Submit manuscript...
Journal of
eISSN: 2471-1381

Liver Research, Disorders & Therapy

Case Report Volume 4 Issue 3

Massive gastric variceal hemorrhage due to splenic vein thrombosis; a rare initial presentation of asymptomatic metastatic pancreatic adenocarcinoma

David W Victor III,2 Kelley Nguyen,1 Daniel S Zhang,2 Mark A Sultenfuss3

1Texas A&M University College of Medicine, USA
2Department of Medicine, Section of Gastroenterology and Hepatology, Methodist Hospital, USA
3Department of Radiology, Methodist Hospital, USA

Correspondence: David Victor III, Associate Professor of Clinical Medicine, Weill-Cornell Medical College, Section of Hepatology & Transplant Medicine, Sherrie and Alan Conover Center for Liver Disease and Transplantation, Houston Methodist J.C. Walter , Transplant Center, Houston Methodist Hospital, 6550, annin St., Ste 1201 Houston, TX 77030, USA

Received: June 18, 2018 | Published: June 25, 2018

Citation: Nguyen K, Zhang DS, Sultenfuss MA, et al. Massive gastric variceal hemorrhage due to splenic vein thrombosis; a rare initial presentation of asymptomatic metastatic pancreatic adenocarcinoma. J Liver Res Disord Ther. 2018;4(3):121 ? 122. DOI: 10.15406/jlrdt.2018.04.00113

Download PDF

Introduction

Isolated sinistral portal hypertension (SPH) is extremely rare, representing less than 5% of all portal hypertension cases.1,2 Splenic vein thrombosis is typically discovered incidentally on imaging and is often asymptomatic. Variceal bleeding can ensue in SPH, which develops due to increased pressure on the left side of the portal system.3 While most gastric varices are caused by cirrhotic portal hypertension, rare cases occur due to non-cirrhotic splenic venous thrombosis. Here, we present massive gastric variceal bleeding splenic vein thrombosis as the initial presentation of pancreatic adenocarcinoma.

Case report

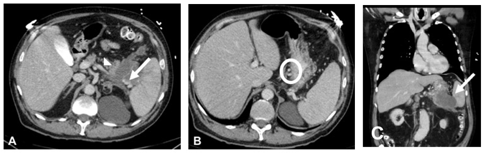
A 71-year old man presented to the emergency department with acute onset massive hematemesis and epigastric pain. He denied jaundice, NSAID use or prior hematemesis. Relevant medical history included heavy tobacco use in the past but denied alcohol use. He presented hypotensive with tachycardia. He had tenderness in the epigastric and left upper quadrant without peritoneal signs. Hemoglobin was decreased at 8.3g/d from baseline 12. Total bilirubin and liver function tests were within normal limits. Contrast enhanced CT of the abdomen and pelvis done in the ER showed splenic vein thrombosis (Figure 1A, arrowhead), gastric varices (Figure 1B, circled) with active hemorrhage noted, and a 5cm mass in the pancreatic tail extending into the splenic hilum (Figure 1C, arrow). No changes of cirrhosis were noted in the liver, but possible peritoneal implants were noted. Given the active gastric variceal hemorrhage and the patient’s instability, emergent endoscopy was deferred. The patient was stabilized in the ICU. Given the suspected metastatic nature of his pancreatic cancer, the patient underwent successful splenic artery embolization using 700micron embozene particles (Figure 2) and the patient did not experience any further episodes of hematemesis. After he was stabilized tissue diagnosis of metastatic pancreatic adenocarcinoma was confirmed with peritoneal biopsy. Other labs were notable for an elevated CEA at 45.5ng/mL and CA 19-9 of >10,000U/mL.

Figure 1 Abdominal CT enhanced with contrast. (A) Splenic vein occlusion (arrowhead) and perisplenic varices (arrow) (B) Gastric varices related to splenic vein occlusion (circled). (C) Coronal view of pancreatic mass (arrow).

Figure 2 Splenic artery angiogram. (A) Pre-embolization. (B) Post-embolization with near complete stasis of flow in splenic artery and minimal residual parenchymal enhancement.

Discussion

Gastric variceal bleeding as the initial presentation of pancreatic adenocarcinoma is incredibly rare, presenting less than 15 case reports in the literature. Hematemesis from gastric varices develop due to the increased pressure in the short gastric and left gastroepiploic veins as a result of obstruction in the portal outflow.4 SPH is a form of non-cirrhotic portal hypertension that can cause gastric varices. Splenic vein thrombosis causes formation of collateral pathways to shunt blood around the occluded splenic vein. Short gastric veins are most commonly involved; experiencing increased pressure within the submucosal veins of the gastric fundus which subsequently form varices.5 Splenic vein thrombosis typically arises from pancreatic disease. The most common etiology of splenic vein thrombosis includes acute or chronic pancreatitis, while pancreatic carcinoma represents a smaller proportion.1,6,7 In one study, only 49% of 209 patients were correctly diagnosed as SPH after the first episode of bleeding. The remainder had a median diagnostic delay of 11months.8

To minimize future bleeding from gastric varices, the elevated pressure from SPH must be reduced by stopping arterial inflow to the portal system. Splenectomy has been the standard treatment, with splenic artery embolization reserved for patients who are poor surgical candidates, or have advanced malignancy.5 Splenic artery embolization is an effective alternative to splenectomy when surgical intervention is contraindicated.9

Conclusion

Massive gastric variceal hemorrhage due to non-cirrhotic portal hypertension from splenic vein thrombosis as the initial presentation of pancreatic adenocarcinoma is a rare occurrence. Recognizing non-cirrhotic causes of gastric varices, specifically SPH, is important to avoid diagnostic delay. Early diagnosis is key given the need for surgical or radiographic intervention rather than an endoscopic approach typical of most causes of hematemesis.

Acknowledgements

None.

Conflict of interest

Author declares that there is conflict of interest.

References

Creative Commons Attribution License

©2018 Nguyen, et al. This is an open access article distributed under the terms of the, which permits unrestricted use, distribution, and build upon your work non-commercially.