry is indicated to assess the severity of abnormalities in gas exchanges in patients with suspected pulmonary hypertension, since pulse oximetry only provides an estimate of lung function, and values lower than 95% indicate the need to perform an arterial gas analysis to reliably determine arterial oxygenation.1 Since arterial blood gas analysis showed severe hypoxemia with hypocapnia, the patient was kept in an oxygen incubator.

The electrocardiogram did not show major alterations suggestive of pulmonary hypertension, as did the chest X-ray, which showed an overall increase in the size of the heart. The electrocardiographic or radiographic changes alone not provide the diagnosis of pulmonary hypertension.1,6

The female dog in the case report during doppler echocardiography showed alterations in the tricuspid, mitral and pulmonary valves, with the presence of systolic pressure of 35mmHg, defining the condition of pulmonary hypertension. The doppler echocardiography is the choice method of diagnosis pulmonary hypertension, as it allows non-invasive measurement of blood pressure.7,8 The pulmonary artery pressure in healthy animals is approximately 20-25 mmHg during systolic and 6-10 mmHg in diastole. Pulmonary hypertension is identified by systolic pressure greater than 25-30 mmHg and mean pressure around 20 mmHg.1,2 The right heart catheterization is the standard test in humans to diagnose pulmonary hypertension.9 However, in veterinary medicine, this method is not widely used, due to the need sedation of the patient, which can worsen the clinical condition of the animal.

The abdominal ultrasonography indicated the presence of structural changes in the adrenal glands, which together with increased serum levels of cholesterol, triglycerides and alkaline phosphatase suggested a picture of hyperadrenocorticism. However, due to the severity of the clinical picture, the animal was not submitted to the dexamethasone suppression tests and adrenocorticotropic hormone (ACTH) stimulation test. Its diagnosis of exclusion is important, since hyperadrenocorticism in dogs can lead to the appearance of respiratory symptoms suggestive of pulmonary involvement.10

The goals of treating dogs with pulmonary hypertension are to improve clinical signs, decrease pulmonary pressure and right ventricular overload, reducing the disease progression, promoting longer survival and improved quality of life.1,2

However in veterinary medicine of small animals, treatment varies according to the clinical signs presented by patient. Normally are used diuretic drugs such as furosemide11, vasodilators12, phosphodiesterase inhibitors (pimobendan and sildenafil),13,14 angiotensin-converting enzyme inhibitors (benazepril)15 and calcium channels blokers (amlodipine besylate).16 Oxygen therapy is also an important adjuvant in the treatment of pulmonary hypertension.1,2

The sildenafil is the most used drug in the routine of medical clinics of small animals to control pulmonary hypertension in dogs17, acting such as inhibitor of phosphodiesterase type 5, which promote increased concentrations of cyclic guanosine monophosphate (cGMP) and vasodilation mediated by production of nitric oxide. The therapeutic dose used ranges from 0.5 to 3.0mg/kg once, twice or even three times a day orally.18 But in this case report this beneficial effect was not sufficient to better the clinical signals.

Conclusion

Pulmonary hypertension is a serious disease that affects dogs, leading to a very low survival rate after its diagnosis. Cardiac alterations associated with systemic infections may complicate the favorable evolution of clinical case. There is no effective treatment for the management of disease, and the treatment is based on palliative support to promote a better quality of life for the patient.

Acknowledgments

None.

Conflicts of interest

Author declares there is no conflict of interest in publishing the article.

Funding

None.

References

  1. Reinero C, Visser LC, Kellihan HB, et al. ACVIM consensus statement guidelines for the diagnosis, clsssification, treatment, and monitoring of pulmonary hypertension in dogs. J Vet Intern Med. 2020;34(2):549–573.
  2. Kellihan Hb, Stepien RL. Pulmonary hypertension in dogs: diagnosis and therapy. Vet Clin North Am Small Anim Pract. 2010;40(4):623–641.
  3. Paradies P, Spagnolo PP, Amato ME, et al. Doppler echocardiographic evidence of pulmonary hypertension in dogs: a retrospective clinical investigation. Vet Res Commun. 2014;38(1):63–71.
  4. Kellihan HB, Stepien RL. Pulmonary hypertension in dogs: diagnosis and therapy. Vet Clin North Am Small Anim Pract. 2010;40(4):623–641.
  5. Toom ML, Dobak TP, Broens EM, et al. Interstitial pneumonia and pulmonary hypertension associated with suspect ehrlihiosis in a dog. Acta Vet Scand. 2016;58(1):46.
  6. Wang M, Hu Y, Guo B, et al. Simulation of acute pulmonary hypertension in Beagle dogs. Int Heart J. 2022;63(3):612–622.
  7. Paradies P, Spagnolo PP, Amato ME, et al. Doppler echocardiographic evidence of pulmonary hypertension in dogs: a retrospective clinical investigation. Vet Res Commun. 2014;38(1):63–71.
  8. Visser LC, Wood JE, Johnson LR. Survival characteristic and prognostic importance of echocardiographic measurement of right heart size and function in dogs with pulmonary hypertension. J Vet Intern Med. 2020;34(4):1379–1388.
  9. Baranska-Pawelczak K, Wojciechowska C, Jachec W. Diagnostic and predicitive value of right heart cataherization-derived measurentes in pulmonary hypertension. Wiad Lek. 2012;74(3 cz1):546–553.
  10. Burns MG, Kelly AB, Hornof WJ, et al. Pulmonary artery thrombosis in three dogs with hyperadrenocorticism. J Am Vet Med Assoc. 1981;178(4):388–393.
  11. Slutsky RA, Olson LK, Dittrich HC. Furosemide during sustained left atrial hypertension in functionally anephric dogs: intravascular and extravascular pulmonary fluid volumes. J Surg Res. 1985;38(3):216–223.
  12. Suzuki R, Yuchi Y, Saito T, et al. Beraprost sodium for pulmonary hypertension in dogs: effect on hemodynamics and cardiac function. Animals (Basel). 2022;12(16):2078.
  13. Morita T, Nakamura K, Osuga T, et al. Acute effects of intravenous pimobendan administration in dog model of chronic precapillary pulmonary hypertension. J Vet Cardiol. 2020;32:16–27.
  14. Akabane R, Sato T, Sakatani A, et al. Pharmacokinetics of single dose sildenafil orally administred in canine models of chronic embolic pulmonary hypertension. J Vet Med Sci. 2020;82(4):446–451.
  15. King JN, Christinaz C, Strehlau G, et al. Effect of benazepril and pimobendan on serum angiotensin-converting enzyme activity in dogs. J Vet Pharmacol Ther. 2018;41(3):485–489.
  16. Choi HI, Kim J, Shin IS, et al. Comparative efficacy of antihypertensive drugs in dogs: a systematic review. J Top Companion Anim Med. 2022;50:100674.
  17. Brown AJ, Davison E, Sleeper MM. Clinical efficacy of sildenafil in treatment of pulmonary arterial hypertension in dogs. J Vet Intern Med. 2010;24(4):850–854.
  18. Johnson LR, Stern JÁ. Clinical features and outcome in 25 dogs with respiratory-associated pulmonary hypertension treated with sildenafil. J Vet Intern Med. 2020;34(1):65–73.
Creative Commons Attribution License

©2023 Errante. This is an open access article distributed under the terms of the, which permits unrestricted use, distribution, and build upon your work non-commercially.