Submit manuscript...
Journal of
eISSN: 2471-1381

Liver Research, Disorders & Therapy

Case Series Volume 4 Issue 3

Duodenal biopsies in coeliac disease and non coeliac gluten sensitivity, with negative immune serology. A series of three cases

Elizondo Vazquez Jorge Bernardo,1 Garcia Salazar Roberto,2 Guerrero Gonzalez Jose Gerardo,2 H Castro Morales3

1General Surgery, Hospital Simon Bolivar, Colombia
2General Surgery, El Bosque University, Colombia 
3Thoracic Surgery, El Bosque University, Colombia 
4Medical Intern, El Bosque University, Colombia
5General Surgery Resident, Universidad El Bosque, Colombia

Correspondence: Elizondo Vazquez ,  General Surgery, Fundacion Salud Bosque, El Bosque University, Bogota, Colombia, Tel 3112 7261 57

Received: November 15, 2017 | Published: May 9, 2018

Citation: Bernardo EVJ, Roberto GS, José GG. Duodenal biopsies in coeliac disease and non coeliac gluten sensitivity, with negative immune serology. A series of three cases. J Liver Res Disord Ther. 2018;4(3):105 ? 107. DOI: 10.15406/jlrdt.2018.04.00110

Download PDF

Abstract

Describe a series of three cases in which gluten intolerance is suspected; two of them with CD (Marsh 3B, negative IgA anti-TGt and IgA anti-DGP and positive IgG anti-DGP) and one with NCGS (negative IgA anti-TGt and IgA anti-GDP and positive IgG anti-GDP). EDB confirmed CD in cases one and two and NCGS in case three has and negative IgE-WA.
Keywords: gluten intolerance, coeliac disease, IgE wheat allergy, IgG anti-gliadin, IgA anti-tissue trans-glutaminase antibodies, non coeliac gluten sensitivity, endoscopic duodenal biopsies, gluten intolerance, gluten diet, gluten free diet

Abbreviations

GI, gluten intolerance; CD, coeliac disease; IgE-WA, IgE wheat allergy; IgG anti-G, IgG anti-gliadin; IgG anti-DGP, IgG anti-deaminated gliadin peptide; IgA anti-DGP, IgA anti-deaminated gliadin peptide; IgA anti-TGt, IgA anti-tissue trans-glutaminase antibodies; NCGS, non coeliac gluten sensitivity; EDB, endoscopic duodenal biopsies; GI, gluten intolerance; GD, gluten diet; GFD, gluten free diet

Introduction

CD is a chronic immune-mediated enteropathy triggered by exposure to gluten in genetically predisposed individual,1 is a common autoimmune disorder, affecting ~1% of the population in many regions of the world.2,3 CD is genetically based and prevalence is enriched in patients with family history of CD or a personal history of autoimmune disease, including thyroid, liver, and type 1 diabetes mellitus.4 Symptoms of undiagnosed CD can range from subclinical to severe malabsorption, known as celiac crisis.5

CD is diagnosed by IgA anti-TGt and IgA anti-endomycium,6,7 5% can have negative results.8 The definitional and diagnostic criteria of GSE have been based entirely on the histopathologic alterations of the proximal small bowel mucosa.9,10 NCGS patients develop symptoms when they ingest gluten, subsided when they are on GFD, serologic markers IgA anti-TGt and IgA anti-DGP and IgE-WA are negative.11 We describe clinical and follow up findings, immunology, histology and genetics in a small series of three cases, two with CD, and one with NCGS.

Case

  1. Female developed, since 13 through 17years old, bloating and abdominal pain associated with facial and legs edema; her symptoms improved with GFD, and worsen when she eats gluten. Although she runs seven kilometers a day, bloating is permanent and maintains an abdominal circumference of 98cm. After two weeks on GFD, facial and legs edema disappeared and abdominal circumference diminished to 77cm (21cm).
  2. 36 year old female, her symptoms are since 19years old: diarrhea, bloating and abdominal pain during and after meals. These symptoms disappeared after two weeks on GFD.
  3. 12 year old boy, with chronic constipation since first months of life, his bowel movements are one every 10 to 14days, feces frequently stuck the toilet, he has excessive strain and time during defecation (30 to 60minutes); sometimes, he has bloody striae in feces with bowel movements. After one week on GFD, the bowel movements changed since every 10 to 14days, to one to three per day, without strain and pain and without laxatives. The time during bowel movements diminished from 30-60 to less than 10minutes.

Discussion

We report three patients with suspected gluten intolerance; cases 1 and 2 have negative IgA anti-TGt and IgA anti-DGP and positive IgG anti-DGP; duodenal biopsies are Marsh 3b.9 Only case 2 has positive HLA-DQ8 haplotype, case 1 was not done (Figure 1) (Table 1).

CD antibodies

 Pathology

Haplotypes

IgE-W

Case

Gender

 Age

Symptoms

 IgG anti-Gd

 IgA anti-Gd

 IgA antiTGt

 Marsh

HLA-DQ2

 

Years

Classification

HLA-DQ8

 

1

Female

17

Bloating, abdominal pain,

 Positive

Negative

Negative

 3b

Not done

Not done

 facial and legs edema

2

Female

36

Bloating, abdominal pain,

 Positive

Negative

Negative

 3b

HLA-DQ8

Neg.

chronic diarrhea

3

Male

12

Chronic constipation, excesive strain and pain, bloody striae during bowel movements

 Positive

Negative

Negative

1

Negative

Neg.

Table 1 Sex, age, symptoms, immunology tests, pathology findings and haplotypes

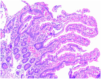
Figure 1 Pathology results in case 2. Coeliac disease. Small duodenal biopsy in case 2. Panoramic view of endoscopy duodenal biopsies with height shortening and widening of some duodenal villi. Lamina propria with lymphocites and plasmatic cells. Marsh 3B.

Case 3 is a NCGS in which chronic constipation disappeared while on GFD for one week. IgA anti-TGt and IgA anti-DGP are negative, IgG anti-DGP is positive, and has Marsh 1 on duodenal biopsies; he also has negative HLA-DQ2 and HLA-Q8.

By clinical findings, the correct diagnosis of CD and NCGS cannot be done. CD, cases one and two, have chronic bloating and abdominal pain; case one has facial and legs edema; and case two, has chronic diarrhea. The correct diagnosis has to be made by serologic markers (IgA anti-TGt and IgA anti-DGP) when there is no IgA deficiency, and when, they are negative, duodenal biopsies have to be done to confirm or rule out CD.

Case three has chronic constipation, it did no resolved with diet neither laxatives, since first months of age through 12years old, constipation remitted in one week when he begins GFD, his bowel habits changed, from one every 10 to 14days, to one to three per day, without straining, pain and neither laxative; it takes him less than 10minutes, after a follow up of six months, he has not relapsed, does not has any bloody striae in feces and do not stuck them on toilet. Duodenal biopsies demonstrate slight chronic inflammatory cells on lamina propria, with normal villi, Marsh 1. CD is rule out by abscence of HLA-DQ2 and HLA-DQ8 haplotypes (Figure 2).

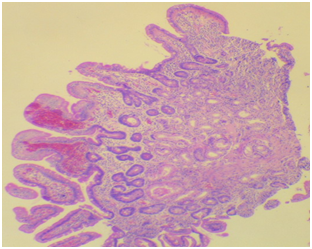
Figure 2 NCGS. Case 3. Duodenal mucosa with digit form villi, with cilindric epithelium and normal brush border. Lamina propia inflammation is slight to moderate, formed by lymphocites and plasmatic cells. Marsh 1.

When physicians think their patients could have GI, because they have chronic digestive symptoms: diarrhoea, constipation, bloating, abdominal pain; or extra-intestinal: migraine, recurrent mouth ulcers, enamel defects, chronic dermatitis, herpetiform dermatitis, metabolic bone disease, arthralgias, arthritis, refractary anemia to iron, vit B12 or folic acid, ataxia, epileptic convultions, depression, first degree relative with CD or auto-immune disease, they have to continue looking for CD, in first instance with serological biomarkers, followed by endoscopic duodenal biopsies.

When IgA anti-TGt and IgA anti-DGP are negative, duodenal biopsies Marsh 2, 3 or 4 confirm CD; or rule out with Marsh 0; but if biopsies are Marsh 1, the haplotyes have the major importance, since if they are negative, CD is rule out and NCGS is confirmed. When IgA anti-TGt and IgA anti-DGP are negative and has positive IgG anti-DGP, in a suspected patient, with Marsh 0 or 1, and with negative HLA-Q2 and HLA.DQ8, the diagnosis is NCGS so, the next step, is follow the patient with GFD for one year and revalorate with new tests. What is known:

  1. CD is an immune disease with genetic relation to HLA haplotpes, HLA-DQ2 and DQ8.
  2. NCGS has been described in last four decades, and has not diagnostic serologic marker; in 2012, in a series, IgG anti-DGP is elevated in 56% of them.
  3. CD can be Marsh 1 to 4, NGCD can be 0 or 1.
    1. What should be known for clinical practitioners
        GI exists in three different settings
  1. CD: CD is 1% of population. Genetic backgrounds related to HLA leucocyte, DQ2 and DQ8 classes. Is for life once the diagnosis is made, the only efficient treatment is GFD for life.
  2. NCGS: NCGS is an emergent entity, which produces digestive and extra-digestive symptoms when gluten is ingested; symptoms disappeared shortly after on GFD, and relapsed when are on GD. IgG anti-G is elevated in approximately 50%, and duodenal mucosal biopsies are Marsh 0 or 1. It can be six times more frequent than CD. Non-coeliac gluten or wheat protein sensitivity is a syndrome characterized by both gastrointestinal and extra-intestinal symptoms related to the ingestion of gluten and possibly other wheat proteins in people who do not have coeliac disease or wheat allergy recognized by diagnostic tests.12
  3. WA: Allergy to wheat is related to an elevated IgE to wheat. It occurs on 0.1% of population.

Acknowledgements

None.

Conflict of interest

Author declared that there is no conflict of interest.

References

  1. Ludvigsson JF, Leffler DA, et al. The Oslo definitions for coeliac disease and related terms. Gut. 2013;62(1):43‒52.
  2. Rostom A, Murray JA, Kagnoff MF. American Gastroenterological Association (AGA) Institute Technical Review on the Diagnosis and Management of Celiac Disease. Gastroenterology. 2006;131(6):1981–2002.
  3. Green PH, Jabri B. Coeliac disease. Lancet. 2003;362(9381):383–391.
  4. Maglio M, Florian F, Vecchiet M, et al. Majority of children with type 1 diabetes produce and deposit anti-tissue transglutaminase antibodies in the small intestine. Diabetes. 2009;58(7):1578–1584.
  5. Jamma S, Rubio-Tapia A, Kelly CP, et al. Celiac Crisis Is a Rare but Serious Complication of Celiac Disease in Adults. Clin Gastroenterol Hepatol. 2010;8(7):587–590.
  6. Dieterich W, Laag E, Shoppers H, et al. Autoantibodies to tissue transglutaminase as predictors of celiac disease. Gastroenterology. 1998;115(6):1317–1321.
  7. Pittschieler K, Ladinser B. Coeliac disease: screened by a new strategy. Acta Paediatr Suppl. 1996;412:42–45.
  8. Ferguson A. Celiac disease, an eminently treatable condition, may be under diagnosed in the United States. Am J Gastroenterol. 1997;92(8):1252–1254.
  9. Ciclitira PJ, King AL, Fraser JS. AGA technical review on celiac sprue: Am American Gastroenterological Association. Gastroenterology. 2001;120(6):1526–1540.
  10. Mino M, Lauwers GY. Role of Lymphocytic Immunophenotyping in the Diagnosis of Gluten-Sensitive Enteropathy with Preserved Villous Architecture. Am J Surg Pathol. 2003;27(9):1237–1242.
  11. Hoffmanová I, Sánchez D. Non-celiac gluten sensitivity. 2015;61(3):219‒227.
  12. Walker MM, Ludvigsson JF, Sanders DS. Coeliac disease: review of diagnosis and management. Med J Aust. 2017;21;207(4):173‒178.
Creative Commons Attribution License

©2018 Bernardo, et al. This is an open access article distributed under the terms of the, which permits unrestricted use, distribution, and build upon your work non-commercially.