Submit manuscript...
Journal of
eISSN: 2471-1381

Liver Research, Disorders & Therapy

Case Report Volume 3 Issue 2

An unexpected igg4-related enteropathy masquerading as a stricturing malignancy

Kun Jiang

Department of Pathology, Moffitt Cancer Center, USA

Correspondence: Kun Jiang, Department of Pathology, Moffitt Cancer Center, 12902 Magnolia Drive, Tampa, FL 33612, USA, Tel  8137458203, Fax 813 7451708

Received: January 09, 2017 | Published: April 26, 2017

Citation: JianAn unexpected igg4-related enteropathy masquerading as a stricturing malignancy. J Liver Res Disord Ther. 2017;3(2):38-40. DOI: 10.15406/jlrdt.2017.03.00049

Download PDF

Abstract

IgG4 related enteropathy is a rare entity with a characteristic histologic picture and elevated IgG4 plasma cells that may mimic malignancy on clinical presentation. This report describes a 68year old female that developed abdominal pain, nausea, and vomiting refractory to medical management. A CT scan showed a 6 centimeter segment of thickened and strictured right colon. Biopsies of the mucosa showed ulceration, granulation tissue, and mucosal injury. Due to concern for malignancy, a right hemicolectomy was performed with the final pathology displaying multifocal lymphoplasmacytic infiltrates and IgG4 positive plasma cells within fibrotic regions of the submucosa. This case highlights the unique and challenging presentation of IgG4 enteropathy with an emphasis on early detection and preventing unnecessary surgical morbidity, as this disease process is highly responsive to steroids.

Keywords: obliterative phlebitis, early diagnosis, ulceration, granulation tissue, mucosal injury, allergies, eosinophilia, diagnosis on biopsy, lower tubular, hemicolectomy, lymphoplasmacytic infiltrates, segment of thickened, histologic, surgical morbidity, enteropathy

Introduction

IgG4 related disease is a rare, mass forming, multisystem fibrotic disorder that often imitates a neoplastic process. Early diagnosis is challenging, as it presents with a myriad of vague, nonspecific symptoms based on the location and subsequent organ dysfunction from fibrosis. Involvement of the lower gut is extremely uncommon and only a few cases have been reported in the medical literature.1 The characteristic histologic findings are a dense lymphoplasmacytic infiltrate, dense fibrosis arranged in a storiform pattern, and obilterative phlebitis.1 The presence of IgG4 positive plasma cells is required for the diagnosis with an IgG4/IgG ratio of greater than 40% providing additional support.1 Early diagnosis, although difficult, is important because most patients respond well to corticosteroids in 2-4weeks.2

Case presentation

A 68 year old female with a past medical history significant for arthritis, hyperlipidemia, overactive bladder, reflux, and hysterectomy presented with right sided abdominal pain, nausea, and vomiting. After admission to an outside hospital, a CT scan showed a 6 cm segment of right colon with wall thickening and periluminal lucency suggesting submucosal gas. The right sided abdominal pain subsided after the hospitalization. A small bowel series performed after her hospital stay was within normal limits. A colonoscopy performed several months later revealed a tight stricture at the beginning of the ascending colon that was not amenable to dilation. A pediatric scope was passed through the stricture and the terminal ileum was noted to be within normal limits. Biopsies of the strictured area were taken that showed ulceration, granulation tissue, mucosal injury, and ultimately no evidence of malignancy.

Six months after the initial presentation, a staging CT scan of the thorax, abdomen, and pelvis was performed prior to right hemicolectomy that showed an area of circumferential thickening beginning at the ileocecal valve and extending several centimeters cephalad. No gross extension into the pericolonic fat was seen on imaging. On gross exam, the right hemicolectomy specimen had a stricture with hemorrhage measuring 1.5 x 1.5 x 0.1 cm at the cecal-ascending colon interface. The remainder of the specimen was unremarkable.

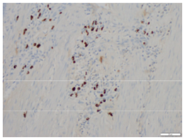
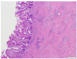
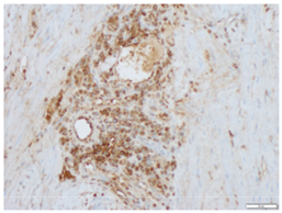
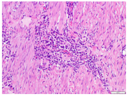
The entire strictured area was submitted for microscopic analysis. These sections showed chronic inflammation, crypt architectural distortion, and marked submucosal fibrosis with a multifocal lymphoplasmacytic infiltrate (Figure 1 & 2). No neoplasm was identified. Immunohistochemical stains for IgG (Figure 3) and IgG4 (Figure 4) were performed that highlighted foci of lymphoplasmacytic aggregates and many IgG4 positive plasma cells within the fibrotic areas. The histologic and immunophenotypic evidence supported the diagnosis of IgG4 related enteropathy in this patient.

Discussion

This report describes a case of a large bowel stricture as a result of IgG4 related enteropathy. The gold standard for diagnosing IgG4 related disease is identifying the characteristic histologic and immunohistochemical features. The three distinctive histologic features are a dense lymphoplasmacytic infiltrate, dense fibrosis arranged in a storiform pattern, and obliterative phlebitis.1 The least common feature, obliterative phlebitis, is the most unique feature of the disease.1 Immunohistochemical characteristics that support the diagnosis are abundant IgG4 positive plasma cells, ranging from 11 to more than 200 per high power field.2 A cutoff of more than 50 per high power field is highly specific, but different values are proposed for different tissues and surgical specimens.2 A definitive diagnosis requires 2 out of 3 histologic criteria to be met, and there are differing opinions regarding whether an IgG4 to IgG plasma cell ratio greater than 0.4 is supportive of the diagnosis or mandatory for the diagnosis.1,2

Figure 1 Microscopic analysis of strictured area containing Chronic inflammation, Crypt architectural distortion.

Figure 2 Microscopic analysis of strictured area containing marked submucosal fibrosis with a multifocal lymphoplasmacytic infiltrate.

Figure 3 Immunohistochemical stains for IgG.

Figure 4 Immunohistochemical stains for IgG4.

This IgG4 related enteropathy presentation continues the trend of being suspicious for a malignant process given the rarity of IgG4 related enteropathy involving the bowel wall. Clinicians rarely encounter this disease, so it remains low on the differential diagnosis. A Japanese study estimated the prevalence of any type of IgG4 related disease at approximately 6 per 100,000 inhabitants3 and there have been few reports of isolated IgG4 enteropathy of the bowel wall4,5 and of IgG4 related enteropathy causing bowel obstruction or stricture6 in the medical literature. While there are many reports of IgG4 related sclerosing mesenteritis, IgG4 related disease involving the lower tubular gut is generally met with skepticism.7 A proposed explanation for this rare phenomenon is that the disease originates in the mesentery and then spreads to the bowel wall.8 There have been a few cases diagnosed on biopsy specimens, but the majority of reports are diagnosed after surgical resection.4,5

This case demonstrates a unique presentation in that the IgG4 related disease solely involved the ascending colon causing circumferential wall thickening without any mesenteric involvement. IgG4 related enteropathy continues to be a challenging diagnosis on biopsy, as the characteristic histologic features are rarely present in the superficial mucosa. Review of the patient’s past medical history could possibly raise suspicion for this diagnosis with 30-50% of patients having an atopic history of allergies, eosinophilia, and/or elevated IgE levels.2,9,10 Also, investigation of serum IgG4 levels could prove helpful in making the diagnosis.10 A serum IgG4 > 1.35 g/L has a sensitivity of 97.0% and a specificity of 79.6% in diagnosing IgG4 related disease, however, patients with early or limited disease may not have an elevated level.11

Conclusion

Continued interest in improving the early diagnosis of this entity is needed to institute early corticosteroid therapy and prevent unnecessary surgical procedures. In cases such as this, with bowel wall thickening as the sole radiographic finding, perhaps more generous biopsy specimens would help to identify the characteristic histologic findings present in the submucosa and aid in early diagnosis.

Acknowledgements

None.

Conflict of interest

Author declares that there is no conflict of interest.

References

  1. Robert D Odze, John R Goldblum. "Autoimmune Disorders of the Gastrointestnal Tract." Odze and Goldblum Surgical Pathology of the GI Tract, Liver, Biliary Tract, and Pancreas. Philadelphia: Saunders/Elsevier; 2015. p. 256‒265.
  2. Vasaitis L. IgG4-related disease: a relatively new concept for clinicians. Eur J Intern Med. 2016;27:1‒9.
  3. Kazushige Uchida, Atsushi Masamune, Tooru Shimosegawa, et al. Prevalence of IgG4-Related Disease in Japan Based on Nationwide Survey in 2009. International Journal of Rheumatology. 2012;2012(2012):5.
  4. Fujita T, Ando T, Sakakibara M, et al. Refractory gastric ulcer with abundant IgG4-positive plasma cell infiltration: a case report. World J Gastroenterol. 2010;16(17):2183‒2186.
  5. Fujita K, Naganuma M, Saito E, et al. Histologically confirmed IgG4-related small intestinal lesions diagnosed via double balloon enteroscopy. Dig Dis Sci. 2012;57(12):3303‒3306.
  6. Abe A, Manabe T, Takizawa N, et al. IgG4-related sclerosing mesenteritis causing bowel obstruction: a case report. Surgical Case Rep. 2016;2(1):120.
  7. Deshpande V. IgG4-Related Disease of the Gastrointestinal Tract: A 21st Century Chameleon. Arch Pathol Lab Med. 2015;139(6):742‒749.
  8. Hiyoshi Y, Oki E, Zaitsu Y, et al. IgG4-related disease of the ileocecal region mimicking malignancy: A case report. Int J Surg Case Rep. 2014;5(10):669‒672.
  9. Della Torre E, Mattoo H, Mahajan VS, et al. Prevalence of atopy, eosinophilia, and IgE elevation in IgG4-related disease. Allergy. 2014;69(2):269‒272.
  10. Chen H, Lin W, Wang Q, et al. IgG4-related disease in a Chinese cohort: a prospective study. Scand J Rheumatol. 2014;43(1):70‒74.
  11. Yasufumi Masaki, Nozomu Kurose, Motohisa Yamamoto, et al. Cutoff values of serum IgG4 and histopathological IgG4+ plasma cells for diagnosis of patients with IgG4-related disease. Int J Rheumatology. 2012;2012(2012):5.
Creative Commons Attribution License

©2017 JianAn. This is an open access article distributed under the terms of the, which permits unrestricted use, distribution, and build upon your work non-commercially.