Submit manuscript...
Journal of
eISSN: 2471-1381

Liver Research, Disorders & Therapy

Short Communication Volume 4 Issue 3

The prosperous goitre: basedow’s bonanza-graves’ disease

Anubha Bajaj

Laboratory AB Diagnostics, India

Correspondence: Anubha Bajaj, Laboratory A.B. Diagnostics, A-1, Ring Road, Rajouri Garden, New Delhi 110027, India

Received: April 06, 2018 | Published: May 11, 2018

Citation: Bajaj A. The prosperous goitre: basedow’s bonanza-graves’ disease. J Liver Res Disord Ther. 2018;4(3):109 ? 112. DOI: 10.15406/jlrdt.2018.04.00111

Download PDF

Keywords

graves’ disease, auto-antibodies, thyroid gland, goiter, HLA CD40, CTLA-4, thyroglobulin, TSH receptor, PTPN 22, T cell cytokines, toxic goitre, autoimmune hyperthyroidism, oncocytes

Abbreviations

TS Ab, thyroid stimulating antibody; TBII, TSH binding inhibitor immunoglobulin; TSB Ab: thyroid stimulation blocking antibody; Anti TPO Ab, anti thyroid peroxidase antibody; Anti TG Ab, anti thyroglobulin antibody; TG, thyroglobulin; TSH R, thyrotropin receptor; HLA, human leucocyte antigen; TRAb, TSH receptor autoantibodies

Introduction

An autoimmune disease constituting of hyperthyroidism due to circulating auto-antibodies against thyrotropin (TSH receptor) is delineated as Graves Disease.1 An upsurge in thyroid hormone synthesis, secretions and glandular enlargement is elucidated. Aberrant glandular stimulation ensues with thyroid stimulating immunoglobulin (TSI) which activates the thyrotropin receptor.1 Coexisting manifestations are diffuse goitre, infiltrative opthalmopathy and the limited infiltrative dermatopathy, including pretibial myxedema (red/thickened skin at the shins/top of the feet) and thyroid acropachy (swollen extremities, clubbing of fingers and toes with periosteal new bone formation).2 The presence of serum thyrotropin receptor antibodies and orbitopathy on clinical exam categorizes and classifies typical Graves disease. Maternal Graves disease influences neonatal thyroid in 1 to 5% cases, pertinent to the trans-placental transfer of the anti TSH receptor auto-antibodies.3 Concurrent autoimmune diseases such as Type I diabetes mellitus, rheumatoid arthiritis. Addison’s disease, pernicious anaemia, vitiligo and lupus are expounded.3

Integral features

This thyroid disorder exemplifies an autoimmune hyperthyroidism and is analogous to Hashimoto’s thyroiditis. The age of presentation is preponderantly middle aged females from 20 to 40years of age; female to male ratio is 10:1. The condition is accompanied by HLA class II molecules HLA DR (HLA DRB 1*08 and HLADRB3*0202).4 The disease is also referred to as Diffuse Toxic Goitre, Autoimmune Hyperthyroidism, Basedow’s disease, Graves disease (after Robert Graves 1796-1853) The affected males are usually beyond 60 years of age. Identical twins (60%) elucidate a disease concordance with an HLAB8 and HLA DR3 phenotypic expression. The entire thyroid gland is involved. A combination of genetic and environmental factors is implicated, though the precise aetiology is obscure. The condition is activated by stress, infection, labour (parturition), genes and gender (oestrogenic predilection).4 Smoking may aggravate the opthalmopathy. The B and T cell mediated immune responses incite the formulation of auto-antibodies to thyrotropin (TSH receptor) of subclass IgG1. They mimic the influence of TSH, enable thyroid hormone synthesis, secretion and the perpetuation of a diffuse goiter.5

Pathogenesis

Auto-antibodies perpetuate the synthesis and exercise of sodium/iodide symporter (a protein located in the baso-lateral membrane of the thyrocytes) with an enhanced iodine uptake and a deficiency of TSH receptor which mobilizes protein C kinase pathway to control cell proliferation. Pituitary secretion of TSH is restricted with the antagonistic feedback mechanism of the accumulated thyroid hormones. A collective immune execution is implicated in the pathogenesis (Figure 1).<Probable immune aetiology of graves’ disease7

  1. Continuum of certain auto reactive T cells and B cells (lack of negative selection)
  2. Contribution of specific HLA and CTLA 4 and other
  3. Immune response related genes
  4. Re-exposure of antigens by thyroid cell damage
  5. Diminished or dysfunctional regulatory T cells
  6. Cross reacting epitopes on environmental and thyroid antigens
  7. Inappropriate HLA –DR expression
  8. Mutated T or B cell clone
  9. Activation of T cells by polyclonal stimuli
  10. Stimulation of the thyroid by cytokines

Predominant mechanisms of the disease occurrence are the thyroid cell expression of human leucocyte antigen (HLA) along–with the molecules of bystander initiation. Auto-antibodies to four thyroid antigens are implicated, thyroglobulin, thyroid peroxidase, sodium/iodide symporter and thyrotropin.6 Anti thyrotropin antibodies are definitive for Graves’s disease.6 Long acting thyroid stimulators are established as auto-antibodies. Antibodies are stimulatory/ inhibitory or neutral. This depends on the distinct clinical demonstration of hyperthyroidism or hypothyroidism.6 The thyrotropin (TSH) receptor is the predominant self antigen significant in the thyroid along with the fibroblasts, adipocytes, bone cells and other sites. Genes implicated in the autoimmune thyroid disease are HLA CD40, CTLA-4, thyroglobulin, TSH receptor and PTPN 22.4

Figure 1 Multi-factorial aetiology of Graves Disease.

Genetic elements of graves’ disease4

  1. Genetic effects are associated in up to 79% of prospective Graves disease
  2. HLA class II antigens explains 20% of the genetic aspects (specifically DR β1 ⃰ 0301)
  3. CTLA 4 association may justify up to 30% cases
  4. CD40 is a definitive genetic factor and may/may not have a possibility similar to HLA or CTLA 4
  5. Lymphoid tyrosine phosphatase–PTPN22- has been delineated with Graves disease and other endo immunity
  6. TG and TSH-R genes are linked in the whole genome screening
  7. Many other genes are probably related and their contribution varies with the population group studied

Antibodies to thyroid peroxidase, (microsomal antigen) and thyroglobulin are also detected. Thyroid stimulating antibodies and mobilized T cell cytokines such as Tumour Necrosis Factor (TNF) alpha and interferon gamma increase the adipocyte multiplication and the release of glycosaminoglycans from orbital fibroblasts.

Antibodies collaborating with graves’ disease7

  1. Enhanced levels of TS Ab, TBII and infrequently TSBAb
  2. Enhanced levels of anti TPO antibodies (80%)
  3. Enhanced levels of anti TG antibodies (50%)
  4. Antibodies which react to the Iodide symporter and Pendrin protein
  5. Antibodies which identify components of eye muscles and/or fibroblasts
  6. Antibodies to DNA Antibodies to parietal cell (sporadic)

Aggregation of hydrophilic glycosaminoglycans alters the osmotic pressure thereby accumulating fluid, causing muscular dilatation and raised orbital pressure. With retro-orbital adipo-genesis the eyeball is dislocated which impairs the extra-ocular muscles and the venous drainage.3 In Graves’s opthalmopathy (25%), immune cells invade the extra orbital muscles and the periorbital tissues. Inflammation and tissue build up in the retro orbital expanse induces the classic exopthalmos.6,4 Optic nerve compression results in partial or complete loss of vision. The symptoms of dry, irritated eyes, puffy eyelids, double vision, light sensitivity, pressure/pain in the eyes, difficulty in criss-crossing the eyes ensue.6

Clinical characteristics

Features of hyperthyroidism, such as goitre/enlarged thyroid, myopathy, tremors, heat sensitivity, oligo-menorrhoea, infertility, diarrhoea, hair loss, brittle hair, insomnia, hyperhidrosis, weight loss, exopthalmos (opthalmopathy), tachycardia, a trial flutter or fibrillation, anxiety, congestive heart failure, pretibial non pitting edema, dermatopathy are encountered.6,4 Amelioration of Opthalomopathy may progress to cause partial loss of vision or blindness. Persisting thyrotoxicosis accounts for considerable weight loss with osteoporosis and muscular atrophy. Thyroid storm may result in death in 20% cases in spite of the treatment.4

Propositions in the aetiology of graves’ disease7
  1. Psychic trauma
  2. Sympathetic “Over activity”
  3. Weight loss
  4. Iodine
  5. TSH
  6. Female gender

Ocular indications in graves ’disease

  1. Rosenbach’s sign: Tremors on closing eyelids;
  2. Stellwag’s sign: Staring look with infrequent blinking;
  3. Darlymple’s sign: Rim of sclera is seen between cornea and upper lid;
  4. Von Graef’s sign: Lagging of the upper eyelid;
  5. Joffroy’s sign: Loss of forehead corrugation when looking up;
  6. Moebius’s sign: Lack of convergence (due to ocular myopathy)

Diagnostic predictions

Diagnostic predictions are as per the clinical attributes. The potential indicators of hyperthyroidism, opthalomopathy, presence of serum anti-thyrotropin determine the condition. The patients have a diffusely enlarged thyroid with large, cold nodules; hence a prompt assessment by the fine needle aspiration cytology is required. Criterions for diagnosis are increased T3/T4, intense uptake of radioactive iodine, decreasing TSH and concrete thyroid receptor antibodies.

Sonography

The thyroid gland is enlarged with hyper-echoic shadows and a varying echo-texture. Simple cases show a comparative paucity of nodules. Colour Doppler delineates hyper-vascularity with a thyroid inferno pattern. Radioisotope determinations with Iodine 123 imaging at 2 to 6days or Tc 99mm pertechnetate classically establishes a homogenously enlarged gland with enhanced activity.6

Gross interpretation

The thyroid gland is diffusely and uniformly enlarged with a beefy red cut surface. It weighs between 50 to 150grams.4

Microscopic interpretation6,4

Additional features are a patchy, variable stromal lymphoid infiltrate. Post therapy colloid accumulation shows peripheral scalloping. Per operative potassium iodide utilized to clamp blood vessels incites epithelial involution with abundant colloid. Per-operative propylthiouracil elicits a florid follicular hyperplasia/hypertrophy. Radioactive iodine initiates dissolution of some follicles, vascular changes, nuclear atypia and stromal fibrosis. Follicular atrophy, fibrosis, nodular architecture and oncocytic change are visualized subsequently. Lympho-plasmacytic infiltrate of the peri-orbital soft tissue and extra-orbital skeletal muscle is perceived. Hyperkeratosis and deposition of acid muco-polysaccharides occurs in the dermis (Figures 2-5) (Table 1).

Follicular changes

Glandular hyperplasia

Papillary infolding

Diffuse hyperplasia/hypertrophy

 

Retained lobular architecture

Vascular Congestion

Papillae without fibro-vascular cores

 

Follicular extension in adjacent muscle

Normal follicles in lymphoid sinuses

Florid papillary hyperplasia

Cellular Changes

Tall follicular cells

Reduced Colloid

 

Nuclear changes

Basal, round, with pseudo inclusions

Nuclear clearing, grooves

Nuclear enlargement, pleomorphism, nucleoli, multinucleation

 

Mitotic figures

Psammoma bodies

 

Cytology

Mimic benign lesions

Follicular cells in flat sheets

Loosely cohesive clusters. Tall, finely granular cytoplasm

 

Marginal vacuoles, basal nuclei

Vesicular nuclei with nucleoli

Lymphocytes and oncocytes, Flame cells

Radioactive Iodine

Follicular dissolution

Nuclear atypia

Stromal fibrosis, Nodularity

 

Vascular changes

Follicular atrophy, Oncocytes

Micro-follicular architecture

Table Microscopic Interpretation

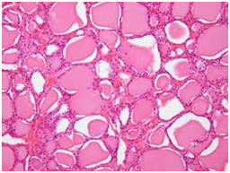
Figure 2 Graves Disease - anisonucleosis and vacuolization in the follicular epithelium.

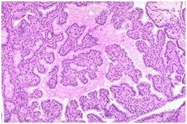
Figure 3 Graves Disease- Glandular hyperplasia with papillary unfolding.

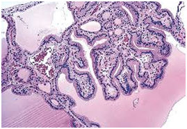
Figure 4 Papillary fronds with tall epithelium.

 Figure 5 Iodine treated Graves’s disease with Follicular involution.

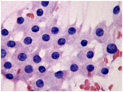
Cytologic appraisal

Cytologic appraisalis non –specific and identical to benign follicular lesions such as nodular goiter, adenomatoid nodule or colloid nodule. Radioactive iodine therapy elucidates prominent micro-follicular architecture, significant nuclear atypia, nuclear overlapping and crowding

Electron microscopy

The thyroid follicular epithelial cells display a distinct rough endoplasmic reticulum with an expanded golgi apparatus and prominent nuclei with conspicuous nucleoli are visualized.7 Oncocytes show packing of mitochondria in the cytoplasm.

Diagnosis requiring distinction

Diagnosis requiring distinctions are

  1. Thyrotoxicosis
  2. Amiodarone induced hashitoxicosis
  3. Struma ovary
  4. Toxic follicular adenoma
  5. Toxic sporadic goitre
  6. Trophoblastic tumour
  7. Papillary carcinoma thyroid with large overlapping nuclei, nuclear grooves and nuclear inclusions

Therapeutic interventions

Beta blockers, anti-thyroid drugs such as methimazole, propyl thiouracil etc, radioiodine ablation, rituximab and surgery (subtotal thyroidectomy) are the feasible options.4 Thyrotoxicosis and thyroid storm, osteoporosis, cardiac complications and death can ensue in Graves’s disease without treatment. Methimazole is preferred in the non pregnant females.6 Pregnant patients who are inappropriately treated can terminate in preterm birth, spontaneous abortions, heart failure, pre–ecclampsia, placental abruption etc. Foetuses born to inadequately managed mothers with Graves disease elucidate preterm birth , low birth weight, still birth and neonatal thyroid disease( thyrotoxic heart disease, cardio-myopathy, heart failure).6 Thyroid hyperactivity may resume after the cessation of medical therapy.8‒13

Acknowledgements

None.

Conflict of interest

Author declares that there is conflict of interest.

References

Creative Commons Attribution License

©2018 Bajaj. This is an open access article distributed under the terms of the, which permits unrestricted use, distribution, and build upon your work non-commercially.