Submit manuscript...
Journal of
eISSN: 2376-0060

Lung, Pulmonary & Respiratory Research

Case Report Volume 10 Issue 3

Tension pneumothorax mimicking giant bullae associated with tuberculosis: a case report

Harveen Kaur,1 J Arora,2 Naveen Pandhi,1 Anmol Arora2

1Department of Pulmonary Medicine, Government Medical College, India
2Department of Radiodiagnosis, Adesh Medical College, India

Correspondence: Harveen Kaur, Senior resident, Department of Pulmonary Medicine, Government Medical College Amritsar, Punjab, India

Received: October 02, 2023 | Published: October 16, 2023

Citation: Harveen K, J Arora, Naveen P, et al. Tension pneumothorax mimicking giant bullae associated with tuberculosis: a case report. J Lung Pulm Respir Res. 2023;10(3):76-77. DOI: 10.15406/jlprr.2023.10.00306

Download PDF

Abstract

Cough, dyspnea, and chest pain are some of the clinical signs of giant bullae, while in some cases it may be asymptomatic. A pneumothorax can be difficult to identify from giant bullae. A middle-aged patient who had a persistent cough and increasing dyspnea with exertion arrived to the emergency room (ED). A right tension pneumothorax was anticipated based on clinical examination findings, however chest radiography, followed by a contrast-enhanced CT (CECT) scan of the chest showed that the right and left hemithorax were both occupied with giant bullae. Pulmonary tuberculosis (PTB) was diagnosed with sputum for acid-fast bacilli analysis and cartridge based nucleic acid amplification testing (CBNAAT). He was started on antituberculous therapy (ATT) and bullectomy was scheduled for TB-related giant pulmonary bullae.

Keywords: tension pneumothorax, giant bullae, CECT chest, pulmonary tuberculosis (PTB)

Introduction

Bullae may be idiopathic, or can occur in association with a pulmonary infection or chronic obstructive pulmonary disease, or both. Dyspnea, cough, and chest pain are some of the physical symptoms of giant bullae, while in certain situations the disease may be asymptomatic.1

The differentiation of a pneumothorax from giant bullae is challenging. Thus, it is crucial to do a history interview, physical examination, and radiological studies. A middle aged male presented with worsening dyspnea on exertion. He had experienced chronic cough for the prior 2 years. Physical examination revealed hyper-resonance and decreased breath sounds in the right thorax. The chest radiography report indicated a right tension pneumothorax; however, this was not consistent with the patient’s clinical presentation. Chest computed tomography was subsequently performed, and it showed giant bullae occupying the right thorax and multiple opacities over the left upper lung. He underwent antituberculous therapy after pulmonary tuberculosis (TB) was confirmed with acid-fast bacilli analysis and TB polymerase chain reaction. He was diagnosed with TB-related giant pulmonary bullae, and bullectomy was scheduled.

This case study emphasizes how crucial it is to use CT Chest to distinguish between a large bulla and a pneumothorax because each situation requires a distinct approach to treatment.

Case report

A 39-year-old male presented with persistent cough, and dyspnea on exertion from past 3 days. On physical examination, patient was dyspneic and had tachycardia, with a hyperresonant note and decreased breath sounds in the right hemi-thorax. Her neurological and cardiac status was normal. Laboratory results did not reveal any derangements.

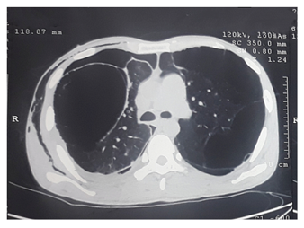
Chest X-ray PA view revealed bilateral large lucent areas with mediastinal shift and the largest one in the right upper thorax. (Figure 1) CECT Chest was performed then, which showed giant bullae occupying left and right upper lobes, with the largest one measuring 13 x 12 x 10 cm on right side (Figure 2).

Figure 1 Chest X-ray PA view shows bilateral lucencies with the larger one in the right upper thorax and accompanying mediastinal shift.

Figure 2 CECT Chest showing distorted lung parenchyma with formation of large bullae in both upper lobes, largest measuring 13x12x10 cm at right side.

Subsequent investigations involved sputum analysis for acid-fast bacilli (AFB) and CBNAAT, which confirmed the diagnosis of PTB. Patient was initiated on ATT, comprising fixed dose combination of isoniazid, rifampicin, pyrazinamide, and ethambutol, and a bullectomy was planned through a video assisted thoracoscopic approach.

Discussion

Bulla is defined as an air-containing space in the lungs, which measures more than 1 cm in diameter, while giant bullae are the ones occupying at least 30% of the hemithorax.2

The most beneficial and precise imaging method is high resolution computerised tomography (HRCT), which should be done before surgery. Bullae are seen as avascular regions having curved edges on computed tomography.2 A large airspace in the chest could indicate a pneumothorax if the outer wall of the bullae is not seen. A double wall sign separates the two.3,4

Bedside sonography is a helpful and quick technique that can help identify bullae from pneumothorax if a patient's clinical situation makes a computed tomography scan unsuitable. Bullae may exhibit the pleural sliding sign and the common "comet tail" phenomena of lung tissue moving against the pleura during respiration, but pneumothorax does not.5

A wide range of surgical procedures, often carried out using a sternotomy or other open procedure, such as a thoracotomy, have been recommended for the therapy of gigantic bullae, which includes lobectomy, plication, stapler resection, and local bullae excision. In order to treat bullous disease, video assisted thoracoscopic surgery (VATS) has emerged as the preferred surgical technique.6

In patients with giant bullae, symptoms and lung function can both considerably improve after bullectomy.1 If the patient's clinical state calls for emergency thoracostomy, the chest incision should be large enough to allow the physician to insert a finger into it prior to insertion of a chest tube. Therefore, drainage should be accomplished using the smallest tube possible. This procedure is crucial from a technical standpoint because it prevents catastrophic pulmonary fistulas from developing if the patient has bullae rather than a pneumothorax.

Conclusion

According to the case study, the differential diagnosis of tension pneumothorax should take giant bullae into account. It is crucial to distinguish bullae before therapy since they can produce clinical and radiological presentation similar to pneumothorax.

Declaration of patient consent

The authors certify that they have obtained all appropriate patient consent forms. In the form the patient(s) has/have given his/her/their consent for his/her/their images and other clinical information to be reported in the journal. The patients understand that their names and initials will not be published and due efforts will be made to conceal their identity, but anonymity cannot be guaranteed.

Acknowledgments

None.

Conflicts of interest

There are no conflicting interests declared by the authors.

Funding

None.

References

Creative Commons Attribution License

©2023 Harveen, et al. This is an open access article distributed under the terms of the, which permits unrestricted use, distribution, and build upon your work non-commercially.