Submit manuscript...
Journal of
eISSN: 2376-0060

Lung, Pulmonary & Respiratory Research

Case Report Volume 11 Issue 2

A case of pericardial cyst removed by single-incision minimally invasive surgery

Mehmet Agar,1 Ilham Gulcek,2 Muhammed Kalkan3

1Department of Thoracic Surgery, Fırat University, Medicine Faculty, Elazig, Turkey
2Department of Thoracic Surgery, Gazintep City Hospital, Gaziantep, Turkey
3Department of Thoracic Surgery, İnönü University, Turgut Özal Medical Center, Malatya, Turkey

Correspondence: Mehmet Agar, Department of Thoracic Surgery, Fırat University, Medicine Faculty, Elazığ, Turkey, Tel +90 5374749002

Received: March 08, 2024 | Published: April 3, 2024

Citation: Agar M, Gulcek I, Kalkan M. A case of pericardial cyst removed by single-incision minimally invasive surgery. J Lung Pulm Respir Res. 2024;11(2):34-35. DOI: 10.15406/jlprr.2024.11.00315

Download PDF

Abstract

Pericardial cysts, which are frequently detected incidentally on routine chest scans, are typically considered to be congenital anomalies. They are generally asymptomatic and have a good prognosis. Pericardial cysts are usually located in the cardiophrenic area, have a thin wall, contain clear fluid, and are often not associated with the pericardium. Although it has a low malignant potential, the recommended treatment for these lesions is total excision due to the risk of recurrence. A case of pericardial cyst detected incidentally and to excised with single incision video-assisted thoracoscopic surgery (SIVATS) is presented.

Keywords: minimally invasive surgery, pericardial cyst, single incision

Abbreviations

SIVATS, single incision video-assisted thoracoscopic surgery; CT,computerized tomography; MRI, magnetic resonance imaging

Introduction

The first cases of pericardial cysts were reported in autopsy series in the middle of the 19th century, but due to advances in thoracic surgery in recent years, the diagnosis and treatment management of pericardial cysts has made significant progress.1 Pericardial cysts, which are thought to develop as a result of incomplete fusion during embryogenesis, are considered as congenital anomalies.1 Cysts containing clear fluid have a simple fibrous tissue wall lined with cuboidal mesothelial cells, and a low malignant potential.2 Although they are rarely observed, these congenital cysts can be seen after cardiothoracic surgery, pericarditis and trauma or in chronic hemodialysis patients.2 The incidence of pericardial cysts is 1 in 100000, and it constitutes 33% of all mediastinal cysts and 7% of mediastinal masses, and is seen in almost every age group.3 Most (75%) of the pericardial cysts are detected incidentally and they are most frequently located in the right cardiophrenic angle.4

Case presentation

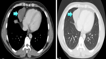
A 36-year-old male patient applied to an external center due to an upper respiratory tract infection that started about 4 months ago. Upon detection of a cystic lesion in the right paracardiac area, the patient was referred to our clinic (Figure 1). No abnormal findings were found in the physical examination, his cardiac rhythm biochemistry and blood test results were within normal limits. Thoracic computed tomography (CT) was performed on the patient. On CT, a cystic lesion of 7x4x5 cm with fluid density was observed in the epicardial fat pad (Figure 2). An operation was planned for the diagnosis and treatment of the case. Total cyst excision was performed with right SIVATS and the cyst was removed intact (Figure 3). The chest tube of the patient, whose control PA chest radiographs revealed a re-expanded lung, was removed on the 2nd postoperative day. The patient, who did not develop complications, was discharged on the 3rd postoperative day with full recovery.

Figure 1 Direct and lateral radiography of the pericardial cyst.

Figure 2 Thorax computed tomography image of pericardial cyst.

Figure 3 Excised cyst (A) and minimally invasive SIVATS incision (B).

Discussion

Cysts, which are usually asymptomatic, may become symptomatic when they reach large sizes or because of their compression on the adjacent structures. Symptoms encountered may include cardiac compression, retrosternal pain, diastolic dysfunction, right ventricular outflow tract obstruction, pulmonary stenosis, mitral valve prolapse, congestive heart failure, pulmonary and hilar compression, effusion due to rupture, and infection. Generally, patients may present with nonspecific chronic cough, chest pain, shortness of breath, and retrosternal pain, and they may rarely present with arrhythmias, syncope, and pneumonia.5 Physical examination usually does not give any clue about pericardial cysts.

Direct radiographs, CT and magnetic resonance imaging (MRI) methods are used in the diagnosis. Computed tomography provides information about the structure of the cyst, while MRI provides information about the relationship of the cyst with the surrounding tissues.5 Laboratory tests and electrocardiography are generally inadequate. Transthoracic or transesophageal echocardiography is used to evaluate the hemodynamics of the heart due to the compression of the cyst.6

The treatment of pericardial cysts is conservative because they frequently lead to an asymptomatic course. If the cyst is not growing, active observation and follow-up are not is a more appropriate approach . If the cyst has become symptomatic, surgery is considered to prevent possible mortal complications. At the discretion of the surgeon, minimally invasive surgery, thoracotomy, sternotomy, or mediastinoscopy may be preferred. We preferred SIVATS in our case. Aspiration of the cyst can be tried separately from surgery, but pericardial cysts recur in approximately 33 % of the cases after aspiration of the cysts.7

Pericardial cysts have a good prognosis, and even spontaneous regression of cysts has been reported.8 Rarely, infection of the cyst, compression of the superior vena cava, bleeding into the pericardial space, tamponade, and death may occur.

Conclusion

The SIVATS, which has been used frequently in the field of thoracic surgery in recent years, is an effective, reliable and safe treatment method with very few side effects when applied by an experienced team in both the diagnosis and treatment of mediastinal cysts.

Acknowledgments

None.

Conflicts of interest

The authors declare no potential conflicts of interest.

Funding

None.

References

Creative Commons Attribution License

©2024 Agar, et al. This is an open access article distributed under the terms of the, which permits unrestricted use, distribution, and build upon your work non-commercially.