Submit manuscript...
Journal of
eISSN: 2471-1381

Liver Research, Disorders & Therapy

Editorial Volume 3 Issue 5

Biliary Sludge: Can We Avoid Punishing Gallbladder by Srivastava Regimen of Integrated Approach of Medicine?

Pankaj Srivastava,1 Shalini Srivastava,2 Reema Srivastava2

1Department of Surgery, Om Surgical Center & Maternity Home, India
2Department of Obstetrics and Gynaecology, Om Surgical Center & Maternity Home, India
3Department of Botany, Kanoria PG Mahila Mahavidyalaya, India

Correspondence: Pankaj Srivastava, Laparoscopic, Thoracic, Thoracoscopic & VATS Surgeon, Om Surgical Center & Maternity Home, SA 17/3, P-4, Sri Krishna Nagar, Paharia, Ghazipur Road, Varanasi, UP, India,, Tel +91542258 6191, Fax 9194 1522 6817

Received: October 31, 2017 | Published: November 1, 2017

Citation: Pais CSR. Cure of systemic arterial hypertension after hepatic adenoma laparoscopic resection: case report. J Liver Res Disord Ther. 2017;3(5):115 -117. DOI: 10.15406/jlrdt.2017.03.00068

Download PDF

Editorial

Precipitates in the bile have been called by many names like biliary sludge, gallbladder sludge, microlithiasis, and pseudolithiasis. Biliary sludge is best diagnosed by microscopic examination of a fresh sample of gallbladder bile.1 Biochemically, sludge is composed of calcium bilirubinate granules and cholesterol monohydrate crystals embedded in mucus gel. These calcium precipitates, with cholesterol crystals 50µ or more in diameter, produce the characteristic ultrasonic echoes in sludge. The deformable mucin gel accounts for its unique layering and flow characteristics.2 Biliary sludge was first described in 1970’s with the advent of ultrasonography and described as low-level echoes that layer in the dependent portion of the gallbladder without acoustic shadowing. It is essentially an ultrasonographic diagnosis but sensitivity of only 55% and patients with sludge often have normal test results. Microscopic examination of gallbladder contents is considered the gold standard for the diagnosis of biliary sludge.3 Gallbladder bile can be obtained at the time of endoscopy or by nasogastric tube aspiration of duodenal contents after infusing cholecystokinin to promote gallbladder emptying. Hepatic bile can be collected from the patients of common bile duct through T-tube drainage after cholecystectomy and choledochotomy in cholelithiasis and/or choledocholithiasis. This model can give pure hepatic bile for evaluation for a pretty long time.4 The importance of gallbladder in the pathogenesis of biliary sludge and subsequently gallstones must be emphasized. Mucus hyper secretion and early glandular epithelial metaplasia have been observed in the gallbladder containing sludge. The glandular epithelial metaplasia leads to an increase in the mucus content of gallbladder bile, which in turn results in nucleation of cholesterol crystals and further gallstone formation. One immune fluorescence study of biliary sludge in patients with cholesterol or mixed gallstones demonstrated that after the ultracentrifugation of gallbladder bile the purified sediment appeared as a mixture of vesicular aggregates and pigment particles which were linked by a gel matrix of mucin containing cholesterol crystals. While anionic polypeptide fraction and amino peptidase were associated to pigments, IgA was uniformly spread in the crystalline parts of "core-like" structures, and albumin, when it was present, appeared as randomly located small spots.5 The main pathogenic mechanism involved in sludge formation is probably gallbladder dismotility, and in selected patients measures aimed to maintain adequate gallbladder contractions has been shown to effectively prevent sludge development.6 Gallbladder hypomotility found in patients of prolonged total parenteral nutrition and of high spinal cord injury predisposes formation of biliary sludge. The clinical course of biliary sludge ranges from complete resolution to progression to formation of gallstones. It may cause complications usually associated with gallstones, such as biliary pain, acute cholecystitis, and acute pancreatitis. The overall prevalence of sludge in the general population is relatively low. However, several clinical conditions are associated with a particularly high prevalence of biliary sludge, including pregnancy, rapid weight loss, total parenteral nutrition (TPN), octreotide therapy, bone marrow or solid organ transplantation.6 Ceftriaxone is one of the most commonly used 3rd generation parenteral cephalosporins because it has wide spectrum of anti-microbial activity, a long plasma half-life that allows once-daily administration and it can even penetrate the blood brain barrier. Ceftriaxone could have potential complications and these are biliary sludge or biliary lithiasis, and even urinary tract precipitation, but these complications may be reversible upon discontinuation of Ceftriaxone.7 The natural history of sludge depends on the predisposing risk factors. In the prospective study of patients receiving TPN, 6% patients developed sludge in 3weeks, 50% by the 4 to 6weeks and after 6weeks its appearance was universal but significantly sludge resolved with reinstitution of oral feedings in all the patients by the end of 4weeks.8 Likewise biliary sludge occurred most frequently during pregnancy but was generally asymptomatic and often disappeared spontaneously after delivery.9 In unexplained recurrent acute pancreatitis, biliary sludge has been implicated as the etiology in up to two third patients.10 Lee et al.2 studied natural evolution of gallbladder sludge in patients, followed them up to 3years concluded that sludge spontaneously disappeared in 50% of patients and remained asymptomatic in another 20%; 5% to 15% of patients developed gallstones and 10% to 15% of patients developed symptoms ranged from severe biliary pain to with or without recurrent acute pancreatitis.2

As such biliary sludge is considered as precursor of gallstones; therefore, treatment of biliary sludge is also similar to gallstone diseases. If biliary sludge is an incidental finding of ultrasonography done for other reasons, patient must be offered expectant treatment with follow-up ultrasonographic scans. Patients presented with complications or severe symptoms must be treated accordingly. Cholecystectomy is the definitive and gold standard treatment for symptomatic biliary sludge. In patients with pancreatitis or cholangitis who are not amenable for surgery, sphincterotomy is a reasonable alternative to cholecystectomy.3 It is already demonstrated that the cholesterol content and the distribution pattern of mucin and different proteins is similar in the sediments of biliary "sludge" to that in cholesterol and mixed gallstones. This suggests that biliary "sludge" represents an early stage of gallstone formation in this patients.5 Since it is precursor of gallstones sooner or later it may cause complications and warrants cholecystectomy, therefore treatment is essential to avoid operation. The principal non-invasive non-surgical medical treatment for cholesterol gallstones is still represented by oral litholysis with bile acids. The first successful and documented dissolution of cholesterol gallstones was achieved in 1972 by oral administration of chenodeoxycholic acid (CDCA), a primary tri hydroxy bile acid. The use of CDCA due to a dose-dependent increase in aminotransferases, to an increase in serum low-density lipoprotein cholesterol and the development of bile salt-induced diarrhea, raised concerns. Since the more hydrophilic Ursodeoxycholic acid (UDCA) appeared to be as effective in gallstone dissolution but practically devoid of side-effects, it rapidly replaced CDCA and represents the most widely recorded experience in the literature.11 UDCA has also been considered to treat patients with biliary sludge. The beneficial effect of UDCA in this condition has been shown in a clinical study in which idiopathic acute pancreatitis has been related to microscopic gallstones or biliary sludge. In this study UDCA administration within 3 to 6months prevented gallstone recurrence and more episodes of pancreatitis over a follow-up of 44months.12

Biliary sludge containing excess cholesterol creates a permissive environment in the gallbladder altering the normal balance between hydrophobic bile acids and gallbladder protective mechanisms. Bile acids stimulate the formation of reactive oxygen species, capable of initiating inflammatory processes and cholecystitis. Thus UDCA, by reducing the excess cholesterol and “neutralizing” the hydrophobic bile acids, restores the balance between aggressive biliary factors and gallbladder protective mechanisms.13 We give UDCA 10-15mg/kg body weight/day in 2 divided doses for period of 4 to 6weeks.

Didenko et al.14 established role of salmonella infection in biliary sludge by the methods of light microscopy and immune cytochemistry studies of interaction between S. typhimurium and corpuscular biliary components was investigated in experimental model "bile-bacteria”.14 It was shown that the results of this interaction were bacterial-biliary sludge formation. Bacterial extracellular muco polysaccharides matrix and flagella's play crucial role in mechanism of sludge formation.14 Few ultrasonographic studies also confirmed the positive association between Salmonella and biliary sludge formations in different subsets of patients.15,16 Taking this fact into consideration we used to give our patients oral ampicillin in a dose of 500mg trice daily for at least three to four weeks as ampicillin is not only a cost-effective drug but also offers multifold benefits. It dramatically influences biliary lipid composition directly. It inhibits the biliary secretion of phospholipid and cholesterol, but not bile salt, and consequently reduces the molar percentage of cholesterol in bile. In addition ampicillin is a potent choleretic, increasing bile volume by 100%. Since total bile salt secretion remained constant while bile volume increased, biliary bile salt concentration fell by 50% during ampicillin administration. The inhibition of biliary lipid secretion and changes in bile volume are related to biliary ampicillin levels and are fully reversible after ampicillin is discontinued. The increase in bile volume seen during an ampicillin infusion is probably the result of an osmotic choleresis.17

In the era of traditional medicines in India, Ayurveda has very rich legacy to treat different illnesses including jaundice since thousand years. Medicinal plants with the hepatobiliary mode of action remain essential therapeutic agents for the treatment of cholestasis. They are denoted as cholagogues (promoting the flow of bile from the liver and gallbladder into the intestines) and choleretics (increasing bile production). One of the best studied cholagogues is silymarin from milk thistle Silybum marianum, which is mixture of four isomeric flavonolignans; silibinin (most active component), isosilibinin, silydianin and silychristin.18 Silymarin induces hepatic output of bile acids and bile acid-dependent choleresis, but does not affect bile acid-independent bile flow.19 Plant secondary metabolic compounds with the cholagogue mode of action are important therapeutic agents for the treatment of cholestasis and hepatobiliary disorders. Herbal cholagogues target different components of the complex bile production and secretion system, and exert their action via diverse routes, such as cholecystokinin-dependent and independent gallbladder contraction, up-regulation of the bile acid synthesis, stimulation of the bile salt export pump, multidrug resistance protein transporter system, and osmotic bile flow.20

In Ayurvedic classics a good number of drugs and their formulations have been mentioned for treatment of jaundice. Phalatrikadi kvatha (decoction), one of the important prestigious formulations, mentioned in various Ayurvedic classics, has been successfully used from the ancient period.21 It contains eight plant ingredients in different ratios.21 Srivastava et al.4 evaluated the antioxidant property of phalatrikadi kvatha, in which bile samples were analyzed at different intervals and the study points that the drug significantly lowers the oxidative stress in bile. As free radical injury is proved to be implicated in gall stone formation, reduction of free radical formation (oxidative stress) improves the biochemistry of bile and thus prevents the stone formation.4 We provide either fresh decoction in a dose of 20ml twice daily or in condensed form as tablet in a dose of 500mg thrice daily.

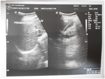
Conclusively, patients of asymptomatic and uncomplicated biliary sludge must be given chance to recover from their ailment by offering them “Srivastava regimen for biliary sludge” which contains oral ampicillin, UDCA and Phaltrikadi Kvatha (decoction) or Ghanbati (Tablet) for minimum of 45days, dietary fat restriction, plenty of water intake and avoiding all the possible confounding factors of gallstone diseases. In most of the patients, biliary sludge vanishes and gallbladder appears completely normal in ultrasonography (Figure 1) (Figure 2). Laparoscopic cholecystectomy remains gold standard treatment for complicated biliary sludge. In our opinion, one should try to avoid cholecystectomy in asymptomatic and even mild symptomatic cases as most of the patients give acceptable response to conservative management. By this we can not only avoid unnecessary expensive surgical burden to healthcare system but also save stress of our patients and not least poor gallbladder. We also want researchers to ponder further conclusive research trials which enable us better understanding of the pathogenesis of biliary sludge and further elucidation of the mechanism of action of these ayurvedic preparations at the molecular level for scientific basis of treatment. We have designed our regimen on the basis of available scientific researches and traditional ayurvedic literature and found that integrated approach of medicine works wonderfully and it is need of time.

Figure 1 Pre-treatment ultrasonography scan showing biliary sludge.

Figure 2 Post-treatment ultrasonography scan showing clear gallbladder lumen.

Acknowledgements

None.

Conflict of interest

Author declares that there is no conflict of interest.

References

  1. Lee SP, Nicholls JF, Park HZ. Bilary sludge as a cause of acute pancreatitis. N Engl J Med. 1992;326(9):589‒593.
  2. Lee SP, Maher K, Nicholls JF. Origin and fate of biliary sludge. Gastroenterology. 1998;94(1):170‒176.
  3. Jain R. Biliary Sludge: When Should It Not be Ignored? Curr Treat Options Gastroenterol. 2004;7(2):105‒109.
  4. Srivastava P, Sahu M, Khanna S, et al. Evaluation of oxidative stress status following polyhedral formulation therapy in patients of cholelithiasis with choledocholithiasis. Ancient Science of Life. 2005;24(3):143‒151.
  5. De la Porte PL, Lafont H, Domingo N, et al. Composition and immune fluorescence studies of biliary "sludge" in patients with cholesterol or mixed gallstones. J Hepatol. 2000;33(3):352‒360.
  6. Pazzi P, Gamberini S, Buldrini P, et al. Biliary sludge: the sluggish gallbladder. Dig Liver Dis. 2003;35(Suppl 3):S39‒S45.
  7. Choi YY, Jung YH, Choi SM, et al. Gallbladder pseudolithiasis caused by ceftriaxone in young adult. J Korean Surg Soc. 2011;81(6):423‒426.
  8. Messing B, Dories C, Kuntslinger F, et al. Does total parenteral nutrition induce gallbladder sludge formation and lithiasis? Gastroenterology. 1983;84(5Pt 1):1012‒1019.
  9. Maringhini A, Ciambra M, Baccelliere P, et al. Biliary sludge and gallstones in pregnancy: incidence, risk factors, and natural history. Ann Intern Med. 1993;119(2):116‒120.
  10. Levy MJ, Geenen JE. Idiopathic acute recurrent pancreatitis. Am J Gastroenterol. 2001;96(9):2540‒2555.
  11. Guarino MP, Cocca S, Altomare A, et al. Ursodeoxycholic acid therapy in gallbladder disease, a story not yet completed. World J Gastroenterol. 2013;19(31):5029‒5034.
  12. Lazaridis KN, Gores GJ, Lindor KD. Ursodeoxycholic acid ‘mechanisms of action and clinical use in hepatobiliary disorders’. J Hepatol. 2001;35(1):134‒146.
  13. Guarino MP, Cong P, Cicala M, et al. Ursodeoxycholic acid improves muscle contractility and inflammation in symptomatic gallbladders with cholesterol gallstones. Gut. 2007;56(6):815‒820.
  14. Didenko LV, Andreevskaia SG, Tiganova IG, et al. Role of salmonella in biliary lithogenesis. Eksp Klin Gastroenterol. 2009;(3):44‒47.
  15. Shetty PB, Broome DR. Sonographic analysis of gallbladder findings in Salmonella enteric fever. J Ultrasound Med. 1998;17(4):231‒237.
  16. Mateen MA, Saleem S, Rao PC, et al. Ultrasound in the diagnosis of typhoid fever. Indian J Pediatr. 2006;73(8):681‒685.
  17. Apstein MD, Russo AR. Ampicillin Inhibits Biliary Cholesterol Secretion. Dig Dis Sci. 1985;30(3):253‒256.
  18. Crocenzi FA, Roma MG. Silymarin as a new hepatoprotective agent in experimental cholestasis: New possibilities for an ancient medication. Curr Med Chem. 2006;13(9):1055‒1074.
  19. Crocenzi FA, Pellegrino JM, Pozzi EJS, et al. Effect of silymarin on biliary bile salt secretion in the rat. Biochem Pharmacol. 2000;59(8):1015‒1022.
  20. Spiridonov NA. Mechanisms of Action of Herbal Cholagogues. Med Aromat Plants. 2012;1:s107.
  21. Kumar N, Singh AK. Phalatrikadi kvatha-an ayurvedic hepatoprotective drug. IJRPC. 2013;3(3).
Creative Commons Attribution License

©2017 Pais, et al. This is an open access article distributed under the terms of the, which permits unrestricted use, distribution, and build upon your work non-commercially.