Submit manuscript...
Journal of
eISSN: 2471-1381

Liver Research, Disorders & Therapy

Research Article Volume 4 Issue 1

Caudate lobe liver abscess: early surgical drainage

Ushast Dhir,1 Samarjit S Ghuman,2 Suresh Singhvi,1 Saumitra Rawat1

1Department of Surgical Gastroenterology and Liver Transplantation, University GRIPMER, India
2Department of CT and MRI, Sir Ganga Ram Hospital, India

Correspondence: Ushast Dhir, Designation Consultant Surgeon, University GRIPMER, Sir Ganga Ram Hospital, Address Rajender Nagar, New Delhi

Received: November 14, 2017 | Published: February 22, 2018

Citation: Dhir U, Ghuman SS, Singhvi S, et al. Caudate lobe liver abscess: early surgical drainage. J Liver Res Disord Ther. 2018;4(1):00097. DOI: 10.15406/jlrdt.2018.04.00097

Download PDF

Abstract

Introduction: The Indian sub continent has a high incidence of pyogenic and amebic liver abscesses. Caudate lobe is both a rare and peculiar location for such abscesses. The location is difficult to approach via percutaneous route in view of vicinity to vascular structures and other viscera. We report 4 cases of pyogenic/amebic caudate lobe liver abscesses which were treated by laparoscopic drainage.

Methods: The diagnosis was confirmed with a contrast enhanced computerized tomographic scan (CECT) of abdomen. The patients were taken up for laparoscopic drainage as percutaneous approach was either not feasible or failed. All patients underwent successful laparoscopic drainage of caudate abscess.

Results: All the patients were male and had underlying diabetes. The mean operative time was 67.5 minutes (range 55-90 minutes). The mean hospital stay was 5 days (range 3-7 days). The drain was removed on day 5 after documentation of no residual abscess in all.

Conclusion: Caudate lobe liver abscesses are rare but are difficult to drain by percutaneous route. Early surgical drainage (open/laparoscopic) should be considered in view of high risk of rupture in abdominal cavity and adjacent vasculature.

Keywords: caudate lobe, vascular structures, tomographic scan, amebic liver abscesses, laparoscopic drainage, surgical treatment, vascular structures, harmonic scalpel, diabetic patients, abdominal pain, ultrasonography, nathanson retractor, abdominal drain

Introduction

The Indian sub continent has a high incidence of both pyogenic and amebic liver abscesses.1 several factors have been implicated for the same but the most significant is the prevalence of poor hygiene, lack of proper sanitation and low socioeconomic status. The advanced imaging has helped in accurate and early diagnosis of these but still pyogenic liver abscesses carry up to 19% risk of mortality. These abscesses can be in any location on liver namely right lobe, left lobe, caudate lobe or multilobar.2 Currently most of these are managed with help of interventional radiology based percutaneous drainage (either ultrasound or CT guided). Surgical treatment is generally offered to patients after failure of percutaneous drainage which not only adds to morbidity and cost of treatment but also delays the therapeutic intervention. There can be several factors for failed percutaneous approach3 but location of abscess is a very important factor. The caudate lobe abscess is one such location which is rare and has a difficult percutaneous access.4 We report 4 cases of caudate lobe liver abscesses which were managed by laparoscopic drainage.

Material and methods

The patients presented to the hospital with history of high grade fever and abdominal pain. The evaluation included blood investigation and imaging. The blood investigations revealed leucocytosis and deranged LFTs. All patients had diabetes. Ultrasonography was used as initial tool to achieve the diagnosis. In view of the location the diagnosis of liver abscess was further confirmed with contrast enhanced computerized tomography scan (CECT) of abdomen. The CECT was subsequently performed in all patients. A three dimensional reconstruction of the images was performed in all. This further helped objectively to understand the spatial orientation of abscess in relation with vascular structures.

The patients were taken up for laparoscopic drainage as percutaneous approach was either not feasible (n=3) or failed (n=1). The patient was placed supine and general anesthesia was given with endotracheal intubation. Open access was used to gain access into peritoneal cavity. Three working ports were used. A Nathanson retractor was used to retract the left lobe of liver. Ports were placed in left and right hypochondrium in midclavicular line. The gastro hepatic omentum approach was followed. The location of abscess was confirmed intraoperatively with needle aspiration. The aspirate was sent for culture. Harmonic scalpel was used to enter the abscess cavity and create a wide window for drainage. The abscess was drained under vision. The cavity irrigated with copious amount of saline. An 18 F abdominal drain was placed in the abscess cavity under vision after irrigation and secured to the abdominal wall. The 10 mm port site was approximated with absorbable suture. The skin was approximated with skin clips. The intraoperative estimated blood loss was less than 100 ml in cases.

The patients were shifted to floor and none of the patients required post operative ICU care. The patients were orally allowed 6 hours post operatively. All patients were continued on broad-spectrum intravenous antibiotics for 5 days.

Results

All the patients were male and had underlying diabetes. The mean WBC count was 22000 at presentation and normalized in 3 days after drainage. (Table 1) The LFT in all patients revealed jaundice and transaminitis. The mean operative time was 67.5 minutes (range 55-90 minutes). Estimated intraoperative blood loss was less than 100 ml in all cases. The mean hospital stay was 5 days (range 3-7 days). The drain was removed on day 5 in all after documentation of no residual abscess in all. All patients were switched to oral antibiotics after drain removal. The broad-spectrum intravenous antibiotics were given until final cultures. Follow up CT was performed 4 weeks postoperatively to confirm complete resolution.

Total

4

Age

45-65 years

(Median 50)

M:F

4:00

Diabetes (%)

100

Table 1 Demographics

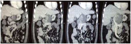
Figure 1 Patient 1: Pre operative imaging showing caudate lobe abscess.

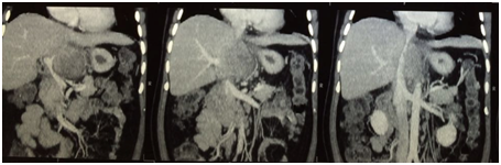
Figure 2 Patient 2: Pre operative imaging.

Figure 3 Intra operative Picture of caudate lobe liver abscess.

Discussion

Pyogenic liver abscess is a rare problem but carries high incidence of morbidity and mortality.1,5 Diabetic patients have a 3.6 times higher risk of developing pyogenic liver abscesses compared to general population (seen in all our patients).6 The incidence is higher in immune compromised patients. The three common etiologies blamed are cryptogenic, diabetic or biliary origin. Most common site for these abscesses is the right lobe but they can occur in left lobe, both lobes and the caudate lobe.

Caudate lobe is a rare and a peculiar location to be seen. The caudate lobe is situated posteriorly and is close to hilum, portal vein and venous structures thus making such abscesses prone to have vascular or biliary complications.7,8 Ultrasonography is generally used as a screening tool but in caudate lobe abscesses we recommend CECT should be utilized to confirm the diagnosis and rule out complications like spontaneous rupture or extension into vasculature.7 The caudate lobe abscesses are also prone to spontaneous intraperitoneal rupture and need urgent intervention on diagnosis.9

In the recent years, percutaneous drainage has been favored approach for management of the liver abscesses. The benefits of percutaneous approach are that it is minimally invasive, does not require general anesthesia, less painful and comparable resolution rate as compared to surgical approach. Even then the interventional radiology based approaches have an overall failure rate of 15-36 % and have to be either repeated or supplemented with surgical approach. Caudate lobe which is a difficult anatomical location for such approach has a higher failure rate. In our experience we had a 100% failure rate for therapeutic drainage of caudate abscess via percutaneous route. Also to mention abscesses in caudate lobe are associated with higher risk of vascular complications including rupture/extension into vasculature or pseudoaneurysm formation asking for a cautious approach to any interventional therapy is it percutaneous or surgical.

We tried interventional radiology (IR) based treatment for our first 3 patients. We were able to offer laparoscopic drainage in these patients successfully. In our fourth patient we did not offer percutaneous drainage and offered laparoscopic drainage upfront. This resulted in early treatment and avoided additional expenditure and time required for trial of IR drainage. Naseer et al have also reported similar results with high incidence of failure with percutaneous approach and have recommended open surgical approach.

In our experience we recommend early surgical drainage for these patients. We chose the laparoscopic approach since the chief author is fellowship trained laparoscopic and liver surgeon. We successfully drained all our patients via laparoscopic using three ports. One of the port sites was used as drain exit site. In our experience the recovery time was shortened as entire pus was drained and irrigated under vision. This decreased the duration the intravenous antibiotics, in hospital stay and return to work. Approach although open approach should be considered when laparoscopic.

Acknowledgements

All authors contributed toward data analysis, drafting and revising the paper and agree to be accountable for all aspects of the work.

Conflicts of interest

All authors contributed toward data analysis, drafting and revising the paper and agree to be accountable for all aspects of the work.

References

Creative Commons Attribution License

©2018 Dhir, et al. This is an open access article distributed under the terms of the, which permits unrestricted use, distribution, and build upon your work non-commercially.