Submit manuscript...
Journal of
eISSN: 2376-0060

Lung, Pulmonary & Respiratory Research

Case Report Volume 8 Issue 2

Saddle pulmonary embolism on non-contrast CT

Lidiya Didenko,2 Bilal Chaudhry,1 Kirill Alekseyev,2 Gennadiy Ryklin,1 David Lee1

1Christiana Care Health System, USA
2Post-Acute Medical Rehabilitation Hospital of Dover, American University of Antigua, USA

Correspondence: Lidiya Didenko MS4, Post-Acute Medical Rehabilitation Hospital of Dover, American University of Antigua, 1240 McKee Road, Dover, DE 19904, USA

Received: May 10, 2021 | Published: May 28, 2021

Citation: Chaudhry B, Alekseyev K, Didenko L, et al. Saddle pulmonary embolism on non-contrast CT. J Lung Pulm Respir Res. 2021;8(2):76-79. DOI: 10.15406/jlprr.2021.08.00254

Download PDF

Abstract

Background: A saddle pulmonary embolism (PE) is a large embolism that straddles the bifurcation of the pulmonary trunk. This PE extends into the right and left pulmonary arteries. There is a greater incidence in males. Common features of a PE include dyspnea, tachypnea, cough, hemoptysis, pleuritic chest pain, tachycardia, hypotension, jugular venous distension, and severe cases Kussmaul sign. The Wells criteria for PE is used as the pretest probability. Diagnostics include D-dimer levels, CT pulmonary angiography (CTPA), ventilation/perfusion scintigraphy (V/Q scan), echocardiography, lower extremity venous ultrasound, chest x-ray, pulmonary angiography, and electrocardiography (ECG).

Case description: We present a 65-year-old male that presented with a two-week history of dyspnea with non-radiating intermittent chest pressure. Initial V/Q scan showed a low probability for PE, but a subsequent non-contrast CT revealed that he indeed had a saddle PE.

Keywords: pulmonary embolism, v/q scan, CT, cor pulmonale, COPD, obstructive sleep apnea

Abbreviations

PE, pulmonary embolism; V/Q scan, ventilation/perfusion scintigraphy; CT, computed tomography; CTPA, CT pulmonary angiography; CTA, CT angiography; COPD, chronic obstructive pulmonary disease; HTN, diabetes hypertension; OSA, obstructive sleep apnea; OS, overlap syndrome; SPECT, single-photon emission computed tomography

Introduction

Acute and subacute PE’s typically present within days to weeks, and chronic PE’s typically for months to years. A saddle PE is a mechanical obstruction of the right and left pulmonary arteries. If completely obstructed, it can lead to right-sided heart failure, and if left untreated, death. This right-sided heart strain can result in an enlargement of the pulmonary trunk and the dilation of the right ventricle. Some co-morbidities associated with saddle PE include malignancy, pregnancy, stroke, obesity, hospitalized medical patients, hospitalized surgical patients, those with nephrotic syndrome, patients with acute traumatic spinal cord injury, and those with inherited thrombotic disorders. It’s important to note that a V/Q scan may reveal normal and symmetric perfusion even in the setting of a saddle PE. Additionally, a non-contrast CT may be used to identify PE in patients with an allergy to dye.

Case report

We present a 65-year-old man with a significant history of mild chronic obstructive pulmonary disease (COPD), type 2 diabetes mellitus, hypertension (HTN), obstructive sleep apnea (OSA), and a history of provoked DVT 11years ago. He is currently not taking any anticoagulation. He is non-compliant with continuous positive airway pressure (CPAP) for his OSA. He presents to the emergency department (ED) with worsening shortness of breath (SOB) and chest pain for the past two weeks. He reported that he could no longer make it to the bathroom without becoming winded and complained of intermittent chest pressure in the retrosternal area without radiation. He also complained of recent weight gain, which included swelling in his ankles.

At rest, the patient was afebrile, without tachycardia, and saturating at 95% on room air. Upon ambulation, the patient desaturated down to 82%, and his heart rate elevated into the low 100s. Blood pressure was 145/81 mmHg and symmetric on both arms, and cardiopulmonary findings were normal. There was no neck vein distention present. Cardiac enzymes were within normal limits. Upon further questioning, he denied diaphoresis, expectoration, fever, chills, orthopnea, paroxysmal nocturnal dyspnea (PND), loss of smell or taste sensation.

A chest x-ray was ordered and revealed no active disease. An electrocardiogram showed mild tachycardia, right axis deviation, intraventricular conduction delay, and nonspecific T-wave abnormalities. A V/Q scan was performed due to the patient’s reported history of dye allergy, and it showed a low probability of pulmonary embolism. An echocardiogram was ordered and showed a very low ejection fraction with severe cor pulmonale. It was noted that his hypoxia was secondary to COPD, in addition to his heart failure. Laboratory was significant for BNP in the 1.6x109ng/dL (normal: <125ng/dL), blood sugar 11.4mmol/L (normal: 2.8-5.5mmol/L), WBC count 10.8x109/L (normal: 4.5-11.0x109/L), and troponin I of 0.01ng/mL (normal: <0.01ng/mL).

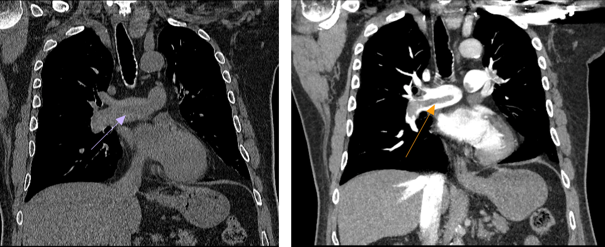
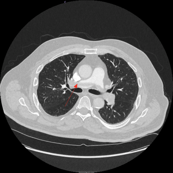
A day later, a non-contrast CT was ordered to evaluate the parenchymal lung disease as the source of dyspnea. Findings on imaging, as shown below in Figure 1, indicate a saddle pulmonary embolism. The subsequent CTA (Figures 1&2) showed the thrombus and contrast-enhanced imaging. In Figure 1, the attenuation differences between the clot and flowing blood in the pulmonary artery are seen. In Figure 2, the red arrow points to the saddle pulmonary embolism straddling the right and left pulmonary arteries.

Figure 1 Left: Non-contrast Coronal CT. The purple arrow points to the saddle pulmonary embolism that is straddling the right and left pulmonary arteries. The attenuation differences between the clot and flowing blood in the pulmonary artery are seen here; Right: Coronal CTA. The orange arrow points to the saddle pulmonary embolism that is straddling the right and left pulmonary arteries.

Figure 2 Transverse CTA: red arrow points to.

Discussion

Pulmonary embolisms are common and, if misdiagnosed or left untreated, are potentially fatal.1 Patients’ with PE can present in numerous ways, but the unifying feature among all symptoms is dyspnea, which is present in over 80% of cases.2 Most patients have exertion dyspnea due to irregular pulmonary blood flow from the blocked vessel. An increase in blood pressure in the pulmonary arteries can lead to cor pulmonale, right-sided heart failure, as seen in our patient.3 Pleuritic chest pain and hemoptysis are also common in patients with PE, particularly if infarction occurs.4 On average, 3-6% of all patients diagnosed with PE present with a saddle embolus. Of those diagnosed with saddle PE, 22% have hemodynamic instability, which carries a mortality of 5%. Additionally, all PE accounts for roughly 100,000 deaths annually.5 Complications associated with saddle PE may involve right ventricular enlargement and dysfunction, hemodynamic instability, elevated pulmonary systolic pressure, cardiogenic shock, cardiac arrest, respiratory failure necessitating mechanical ventilation, and death if left untreated.6 In comparison, the major complications of PE include recurrent thromboembolism, chronic thromboembolic pulmonary hypertension, and death if left untreated.5 Bajaj et al. notes that patients with elevated troponins (cTnI and cTnT) were significantly associated with a higher risk of mortality compared to those with normal troponin levels. Additionally, elevated BNP and NT-pro BNP levels were also associated with poor outcomes.7

Many risk factors, including OSA and COPD, have the possibility of potentiating a PE, as seen in our patient. It has been well documented that patients with OSA tend to have a hypercoagulable state, increasing the incidence of thrombogenesis. Those with COPD have an increased risk of cardiovascular disease due to hypercapnia and hypoxemia and have an increased risk of the development of PE and DVT. Overlap syndrome (OS), those with both COPD and OSA, tend to have a more severe pathological injury due to the increased hypoxic burden compared to those with isolated COPD or OSA. Additionally, the increased hypoxic burden is said to be related to the prevalence of PE in these patients.8

There are several standardized pretest probability scoring systems and guidelines in the assessment and diagnosis of PE. Included are the Wells criteria, modified Wells criteria, revised Geneva score, and the pulmonary embolism rule-out criteria (PERC). A Wells score of 0-1 indicates a low clinical probability, a score of 2-6 indicates a moderate clinical probability, and score of >6 indicates a high clinical probability. In cases where there’s a low or intermediate clinical probability and a PE rule-out criteria cannot be applied, the next step in management is to measure the D-dimer level. If the D-dimer level is <500ng/mL, then a PE may be excluded, but if the D-dimer level is >500 ng/mL one must consider if it is feasible to run a CT pulmonary angiography. If the CT pulmonary angiography returns positive, then the PE is diagnosed, but if it is negative, then the PE is excluded. Additionally, if the CT pulmonary angiography is inconclusive or isn’t feasible to perform, one must consider performing a V/Q scan.5 in our case, our patient had a Wells score of 9 with a 67% pretest clinical probability. Figure 3 demonstrates the algorithm for an adult with a high probability of PE with a Wells score >6. Initially, the decision to forgo the CT pulmonary angiography was due to the patients dye allergy. A V/Q scan revealed a low/intermediate probability which warranted further testing. Thus, the decision to perform a non-contract CT angiography was made, which revealed the saddle PE.

Figure 3 Algorithm for an adult with a high probability of PE with a Wells score >6.  *If a ventilation perfusion (V/Q) scan is not feasible, or if the V/Q scan is normal with a high suspicion; one can consider obtaining a non-contract CT. Note: a non-contrast CT may be considered in patients with renal failure, and those with dye allergies due to the contraindications in obtaining a CT pulmonary angiography.

A V/Q scan of the lungs is frequently performed and has been a well-accepted procedure in diagnosing PE. In recent years, there has been an increased use of CT. Reinartz et al. stated that CT in the diagnosis of a PE had a greater specificity while the V/Q single-photon emission computed tomography (SPECT) had an over higher sensitivity. Their study concluded that nearly 93% of pulmonary embolisms were detected when a CT was used. When using a planar V/Q scan, they noted that it correctly detected almost 81% of pulmonary embolisms, and if a V/Q SPECT was used, it had a 94% detection rate.9 This is because when using SPECT, physicians are able to view the image in 3dimensions.

Due to the relatively nonspecific symptoms associated with PE, imaging plays an essential role in the diagnostic workup.1 Though rare, it is possible for patients to have pulmonary embolisms and have normal V/Q scans. We offer that the V/Q scan was normal in the setting of a saddle embolism because there was reduced yet symmetric blood flow from the proximal vessels. While this patient had a normal ventilation-perfusion on the V/Q scan, they were diagnosed with PE based on their non-contrast CT. Traditionally, non-contrast CT scans should not be ordered to test for the presence of PE.10 However, in this case, the non-contrast CT scan showed attenuation differences between the clot and flowing blood in the pulmonary artery (the hyperdense lumen sign),11 making the diagnosis.

A study published by Mahdavi et al. showed that in a cohort of patients with a high clinical suspicion of PE, there was no statistical significance in the agreement between the V/Q scan and CT when including all of the data. However, when both were in agreement with PE, there was a strong statistical significance. In 100 patients that underwent a V/Q scan, 21 of those returned positive, and when they followed up with a CTA, 12 were positive, five were negative, and four were non-diagnostic. Out of the 100 V/Q scans, 67 were negative, and then they underwent a follow-up CTA. There were two that turned out to be positive, 41 were negative, and 24 were non-diagnostic. Lastly, when the V/Q non-diagnostic, the follow-up CTA revealed that ten were negative and two were non-diagnostic.12

Moreover, the treatment of saddle PE is essential as these patients typically present with hemodynamic instability. If left untreated, patients may develop cardiac arrest, persistent hypotension, obstructive shock, and even death. The American College of Chest Physicians set guidelines in the treatment of large PE with systemic thrombolytic therapy. Systemic thrombolytics do hold their own risk, the major risk being hemorrhage.13 Additionally, patients that have contraindications toward thrombolytic therapy may also be treated with catheter directed therapy. Patients that undergo treatment with catheter directed therapy survival rate of nearly 87% compared to thrombolytic therapy with a survival rate of 77%.13

Conclusion

Pulmonary embolisms have a higher occurrence rate in males, those with higher BMI, and can present acutely or chronically. Nearly 80% of patients will present with dyspnea, but others may present with exertional dyspnea due to the irregular pulmonary blood flow. The diagnosis of pulmonary embolism is primarily based on clinical findings and then confirmed with imaging modalities such as ventilation/perfusion scintigraphy or CT pulmonary angiography. Ultimately, a pulmonary embolism can be visualized in some patients without contrast in the CT.

Acknowledgments

None.

Conflicts of interest

Author declares there are no conflicts of interest.

Conflicts of interest

Author declares there are no conflicts of interest.

Funding

None.

Consent

Written consent was obtained from the patient for the writing and publishing of this case.

References

  1. Lysdahlgaard S, Hess S, Gerke O, et al.A systematic literature review and meta-analysis of spectral CT compared to scintigraphy in the diagnosis of acute and chronic pulmonary embolisms. European radiology. 2020;30(7):3624–3633.
  2. Goldhaber S. Z, Visani L, & De Rosa M.Acute pulmonary embolism: clinical outcomes in the International Cooperative Pulmonary Embolism Registry (ICOPER). Lancet (London, England). 1999;353(9162):1386–1389.
  3. Nelson J, Wong G. R, Roberts-Thomson R, et al.Massive pulmonary embolism with acute cor pulmonale. Postgraduate medical journal. 2016; 92(1090):487–488.
  4. Tapson V. F. Acute pulmonary embolism.The New England journal of medicine. 2008;358(10):1037–1052.
  5. Thompson T, Kabrhel C. Overview of acute pulmonary embolism in adults. UpToDate. https://www.uptodate.com/contents/overview-of-acute-pulmonary-embolism-in-adults. Published June 9, 2020. Accessed May 25, 2021.
  6. Sardi A, Gluskin J, Guttentag A,et al. Saddle pulmonary embolism: is it as bad as it looks? A community hospital experience. Crit Care Med. 2011;39(11):2413‒2418.
  7. Bajaj A, Saleeb M, Rathor P,et al. Prognostic value of troponins in acute nonmassive pulmonary embolism: A meta-analysis. Heart Lung. 2015;44(4):327‒334.
  8. Xie J, Li F, WuX, et al.Prevalence of pulmonary embolism in patients with obstructive sleep apnea and chronic obstructive pulmonary disease: The overlap syndrome. Heart & lung: the journal of critical care. 2019;48(3):261–265.
  9. Reinartz P, Wildberger J E, Schaefer  W, et al.Tomographic imaging in the diagnosis of pulmonary embolism: a comparison between V/Q lung scintigraphy in SPECT technique and multislice spiral CT. Journal of nuclear medicine: official publication, Society of Nuclear Medicine. 2004;45(9):1501–1508.
  10. Tatco V. R, & Piedad H. H. The validity of hyperdense lumen sign in non-contrast chest CT scans in the detection of pulmonary thromboembolism. The international journal of cardiovascular imaging. 2011;27(3): 433–440.
  11. Okechukwu N, Curran-Melendez S. M, Weyer A, et al.The hyperdense lumen sign: the tale of the elusive pulmonary embolism. BMJ case reports2014;bcr2014205986.
  12. Mahdavi R, Caronia J, Fayyaz J, et al.Agreement between SPECT V/Q scan and CT angiography in patients with high clinical suspicion of PE. Annals of nuclear medicine. 2013;27(9):834–838.
  13. Satya R, Bagherpour A, Christofferson M,et al. Large saddle pulmonary embolism in patient with previously place IVC filter: A case report of successful Angiojet thrombectomy. Respiratory Medicine CME. 2011;4(3):133‒135.
Creative Commons Attribution License

©2021 Chaudhry, et al. This is an open access article distributed under the terms of the, which permits unrestricted use, distribution, and build upon your work non-commercially.