Submit manuscript...
Journal of
eISSN: 2373-6453

Human Virology & Retrovirology

Case Report Volume 10 Issue 3

Abdominal viscera in the thoracic cavity: a case of large Bochdalek hernia in an adult

Adel Zeinalpour, Hamed Ebrahimibagha, Mohammadhosein Ehsani, Matin Jamalian

Department of General Surgery, Shahid Beheshti University of Medical Sciences, Iran

Correspondence: Hamed Ebrahimibagha, Department of General Surgery, Shahid Beheshti University of Medical Sciences, 7th Floor, Bldg No.2 SBUMS, Arabi Ave, Daneshjoo Blvd, Velenjak, Tehran, Iran, Post Code 19839-63113, Tel +98 2122439770

Received: November 21, 2023 | Published: December 18, 2023

Citation: Zeinalpour A, Ebrahimibagha H, Ehsani M, et al. Abdominal viscera in the thoracic cavity: a case of large Bochdalek hernia in an adult. J Hum Virol Retrovirol. 2023;10(3):69-71. DOI: 10.15406/jhvrv.2023.10.00270

Download PDF

Abstract

Introduction: Bochdaleck hernias (BH) are a congenital defect in the diaphragm's postero lateral part that may cause the abdominal viscera's protrusion into the chest cavity. This type of hernia is rare in adults. Most cases are referred to the emergency department with gastrointestinal obstruction and visceral strangulation symptoms.

Case presentation: A 50-year-old man was referred to the emergency department complaining of abdominal pain in the left upper quadrant, intermittent vomiting, and pain in the left hemithorax from one day ago. We found a large diaphragmatic hernia on the left side during evaluation, which causes intra-abdominal organ shift to the left hemithorax. The patient underwent surgery for diaphragmatic herniorrhaphy.

Conclusion: Congenital diaphragmatic Bochdaleck hernias are rare and are associated with nonspecific symptoms in adults. They may be symptom-free during the patient's life as in our case. It is necessary to investigate more cases and long-term follow-ups of patients, to improve the diagnosis and treatment of these patients.

Keywords: congenital diaphragmatic hernia, Bochdaleck hernia, abdominal viscera

Abbreviations

BH, Bochdaleck hernia; CDH, congenital diaphragmatic hernia; LUQ, left upper quadrant; LVEF, Left ventricular ejection fraction; ASD, atrial septal defect; VSD, ventricular septal defect

Introduction

The congenital diaphragmatic hernia (CDH) is categorized according to the location of the protrusion, containing in hiatal hernia, Morgagni-Larrey hernia, and Bochdaleck hernia.1 The Bochdaleck hernia (BH) is a congenital defect in the posterolateral part of the diaphragm that causes protrusion of abdominal viscera into the chest cavity.2 This pathological condition was first described by Bochdaleck in 1848.3,4 The condition occurs in 0.04% of all live births and causes pulmonary symptoms and life-threatening cardiorespiratory distress in infancy.4–6 BH often (85%) occurs on the left side of the diaphragm.7 This type of hernia is infrequent in adults and is usually asymptomatic and diagnosed incidentally in 5% of cases of abdominal and respiratory problems.7,8 In most cases, these patients come to the emergency department with gastrointestinal obstruction and visceral strangulation symptoms. So far, about 100 cases of BH in adults have been reported in the literature, but the exact prevalence is unknown.9–16 Here we wish to report a case of large BH with displacement of the kidney, spleen and part of the small intestine and colon into the left hemi-thorax in a 50-year-old man.

Case presentation

A 50-year-old man with Down Syndrome, who had a history of constipation and chronic abdominal pain, referred to the emergency department complaining of worsening abdominal pain in the left upper quadrant, intermittent vomiting, and pain in the left hemithorax from one day ago.

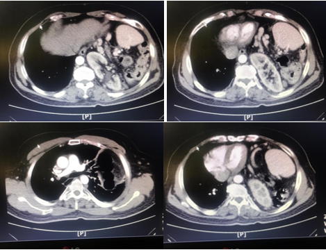
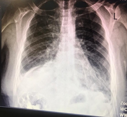
The patient has no history of major trauma or abdominal surgery, except for a history of trisomy 21 and left foot fracture, and is not taking any medication. At the emergency department, blood pressure was 125/75 mmHg, heart rate: 88 beats/min, O2 saturation: 92 %, respiratory rate: 18/min, and temperature: 37o C. The physical examination revealed abdominal tenderness in LUQ without rebound and guarding and reduced respiratory sound in the lower part of the left lung. The patient's ECG was normal. Abdominal and chest x-rays showed that the loops of the colon were located in the left hemithorax (Figure 1). In further examination, a computed tomography scan of the thorax and abdomen with oral and intravenous contrast revealed a large diaphragmatic hernia with a displacement of the left kidney, spleen, and parts of the small intestine and colon into the thoracic cavity (Figure 2). The patient had normal lab tests except WBC 10500 with PMN 85%. In echocardiography, LVEF was reported 45%, without ASD and VSD with moderate MR.

Figure 1 Loops of colon were located in the left hemithorax.

Figure 2 CT scan of the thorax and abdomen with oral and intravenous contrast.

The patient underwent surgery, and laparotomy was performed with an upper midline incision. The exploration showed a large defect measuring 10×15 cm in the posterolateral part of the left diaphragm, through which the left kidney, spleen, small intestinal loops, and part of the colon were displaced into the thoracic cavity. Adhesions were released, and all viscera were pulled down to the abdomen without any problem (Figure 3). The defect site was repaired with a dual mesh so that the mesh was sewn to the diaphragm and chest wall with 0-1 prolene suture with sufficient overlap. A 28-inch chest tube was inserted into the left thorax. The Postoperative chest X-ray is shown in Figure 4. The patient was in the ICU for 1 day after surgery and 3 days in the ward.

Figure 3 A large defect in the posterolateral part of the left diaphragm.

Figure 4 Postoperative chest X-ray.

Discussion

The Bochdaleck hernias (BH) is a congenital defect in the posterolateral part of the diaphragm that often (80-90%) occurs on the left side of the diaphragm and first described by Bochdaleck in 1848.17–19 It is caused by failure of closure of the pleuro-peritoneal duct in the 8th week of gestation, which causes a defect in the diaphragm and the entry of abdominal organs into the thoracic cavity.2,20 In 10-25% of cases, it is associated with chromosomal abnormalities.21

The most common viscera that enter into thorax are Omentum, splenic flexure of colon, stomach, and less commonly, spleen, small intestine, and kidney.18,22 The intrathoracic kidney associated with BH is rare, and its incidence has been reported to be less than 0.25%.23 The prevalence of BH in infants is 1/2500 live births, and most cases are diagnosed in infancy.24 The leading cause of diaphragmatic hernia in adults is trauma and damage to the phrenic nerve, and BH is rarely diagnosed in adults as the leading cause of the hernia. The outcome of BH in adults is better than in infancy.25,26

So far, about 100 cases of BH in adults have been reported in the literature, but the exact prevalence is unknown.9–16 In the studies on the corpse, its prevalence was reported 0.014-0.05%.4,6 The main symptom of BH in adults is chronic abdominal pain, but it can cause obstruction, strangulation, and rupture of the viscera, requiring urgent intervention.27,28 Initial diagnosis is given by chest x-ray, but CT scans with intravenous and oral contrast are used to evaluate in more detail.29,30

The treatment for this type of hernia is surgery to prevent complications. The choice of a surgical method for visceral reduction and diaphragm repair is still challenging among surgeons. The most common (38%) approach is laparotomy.31 Thoracotomy and minimally invasive procedures, including thoracoscopy and laparoscopy, are other surgical methods.32 The intra-thoracic kidneys, in comparison to other organs associated with BH, are usually mobile and are easily inserted into the abdomen.33 The diaphragm is repaired with non-absorbable sutures and is strengthened with the help of a prosthetic graft so that it is not torn over time by breathing movements. If the defect is large and the diaphragm edges do not meet or reach with tension, a PTFE graft or dual mesh is used for repair. There is a risk of visceral erosion if polypropylene mesh is used.30 The recurrence rate after all surgical procedures is low.22

Conclusion

Congenital diaphragmatic Bochdaleck hernias are rare associated with nonspecific symptoms in adults. Here we presented an adult with intra thoracic kidneys, spleen, small intestine and colon. To improve the diagnosis and treatment of these patients, it is necessary to investigate more cases and long-term follow-up of patients.

Funding

None.

Availability of data and material

The authors confirm that the data supporting the findings of this study are available within the article.

Code availability

Not applicable.

Authors' contributions

Adel Zeynalpour, Mohamadhosein Ehsani contributed to the study conception and design. Material preparation, data collection and analysis were performed by Adel Zeynalpour, Mohamadhosein Ehsani, Matin Jamalian, and Hamed Ebrahimibagha. The first draft of the manuscript was written by Adel Zeynalpour and all authors commented on previous versions of the manuscript. All authors read and approved the final manuscript.

Informed consent

Informed consent was obtained from all individual participants included in the study. Additional informed consent was obtained from all individual participants for whom identifying information is included in this article. All the participants agreed to publish and use their medical and surgical information and their follow-up photographs in this article.

Acknowledgments

None.

Conflicts of interest

The authors declare that the research was conducted in the absence of any commercial or financial relationships that could be construed as potential conflicts of interest.

References

  1. Mandhan P, Memon A, Memon AS. Congenital hernias of the diaphragm in children. J Ayub Med Coll Abbottabad. 2007;19(2):37–41.
  2. Schumpelick V, Steinau G, Schlüper I, et al. Surgical embryology and anatomy of the diaphragm with surgical applications. Surg Clin North Am. 2000;80(1):213–239.
  3. Sutedja B, Muliani Y. Laparoscopic repair of a Bochdalek hernia in an adult woman. Asian J Endosc Surg. 2015;8(3):354–356.
  4. Salacin S, Alper B, Çekin N, et al. Bochdalek hernia in adulthood: a review and an autopsy case report. J Forensic Sci. 1994;39(4):1112–1116.
  5. Mullins ME, Stein J, Saini SS, et al. Prevalence of incidental Bochdalek's hernia in a large adult population. AJR Am J Roentgenol. 2001;177(2):363–366.
  6. Nitecki S, Bar–Maor JA. Late presentation of Bochdalek hernia: our experience and review of the literature. Isr J Med Sci. 1992;28(10):711–714.
  7. Topor L, Pătrăncuş T, Caragaţa R, et al. Left congenital diaphragmatic hernia- case report. Chir (Bucur). 2015;110(1):84–87.
  8. Nayak HK, Maurya G, Kapoor N, et al. Delayed presentation of congenital diaphragmatic hernia presenting with intrathoracic gastric volvulus: a case report and review. BMJ Case Rep. 2012;2012:bcr2012007332.
  9. Gale ME. Bochdalek hernia: prevalence and CT characteristics. Radiology. 1985;156(2):449–452.
  10. Kanazawa A, Yoshioka Y, Inoi O, et al. Acute respiratory failure caused by an incarcerated right–sided adult Bochdalek hernia: report of a case. Surg Today. 2002;32(9):812–815.
  11. Perch P, Houck WV, DeAnda Jr A. Symptomatic Bochdalek hernia in an octogenarian. Ann Thorac Surg. 2002;73(4):1288–1289.
  12. Bujanda L, Larrucea I, Ramos F, et al. Bochdalek's hernia in adults. J Clin Gastroenterol. 2001;32(2):155–157.
  13. Kennedy R, Donaghy A, Ahmad J, et al. Portal hypertension and hypersplenism in a patient with a Bochdalek hernia: a case report. Ir J Med Sci. 2009;178(1):111–113.
  14. Chai Y, Zhang G, Shen G. Adult Bochdalek hernia complicated with a perforated colon. J Thorac Cardiovasc Surg. 2005;130(6):1729–1730.
  15. Cosenza U, Raschella G, Giacomelli L, et al. The Bochdalek hernia in the adult: case report and review of the literature. G Chir. 2004;25(5):175–179.
  16. Esmer D, Alvarez–Tostado J, Alfaro A, et al. Thoracoscopic and laparoscopic repair of complicated Bochdalek hernia in adult. Hernia. 2008;12(3):307–309.
  17. Haller J. Professor Bochdalek and his hernia: then and now. Prog Pediatr Surg. 1986;20:252–255.
  18. Clark RH, Hardin Jr WD, Hirschl RB, et al. Current surgical management of congenital diaphragmatic hernia: a report from the congenital diaphragmatic hernia study group. J Pediatr Surg. 1998;33(7):1004–1009.
  19. Zamir O, Eyal F, Lernau OZ, et al. Bilateral congenital posterolateral diaphragmatic hernia. Am J Perinatol. 1986;3(1):56–57.
  20. Losanoff J, Sauter E. Congenital posterolateral diaphragmatic hernia in an adult. Hernia. 2004;8(1):83–85.
  21. Zhou Y, Du H, Che G. Giant congenital diaphragmatic hernia in an adult. J Cardiothorac Surg. 2014;9(1):1–3.
  22. Minneci PC, Deans KJ, Kim P, et al. Foramen of Morgagni hernia: changes in diagnosis and treatment. Ann Thorac Surg. 2004;77(6):1956–1959.
  23. Donat SM, Donat PE. Intrathoracic kidney: a case report with a review of the world literature. J Urol. 1988;140(1):131–133.
  24. Fiaschetti V, Velari L, Gaspari E, et al. Adult intra–thoracic kidney: a case report of Bochdalek hernia. Case Rep Med. 2010;2010:975168.
  25. Mei–Zahav M, Solomon M, Trachsel D, et al. Bochdalek diaphragmatic hernia: not only a neonatal disease. Arch Dis Child. 2003;88(6):532–535.
  26. Zenda T, Kaizaki C, Mori Y, et al. Adult right–sided Bochdalek hernia facilitated by coexistent hepatic hypoplasia. Abdom Imaging. 2000;25(4):394–396.
  27. Morgagni GB. Founders of modern medicine: Giovanni Battista Morgagni (1682–1771). Med Library Hist J. 1903;1(4):270–277.
  28. Harrington DK, Curran FT, Morgan I, et al. Congenital Bochdalek hernia presenting with acute pancreatitis in an adult. J Thorac Cardiovasc Surg. 2008;135(6):1396–1397.
  29. Patle N, Tantia O, Prasad P, et al. The management of Bochdalek hernia includes reduction of hernial contents to the peritoneal cavity and repair of the diaphragmatic defect. Indian J Surg. 2013;75(Suppl 1):303–304.
  30. Toydemir T, Akıncı H, Tekinel M, et al. Laparoscopic repair of an incarcerated Bochdalek hernia in an elderly man. Clinics (Sao Paulo). 2012;67(2):199–201.
  31. Fingerhut A, Baillet P, Oberlin P, et al. More on congenital diaphragmatic hernia in the adult. Int Surg. 1984;69(2):182–183.
  32. Ray U, Maity B, Sengupta TK, et al. Laparoscopic repair of late presenting congenital Bochdalek diaphragmatic hernia. J Indian Med Assoc. 2011;109(6):435–436.
  33. Obatake M, Nakata T, Nomura M, et al. Congenital intrathoracic kidney with right Bochdalek defect. Pediatr Surg Int. 2006;22(10):861–863.
Creative Commons Attribution License

©2023 Zeinalpour, et al. This is an open access article distributed under the terms of the, which permits unrestricted use, distribution, and build upon your work non-commercially.