Submit manuscript...
Journal of
eISSN: 2471-1381

Liver Research, Disorders & Therapy

Opinion Volume 4 Issue 2

Inflammation, immune modulation, proliferation and emergence – the Sjogren’s syndrome

Anubha Bajaj

Laboratory AB. Diagnostics, India

Correspondence: Anubha Bajaj,  Laboratory A. B. Diagnostics, A-1, Ring Road, Rajouri Garden, New Delhi 110027, India

Received: January 18, 2018 | Published: April 12, 2018

Citation: Bajaj A. Inflammation, immune modulation, proliferation and emergence – the Sjogren’s syndrome. J Liver Res Disord Ther. 2018;4(2):89 ? 91. DOI: 10.15406/jlrdt.2018.04.00106

Download PDF

Introduction

Autoimmune disease is distinguished by the aberrant generation of extraneous antibodies that are aimed against various tissues of the body. The misguided immune system thus induces inflammation of the tissues. Sjogren‘s syndrome is an autoimmune disorder delineated by dryness of eyes (xero opthalmia) and dry mouth (xero-stomia). The leucocytes engage the healthy cells in the exocrine organs such as the salivary glands, sweat, eccrine and sebaceous glands. Sjogren’s syndrome as a definitive entity was elucidated in 1933 by Henrik Sjogren. The population involved is 0-2% to 1.2%, preponderantly middle aged females, who exceed their male counterparts by ten times in incidence. Pregnant patients elucidating anti SS-A/Ro antibodies are liable for foetal loss, complete foetal heart block and neonatal lupus syndrome. Inflammation of the lacrimal glands causes diminishing moisture, tears and consequent dry eyes. Inflammation of the salivary glands, including the parotid gland induces dwindling saliva formation and dry mouth/dry lips. Sjogren’s syndrome, in the absence of a concomitant connective tissue disturbance is termed as PRIMARY Sjogren’s syndrome and account for roughly half the diagnosed cases (Figure 1).1

Primary Sjogren’s Syndrome is Associate with Increase Risk of Developing these Diseases

  • Primary biliary cirrhosis
  • Autoimmune hepatitis
  • Celiac diseases
  • Autoimmune thyroid diseases

Figure 1 Coexistent Conditions of Primary Sjogren’s syndrome.

Sjogren’s syndrome co-existing with autoimmune conditions such as Rheumatoid Arthritis, Hypergammaglobulinaemia, Systemic Lupus Erythromatosus, Systemic Sclerosis, Scleroderma etc is defined as SECONDARY Sjogren’s syndrome. Dryness of eyes and mouth with or without the classic microscopic changes of the salivary glands/evidence of autoimmune disease is delineated as SICCA’s syndrome. MIKULICZ syndrome is an IgG related disease spectrum with a non specific inflammatory expansion of at least two or more salivary and lacrimal glands with xerostomia (also designated as SICCA syndrome without a connective tissue disorder). Sjogren’s syndrome is accompanied with infections due to glandular inflammation such as sinusitis, bronchitis, pulmonary infections (respiratory tract) vaginitis/dyspareunia (genital tract), sialolithiasis and sialoadenitis etc. The immune mediation is a combination of genetic and environmental elements such as bacteria/viruses. Calculi partially composed of calcium salts induce a partial or complete blockage to the formation and flow of saliva in the duct system (sialolithiasis). The obstruction activates inflammation and subsequent sialoadenitis secondary to a superimposed bacterial infection by staphylococci, streptococci, pneumococci. Viruses inciting salivary gland inflammation are the influenza virus, mumps, coxsackie, echovirus and cytomegalovirus, Hepatitis C virus, Human immunodeficiency virus (HIV) Human T cell lymphotropic virus (HTLV) (Table 1). Sjogren’s syndrome also concurs with conditions such as Hashimoto’s Thyroiditis, Gastroesophageal Reflux Disease (GERD) and Primary Biliary Cirrhosis (PBC). A non-hodgkin’s lymphoma and pseudolymphoma is known to emerge.2

General Symptoms

Fever, malaise, fatigue

Ear, nose and throat

Epistaxis, Otitis media, Conduction Deafness, Recurrent Sinusitis

Gastrointestinal tract

Esopahgeal Dysmotility, Esophageal webs, reflux, atrophic gastritis, autoimmune pancreatitis, liver disease

Genitourinary

Vaginitis sicca, interstitial cystitis

Haematologic

Anaemia, leukopenia, lymphopenia cryoglobulinaemia, lymphoma

Pulmonary

Xerotrachea, recurrent bronchitis or pneumonia, interstitial pneumonitis, pulmonary fibrosis, lung nodules, bronchiectasis, bronchiolitis obliterans with organizing pneumonia

Neurologic

Peripheral neuropathy, cranial neuropathy, autonomic neuropathy, CNS involvement

Renal

Interstitial nephritis, hyposthenuria, renal tubular acidosis (type I and II), glomerulonephritis rare.

Rheumatologic

Arthralgias, polyarthritis, myalgias, myositis, raynaud’s phenomenon.

Dermatologic

Xeroderma , purpura,urticaria, vasculitis

Table 1 Extra-oral and Extra Glandular Manifestations of Sjogren’s syndrome

Diagnostic criterion3

American College of Rheumatology (ACR) classification criterion

  1. Positive serum anti SS-A and/or anti SS-B antibodies or a positive rheumatoid factor and antinuclear antibodies of at least 1: 320.
  2. Ocular staining score of at least three.
  3. Presence of focal lymphocytic sialoadenitis with a focus score of at least one focus/4mm square in a labial salivary gland biopsy sample (Table 2).

Primary sjogren’s syndrome

Without any coexisting /potential disease, primary SS is delineated as

  1. The existence of any 4/6 features besides histopathology (4) or serology (6) is positive.
  1. The occurrence of any of the 3 of the 4 objective criterions (3-6).
  1. The classification milestones produce a conclusive method of disease categorization although a superior elucidation in the clinic-epidemiological survey is anticipated.

Secondary sjogren’s syndrome

In patients with co-existing conditions( a well-delineated connective tissue disorder), the existence of feature 1 or 2 in addition to any 2 features from 3,4 and 5 is confirmatory of secondary SS

Table 2 Diagnostic criterion of primary /secondary Sjogren’s syndrome

American European consensus group classification4

  1. Ocular Symptoms: Dry eyes >3 months, foreign body sensation, tear substitutes >3times a day.
  2. Oral Symptoms: Feeling of dry mouth, recurrently swollen glands, frequent use of liquids to aid swallowing.
  3. Ocular signs: Schirmer test performed without anaesthesia (<5mm in 5minutes), positive vital dye staining results.
  4. Oral signs: abnormal salivary scintigraphy findings, abnormal parotid sialography findings, abnormal sialometry findings, un-stimulated salivary flow (<1.5ml in 15minutes).
  5. Positive minor salivary gland biopsy.
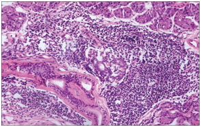
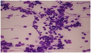
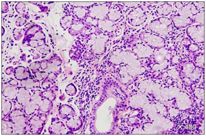
  6. Positive anti SS-A or anti SS-B antibody results. Four criterions must be positive along with a positive 5 or 6 for the confirmation of Sjogren’s syndrome. Secondary Sjogren;s syndrome is designated with a coexistent potential connective tissue disorder there are manifestations of oral or ocular dryness exist with criterion 3 or 4 or 5. A tissue biopsy of a moisture producing gland (usually the minor salivary glands of the lower lip) is confirmatory (Figures 2‒5).
  7. Figure 2 Minor salivary gland with acinar atrophy, lymphoid infiltrate and interstitial fibrosis.

    Figure 3 Minor salivary glands with lymphocytic sialadenitis.

    Figure 4 Epimyoepithelial island with lymphocytic infiltration with germinal centre.

    Figure 5 Benign lymphoepithelial lesion-aspiration cytology.

Sjogren’s syndrome distinctly elucidates immune mediation in the major and minor salivary glands. A focal, miniature infiltrate of T and B lymphocytes and plasma cells appears around the ducts to subsequently form germinal centers (B and T lymphocytes, plasma cells etc). The cell aggregates are monotypic as seen by immune-histochemical staining for kappa and lambda light chains (monoclonal/light chain restriction). The prevalence of non-hodgkin’s lymphoma is proportionately 44 times higher in patients with Sjogren’s syndrome than in the general population. The evolving lymphoma is established in the mucosal tissue, major salivary glands, stomach, lung, lymph node (Table 3).5

Feature

Score

 Labial salivary gland with lymphocytic sialdenitis and a focus score of ≥ 1foci/4mm²

3

Anti SS/-A/Ro positive

3

Ocular staining score ≥5(or Van Bijsterveld score≥4) in at least one eye

1

Schirmer test ≤5 mm/5 minutes in at least one eye

1

Unstipulated whole saliva flow rate is≤0.1 ml/minute

1

Table 3 The ACR/Eular classification of primary SS

A score of  ≥4 determines a patient who meets the inclusion criterion: Ocular and/or oral dryness or a suspicion of SS according to EULAR SS Disease Activity Index (ESSDAI) and are deficient in the exclusion criterion which are: history of head and neck irradiation, active HCV infection, AIDS, sarcoidosis, amyloidosis, graft versus host diseases, IgG4 related disease (Table 4).6

Primary sjogren’ syndrome is diagnosed when: the presence of 4 of the 6 items is indicative of pSS as long as item 4(histopathology) or item 6 (serology) is positive

Primary sjogren’ syndrome is diagnosed when: The classification of pSS which applies to individuals with signs/symptoms that may be suggestive of SS, will be met in patients , who have at least 2 of the 3 objective features described

Table 4 Classification Criterion- Primary Sjogren's syndrome

The lymphomas develop primarily from the proliferating B cells. Three possibilities are considered for the multiple B cell infiltration in the salivary glands of Sjogren’s syndrome.

  1. Accumulation of the invading polyclonal B cells.
  2. A clone of B cell proliferates and configures a germinal centre superimposed with migratory salivary glandular tissue.
  3. Discrete permeation of B cells is encouraged by the antigen presenting cells at various locations to expand into dissociated lymphocytic clusters (in concordance with the autonomous multiplication and mutation of cloned B cells). B cells react to a hapten (4 hydroxy B nitrophenyl acetyl) to modify and proliferate within the germinal centres without transmigration. The precursor parental B cell clones arise from the naive B cells with minimal mutations. Extensively mutated clones emerge from the memory B cells. Persistent re- stimulation with self antigen thus accompanies a chronic autoimmune response. The memory B cells may be harvested in the secondary lymphoid organs and then immigrate to the salivary gland or may flourish, multiply and be stimulated in the salivary gland. The minor salivary glands in Sjogren’s syndrome may also contain foci of B and T cells. Germinal centre reaction ensues in the non lymphoid (target) tissues as the salivary gland, synovium in rheumatoid arthiritis, liver in primary biliary cirrhosis, thyroid in hashimoto’s thyroiditis etc as continuum of spectrum of autoimmune diseases.

Acknowledgements

Author contributed toward data analysis, drafting and revising the paper and agrees to be accountable for all aspects of the work.

Conflict of interest

There is no conflict of interest.

References

Creative Commons Attribution License

©2018 Bajaj. This is an open access article distributed under the terms of the, which permits unrestricted use, distribution, and build upon your work non-commercially.