Submit manuscript...
Journal of
eISSN: 2376-0060

Lung, Pulmonary & Respiratory Research

Case Report Volume 4 Issue 3

Von Recklinghausen's Disease and Emphysema Case Report

Hernandez-Zenteno R, Velazquez-Montero A

National Institute of Respiratory Diseases, COPD Clinic, Mexico

Correspondence: Hernandez-Zenteno R, National Institute of Respiratory Diseases, COPD Clinic, Mexico City, Mexico

Received: January 01, 2017 | Published: July 19, 2017

Citation: Hernandez-Zenteno R, Velazquez-Montero A, Trujillo FF, Monteros MC (2017) Von Recklinghausen’s Disease and Emphysema Case Report. J Lung Pulm Respir Res 4(3): 00130. DOI: 10.15406/jlprr.2017.04.00130

Download PDF

Keywords

Pulmonary arterial hypertension, Lung disease, Neurofibromatosis, Multipleneurofibromas, Emphysema

Case report

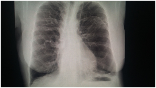
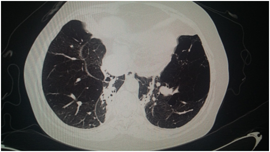
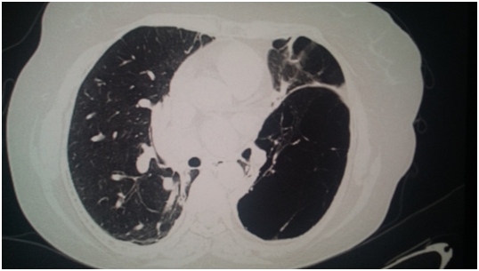
Female of 59 years old, exposed to biomass smoke (index=100 hrs/year), followed as Chronic Obstructive Lung Disease during 9 years; her main symptom has been dyspnea, vital signs HR 86 per min, RR 20 per min, 110/78 mmHg, body temperature 36.6°C, very severe obstruction in spirometry, low Diffusion Capacity, increased Residual Volume, Pulmonary Arterial hypertension by echocardiography (47 mmHg) and arterial gases pH 7.38, PaCO2= 47 mmHg, PaO2 66 mmHg, HCO3 =21.6 and O2 saturation 92.5% with oxygen supply. Radiographic studies Figure 1 showed, bullous emphysema at left lung in conventional chest radiography; and, neurofibromatosis lesions in both hands (Figure 2) and feet (Figure 3) and Computed tomography revealing bilateral emphysema and bullae (Figure 4).

Figure 1 Chest X ray.

Figure 2 Neurofibromatosis Lesions.

Figure 3 Bullous emphysema 1.

Figure 4 Bullous emphysema 2.

Review

Von Recklinghausen's disease or neurofibromatosis type 1 and 2 (NF1-2), is a common autosomal disorder characterized by multipleneurofibromas, cafe au lait spots, and Lisch nodules of theiris with a variable clinical systemic expression. Its prevalence estimated to be 1 in 3,000 live births, and males outnumbered females.1 Respiratory manifestations and Lung involvement in NFis a well-known complication, in only 5% of cases; the most reported symptom is dyspnea and the alterations consists of chest wall deformities, upper airway obstruction by neurofibromatosis, primary pulmonary hypertension, central hypoventilation, diaphragm paralysis, diffuse interstitial fibrosis and bullae, eitheralone or in combination. Estimated incidences of findings are for interstitial fibrosis 7-50%, bulla 18-50%, ground-glass opacities 9-37%, nodules 9%, cysts 14-25% and for mediastinal masses 14%.2-5

Smoking histories are documented in 25% of patients, but its association with NF remains controversial and unclear. In non-smoking NF occasionally a minimal micro nodular pattern of ground glass opacity is observed and less common emphysema, fibrosis, honecombing or severe bullous disease and may be entirely asymptomatic.2,3 Our particular case was exposed to significant biomass smoke, which do not have association with bullous emphysema as tobacco smoking does.

Acknowledgments

None.

Conflicts of interest

None.

References

Creative Commons Attribution License

©2017 Hernandez-Zenteno, et al. This is an open access article distributed under the terms of the, which permits unrestricted use, distribution, and build upon your work non-commercially.