Submit manuscript...
Journal of
eISSN: 2376-0060

Lung, Pulmonary & Respiratory Research

Case Report Volume 9 Issue 4

Widened mediastinum at elderly: a challenge in the emergency room (ER)

Julián Rondón Carvajal

Department of Internal Medicine, Faculty of Medicine, University of Antioquia, Colombia

Correspondence: Julián Rondón-Carvajal, Functional Unit of Internal Medicine, Alma Mater Hospital of Antioquia, Medellín, Colombia

Received: December 19, 2022 | Published: December 30, 2022

Citation: Rondón-Carvajal J. Widened mediastinum at elderly: a challenge in the emergency room (ER). J Lung Pulm Respir Res. 2022;9(4):102-105. DOI: 10.15406/jlprr.2022.09.00289

Download PDF

Abstract

A widened mediastinum is a feature often seen on a plain chest x-ray. When the mediastinum is greater than 6 to 8 cm, depending on which source, it is noted to be wide. A wide mediastinum has many causes which include thoracic aortic aneurysm of the ascending and proximal descending aorta, aortic dissection of ascending and proximal descending aorta, unfolding of the aorta, passing through traumatic aortic ruptura and non-vascular structural causes, such as hilar lymphadenopathy either infectious or malignant (lymphoma, seminoma, thymoma). At elderly, this finding constitutes a real challenge in the emergency room, which must be interpreted in the light of the hemodynamic condition of the patient, taking into account that in the scenario of chronic aortic syndrome it includes aneurysmal dilatations of the aortic root that can be dissected incompletely, presenting with latent intramural hematoma in ascending aorta until aortic tamponade with secondary obstructive shock.

Keywords: aortic síndromes, aterosclerosis, elderly, chest pain, mediastinum diseases, X-rays

Introduction

A widened mediastinum will often be first noted in the emergency department on a chest x-ray. The mediastinal borders are composed of the right heart, ascending aorta, superior vena cava, aortic knob, descending aorta, and the left heart. These structures are all contained between the right and left lungs. The mediastinum can be partitioned into three compartments from anterior to posterior, which is best viewed on the lateral film.1 The anterior compartment contains the heart, thyroid, and thymus. Pathology causing a widened mediastinum may also compress or displace nearby structures, such as the trachea.

The first consideration when a widened mediastinum is noted on x-ray is the quality of the chest film as poor technique can cause this presentation. An AP chest x-ray, typically obtained as a portable chest x-ray, is taken at a closer distance and therefore also reveals larger and less sharp structures. Patient positioning also plays an important role.2 If the patient is rotated or slouched, the mediastinum may appear falsely widened. After you have ensured the processing of an adequate film, the second consideration is to compare the chest x-ray to prior studies, if available. 

The most significant life-threatening concern associated with a wide mediastinum is an acute aortic rupture or aortic dissection. Additional imaging must be obtained to investigate these diagnoses. In a stable patient, CT angiography of the chest is the best study for aortic pathology.1,2 However, if there is concern that the patient is unstable, they should not be transported to the radiology suite.3 In this instance, bedside ultrasound is an option which may reveal aortic pathology. In all cases, both immediate and potential causes of a widened mediastinum must merit consideration and be ruled out.2,3

Clinical vignette

A 89-year-old man, independent for basic and instrumental activities of daily living, with a personal history of arterial hypertension and permanent atrial fibrillation, anticoagulated on an outpatient basis with apixaban, 2.5 mg BID in the context of stage 3b chronic kidney disease. He consulted the emergency room (ER) for a two-month history of chest pain that he describes as tearing, sometimes irradiating to the interscapular region, of maximum intensity and an average duration of 40 minutes. He denied episodes close to syncope or symptomatic palpitations, although he did show a slight deterioration in functional class, without peripheral edema. He denied recent blunt chest trauma.

The electrocardiogram on admission showed sinus tachycardia (heart rate: 102 bpm) and signs of left ventricular hypertrophy by modified Cornell criteria. Negative cardiac biomarker (troponin I). Parallel to the request for chest X-ray, invasive stratification was outlined with diagnostic and therapeutic coronary angiography, in the absence of symptoms suggestive of pulmonary edema and/or cardiogenic shock, with a report of: left main trunk without obstructive lesions; anterior descending artery of marked length up to the apex, surrounding it, originating diagonal branches and septal perforators, with discrete atheromatous irregularities in the middle third; circumflex artery with marginal branches; right coronary artery that originates artery for the pulmonary artery cone, sinus node, right ventricular branch, posterior descending and posterolateral branch, without significant lesions, giving right dominance.

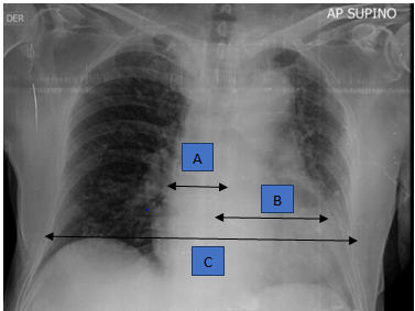
The portable chest X-ray was interpreted with a cardiothoracic index (A+B/C) greater than 2, associated with effacement of the aortic knob and alveolar opacities of parahilar distribution, in the context of signs of postcapillary pulmonary hypertension (Figure 1).

Figure 1 Anteroposterior projection (AP) chest X-ray.

Due to the suspicion of chronic aortic syndrome, in relation to incomplete Stanford A aortic dissection in a hemodynamically stable patient, an angiotomography of the aorta was performed, with the following findings (Figures 2A,2B).

  1. Large ectatic supra-aortic vessels with calcified atheromas in the wall and thoracic vascular structures with a normal tomographic appearance.
  2. Pulmonary artery with increased caliber reaches a measurement of 4 cm.
  3. The thoracic aorta has an alteration in the caliber (orange arrow).

Figure 2A Aortic CT angiography, axial section.

Figure 2B Aortic CT angiography, coronal section.

The measurements are: (Table 1).

  1. The caliber of the descending aorta is altered in most of the anatomical structure in a distance of 7.5cm (yellow arrow).
  2. The diaphragmatic aorta has a normal caliber with a measurement of 3 cm and the suprarenal aorta is not included. No aortic mural thrombus or dissection flap is observed.

Aortic annulus: 4.4 cm (2.0-3.1 cm)

Sinuses of Valsalva: 4.5 cm (2.9-4.5 cm)

Sinotubular junction: 3.7 cm (2.2-3.6 cm)

Ascending aorta: 4.8 cm (2.2-3.6 cm)

Aortic arch: 4.3 cm (2.2-3.6 cm) (interlined yellow line)

Descending aorta: 3.9 cm (2.0-3.0 cm)

Table 1 The thoracic aorta has an alteration in the caliber

It was complemented with a transthoracic echocardiogram that reported a moderately dilated left ventricle with normal thickness of its walls constituting eccentric hypertrophy, motility and normal systolic function, with ejection fraction calculated at 65%, in the presence of atrial fibrillation with controlled ventricular response. Severe biatrial dilation, with functional right ventricle (TAPSE: 24mm) and moderate dilatation of the ascending aorta without signs of complete and/or incomplete dissection.

It was decided to optimize antihypertensive management, in an outpatient follow-up plan with complementary images by vascular surgery after a week of clinical observation, with no complications described. At present, the patient's symptoms have improved, with no new episodes of chest pain of similar characteristics.

Discussion

The approach to a patient with chest pain and suspected widened mediastinum on chest X-ray is based on a correct interpretation of the X-ray in the emergency department, taking into account elementary technical aspects: type of projection, tube-receptor distance, penetrance, inspiration and degree of rotation with respect to the axial axis. The supine chest film is used as a screening tool to detect thoracic aortic rupture (TAR). Many authors have discussed the usefulness of plain film findings. None is perfect. In his review, Woodring found that 7.3% of great vessel damage does not result in mediastinal widening;4,5 this may be as high as 12% in other series of non-traumatic aortic síndromes.6

Other authors have suggested various techniques for improving plain chest radiological interpretation including M/C ratio or a combination of signs. Most include mediastinal width as one of the cardinal signs of TAR. In everyday practice, mediastinal widening is still the most commonly sought after sign. Clinicians will be familiar with the scenario of the chest radiograph revealing an abnormally wide mediastinum.5 This may be an unexpected finding in a patient who is haemodynamically stable and has not sustained an injury associated with TAR. This radiological finding should alert us at elderly to the fact that up to 16% of patients with aortic syndrome with ascending aorta involvement (Stanford B) have a baseline aortic aneurysm and most dissections occur within a few millimetres of the valvular plane.5–7

In addition to coronary artery and peripheral arterial disease, aortic diseases aortic diseases contribute to the broad spectrum of arterial diseases: aortic aneurysms, acute aortic syndromes (AAS) including aortic dissections (AD), intramural haematomas (IH), penetrating atherosclerotic ulcers (PAU) and traumatic aortic injuries (TAI), pseudoaneurysms, aortic ruptures, atherosclerotic and inflammatory conditions, as well as genetic diseases (e.g. Marfan syndrome) and congenital anomalies such as coarctation of the aorta. e.g. Marfan syndrome) and congenital anomalies such as coarctation of the aorta. Like other arterial diseases, aortic diseases can be diagnosed after a long period of subclinical evolution or after an acute presentation.6 AAS is often the first sign of the disease and requires prompt diagnosis and decision making in order to reduce the extremely poor prognosis it carries the extremely guarded prognosis.2,6 Aortic diseases in elderly patients often present as thromboembolic or atherosclerotic stenosis. Calcified aorta can be a problem for surgical or interventional measures. The calcified "coral reef" aorta should be considered as an important differential diagnosis as well as the chronic course of incomplete aortic dissection over time. The main causes of true widened mediastinum, according to their nature, are listed below (Table 2):8

Vascular causes

Non-vascular causes

True aortic aneurysms (involve dilatation of all three layers of the aortic wall)

Lymphadenopathy (precarinal, paratracheal); Mediastinal nodes on short axis >10 mm

Sarcoidosis

Lymphoma/leukemia (usually, Hodgkin's lymphoma)

Infections: tuberculosis, histoplasmosis

Neoplasm of lung, head and neck, breast

Aortic dissection (complete, incomplete)

Enlargement of thyroid/thymus

Submerged goiter (usually multinodular)

Thymoma, thymic carcinoma (10-40%)

Aortic ectasia (unfolding)

Teratoma

Benign cystic teratoma

Germ cell neoplasms: seminoma, teratocarcinoma, embryonatrium carcinoma, choriocarcinoma

Infectious aortitis (T. pallidum, S. aureus, Salmonella spp, etc.)

Miscellaneous

 

Foregut cysts: bronchogenic (most common), enteric, neuroenteric

Table 2 The main causes of true widened mediastinum, according to their nature

They can be traumatic or non-traumatic causes; only the latter will be cited. Vascular causes of mediastinal widening can be differentiated from non-vascular causes such as lymph node enlargement by the recognition of a smooth vascular contour and the continuation of this contour with known vascular structures such as the aorta or the subclavian arteries.8

The concept of "ageing aorta" is novel. It is a single duct that carries an average of about 200 million litres of blood through the body during a person's lifetime. It is divided by the diaphragm into the thoracic aorta and the abdominal aorta. Histologically, the aortic wall is composed of three layers: a thin inner tunica intima, bounded by the endothelium; a thick tunica media, characterised by concentric sheets of elastic and collagen fibres with the end of the internal and external elastic lamina, as well as smooth muscle cells; and the tunica adventitia, which contains mainly coagulum, vena cavae and smooth muscle cells. mainly contains collagen, vasa vasorum and lymphatic vessels.4 In addition to conduit function, the aorta is instrumental in controlling systemic vascular resistance and heart rate via pressure-responsive receptors located in the ascending aorta and aortic arch. An increase in arterial pressure results in a decrease in both heart rate and systemic vascular resistance, while a decrease in aortic pressure results in an increase in arterial rate and systemic vascular resistance.4–6

Through its elasticity, the aorta also plays the role of a "second pump" (Windkessel function) during diastole, which is of great importance not only for coronary perfusion. In healthy adults, aortic diameters do not usually exceed 40 mm and gradually narrow as the aorta becomes more distal.5 They are variably influenced by several factors, most notably age. In this regard, the rate of aortic expansion is around 0.9 mm in males and 0.7 mm in females for each decade of life. It is believed that this slow but progressive aortic dilatation in the middle aortic dilatation in mid-life is thought to be a consequence of ageing associated with a higher collagen/elastin ratio and increased stiffness and pulse pressure.6,7

In the case of our patient, a true thromboembolic aortic disease was not confirmed, defined by the presence of aortic plaques consisting of the accumulation of lipids in the intimomedial layer, whose superficial erosions with the subsequent appearance of a thrombus can cause thrombotic (thromboembolism) or atherosclerotic emboli (from cholesterol crystals).5,6 This is an elderly man with ascending aortic dilatation without a proven dissection flap, at risk of evolving into a chronic aortic dissection (lasting more than 90 days), which in general may not be complicated, with a stable course of the aortic dissection. disease, or complicated by progressive aneurysmal degeneration, chronic visceral or extremity poor perfusion, and persistent or recurrent pain or even ruptura;6 this group includes patients previously operated on for type A AD, with persistent dissection of the descending aorta.

Finally, in this clinical scenario, blood pressure must be optimized, seeking a goal of less than 130/80 mmHg, in addition to avoiding contact activities. Patients with type B chronic AD complicated by progressive thoracic aortic dilatation (>10 mm/year), false lumen aneurysms (with total aortic diameter > 60 mm),7 poor perfusion syndrome, or recurrent pain require TEVAR or surgical treatment.6 The optimal treatment in patients with chronic AD, however, remains unclear.6–8

Conclusion

Using current radiographic techniques, the 8–8.8 cm upper limit for normal mediastinal width could be applied; the calculation of the cardiothoracic ratio (CTR), independent of the projection, is suggested in the light of the information obtained by the electrocardiogram. To minimise magnification, it is recommended that the x ray plate is placed close to the patient: ideally, this should be directly under the spinal board. The CTR (in adults normally less tan 50%) is assessed by the ratio of the widest breadth of the heart to the widest internal diameter of the thoracic cavity.

Clinicians must be aware of the clinical burden, risk factors, and signs and symptoms of aortic conditions so that proper detection of these illnesses can occur and close monitoring for both primary and secondary prevention can be performed, especially in the elderly patient with chest pain of atypical characteristics in terms of high intensity from the beginning, tearing and irradiation to the back.

As a result of increasing scientific interest, outcomes of patients treated for AASs have also improved. However, clinical pathways that facilitate efficient and streamlined care similar to acute coronary syndrome or stroke are not yet implemented. Meanwhile, emerging serum biomarkers may soon offer hope for easier identification of patients with AAS. Finally, continued enthusiasm and further technical improvement will eventually improve the management of low-incidence–high-impact AAS.

Acknowledgments

To Laura Daniela Duque-Puerta, physician of the emergency room, for collaborating in the preparation of the images of the case.

Conflicts of interest

There are no conflicting interests declared by the autor.

Funding

None.

References

Creative Commons Attribution License

©2022 Rondón-Carvajal. This is an open access article distributed under the terms of the, which permits unrestricted use, distribution, and build upon your work non-commercially.