Submit manuscript...
Journal of
eISSN: 2376-0060

Lung, Pulmonary & Respiratory Research

Research Article Volume 5 Issue 1

Correlation of Digital Chest Radiograph Parameters with Pulmonary Function Test and BODE Index for Diagnosis and Prognostication in Indian COPD Patients

Vimala LR,1 Gibikote S,1 Christopher DJ,2 Irodi A,1 Rajan M,2 Ramasami P3

1Department of Radiology, Christian Medical College, India
2Department of Pulmonary medicine, Christian medical college, India
3Department of Biostatistics, Christian Medical College, India

Correspondence: Leena Robinson Vimala, Department of Radiology, Christian Medical College, Vellore, India

Received: November 13, 2017 | Published: January 9, 2018

Citation: Vimala LR, Gibikote S, Christopher DJ, Irodi A, Rajan M et al. (2018) Correlation of Digital Chest Radiograph Parameters with Pulmonary Function Test and BODE Index for Diagnosis and Prognostication in Indian COPD Patients. J Lung Pulm Respir Res 5(1): 00154. DOI: 10.15406/jlprr.2018.05.00154

Download PDF

Abstract

Background: The spectrum of various chest radiographic indices which are used to correlate with Pulmonary function testing (PFT) and BODE index, are comprehensive from the previous studies. No previous literature has, however, assessed the threshold values for quantitative chest radiography (CXR) indices of Chronic Obstructive Pulmonary Disease (COPD) in Indian population 

Aim: Correlate the various quantitative and qualitative CXR indices of Obstructive Pulmonary Disease (COPD) with Pulmonary function testing (PFT) and BODE index. Derive the threshold values for quantitative chest radiography (CXR) indices of chronic obstructive pulmonary disease (COPD), for Indian population. 

Study design & Method: In this descriptive cross sectional study, patients who have obstructive pattern on spirometry were retrospectively selected, if they had a CXR done within 3 weeks. A control group with normal PFT was also selected. 145 cases and 78 controls were included in the study. Radiologists who were blinded to PFT results, independently evaluated CXR for various quantitative and qualitative parameters. 

Results: Statistical correlation (Independent T test, Pearson’s correlation coefficient) of various CXR parameters with PFT and BODE index was done. Among various qualitative parameters, alteration of vascular pattern, prominent intercostal muscle slips, increased lucency in lung parenchyma, presence of bulla showed correlation with PFT and BODE index. Among quantitative parameters, height of hemi diaphragm showed positive correlation and height of lung, number of posterior ribs and cardiothoracic ratio showed negative correlation with PFT and BODE index. 

Conclusion: By using both quantitative and qualitative parameters in CXR, we can predict the presence, severity and prognosis of COPD. Derived threshold values for parameters like height of lung in Indian population are found to be lower than Western population.

Keywords: quantitative parameters, pulmonary function test, BODE index, CXR

Abbreviations

PFT, pulmonary function testing; COPD, chronic obstructive pulmonary disease; CXR, chest radiography

Introduction

Chronic obstructive pulmonary disease (COPD) is one of the leading causes of morbidity and mortality worldwide. COPD was under diagnosed in India, but is now recognized in 4-10 per cent of adult male population of India and several other Asian countries.1 Spirometry is the accepted and standard for the diagnosis and assessment of severity of COPD. BODE index is a multidimensional grading system that assesses the respiratory and systemic expressions of COPD that would better categorize and predict outcome in these patients. It uses various clinical and physiological variables like body-mass index (B), the degree of airflow obstruction (O) dyspnoea (D), and exercise capacity (E) as assessed by the six-minute-walk test.2,3

Studies done in the past have provided conflicting results with regard to the role of radiographic evaluation of COPD.4,5 With the advent of digital radiography, there is significant improvement in the dynamic range and exposure latitude which has improved the quality of the chest radiograph, thereby increasing the rate of detection of various airway diseases. Various post processing tools [inversion of image, magnification, contrast adjustment etc.] are available in the picture archiving communication system [PACS] which further improve the image interpretation capabilities. Little has been done to study the ability of digital radiography to diagnose or quantify COPD when the patient is subjected to chest radiograph prior to evaluation with PFT or when COPD features are incidentally identified during routine radiographic reporting. This study was designed to correlate the various quantitative and qualitative indices of COPD in the postero-anterior CXR with pulmonary function test parameters and BODE index and to derive at the threshold values for quantitative CXR indices of COPD, for the Indian population.

Methods

The study was approved by the institutional research and ethics committee. The study was conducted in the Departments of Radiology and Pulmonary Medicine in a tertiary referral hospital in South India, which caters to patients from several states of the country. In this descriptive cross sectional study, consecutive patients with a provisional diagnosis of COPD who have obstructive pattern on spirometry were retrospectively selected from the pulmonary function lab database, if they had a chest radiograph within the past 3 weeks, during the period of October to June 2009. Patients with bronchodilator reversibility of 12% and 200 ml or more, were excluded. A comparative group was chosen also from consecutive patients who were referred for pulmonary function tests, with no previous diagnosis of lung disease and had normal spirometry if they also had chest radiographs within 3 weeks of the PFT and 1 control was chosen for every 2 cases. The hospital identification numbers of the cases and controls were handed over to the radiologist investigator, who was blinded to the clinical diagnosis and the PFT results.

The pulmonary function test was performed in Jaeger master screen PFT system. The variables used for comparison are post dilator FVC, FEV1, FEV1/FVC, PEF, MMEF, DLCO, DLCO/Va, TLC, RV/TLC%predicted. The cases were categorised as per GOLD classification,6 into normal, mild, moderate, severe and very severe on the basis of spirometry. Diffusion lung capacity, total lung capacity, residual volume were additionally done in a subgroup of patients. Exercise capacity test parameters like distance saturation product (DSP), 6 minute walk distance (6MWT) and BODE index were also performed in a subgroup of patients.

The radiologist obtained the necessary information from the radiographs and entered it in the case report form. Posteroanterior CXRs were performed either in GE DEFINIUM 6000 system [Direct digital radiography unit] or POLYDOROS LX 50 Multipulse 800mA system [Computed radiography, cassettes were being read by AGFA Computed Radiography system] using high KV technique, at a standard 180cm FFD, with the patient being in upright position and holding breath at full inspiration. Both quantitative and qualitative features were evaluated in the CXR.

The qualitative parameters used were:

  1. Presence of prominent intercostal slips [Prom slips].
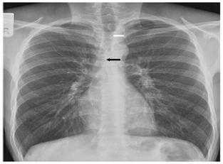
  2. Visualisation of anterior junction line [AJL] (Figure 1).
  3. Visualisation of posterior junction line [PJL] (Figure 1).
  4. Presence of bulla (Figure2).
  5. Alteration of normal vascular pattern assessed in 4 quadrants of the lung [Vas alt RTUP, Vas alt RTLP, Vas Alt LTUP, Vas Alt LTLP] - disorganised branching pattern often associated with reduction in vascularity7 (Figure 2).
  6. Presence of increased lucency – diffuse/focal [Inc Lucency] (Figure 2).

Figure 1 Chest radiograph PA view shows visualisation of anterior junction line (straight black arrow) and posterior junction line ( straight black arrow).

Figure 2 Chest radiograph PA view demonstrates presence of bulla (black asterix), alteration of normal vascular pattern assessed in right upper half (curved white arrow), presence of focal increased lucency (straight white arrow).

The quantitative parameters used were:

  1. Height of right and left hemidiaphragm- the perpendicular distance between the diaphragmatic peak and the line connecting lateral and medial ends of the hemidiaphragm is measured. RTVP and LTVP represent the height of right and left hemidiaphragm measured using vertebrophrenic junction as medial endpoint respectively. RTCP represents height of right hemidiaphragm measured using cardiophrenic junction as the medial endpoint (Figure 3).
  2. Height of the right lung - a perpendicular line drawn from the apex of the lung to a horizontal line drawn through the highest point of the right hemidiaphragm (Figure3).
  3. Level of diaphragm - number of anterior ends of ribs seen at the mid-clavicular line [ANT MID] and at the costophrenic angle [ANT LAT], number of posterior ribs at the mid-clavicular line [POST].
  4. Cardiothoracic ratio - ratio of maximum transverse cardiac diameter to the maximum inner thoracic diameter[CTR].
  5. Ratio of the transverse diameter of the trachea taken at 1cm above the aortic knuckle to that taken at the level of lung apex[COR DIA].

Figure 3 Chest radiograph PA view demonstrates the height of right hemidiaphragm (curved white arrow) and left hemidiaphragm (curved black arrow) measured using vertebrophrenic junction as medial endpoint. Height of right hemidiaphragm measured using cardiophrenic junction is shown in straight black arrows. Height of the right lung is shown in straight white arrow.

These radiologic data were correlated with the spirometric parameters. Those who had data for 6 minute walk test had correlations done of the measured variables and BODE index with the chest radiography indices.

Results

A total of 223 patients were included in the study; 145 of them were cases and 78 were controls. Of these, 184 were males and 39 were females. Smokers in the cases and control groups were 98 (67%) and 26 (33%) respectively. The GOLD stage of the disease was tabulated (Table 1). Of the 145 cases, there were 41 mild, 54 moderate, 29 severe and 21 very severe cases of COPD based on GOLD spirometric classification. The mean, standard deviation and range of the spirometry, diffusion lung capacity and exercise capacity parameters for cases and controls are given in Table 2. The mean, standard deviation and range of the age, height, weight, and various quantitative parameters of CXR in COPD for the cases and controls are given in Table 3. Using one way Anova test, significant difference was found between the cases and controls in PFT and Bode indices. There was significant difference between the cases and controls in the demographic characteristics except in the height of the patients, no: of ribs seen anteriorly and cardiothoracic ratio. A subgroup of 40 patients had undergone 6 minute walk test.

Mild

41

Moderate

54

Severe

29

Very severe

21

Table 1 GOLD stage of the cases

Variables

Cases Mean±SD (Range)

Controls Mean±SD (Range)

FVC

2.62±0.87 (0.97-4.39)

2.98±0.91 (0.99-5.23)

FEV1

1.81±0.89 (0.42-3.95)

2.16±0.92 (0.24-4.79)

FEV1/FVC ratio

66.78±23.26 (29-191)

71.96±31 (22-384)

PEFR

5.6±2.82 (0.8-11.47)

6.57±2.57 (0.37-12.73)

MMEF

0.79 (0.1-8.22)

1.31 (0-8.08)

DLCo

5.81 ± 3.2 (0.96-13.07)

7.37 ± 3.75 (2.65-11.27)

DLCo/Va

1.69 ± 0.84 (0.46-5.37)

1.91 ± 0.77 (0.95-3.14)

TLC

4.28 ± 0.85 (2.69-6.63)

4.73 ± 0.68 (3.86-5.79)

RV/TLC

112.96 ± 28.22 (49-184)

130.92 ± 39.8 (79.5-189)

Dist. Saturation

372.87 ± 109.09 (116.4-616)

393.58 ± 104.83 (266-576)

Product

6minute walk test

403.06 ± 110.87 (120-670)

429.33 ± 107.35 (283-620)

Bode index

2 (0-8)

1 (1-2)

Median (Range)

 

Table 2 Characteristics of pulmonary function test, BODE index, exercise capacity parameters of cases and controls

Parameters

Cases

Controls

p Value

Age

50.5 ±15.36 (9-87)

49.68±14.78 (9-78)

0

Height

163.44 ± 9.06 (134-192)

161.85±9.23 (125-180)

0.38

Weight

60.29 ±12.74 (26-110)

54.17±11.77 (19-85)

0.006

Ht Rt diaphragm [VPJ]

22.1 ± 7.2 (1.7-42)

22.6±7.48 (9.7-47)

0.013

HtRt diaphragm [CPJ]

16.53 ±6.38 (.01-31)

16.32± 7.29 (1-53)

0

Ht Lt diaphragm [VPJ]

19.99 ±6.38 (1.7-39)

19.53±6.18 (7.4-34.1)

0

Height of right lung

20.73 ±2.65 (13.4-27.6)

21.31±2.48 (13.8-28.5)

0

No. of anterior ribs

6.75 ±0.75 (5-9)

6.92±0.84 (4-8)

0.182

No. of anterior ribs

8.46±0.86 ( 6-10)

8.29±0.92 (5-10)

0.505

No. of posterior ribs

9.78±0.69 (8-12)

9.75±0.65 (8-11)

0.002

Cardiothoracic ratio

0.44±0.07 (0.31-1)

0.44±0.65 (0.33-0.59)

0.111

Ratio of transverse diameter of trachea

1.03±0.25 (0.00-1.98)

1.06±0.18 (0.77-1.76)

0.3

Table 3 Characteristics of demographic and quantitative CXR parameters of cases and controls

Independent samples T test (at 5% level of significance) was performed between the various qualitative parameters and PFT as given in Table 4. For certain parameters, p values as obtained using One way ANOVA test, Mann-Whitney test and Kruskall- Wallis test. Alteration in vasculature in both upper and lower parts in both lung shows significant correlation with pulmonary function test including diffusion lung capacity variables [except TLC]. Alteration in vasculature in lower parts in both lungs showed significant correlation with BODE index. Presence of prominent intercostal slips showed significant correlation with spirometry, exercise capacity factors and BODE index. .Presence of increased lucency with intervening normal lucency of lung fields and presence of bulla showed significant correlation with spirometric indices. No significant correlation was found between the visualisation of the anterior junction line, posterior junction line and PFT, however visualisation of posterior junction line alone showed significant correlation with BODE index.

Variables

Post FVC

Post FEV1

%Post FEV1/FVC Ratio

Post PEF

Post MMEF

DLCo Actual

DLC/ VA

TLC

RV/TLC

Dist. Saturat Product

6mi Walk Test

BODE Index

Sex

<0.001

<0.001

0.538

<0.001a

0.794

0.235

0.596

-

-

0.159

0.179

-

Smoking

0.004

0.683

0.131a

0.683

0.026

0.512

0.515

0.452

0.136

0.969

0.952

-

Prom. slips

0.049

<0.001

<0.001a

<0.001

<0.001

<0.001

0.004

0.338

0.689

0.106

0.137

0.011

Vas alt RTUP

0.052

0.001

<0.001a

0.001

<0.001

0.014a

0.045

0.118

0.009

0.383

0.519

0.957

Vas alt RTLP

0.001

<0.001

<0.001

<0.001

<0.001

0.019a

0.059

0.089

0.001

0.014

0.017

0.035

Vas alt LTUP

0.006

0.001

<0.001

0.001

<0.001

0.014a

0.045

0.091

0.007

0.227

0.369

0.763

Vas alt LTLP

<0.001

<0.001

<0.001

<0.001

<0.001

0.005a

0.009

0.239

0.006

0.018

0.031

0.045

AJL

0.971

0.568

0.733

0.568

0.861

0.653

0.981

0.989

0.125

0.051

0.059

0.587

PJL

0.924

0.988

0.208

0.988

0.53

0.379

0.659

0.745

0.287

0.656

0.654

0.039

BULLAE

0.05

0.002

<0.001a

0.002

<0.001

-

-

0.453a

0.087

0.719a

0.471a

-

Inc. lucency†

0.417

<0.001

<0.001b

<0.001

<0.001b

0.553

0.243b

0.865

0.772b

0.828

0.978

0.923b

Table 4 Correlation between qualitative parameters of CXR with PFT, exercise capacity factors & BODE index

Pearson’s correlation coefficient was calculated between the quantitative parameters and PFT as given in Table 5. Spearman’s rank correlation was used in a few of the parameters. Vertebrophrenic junction as medial end point was not appreciated in 83 patients on the right side and 3 patients on the left side, similarly cardiophrenic junction as the medial point could not be clearly delineated in 13 patients. There was significant positive correlation between the height of right and left hemidiaphragm with various parameters of pulmonary function test (excluding DLCO, DLCO/Va) and exercise capacity factors. Height of left hemidiaphragm alone showed correlation with BODE index. Height of the right lung showed moderate negative correlation with most of spirometric indices and total lung capacity. Weak negative correlation was noted between cardiothoracic ratio, the level of diaphragm expressed as the number of posterior ribs with most of the spirometric indices. The level of diaphragm expressed as the number of anterior ribs in the lateral aspect showed weak positive correlation with FVC, which was not expected. Significant negative correlation was observed between the cardiothoracic ratio and total lung capacity. Significant negative correlation was observed between the level of diaphragm expressed as the number of posterior ribs and distance saturation product and 6 minute walk distance.

 

 

Post FVC

Post FEV1

%Post FEV1/FVC Ratio#

Post PEF#

Post MMEF#

DLCo

DLCo/VA

TLC

RV/TLC % Pred

Dist. Saturat. Product

6min Walk Test

BODE Index

RTVP

r

0.306

0.364

0.384

0.353

0.353

0.341

0.203

0.463

-0.385

0.444

0.432

-0.558

p-value

<0.001

<0.001

<0.001

<0.001

<0.001

0.095

0.33

0.013

0.043

0.012

0.015

0.059

RTCP

r

0.212

0.289

0.409

0.355

0.355

0.267

0.135

0.313

-0.48

0.399

0.386

-0.34

p-value

0.002

<0.001

<0.001

<0.001

<0.001

0.087

0.395

0.031

0.001

0.01

0.012

0.216

LTVP

r

0.316

0.372

0.413

0.444

0.444

0.381

0.327

0.311

-0.335

0.372

0.373

-0.634

p-value

<0.001

<0.001

<0.001

<0.001

<0.001

0.011

0.03

0.03

0.019

0.012

0.011

0.005

Ht LUNG

r

0.056

-0.189

-0.155

-0.25

-0.25

-0.172

-0.11

0.314

0.025

-0.206

-0.184

0.305

p-value

0.412

0.005

0.023

<0.001

<0.001

0.271

0.482

0.03

0.867

0.179

0.227

0.235

ANT MID

r

0.117

-0.024

0.013

-0.042

-0.042

-0.09

0.112

0.179

-0.167

0.066

0.099

0.12

p-value

0.087

0.727

0.847

0.535

0.535

0.562

0.469

0.219

0.251

0.671

0.517

0.646

ANLAT

r

0.169

-0.022

0.016

-0.016

-0.016

-0.103

0.094

0.166

-0.12

0.049

0.06

0.125

p-value

0.013

0.749

0.817

0.819

0.819

0.505

0.546

0.254

0.412

0.753

0.695

0.633

POST

r

-0.018

-0.131

-0.149

-0.196

-0.196

-0.263

-0.202

-0.082

0.032

-0.328

-0.306

0.282

p-value

0.795

0.053

0.028

0.004

0.004

0.085

0.188

0.577

0.826

0.03

0.041

0.273

CTR

r

-0.174

-0.108

-0.172

-0.179

-0.179

-0.141

-0.089

-0.533

-0.037

-0.187

-0.18

0.097

p-value

0.01

0.112

0.011

0.008

0.008

0.362

0.565

<0.001

0.801

0.219

0.23

0.701

COR DIA

r

0.135

-0.029

-0.008

-0.1

-0.1

0.034

0.015

0.117

0.141

0.014

0.039

0.245

 

p-value

0.051

0.664

0.906

0.145

0.145

0.826

0.924

0.424

0.334

0.93

0.802

0.327

Table 5 Correlation between quantitative parameters of CXR with PFT, exercise capacity factors & BODE index

One-way ANOVA was used to assess the correlation of GOLD staging of cases with height of diaphragm and height of lung. It is found that there is a decrement of height of right and left hemidiaphragm as the severity of GOLD classification increases. However, the decrement is not statistically significant at 5% level of significance for the parameters of height of right hemidiaphragm, but it is statistically significant for the parameters of left hemidiaphragm height. Although there is an increasing trend in height of lung as the severity increases, it is not statistically significant (Table 6). The correlation of qualitative and quantitative parameters with spirometry, BODE index and exercise capacity tests is summarised in Table 7.

Parameters

Gold Staging of Cases

 

p-Value

Mild Mean (SD)

Moderate Mean (SD)

Severe Mean (SD)

Very Severe Mean (SD)

RTVP

23.28 (7.54)

22.12 (6.93)

19.99 (8.72)

16.15 (6.62)

0.059

RTCP

17.00 (5.39)

16.02 (6.08)

13.88 (5.52)

13.43 (10.96)

0.137

LTVP

20.11 (5.63)

18.95 (6.42)

17.74 (6.20)

14.20 (5.65)

0.005

HT LUNG

21.33 (2.89)

21.40 (2.51)

21.64 (2.44)

22.02 (1.88)

0.748

Table 6 Correlation of height of lung and height of diaphragm with GOLD stages of cases

 

Positive Correlation

Negative Correlation

No Correlation

Spirometry

Qualitative

Qualitative

Alteration of vascular pattern

Visualisation of anterior junction line

Prominent intercostal muscle slips

Visualisation of posterior junction line

Increased lucency Presence of bulla

Quantitative

Quantitative

Quantitative

Height of right & left hemidiaphragm

Height of right lung

Ratio of coronal

No: of posterior ribs

Diameter of trachea

Cardiothoracic ratio

No: of anterior ribs

BODE Index (*),

Qualitative

Increased lucency

6 minute walk test [6MWT]

Alteration of vascular pattern in lower parts Prominent intercostal muscle slips (*)

Presence of bulla

Distance saturation product [DSP]

Visualisation of posterior junction line (*)

Visualisation of anterior junction line

Quantitative

No: of posterior ribs [6MWT, DSP]

Height of right lung

Height of right & left hemidiaphragm

No: of anterior ribs

Cardiothoracic ratio

Ratio of transverse

 

 

 

Diameter of trachea

Table 7 Correlation of qualitative and quantitative parameters with PFT, BODE index and exercise capacity tests

Using ROC analysis, for the population included in this study, the threshold value for height of lung indicating hyperinflation was 20.35cm which has a sensitivity of 70% and specificity of 58%. A value above 27.05cm was found to have a specificity of 100% among the cases. The other quantitative parameters like the number of ribs seen anteriorly and posteriorly in CXR were not expected to be different between the Indian and Western population as difference in number of ribs is not expected between them. Cardiothoracic ratio also is not expected to be different as it is a ratio and not absolute values.

Discussion

The present study differs from the previous studies in the objectives achieved as well as in the methodology. We have evaluated only the posteroanterior chest radiograph as lateral chest radiograph is not routinely done in our institution. Other studies have assessed lateral radiograph as well.8–10 Previous studies have considered the height of the hemidiaphragm9,10 as a subjective parameter. In the present study we have assessed the actual values, separately considering CPJ and VPJ as medial end points. The correlation is mildly better with vertebrophrenic junction being the medial end point, hence should be used instead of cardiophrenic junction, whenever it is visualised clearly. Assessing the number of ribs anteriorly at two points was newly introduced, the level of diaphragm measured in the anterolateral aspect showed correlation with FVC. Thurlbeck8 observed that level of the diaphragm measured anteriorly was one of the discriminating measurement for emphysema, the other being lung length. In our study, the level of diaphragm assessed in relation to the number of posterior rib showed correlation with most of the spirometric indices.

Instead of tracheal index,11 we used ratio of tracheal transverse diameter at two levels. However this did not show any correlation with spirometry or with BODE index. Visualisation of prominent intercostal slips was not included in any of the previous studies as diagnostic criteria11 and this showed significant correlation with PFT and BODE index. We have included other parameters like visualisation of anterior junctional line and posterior junctional line among the qualitative parameters, which were not assessed in previous studies. However, these had no significant correlation with spirometry. This could be related to better visualisation of the anterior junctional line and posterior junctional line even in normal individuals, with the use of digital radiography.

There are no similar studies in the literature done in the Indian population. This is important as the parameters of hyperinflation applicable for Western population may not be the same in Indian population due to variation in the body habitus. For the population included in this study, the threshold value for height of lung indicating hyperinflation is 20.35cm whereas the western literature states height of lung more than 29.9 cm as one of the diagnostic criteria for lung hyperinflation.12 There are no studies available in the literature correlating chest radiographic indices with BODE index in the prognostication of COPD patient.

Conclusion

We observed that among the CXR parameters like flattening of hemidiaphragm, increase in the height of lung, no: of posterior ribs, cardiothoracic ratio, alteration of vascular pattern, presence of prominent intercostal slips, increased radiolucency, visualisation of posterior junction line and presence of bullae showed significant correlation with PFT and/or exercise capacity and BODE index. Thus by using both quantitative and qualitative parameters in CXR, we can predict the presence, severity and prognosis of COPD. Derived threshold values for parameters like height of lung in South Asian population are found to be lower than the Western population.

Acknowledgments

None.

Conflicts of interest

None.

Funding

None.

References

  1. Jindal SK. Emergence of chronic obstructive pulmonary disease as an epidemic in India. Indian J Med Res. 2006; 124(6): 619–630.
  2. Celi BR, Cote CG, Marin JM, et al. The body – mass index, airflow obstruction, dyspnea, and exercise capacity index in chronic obstructive pulmonary disease. N Engl J Med. 2004;350(10):1005–1012.
  3. Ong KC, Earnest A, Lu SJ. A multidimensional grading system (BODE index) as predictor of hospitalization for COPD. Chest. 2005;128(6):3810–3816.
  4. Kilburn KH, Warshaw RH, Thornton JC. Do radiographic criteria for emphysema predict physiologic impairment? Chest. 1995;107(5):1225–1231.
  5. Pratt PC. Role of conventional chest radiography in diagnosis and exclusion of emphysema. Am J Med. 1987;82(5):998–1006.
  6. Calverley PM. The GOLD classification has advanced understanding of COPD. Am J Respir Crit Care Med. 2004;170(3):211–212.
  7. Screaton NJ. Emphysema and smoking–related lung disease. Imaging. 2004;16(1):50–60.
  8. Thurlbeck WM, Simon G. Radiographic appearance of the chest in emphysema. AJR Am J Roentgenol. 1978;130(3):429–440.
  9. Miniati M, Monti S, Stolk J, et al. Value of chest radiography in phenotyping chronic obstructive pulmonary disease. Eur Respir J. 2008;31(3):509–515.
  10. Sutinen S, Christoforidis AJ, Klugh GA, et al. Roentgenologic criteria for the recognition of nonsymptomatic pulmonary emphysema. Correlation between roentgenologic findings and pulmonary pathology. Am Rev Respir Dis. 1965;91:69–76.
  11. Nicklaus TM, Stowell DW, Christiansen WR, et al. The accuracy of the roentgenologic diagnosis of chronic pulmonary emphysema. Am Rev Respir Dis. 1966;93(6):889–899.
  12. Reich SB, Weinshelbaum A, Yee J. Correlation of radiographic measurements and pulmonary function tests in chronic obstructive pulmonary disease. AJR Am J Roentgenol. 1985;144(4):695–699.
Creative Commons Attribution License

©2018 Vimala, et al. This is an open access article distributed under the terms of the, which permits unrestricted use, distribution, and build upon your work non-commercially.