Submit manuscript...
Journal of
eISSN: 2373-437X

Microbiology & Experimentation

Review Article Volume 5 Issue 7

A Simple Overview of Common Parasitic Diseases: Which Parasitic Disease is more Dangerous?

Saman Ayoubi,1 Seyed Bashir Mirtajani,1 Reyhaneh Zahiri,2 Fatemeh Pourzeinolabedin,1 Jafar Aghajani1

1Mycobacteriology Research Center (MRC), Shahid Beheshti University of Medical Sciences, Iran
2Department of Biotechnology, Islamic Azad University, Iran

Correspondence: Jafar Aghajani, Mycobacteriology Research Center (MRC), National Research Institute of Tuberculosis and Lung Disease (NRITLD), Shahid Beheshti University of Medical Sciences, Tehran, Iran , Tel 98 21 88617711(16)

Received: August 28, 2017 | Published: November 1, 2017

Citation: Ayoubi S, Mirtajani SB, Zahiri R, Pourzeinolabedin F, Aghajani J (2017) A Simple Overview of Common Parasitic Diseases: Which Parasitic Disease is more Dangerous? J Microbiol Exp 5(7): 00172. DOI: 10.15406/jmen.2017.05.00172

Download PDF

Abstract

Despite much progress in the field of control and struggle, advanced laboratory facilities to support and accelerate the detection of parasitic infections and a slew of new drugs made, but in parallel to the development of drug resistance, Vector resistance to insecticides and resistance to change human hosts are the most common infections, especially in developing countries. Introduction to morphology, biology, clinical and diagnostic methods such essentials that we in the diagnosis and treatment of parasitic diseases and prevent complications assist. The aim of this article Learn all parasites, including worms, insects single survivors and human pathogens, including parasites, with extensive and limited familiarity with biological properties, Pathogenesis and diagnosis of parasitic diseases, and training of the necessary laboratory diagnostic techniques.

Keywords: laboratory diagnostic techniques, parasitic diseases, biological properties, malaria diseases

Abbreviations

CLSI, clinical and laboratory standards institute

Introduction

Parasites or parasite refers to inventory that is located on or within another organism for growth and reproduction of the environment and the food in the home. Does not have to harm the parasite to its host sometimes live together peacefully. Property is a parasitic disease, and the host property is self-defense. Including property, the parasite is to infect, offensive, traumatic and detoxified. If the parasite can cause enough damage to its host, the host will come changes in the protests which have been glaring disease.1

Today, in many parts of the world infectious disease creates many problems for human communities; however, the damage and losses caused by these diseases in developing countries compared to industrialized countries most affected. parasitic disease has spread to causes such as poverty, malnutrition, illiteracy and increase of population, lack of sanitation facilities and other factors to account for a major part of the problem, So that in some parts of the world parasitic disease damages the social, economic, with some diseases such as tuberculosis, sexually transmitted diseases, acute respiratory infections vaccine-preventable diseases combined.2

Some intestinal parasites

Intestinal parasites

Various types of intestinal parasites and the effects are different in several important respects mentioned below.3 Intestinal parasites are parasites that can infect the gastrointestinal tract of humans and other animals.1 They can live throughout the body, but most prefer the intestinal wall. Means of exposure include ingestion of undercooked meat, drinking infected water, and skin absorption.1,2 The two main types of intestinal parasites are those helminths and protozoa that reside in the intestines (not all helminths and protozoa are intestinal parasites).2 An intestinal parasite can damage or sicken its host via an infection which is called helminthiasis in the case of helminths.

Vermicularis (pinworm)

Vermicularis that it is also called as parasitic pinworms can be seen in all parts of the world. An obvious sign of infection infertile female worms migrates out of the vent hole appears. as a result of the withdrawal of worms and move it in the anal area cause skin irritation and itching and scratching living with children with bleeding ulcers and purulent wounds that the bacteria may be added. Itching is usually more severe and night, resulting in insomnia patients who have neurological complications such as fatigue and irritability and anger in effect occurs (Figure 1-5).4

Figure 1 Vermicularis in Clinical samples.

Figure 2 Taenia Ova.

Figure 3 Taenia saginata.

Figure 4 Taenia Solium gravid Proglottid.

Figure 5 Taenia Saginata Proglottid.

Taenia (tapeworm)

Tapeworms from eating raw meat and cooked cow or pig to a human patient are infectious. Kind of cattle passes long disease that causes pain, weakness and severe anemia patients.4

Malaria

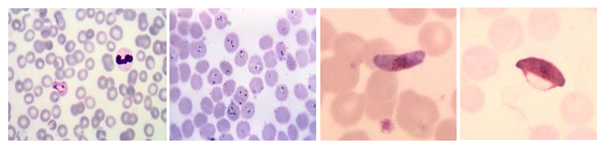
Malaria is a mosquito-borne infectious disease of humans and other animals caused by parasitic protozoans (a group of single-celled microorganism) belonging to the genus Plasmodium.1 Malaria causes symptoms that typically include fever, fatigue, vomiting, and headaches. In severe cases, it can cause yellow skin, seizures, coma or death.2 The disease is transmitted by the biting of mosquitos, and the symptoms usually begin ten to fifteen days after being bitten. If not appropriately treated, people may have recurrences of the disease months later.1 In those who have recently survived an infection, re-infection typically causes milder symptoms. This partial resistance disappears over months to years if the person has no continuing exposure to malaria (Figure 5 & 6).2

The disease is transmitted most commonly by an infected female Anopheles mosquito. The mosquito bite introduces the parasites from the mosquito's saliva into a person's blood.1 The parasites travel to the liver where they mature and reproduce. Five species of Plasmodium can infect and be spread by humans.2 Most deaths are caused by P. falciparum because P. vivaxP. ovale and P. malariae generally cause a milder form of malaria.1,2 The species P. knowlesi rarely causes disease in humans.1 Malaria is typically diagnosed by the microscopic examination of blood using blood films, or with antigen-based rapid diagnostic tests.1 Methods that use the polymerase chain reaction to detect the parasite's DNA have been developed, but are not widely used in areas where malaria is common due to their cost and complexity.4

In the Figure 7, you can see the malaria cycle and how it is written to the body.

Figure 6 Diagnosis of malaria in the blood.

Figure 7Malaria Life Cycle.
A: Exo-erythrocytic Cycle; B: Erythrocytic Cycle; C: Sporogonic Cycle.5

Ascaris

ascaris worm long, cylindrical and thin ends of the milky white color and flower color. ascaris adult females 20 to 45 cm in length and diameter of 3 to 6 mm and length of 15 to 30 cm shorter female Ascaris male and 2 to 4 mm diameter6 Worm egg. The worm eggs in cold and wet and very resistant to some chemicals may survive up to 5 years but drought and sunlight survive more than a few weeks (Figure 8).3

Figure 8 Ascaris lumbricoides.

Laboratory diagnosis of malaria

Collecting blood samples

Although malaria is suspected as required at any time to collect samples, respecting the time of blood sampling, species and life stages of the parasite makes more possible.8 The best time for blood in between attacks of chills and fever before, and usually due to the impossibility of finding the parasite in blood samples once collected blood smear should continue until three consecutive days every 6-8 hours.6 It is clear that the use of anti-malaria drug samples has diagnostic value. a blood sample from capillary and venous blood sampling is possible, but the use of capillary blood is preferred, Morphological changes in the parasite because the anticoagulant is therefore restricted use of venous blood smear appropriate to conditions that are not using the capillary blood.8 In such cases, the use of blood in EDTA with respect to the precise ratio recommended. Otherwise, the possibility of leaching thick of the slides during staining or non-staining is an appropriate parasite. However, in cases of venous blood is better, Smear of blood into the syringe before mixing with anticoagulant and if it is not possible to maximum 1 hour after sampling is necessary.9 Within an hour of the time of sampling, morphological structure of red blood cells, the parasite developed and spotted a general form of the parasite disappears but remains detectable for up to two hours.2

Blood smear

to detect the parasite from spreading thick and thin and as recommended CLSI (Clinical and Laboratory Standards Institute) at the time of admission providing at least 4 consists of two thick and two of thin blood smears are necessary (Figure 9).10

Figure 9 The effect of parasitic diseases on blood cells.

Stained blood smears

The best color to paint staining, making it possible to detect blood parasites Schaffner seeds, which in some species of Plasmodium can be seen, it makes possible. Wright or Giemsa staining of the seeds are not visible. The important point in the preparation of color, adjust the PH buffer diluent (PBS), the differential diagnosis of blood parasites should be about 2/7-7 is preserved. from Giemsa stain with different concentrations can be for staining medium according to the patient's condition, and in order to early diagnosis used, for example in emergencies Use of stain Concentration 5/7% for 15 Minutes and in other cases for staining better internal structure Parasites using different concentrations 2/5% for 45 Minutes and or 2% for 60 Minutes recommended, at the end of staining Slide washing buffer PH 7-7/2 final quality of its stain better.8

Conclusion

Generally, in this study, blood smear for detecting and find of parasites first of low and medium magnification, (10×, 40×), microscope to find the larger components such as schizont and gametocytes, finally, the high magnification (100×) to investigate full smear Used. To investigate full smear must be at least 300 right at high magnification, (100 ×) observed.11 Detection of blood parasites, especially the four species of Plasmodium that cause infection in humans. And distinguish appropriate from time to choose an appropriate treatment is essential. differentiation of these species using features such as size and shape of the infected red blood cells, the presence or absence, Schaffner seeds, shape and number of trophozoites within red blood cells and the gametocyte and usual diagnosis is possible by putting together several of the above possible. The important point in the diagnosis of parasite differentiation, such as platelets, fouling paints fungi or bacteria that have been found on red blood cells. Differentiation of Plasmodium falciparum from Babz or to select the appropriate treatment, which is important, although it is sometimes difficult to be examined.5 Determining parasitemia before treatment and to follow up on the effects of drug-resistant strains of Plasmodium falciparum infection and determination is essential, normally before surgery 24, 48, 72, hours after the treatment is done. If treatment is successful within the first 24 hours of treatment parasitemia significantly reduced. There are two ways to determine the parasitemia is possible, in the first method that can be performed only in the development of thin has been viewed by at least 10 percent of infected erythrocytes per microscopic field in red blood cell count of 100 is reported. In cases where the number of parasites in the blood is low can be used as another method, that on both thick and thin smears done. In this method, the number of parasites per 100 white blood cell count is announced, it can also calculate a number of parasites in a microliter of blood, To do so, the number of parasites per 100 white blood cells counted in the total number of white blood cells multiply and divide the result by 100. It is worth noting that the low number of parasites can be their number per 200 WBC count. Although malaria has been eliminated in many parts of the world in many countries, a large number of people each day die of the disease. The disease is higher in areas of poor and overdue, and because access to the laboratory and staff trained to diagnosis is difficult.12

Acknowledgments

None.

Conflicts of interest

None.

References

  1. Patz JA, Graczyk TK, Geller N, et al. Effects of environmental change on emerging parasitic diseases. Int J for Parasitol. 2000;30(12):1395–1405.
  2. Renslo AR, McKerrow JH. Drug discovery and development for neglected parasitic diseases. Nat Chem Biol. 2006;2(12):701–710.
  3. Nirde P, De Reggi ML, Tsoupras G, et al. Excretion of ecdysteroids by schistosomes as a marker of parasite infection. FEBS Lett. 1984;168(2):235–240.
  4. Wu X, Song L, Liang J, et al. Together in the fight against neglected public health problems:worldwide network cooperation on waterborne diseases and emerging parasitic diseases. Parasitol Res. 2015;114(5):1989–1991.
  5. https://www.cdc.gov/malaria/about/biology/
  6. Melo MF, Moreira OC, Tenório P, et al. Usefulness of real time PCR to quantify parasite load in serum samples from chronic Chagas disease patients. Parasit Vectors. 2015;8:154.
  7. Weil GJ, Lammie PJ, Weiss N. The ICT filariasis test:a rapid–format antigen test for diagnosis of bancroftian filariasis. Parasitol Today. 1997;13(10):401–404.
  8. Schallig HD, Oskam L. Review: molecular biological applications in the diagnosis and control of leishmaniasis and parasite identification. Trop Med Int Health. 2002;7(8):641–651.
  9. Elard L, Cabaret J, Humbert JF. PCR diagnosis of benzimidazole–susceptibity or–resistance in natural populations of the small ruminant parasite, Teladorsagia circumcincta. Vet Parasitol. 1999;80(3):231–237.
  10. Guy EC, Joynson DH. Potential of the polymerase chain reaction in the diagnosis of active Toxoplasma infection by detection of parasite in blood. J Infect Dis. 1995;172(1):319–322.
  11. Ashley EA, Touabi M, Ahrer M, et al. Evaluation of three parasite lactate dehydrogenase–based rapid diagnostic tests for the diagnosis of falciparum and vivax malaria. Malar J. 2009;8(1):241.
  12. Figueroa–Guinez R, Joao Matos M, Vazquez–Rodriguez S, et al. Interest of Antioxidant Agents in Parasitic Diseases. The Case Study of Coumarins. Curr Top Med Chem. 2015;15(9):850–856.
Creative Commons Attribution License

©2017 Ayoubi, et al. This is an open access article distributed under the terms of the, which permits unrestricted use, distribution, and build upon your work non-commercially.