Submit manuscript...
Journal of
eISSN: 2471-1381

Liver Research, Disorders & Therapy

Case Report Volume 4 Issue 2

Vanishing bile duct syndrome following treatment of ocular toxoplasmosis with pyrimethamine and TMP-SMX

Larissa Paez,1 Marcos Girala,1 Gustavo Machain,2 Hugo Boggino,2 Nelson Arellano2

1II General Surgery Service, Clinica s Hospital. National University of Asuncion, Paraguay
2Liver Transplant Unit, Clinica’s Hospital. National University of Asuncion, Paraguay
3PATLAB Pathological Laboratory, Paraguay

Correspondence: Nelson Arellano, Mariscal Lopez Avenue, San Lorenzo City, Paraguay, Tel 5959 8416 3733

Received: March 02, 2018 | Published: March 13, 2018

Citation: Paez L, Girala M, Boggino H, et al. Vanishing bile duct syndrome following treatment of ocular toxoplasmosis with pyrimethamine and TMP-SMX. J Liver Res Disord Ther. 2018;4(2):66 – 68. DOI: 10.15406/jlrdt.2018.04.00101

Download PDF

Abstract

A 23 year old female was admitted to the hospital with a 4 months history of right unilateral amaurosis. A diagnosis of ocular toxoplasmosis was made. She was treated for 40 days with Pyrimethamine and TMP-SMX. Six days after treatment she presented progressive jaundice, itching, nausea, vomiting, choluria and acholia. On physical examination, she looked icteric with scratching marks due to pruritus. An extensive laboratory and imaging work-up was performed and drug induced VBDS was suspected. A liver biopsy showed loss of intrahepatic bile ducts, with bridging fibrosis. Initial therapy included cholestyramine and ursodeoxycholic acid but the symptoms persisted. Then she was treated with prednisone which improved the symptoms but failed to reduce the ALP blood levels to normal range. Patient is unresponsive to current treatment. Now she is on the waiting list for liver transplant.

Keywords: vanishing bile duct, hepatotoxicity, trimethoprim, pyrimethamine, liver transplant, toxoplasmosis

Abbreviations

VBDS, vanishing bile duct syndrome; PYR, pyrimethamine; AST, aspartate transaminase; ALT, alanine transaminase; GGT, gamma-glutamyl transferase; ALP, alkaline phosphatase; TMP-SMX, trimethoprim and sulfamethoxazole; MELD, model for end-stage liver disease

Introduction

Vanishing Bile Duct Syndrome (VBDS) refers to the group of acquired disorders associated with progressive destruction and disappearance of the intrahepatic bile ducts and, ultimately, cholestasis. This is a final common pathologic pathway, resulting from multiple etiologies including autoimmune disorders, medications, genetic abnormalities, infectious diseases, and neoplastic disorders.1 Various drugs or toxins have been implicated in the development of a particular form of liver damage predominantly involving the bile ducts. Such liver toxicity is often associated with a clinical picture of prolonged cholestasis and may even evolve in rare instances, into the full picture of the vanishing bile duct syndrome, eventually complicated with biliary cirrhosis.2

PYR is one of the folic acid antagonists that are used as an antimalarial. It is also used in combination with a sulfonamide to treat toxoplasmosis.3 The two drugs bind the same enzymatic targets as the drugs trimethoprim and sulfamethoxazole - dihydrofolate reductase and dihydropteroate synthase, respectively. TMP-SMZ has been ranked within the top 5 to 10 causes of drug induced, idiosyncratic fulminant hepatic failure. However, most cases resolve rapidly, usually within 2 to 4 weeks unless cholestasis is severe.4 The two drugs used as treatment for this particular patient have previously been categorized as liver damaging, with more evidence of TMP-SMZ as a hepatotoxic drug combination. PYR, on the other hand, is mentioned in the literature as toxic mainly in combination with sulfonamide.

The clinical features of toxin or drug-induced small bile duct injury generally include an acute phase of hepatocholangiolitis of highly variable severity followed, in a minority of cases, by cholestasis, also of variable severity and duration.1 The prolonged cholestasis usually subsides after 6 months but may persist for several years. Fibrosis may occasionally progress to biliary cirrhosis,5 and similar to this case, it can be resistant to medical treatment and need a liver transplant all together.

Case presentation

A 23 year old female was admitted to the National University of Asuncion Hospital of Clinics with history of right unilateral amaurosis for 4 months. After extensive work up, ocular toxoplasmosis was diagnosed. She was treated with PYR, TMP-SMX, Folinic Acid and Prednisone for 40 days. Six days later, she developed progressive jaundice, pruritus, nausea, vomiting, choluria and acholia. On physical examination, she was icteric with scratching marks due to pruritus.

An extensive laboratory and imaging work-up was performed and ruled out viral, autoimmune, metabolic, obstructive or neoplastic liver diseases. The initial liver function tests were; AST=118IU/L (10-42IU/L), ALT=264 (10-40IU/L), ALP=217IU/L (32-92IU/L), T. Bili=7.4mg/dL (0.1-1mg/dL), D. Bili=5mg/dL (0-0.2 mg/dL), Albumin=4.1g/dL(3.5-5g/dL), Total Protein =7.4g/dL(6.4- 8.3g/dL), PT=12.8s (12.7-15.4s), PTT=27s (23-32 s), Gama Glutamyl Teransferase=171 IU/L (7- 64IU/L) (Figure 1).

Figure 1 Laboratory data of liver function

Antinuclear antibodies (ANA), anti-smooth muscle antibody (ASMA), and liver and kidney microsomal antibodies (anti-LKM) were also negative. Urine copper level was normal. Viral serology was unremarkable; no hypergammaglobulinemia was present by serum protein electrophoresis. A liver biopsy was performed 15 days after admission. It showed mild portal and intralobular inflammation, intracanalicular cholestasis with formation of biliary plugs and pseudo acinar hepatocyte transformation. Initial therapy included Cholestyramine (900 mg/day). Pruritus continued despite treatment with cholestyramine and ursodeoxycholic acid. The latter was discontinued due to 2 weeks of incoercible diarrhea.

Two month later the patient referred worsening of the pruritus, which raised the suspicion of a small bile duct cholangitis? A50 mg of Prednisone was used as a therapeutic test. Symptoms improve but the laboratory liver values did not. After 6 months of prednisone and treatment failure with cholestyramine and ursodeoxycholic acid, the patient is referred to the liver transplant unit with polivitamins and calcium. With a MELD score of 19, a severe hepatomegaly on the CT scan enlarged head of the pancreas and an abdominal echography with Doppler reveling portal hypertension, splenorenal varices and no ascites; she is placed in the liver transplant waiting list after a full body checkup.

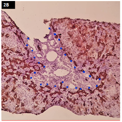
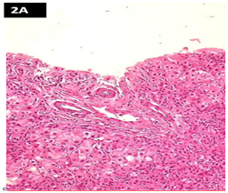
At the liver transplant unit, a second biopsy with cytokeratin 7 reveals loss of intrahepatic bile ducts, ductular proliferation with bridging fibrosis (3 out of 4), but due to the lack of regenerative nodules it does not reach the stage of cirrhosis (Figure 2A) (Figure 2B). This findings support the diagnosis of VBDS. The liver function values almost normalized but the ALP is still abnormally high.

Figure 2 (A) Portal space without bile duct (h&e).

Figure 2 (B) Portal Space (Dotted Line) with ductular proliferation and abscence of bile ductS (ck7).

Discussion

Loss of intrahepatic bile ducts, described to be pathological findings of several diseases like primary biliary cirrhosis (PBC) and graft-versus-host disease, was initially defined as ductopenia. It was not until 1987 when Ludwig introduced the definition of VBDS.6

Drug-induced hepatic injury accounts for more than 50 percent of cases of acute liver failure in the United States. More than 75 percent of idiosyncratic drug reactions result in liver transplantation or death.7 Several kinds of drugs have been reported to cause VBDS, including antibiotics, nonsteroidal anti-inflammatory drugs (NSAIDs), antiviral antigens, drugs to treat hypertension, hyperlipidemia, diabetes mellitus, and antipsychotics.

Concomitant use of PYR or sulfadoxine and PYR with other antifolate agents (e.g., sulfonamides, co-trimoxazole, trimethoprim) is not recommended since such combination may increase the risk of bone marrow suppression.8

Nevertheless, liver toxicity (25%) is the most common adverse drug reactions (as a percentage of total adverse drug reactions).9 As with other sulfa-based drugs, the most feared complication of sulfadoxine/ PYR therapy is a hypersensitivity reaction, which can result in a severe cutaneous adverse reaction (SCAR), other severe adverse drug reactions (ADRs), including cholestatic hepatoxicity,10 and fulminant hepatic necrosis.11

PYR and sulfadiazine is the most commonly used combination for treatment of ocular toxoplasmosis;12 however, because of concerns about the toxicity associated with these drugs, combination of trimethoprim and sulfamethoxazole has been evaluated as a potentially less-toxic alternative for treatment of toxoplasmosis.13 The opportunistic Infections guidelines panel recommends the use of trimethoprim-sulfamethoxazole until PYR can be obtained for use in preferred regimens (eg, PYR + sulfadiazine). Our patient used a combination of PYR and TMP-SMX, which might have combined the toxicity of both common regimens instead of potentiating either of them.

The pathogenesis behind VBDS associated with drugs is largely unknown, and there is no proven therapy to reverse this condition once established. This is why, it is very important to always bear in mind the possible outcome and severity of the side effects of any particular treatment. It is imperative to be aware of drug-induced hepatotoxicity in any long term treatment of knowingly hepatotoxic drug in order to avoid some cases of acute hepatic failure.

Conclusion

Patient consent related case report take the permission from concerned patient.

Acknowledgements

All authors contributed toward data analysis, drafting and revising the paper and agree to be accountable for all aspects of the work.

Conflict of interest

There is no conflict of interest.

References

  1. Reau NS, Jensen DM. Vanishing Bile Duct Syndrome. Clin Lover Dis. 2008;12(1):203‒217.
  2. Geubel AP, Sempoux CL. Drug and toxin-induced bile duct disorders. J Gastroenterol Hepatol. 2000;15(11):1232–1238.
  3. National Center for Biotechnology Information. PubChem Chemistry Database; CID, 4993.
  4. Hoofnagle JH, Serrano J, Knoben JE, et al. LiverTox: A website on drug-induced liver injury. Hepatology. 2013;57(3):873–874.
  5. Annette SH Gouw. Practical Hepatic Pathology: A Diagnostic Approach. 28 Loss of Intrahepatic Bile Ducts in Adults. 1st ed. Philadelphia: Elsevier; 2011:393–403.
  6. Ludwig J, Wiesner RH, Batts KP, et al. The acute vanishing bile-duct syndrome (acute irreversible rejection) after orthotopic liver-transplantation. Hepatology. 1987;7(3):476–483.
  7. Lee WM. Drug-Induced hepatotoxicity. N Engl J Med. 2003;349(5):474‒485.
  8. American Society of Health-System Pharmacists. AHFS Drug Information 2012. Bethesda: 2012.
  9. Peters PJ, Thigpen MC, Parise ME, et al. Safety and toxicity of sulfadoxine/pyrimethamine: implications for malaria prevention in pregnancy using intermittent preventive treatment. Drug Safety. 2007;30(6):481‒501.
  10. Nair SS, Kaplan JM, Levine LH, et al. Trimethoprimon sulfamethoxazole-induced intrahepatic cholestasis. Ann Intern Med. 1980;92(4):511‒512.
  11. Zitelli BJ, Alexander J, Taylor S, et al. Fatal hepatic necrosis due to pyrimethamine-sulfadoxine (Fansidar). Ann Intern Med. 1987;106(3):393‒395.
  12. Holland GN, Lewis KG. An update on current practices in the management of ocular toxoplasmosis. Am J Ophthalmol. 2002;134(1):102–114.
  13. Silveira C, Belfort R Jr, Muccioli C, et al. The effect of long-term intermittent trimethoprim/sulfamethoxazole treatment on recurrences of toxoplasmic retinochoroiditis. Am J Ophthalmol. 2002;134(1):41–46.
Creative Commons Attribution License

©2018 Paez, et al. This is an open access article distributed under the terms of the, which permits unrestricted use, distribution, and build upon your work non-commercially.