Submit manuscript...
Journal of
eISSN: 2373-437X

Microbiology & Experimentation

Research Article Volume 10 Issue 6

Comparative analysis of the antihepatotoxic effects of Ginkgo biloba leaf extract and Legalon using histological and biochemical techniques

Eman A El-Shabasy, Maher AA Amer, Fatma A keshk, Sameh M Shabana

Zoology Department, Faculty of Science, Mansoura University, Egypt

Correspondence: Eman A El-shabasy, Zoology Department, Faculty of Science, Mansoura University, Egypt

Received: December 12, 2022 | Published: December 30, 2022

Citation: El-Shabasy EA, Amer MAA, Keshk FA, et al. Comparative analysis of the antihepatotoxic effects of Ginkgo biloba leaf extract and Legalon using histological and biochemical techniques. J Microbiol Exp. 2022;10(6):229-236. DOI: 10.15406/jmen.2022.10.00378

Download PDF

Abstract

Drugs, alcohol, and poor nutrition all contribute to the overproduction of free radicals, which linked to numerous diseases and resulted in a high number of cases of liver injury. Antioxidants have shown to play a significant role in reducing the harm caused by these compounds in recent studies. Treatment of liver disease with plants from the natural world has received considerable attention for quite some time.

This study compared Ginkgo biloba leaf extract (GbE) with a commonly used drug in Egypt called Legalon for treating liver disorders, in order to assess GbE's hepato-protective effect against hepatotoxicity induced experimentally by CCl4.

Before the first dose of CCl4, animals given GbE (100 ml/kg) and Legalon drug (100 ml/kg) orally, once a day, for a week. After that, CCl4 given orally at a dose of (2.5 ml/kg) in olive oil daily for 8 weeks to induce liver fibrosis, and the administration of GbE and Legalon maintained at the same dose and duration. The protective effect of GbE was determined by observing the result of the experiment, which included a shift in biochemical indictors and the outcomes of histopathological studies.

In comparison to the control group, CCl4 significantly (P<0.5) increased the levels of ALT, AST, ALP, MDA, and lipid profile. In contrast, markers of oxidative stress, including TP, ALB, HDL, TAC, GSH, GPx, CAT, and SOD, were significantly lower in the study's experimental group than in the control group. Nevertheless, GbE treatment led to differences across the board when compared to the CCl4-intoxicated and Legalon groups. With the help of the histopathological investigations, all of these findings verified.

Conclusion: Liver damage caused experimentally by CCl4 mitigated when the animals pretreated with GbE. Both biochemical and histopathological studies found that GbE acts as a powerful antioxidant, suppressing oxidative stress to reduce hepatotoxicity and slow the development of liver fibrosis.

Introduction

Most metabolic processes take place in the liver. Hepatic injury can be caused by hepatotoxicants produced in metabolic reactions, which the liver plays a crucial role in detoxifying.1 Toxic effects on the liver from substances like drugs or foreign chemicals is known as hepatotoxicity.2 Hepatotoxicity caused by an overdose of a variety of substances, including pharmaceuticals, industrial chemicals, and even naturally occurring chemicals like microcystins, herbal remedies, and nutritional supplements; these substances are collectively referred to as "hepatotoxicants".3,4

Hepatotoxicity testing typically involves the use of carbon tetrachloride (CCl4) to induce liver injury by producing free radicals.5 Other than the liver, CCl4 can also damage the lungs, heart, testicles, kidneys, and brain.6 Lipid peroxidation of liver membranes has been linked to CCl4-induced liver damage, which is caused by the bioactivation of CCl4 into the trichloromethyl CCl3* free radical by the cytochrome P450 system in liver microsomes.7 Reversible liver fibrosis may progress to irreversible cirrhosis if the early stages of chronic liver injuries, regardless of cause, not treated effectively. Hepatic extracellular matrix (ECM) protein accumulation is a characteristic of liver fibrosis.8

In the East, herbal medicines with a long history of success in treating liver disease have used for thousands of years. Herbal medicine has been studied for over 5,000 years, with early examples found in Chinese and Egyptian papyrus writings from around 3,000 B.C.9 Researchers have found that people in different countries frequently use the same or very similar herbs for the purpose of preventing, diagnosing, enhancing, or treating physical and mental illness. Some estimates place the number of people who use herbal and traditional medicine as their primary health care system at 75 percent.10 For a drug to be considered hepatoprotective, it must be able to either counteract the toxic effects of the disease or restore normal hepatic physiological functions.11 Supplements derived from natural sources have become increasingly popular in recent years due to their potential to increase a drug's therapeutic efficacy or lessen its potentially harmful side effects in the treatment of a variety of diseases.12

Leaf extract from the ginkgo biloba tree, also known as GbE or gbiloba, has been used as a supplement in traditional Chinese medicine (TCM) for centuries.13 It prevents liver damage by increasing the expression of genes responsible for producing antioxidant enzymes and decreasing lipid peroxidation and glutathione (GSH) depletion.14 There are many different types of phytoactive compounds in Ginkgo biloba (family Ginkgoaceae), including flavonoids, terpenetrilactones, proanthocyanidins, ginkgolic acids, biflavones, and ginkgotoxins.15 Ginkgo toxin, which has been linked to a structure similar to that of vitamin B6, is also present.16 In light of this, the current study sought to examine whether an antifiberotic drug (Legalon) and a plant extract (Ginkgo biloba leaves extract) could help reduce the liver toxicity caused by carbon tetrachloride in male rats. Many different biomarkers and histopathological analyses helped to confirm this.

Material and methods

Chemicals

According to the study by Şener, G. et al., and colleagues, CCl4 was purchased from the Egyptian distributor of Sigma Chemicals, Legalon was purchased from a local pharmacy, and an extract of Ginkgo biloba leaves was prepared in the lab of natural products in chemistry department of the science faculty.17 The other reagents in this study were also of a high quality and analytical grade.

Animals and experimental protocol

Eight-week-old male albino rats weighing 100-120 g were subjected to a photoperiod of 12 hours of light followed by 12 hours of darkness, with the lights on from 6 to 18 hours per day. They kept at a comfortable temperature in stainless steel cages with climate control (22-25oC). Throughout the duration of the experiment, the animals were fed a standard laboratory diet of 40% crushed corn, 30% feed paddy, 20% ground soybean, 10% barley, and molasses, and had access to water ad libitum. After two weeks of adaptation, eight rats randomly assigned to one of seven groups.

Animal grouping

The 56 animals split up into seven groups. Group I: the control group, which consisted of untreated animals. Group II: Animals in this group received GbE orally every day for eight weeks at a dose of 100 mg/kg.18 Group III: A group that received Legalon at a dose (100mg/kg) every day for 8 weeks.19 IV rats received CCl4 dissolved in olive oil (V/V) every day for eight weeks at a dose of 2.5 ml/kg body weight.20 Animals in group V were given the same doses of GbE and CCl4 as before. Rats in group VI received CCl4 and Legalon. Animals in group VII received GbE, Legalon, and CCl4 at the same doses as before.

Sampling

After an overnight fast, rats sacrificed at the end of the experimental period (8 weeks), and blood samples taken, allowed to clot, and then centrifuged at 2000 rpm for 20 min for biochemical analysis. For further analysis and projections, blood sera carefully separated and stored at -20oC. 24 hours after the last treatment, the rats sacrificed, and their livers removed and divided into two parts: one was stored in neutral formalin (10%) for histopathological investigation, and the other frozen for biochemical evaluation.

Preparation of liver homogenate

Labeled samples of liver tissue were weighed, homogenised in distilled water to create a 10% (w / v) homogenate, and then stored frozen at -20oC for later use.

Assessment of biochemical parameters

AST and ALT activities in serum and liver were measured according to the methods of Reitman and Frankel.21 The activity of ALP and GGT were measured according to the methods of Belfield and Goldberg (1971) and respectively Persijn and Van der Slik.23 We also measured the level of total bilirubin according to the method of Walters and Gerarde.24 Additionally, we used the serum and liver homogenate for determination the level of total proteins,25 albumin,26 globulin,27 total cholesterol,28 HDL,29 LDL,30 VLDL,31 and triglycerides.32 Lipid peroxidation (as measured by malondialdehyde, MDA) was also assessed by preparing liver homogenate from the rats in each group and applying the method described by Okhawa et al.33 Furthermore, antioxidants including GSH,34 GPx,35 SOD,36 and CAT37 were measured in the liver homogenate.

Histological methods

To detect histopathological changes, liver tissues carefully fixed in neutral formalin solution (10%), dehydrated in increasing grades of ethanol, cleared in xylene, embedded in paraffin wax, and sectioned at 5-7 µm. The stained sections were then examined and photographed under a light microscope.38 In addition to routine hematoxylin and eosin staining, the identification of collagen fibers as a useful marker for various diseases, such as fibrosis, was done using Masson's trichrome stains (a three-color staining protocol used in histology in which connective tissue is stained blue, nuclei are stained dark red/purple, and cytoplasm is stained red/pink).39

Statistical analysis

Results displayed using means±SE. One-way analysis of variance (ANOVA) used to determine the statistical significance, and then the LSD test used to compare the results using GraphPad Prism. At p≤0.05, differences were deemed significant.40

Results

Evaluation of liver damage

When compared to the normal control group, the data from table (1) for the CCl4-intoxicated group showed a significant rise (P < 0.05) in the activities of hepatic and serum liver enzyme markers like ALT, AST, ALP, and GGT as well as a rise in the level of total bilirubin. The level of serum and hepatic total protein, albumin, and globulin in the CCl4-intoxicated group was found to be significantly lower (P<0.05) than in the normal control group. As opposed to both the CCl4-intoxicated group and the Legalon administered group, oral administration of Ginkgo biloba leaf extract against CCl4-intoxication improved all of these outcomes.

Parameters  Animal groups    

S. ALT (U/L)

S. AST  (U/L)

S. ALP (IU/L)

S. GGT (U/L)

S. Total Bilirubin (mg/dl)

H. ALT  (U/g)

H. AST (U/g)

Control

51.5±2.58

89.3±1.27

127.5±1.99

13.5±0.429

0.49±0.032

58.20±1.10

57.62±2.655

GbE

52.5±1.06

85.33±1.273

169.0±1.813

12.64±0.3110

0.523±0.0189

55.83±1.230

60.41±1.063

L

59.8±0.886

91.59±1.133

175.3±2.635

13.38±0.2661

0.578±0.0125

71.86±4.287

71.07±2.393

CCl4

199.9a±3.37

246.5a±1.133

295.0a±23.39

26.75a±0.3848

0.725a±0.0144

105.4a±3.215

122.6a±2.503

GbE+CCl4

88.6a,b±4.19

111.9b±9.610

153.2b±2.745

18.73a,b±0.52

0.56b±0.024

80.28a,b±1.15

84.61a,b±2.05

L+CCl4

137.1a,b±3.54   

146.2a,b±5.533   

186.4a,b±3.129   

21.23a,b±0.595   

0.67a±0.01958   

91.02a,b±2.059   

91.54a,b±±2.68   

GbE+L+CCl4

126.6a,b±4.16

150.6a,b±7.97

179.5a,b±3.75

20.09a,b±0.537

0.66a±0.014

87.09a,b±1.66

87.21a,b±1.73

Table 1-a Serum and hepatic biochemical parameters in the control and different treated animal groups

Parameters Animal groups    

S. Total protein (g/dl)

S. Total Albumin (g/dl)

S. Total Globulin (g/dl)

H. Total protein (g/g tissue)

Control

5.598±0.42

4.02±0.038

2.08±0.022

5.26±0.113

GbE

6.140±0.2410

3.99±0.05935

2.268±0.0427

5.063±0.0551

L

5.450±0.1963

3.485±0.0718

1.973±0.0206

4.90±0.06745

CCl4

2.463a±0.196

1.803a±0.1211

1.655a±0.0239

3.145a±0.0366

GbE+CCl4

5.213b±0.106

3.938b±0.177

2.035b±0.010

4.74a,b±0.168

L+CCl4

3.715a,b±0.144   

3.300a,b±0.136   

1.718a±0.0296   

4.12a,b±0.0591   

GbE+L+CCl4

3.695a±0.186

3.29a,b±0.063

2.045b±0.014

4.55a,b±0.186

Table 1-b Serum and hepatic biochemical parameters in the control and different treated animal groups
Data is shown as means±SE (n = 8 rats in each group).
(P<0.05), a = significance in comparison to the control group, b = comparison to the CCl4 group. H=hepatic, S=serum.

Evaluation of lipid profile

When CCl4 was administered orally, total cholesterol, triglycerides, LDL cholesterol, and VLDL-C concentrations increased significantly (P < 0.05) compared to the control group, but HDL- C levels decreased significantly (P < 0.05), as shown in the table 3. On the other hand, as shown in table, rats protected with Ginkgo biloba leaf extract against CCl4-intoxication displayed a significant improvement in the lipid profile (2).

Parameters Animal groups

S. T.Cholesterol (mg/dl)

S. Triglyceride (mg/dl)

S.HDL-C (mg/dl)

S.LDL-C (mg/dl)

S.VLDL-C    (mg/dl)

H.T.cholesterol      (mg/g)

H.triglyceride (mg/g)

Control

109.3±0.6989

87.87±0.7074

35.39±0.6963

55.46±1.300

17.40±0.2517

96.31±2.248

290.6±5.582

GbE

109.2±0.7596

86.79±0.8315

35.18±0.4447

53.45±0.6763

17.51±0.2341

104.2±1.238

274.4±9.049

L

112.2±0.4966

89.63±0.7112

30.75±1.443

59.12±1.603

17.95±0.3167

108.9±0.9704

282.3±5.195

CCl4

132.4a±1.223

109.5a±0.6460

23.76a±0.6221

76.05a±1.024

21.95a±0.1157

132.5a±1.433

344.6a±5.496

GbE+CCl4

116.9a,b±1.004     

100.6a,b±0.9088

31.63b±0.3856

61.81a,b±0.9186

19.07a,b±0.1862

115.2a,b±1.295

298.1b±4.251

L+CCl4

118.8a,b±0.77          

101.5a,b±0.97          

27.18a±1.693          

69.40a,b±1.35          

20.35a,b±0.23          

119.4a,b±0.49          

308.0b±3.660          

GbE+L+CCl4

117.8a,b±0.64

99.80a,b±0.64

29.48a,b±1.175

67.26a,b±1.61

19.82a,b±0.13

117.1a,b±1.11

309.0b±1.988

Table 2 Lipid profile (serum& liver) in control and different treated animal groups
Data is shown as means±SE (n = 8 rats in each group).
(P<0.05), a= significance as compared with control, b= significance as compared with CCl4 group. S=serum, H= hepatic MDA= Malondialdehyde, SOD= superoxide dismutase, GSH= Glutathione, Gpx= Glutathione peroxidase.

Parameters Animal groups

MDA (nmol/mg)

Total antioxidant capacity(ng/ml)

GSH  (ng/ml)          

GPX (ng/ml)          

Catalase (ng/ml)          

SOD (IU/mg)          

Control

0.098±0.0026

0.254±0.0045

0.24±0.00540

0.204±0.0020

0.288±0.0018

11.41±0.3534

GbE

0.089±0.0045

0.317±0.00868

0.2910±0.0086

0.219±0.00168

0.357±0.00625

12.13±0.2241

L

0.17±0.01486

0.194±0.0132

0.247±0.0098

0.149±0.0108

0.307±0.0032

10.99±0.4251

CCl4

0.40a±0.00299

0.119a±0.0073

0.061a±0.0194

0.097a±0.0064

0.145a±0.0036

6.248a±0.2805

GbE+CCl4

0.175b±0.0187

0.21ab±0.0036

0.205b±0.0023

0.187b±0.0032

0.29b±0.00598

9.613a,b±0.369

L+CCl4

0.31a,b±0.0351

0.16a,b±0.0072

0.167a,b±0.005

0.109a±0.0087

0.2a,b±0.00512

8.723a,b±0.491

GbE+L+CCl4               

0.23a,b±0.01755          

0.187a,b±0.0056          

0.18a,b±0.00575          

0.1205a±0.0068          

0.21a,b±0.00405          

8.885a,b±0.3756          

Table 3 Lipid peroxidation product (MDA) levels and antioxidant parameters in control and different animal groups
Data is shown as means±SE (n = 8 rats in each group).
(P<0.05), a= significance as compared with control, b= significance as compared with CCl4 group. S=serum, H= hepatic, MDA= Malondialdehyde, SOD= superoxide dismutase, GSH= Glutathione, Gpx= Glutathione peroxidase.

Evaluation of lipid peroxidation and the antioxidant activities

Data shown in table 3& Figure 3 demonstrated that, in comparison to healthy rats, the CCl4-intoxicated group showed a significantly higher level of MDA (the final by-product of lipid peroxidation), which led to tissue damage. As opposed to the CCl4-intoxicated group, pretreatment with GbE resulted in a significant (P < 0.05) decrease in the level of hepatic MDA as well as a significant (P < 0.05) increase in the level of hepatic GSH, GPx, CAT, and SOD, indicating the elevated antioxidant capacity of GbE.

Figure 1 Serum and hepatic biochemical parameters in the control and different treated animal groups.

Figure 2 Lipid profile (serum& liver) in control and different treated animal groups.

Figure 3 Lipid peroxidation product (MDA) levels and antioxidant parameters in control and different animal groups.

Histological examination of Hematoxylin and Eosin (H&E) stained sections of liver

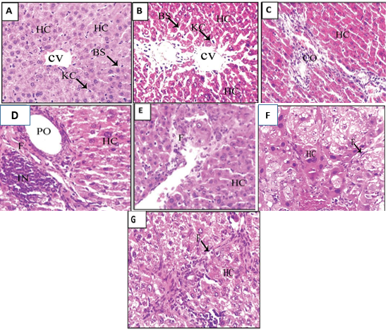
Upon histological examination, normal lobular architecture with normal hepatocytes arranged around the central vein in strands and separated by clear blood sinusoids seen in the control liver's H& E-stained sections. Figure 4A The liver section of CCl4-intoxicated animals showed absence of normal liver architecture with several histopathological changes observed involving; deforming hepatocytes with atrophied densely stained nuclei, intense infiltration of inflammatory cells. Dialation and congestion of blood vessels, and collapsed blood sinusoids with more dense kupffer cells. Figures 4B& C Hepatocytes with cytoplasmic vacuolization and karyolitic nuclei, necrosis, and connective tissue hyperplasia, as well as swollen hepatocytes seen. Figure 4D Pre-treatment with Ginkgo biloba leaves extract (GbE) prevented hepatocyte denaturation and necrosis from being visible in the liver sections of CCl4-intoxicated rats. Hyperplasia of connective tissue and liver fibrosis were also reduced. Figure 4E The liver tissue showed a remarkable improvement compared to CCl4-intoxicated rats in the histopathological observations of the liver section caused by co-administration of GbE & Legalon in combination against intoxication for 8 weeks, especially the density of the lobular fibrosis that also decreased. Figure 4G.

Figure 4 Photomicrographs of liver sections stained with Hematoxylin and Eosine (H&E) including: (A) control group/ (B) positive control GbE/ (C) positive control Legalon/ (D1) CCl4 intoxicated group/ (E) rat livers suffered from hepatic toxicity and received GbE/ (F1) ) rat livers suffered from hepatic toxicity and received Legalon/ (G) rat livers suffered from hepatic toxicity and received a combination of GbE and Legalon.
Figure (4) Photomicrographs of liver sections stained with Hematoxylin and Eosine (H&E):
Figure (A): Control liver showing normal and binucleated hepatocytes (HC) arranged in hepatic strands radiating from a central vein (CV) and separated by blood sinusoids (BS) with their kupffer cells (KC). (HX&E×400)
Figure (B): Normal rat liver received GbE showing central vessel outlined with thin collagen coat, hepatocytes (HC) with centrally located nuclei and kupffer cells (KC) blood sinusoids (BS). (HX&E×400)
Figure (C): Normal rat liver received Legalon showing small patches of collagen deposition (CO) and hepatocytes (HC). (HX&E×400)
Figure (D): Hepatic toxicity induced by CCl4 showing loss of the normal liver architecture, inflammation (IN), fibrosis (F), hepatocytes (HC) and portal area (PO). (HX&E×400)
Figure (E): Rat livers suffered from hepatic toxicity and received GbE, showing small periportal fibrosis (F) and hepatocytes (HC). (HX&E×400)
Figure (F): Rat livers suffered from hepatic toxicity and received Legalon, showing active fibroblasts distributed in between the blood sinusoids, fibrosis (F) and necrotic hepatocytes (HC). (HX&E×400)
Figure (G): Histopathological observation of the liver sections of rats suffering from liver toxicity but received a combination of Legalon and GbE showing appearance of thin collagen distribution with in liver tissues, fibrosis (F) and hepatocytes with fatty changes (HC). (HX&E×400)

Histopathological examination of masson’s trichrome stained sections

Examination of control liver specimens stained for collagen by Masson’s trichrome method showed collagen to be as blue fibrils in dense bundles around blood vessels and lesser amount around blood sinusoids as observed in Figure 5A. When compared to the healthy control group, liver samples from rats given CCl4 showed extensive connective tissue accumulation that led to the development of continuous interlobular septa, obvious alterations and dilations in the central vein, and marked inflammation demonstrated by severe neutrophilic infiltration, extensive fatty changes, and severe centrilobular necrosis. These findings shown in Figure 5B. Examination of liver sections of rats pretreated with Ginkgo biloba leaves extract (GbE) against CCl4-intoxication showed less collagen deposition around most hepatic veins. However, in few spots collagen fibrils were more or less thick around further central vein, suggesting that the liver repaired itself as shown in Figure 5C.

Figure 5 Photomicrographs of liver sections stained with Masson trichrome (MT) including: (A) control group/ (B) CCl4 intoxicated group / (C1) rat livers suffered from hepatic toxicity and received GbE / (D) rat livers suffered from hepatic toxicity and received Legalon / (E) rat livers suffered from hepatic toxicity and received a combination of GbE and Legalon.
Figure (5) Photomicrographs of liver sections stained with Masson trichrome (MT):
Figure (A): Section of liver of control rat showing normal architecture with tiny amount of collagen fibers. (MT×400)
Figure (B): Liver section of rats intoxicated with CCl4 displaying a significant amount of collagen fibers around the central vein and other hepatic blood capillaries, the central vein and sinusoids were congested with acute and chronic inflammatory cells and blood, leukocyte infiltration, extensive fibrosis and fibrous bands, indicating very high collagen accumulation leading to nodule formation. (MT×400)
Figure (C1): Section in liver of rats supplemented with GbE against CCl4 intoxication showing mild collagen deposition. (MT×400)
Figure (D): Section in liver of rats pre-treated with Legalon against CCl4 intoxication showing apparent increase of collagen fibers and activated fibroblasts. (MT×400)
Figure (E): Section in liver of rats pre-treated with a combination of GbE and Legalon showing increased fibrosis (F) and blue collagen fibers seen among hepatocytes (HC) and central vein. (MT×400)

Discussion

Liver fibrosis is a pathological response that can develop from chronic exposure to specific drugs or from inflammatory liver diseases. That which heals liver tissue after repeated or prolonged trauma.41 With minimal inflammatory response and extracellular matrix deposition, hepatocytes regenerate, replace necrotic, and apoptotic cells after an acute injury. However, in the case of chronic injury, the ability to regenerate is diminished, and hepatocytes are compelled to undergo apoptosis; this, in turn, results in the activation of hepatic stellate cells (HSCs), proliferation, and increased production of extracellular matrix (ECM).42

The public and medical community have come to widely accept herbal medicine as a viable treatment option as our understanding of the herbs' positive effects on health and quality of life has increased.43 The effectiveness of a hepatoprotective drug is typically measured by its capacity to either maintain normal physiological function or to reduce the worth effect induced by hepatotoxic agents.11,44 Many believe that the ginkgo biloba tree is the oldest living tree species. Although Ginkgo biloba was originally from China, it has since become a popular landscaping choice in many other countries.45 It now known that ginkgo leaf extracts can help with a variety of medical issues, including memory loss, Alzheimer's disease and other forms of dementia, and even symptoms of intermittent claudication.46-48 These extracts also used to treat multiple sclerosis, tinnitus, and sexual dysfunction, among other conditions.47,49-51 Ginkgo biloba leaf extract found to be more effective than Legalon in the current study due to its nontoxicity, lack of side effects, and lack of mortality in the Ginkgo group, while the Legalon group showed a number of deaths and weight loss. Biochemical parameters and histopathological studies both corroborated these findings.

It founded that AST, ALT, ALP, and GGT serum and liver activities significantly increased after oral administration of CCl4. In addition, total bilirubin levels in the serum were significantly higher than in the healthy control group. That suggests serious dysfunctional changes and cellular damage in the liver. Similar findings were obtained by Eidi, Mortazavi,52 Wu Li, 53 Bouhrim Ouassou,54 and Essawy Abdel-Wahab55. In addition, Okpara Atiku,56 an enzyme found in the liver, skeletal muscles, and myocardial cells, showed that CCl4 administration significantly increased its activity. The increased release of AST into the peripheral circulation may be evidence of hepatic or muscle damage induced by CCl4. An elevated level of ALP activity also reported to induced by CCl4 in the same study. Elevated ALP activity is linked to pathological alterations in the bone, kidneys, bile duct, and testes,57,58 and it is not just a result of liver damage. This suggests that alterations in any of these organs56 were responsible for the increased ALP activity seen in those who had consumed CCl4.

On the other hand, the results of liver function markers showed that pretreatment of rats with Ginkgo biloba leaves extract reduced liver fibrosis process and tissue damage induced by CCl4 administration. This shown by a significant decrease in total bilirubin, transaminases (ALT, AST), phosphatase ALP, and GGT in comparison to the CCl4 intoxicated group. Findings are consistent with those of several prior studies, such as in.59,60 However, when comparing the CCl4-intoxicated group with the group that treated with Legalon, there was no statistically significant difference. Together with previously published data from hematoxylin and eosin (H&E) and Masson's trichrome staining and transmission electron microscopy examination, these findings suggest that GbE administration for 8 weeks has inhibitory effects on the levels of key liver function indicators. Since this is the case, GbE can prevent liver damage.

Declines in total protein, albumin, and globulin after CCl4 intoxication taken as evidence of liver injury. The inability of the liver to synthesise proteins, as well as a general decrease in protein levels, are both symptoms of liver damage.55 Compared to healthy rats, total protein and albumin were significantly lower in the current study due to hepatotoxicity caused by CCl4-intoxication. These findings are consistent with those of several prior studies.61-63 However, the present study showed that total protein and albumin concentrations were increased after pre-treatment with Ginkgo biloba leaves extract against CCl4-intoxication.64.

Table 3's findings showed that when CCl4-intoxicated rats compared to the control group, serum cholesterol, triglycerides, and LDL cholesterol rose while HDL cholesterol fell. These outcomes are consistent with a number of earlier studies.65,66 Contrarily, GbE administration resulted in a significant drop in a lipid profile marker, which was consistent with research by Abdel-Zaher, Farghaly,67 and Huang, Zhang.68

The metabolization of radical scavengers and chain terminators like vitamin C and E, antioxidants like GSH, and redox regulatory enzymes like CAT, SOD, and glutathione peroxidase are just a few examples of the body's multiple defense mechanisms against free radicals.69 In rats supplemented with CCl4, which may result in cell, tissue, or organ damage, the results of the current study showed a significant increase in the markers of oxidative stress while the levels of antioxidants significantly reduced. The findings also revealed a marked increase in MDA levels, which thought to be the byproducts of the lipid peroxidation process and serve as indicators of the oxidative degradation of polyunsaturated lipids, which can eventually result in cell death.

The current findings are consistent with earlier research, which demonstrated that polyunsaturated fatty acid degradation by reactive oxygen species (ROS) damages membrane structurally and/or functionally.56,70-72 Furthermore, according to73 ROS disrupts antioxidant defense mechanisms and weakens the effects of SOD-induced liver damage, cirrhosis, and hepatocarcinoma. In contrast, oral administration of Ginkgo biloba leaf extract to protect against toxicity induced by CCl4 and its reactive metabolites led to a decrease in oxidative stress markers and an increase in antioxidant enzyme levels. The MDA level also seen to be decreasing, which led to the inhibition of lipid peroxidation and the prevention of cell obstruction, ultimately protecting the liver from ROS-induced damage.

These findings concur with those of Þener, Kabasakal74 who examined the antioxidant and antifiberotic effects of long-term administration of Ginkgo biloba extract on liver fibrosis induced by bile duct ligation (BDL) and scission in Wister male albino rats. They claimed that Ginkgo biloba protected the rats' livers from BDL's oxidative damage. This action most likely includes the suppression of lipid peroxidation and neutrophil infiltration.

Conclusion

The findings of the current study demonstrated that Ginkgo biloba leaf extract offers significant protection against long-term liver damage brought on by CCl4 and may be a useful agent in preventing liver damage by stifling oxidative stress in the experimental animals. Additionally, it appeared that Legalon alone or in combination with GbE had a worse hepatoprotective effect than GbE. Due to its antioxidant properties, ability to prevent lipid peroxidation, and ability to replenish glutathione levels, GbE can shield the liver from harm. The advantage might be similar to Legalon's (derived from silymarin). Further research is necessary, though, to determine whether GbE alone can treat liver damage.

Acknowledgments

None.

Conflicts of interest

The authors declare that they have no conflict of interest.

Ethical approval

All deals with animals in this study were carried out according to international valid guidelines of experimental animal studies and research protocol was approved by the local ethical committee of the faculty of Science, Mansoura University with code number Sci-Z-P-2022-117.

References

  1. Galicia Moreno M, Gutierrez Reyes G. The role of oxidative stress in the development of alcoholic liver disease. Rev Gastroenterol Mex. 2014;79(2):135–144.
  2. Navarro VJ, Senior JR. Drug-related hepatotoxicity. N Engl J Med. 2006;354(7):731–739.
  3. Willett KL, Roth RA, Walker L. Workshop overview: hepatotoxicity assessment for botanical dietary supplements. Toxicological Sciences. 2004;79(1):4–9.
  4. Papay JI, Clines D, Rafi R, et al. Drug-induced liver injury following positive drug rechallenge. Regul Toxicol Pharmacol. 2009;54(1):84–90.
  5. Alavian SM, Banihabib N, Es Haghi M, et al. Protective effect of cornus mas fruits extract on serum biomarkers in CCl4-induced hepatotoxicity in male rats. Hepat Mon. 2014;14(4):e10330.
  6. Ozturk F, Ucar M, Ozturk IC, et al. Carbon tetrachloride-induced nephrotoxicity and protective effect of betaine in Sprague-Dawley rats. Urology. 2003;62(2):353–356.
  7. Basu S. Carbon tetrachloride-induced hepatotoxicity: a classic model of lipid peroxidation and oxidative stress.  Studies on Experimental Models: Springer. 2011:467–480.
  8. Liu SQ, Yu JP, Chen HL, et al. Therapeutic effects and molecular mechanisms of Ginkgo biloba extract on liver fibrosis in rats. Am J Chin Med. 2006;34(01):99–114.
  9. Abeloff MD, Wolff A, Weber B, et al. Cancer of the breast. Clinical Oncology 4th ed: Philadelphia. Pa: Elsevier; 2008. 1875–1943 p.
  10. Efferth T, Kaina B. Toxicities by herbal medicines with emphasis to traditional Chinese medicine. Curr Drug Metabol. 2011;12(10):989–996.
  11. Rehman A, Waheed A, Tariq R, et al. Anti-fibrotic effects of polygonum plebeium r. br. in CCl4-induced hepatic damage and fibrosis in rats. Biomedical Research and Therapy. 2018;5(4):2223–2234.
  12. Salem HRA, El Raouf Mohamed A, Saleh EM, et al. Influence of Hesperidin combined with Sinemet on genetical and biochemical abnormalities in rats suffering from Parkinson’s disease. Life Sci J. 2012;9(4):930–945.
  13. Chan PC, Xia Q, Fu PP. Ginkgo biloba leave extract: biological, medicinal, and toxicological effects. J Environ Sci Health C. 2007;25(3):211–244.
  14. Rimbach G, Minihane AM, Majewicz J, et al. Regulation of cell signalling by vitamin E. Proceedings of the Nutrition Society. 2002;61(4):415–425.
  15. Mahady GB. Ginkgo biloba: a review of quality, safety, and efficacy. Nutrition in Clinical Care. 2001;4(3):140–147.
  16. Leistner E, Drewke C. Ginkgo biloba and ginkgotoxin. J Nat Prod. 2010;73(1):86–92.
  17. Şener G, Ekşioğlu-Demiralp E, Çetiner M, et al. β-glucan ameliorates methotrexate-induced oxidative organ injury via its antioxidant and immunomodulatory effects. Eur J pharmacol. 2006;542(1-3):170–178.
  18. Welt K, Weiss J, Martin R, et al. Ginkgo biloba extract protects rat kidney from diabetic and hypoxic damage. Phytomedicine. 2007;14(2-3):196–203.
  19. Roy CK, Das AK. Comparative evaluation of different extracts of leaves of Psidium guajava Linn. for hepatoprotective activity. Pak J of pharm sci. 2010;23(1):15–20.
  20. Fischer-Nielsen A, Poulsen HE, Hansen B, et al. CCl4 cirrhosis in rats: irreversible histological changes and differentiated functional impairment. J Hepatol. 1991;12(1):110–117.
  21. Reitman S, Frankel S. A colorimetric method for the determination of serum glutamic oxalacetic and glutamic pyruvic transaminases. Am J clin pathol. 1957;28(1):56–63.
  22. Belfield A, Goldberg DM. Normal ranges and diagnostic value of serum 5′ nucleotidase and alkaline phosphatase activities in infancy. Arch dis child. 1971;46(250):842–846.
  23. Persijn J, Van der Slik W. A new method for the determination of γ-glutamyltransferase in serum. J Clin Chem Clin Biochem. 1976;14(1-12):421–428.
  24. Walters MI, Gerarde H. An ultramicromethod for the determination of conjugated and total bilirubin in serum or plasma. Microchemical Journal. 1970;15(2):231–243.
  25. Henry RJ. Clinical chemistry, principles and technics; 1964.
  26. Doumas BT, Watson WA, Biggs HG. Albumin standards and the measurement of serum albumin with bromcresol green. Clin chem acta. 1971;31(1):87–96.
  27. Rojkin M, Olguindel Mariani M, Drappo G, et al. Fraccionamiento proteico por determinación directa de albúmina. Bioq Clin. 1974;7(4):241.
  28. Kim E, Goldnerg M. Direct method for cholesterol determination. Clin Chem. 1969;15:1171–1172.
  29. Grove TH. Effect of reagent pH on determination of high-density lipoprotein cholesterol by precipitation with sodium phosphotungstate-magnesium. Clin Chem. 1979;25(4):560–564.
  30. Friedewald WT, Levy RI, Fredrickson DS. Estimation of the concentration of low-density lipoprotein cholesterol in plasma, without use of the preparative ultracentrifuge. Clin chem. 1972;18(6):499–502.
  31. Satheesh MA, Pari L. Effect of pterostilbene on lipids and lipid profiles in streptozotocin-nicotinamide induced type 2 diabetes mellitus. Journal of Applied Biomedicine (De Gruyter Open). 2008;6(1):31–37.
  32. Fossati P, Prencipe L. Serum triglycerides determined colorimetrically with an enzyme that produces hydrogen peroxide. Clin chem. 1982;28(10):2077–2080.
  33. Ohkawa H, Ohishi N, Yagi K. Assay for lipid peroxides in animal tissues by thiobarbituric acid reaction. Anal bioche. 1979;95(2):351–358.
  34. Beutler E, Duron O, Kelly M. Colorimetric method for determination of glutathione reduced. J Lab Clin Med. 1963;61:882–888.
  35. Paglia DE, Valentine WN. Studies on the quantitative and qualitative characterization of erythrocyte glutathione peroxidase. J Lab Clin Med. 1967;70(1):158–169.
  36. Nishikimi M, Rao N, Yog K. Colormetric determination of superoxide dismutase activity. Biochem Biophys Res Commun. 1972;46:849–851.
  37. Aebi H. Catalase in vitro. Methods Enzymol 1984;105:121–126.
  38. Drury R, Wallington E, Cancerson R. Carlton’s histopathological techniques. Oxford University Press; 1976.
  39. Sheehan D, Hrapchak B. Special cells and tissues. Theory and practice of histotechnology, 2nd ed The CV Mosby Company: St Louis; Mo. 1980:282–283.
  40. Snedecor G, Cochran W. Correlation. Statistical methods. 1980;7:175–193.
  41. Moreno MG, Chávez E, Aldaba-Muruato LR, et al. Coffee prevents CCl4-induced liver cirrhosis in the rat. Hepatol Int. 2011;5(3):857–863.
  42. Ellis EL, Mann DA. Clinical evidence for the regression of liver fibrosis. J Hepatol. 2012;56(5):1171–1180.
  43. Panda VS, Naik SR. Evaluation of cardioprotective activity of Ginkgo biloba and Ocimum sanctum in rodents. Altern Med Rev. 2009;14(2):161–171.
  44. Kazeem M, Bankole H, Fatai A. Protective effect of ginger in normal and carbon-tetrachloride induced hepatotoxic rats. Annals of Biological Research. 2011;2(1):1–8.
  45. Gilman EF, Watson DG. Ginkgo biloba maidenhair tree. Fact Sheet. 1993; ST-273: 1–3.
  46. Snitz BE, O’meara ES, Carlson MC, et al. Ginkgo biloba for preventing cognitive decline in older adults: a randomized trial. JAMA. 2009;302(24):2663–2670.
  47. Herrschaft H, Nacu A, Likhachev S, et al. Ginkgo biloba extract EGb 761® in dementia with neuropsychiatric features: a randomised, placebo-controlled trial to confirm the efficacy and safety of a daily dose of 240 mg. J Psychiatric Res. 2012;46(6):716–723.
  48. Vellas B, Coley N, Ousset P-J, et al. Long-term use of standardised Ginkgo biloba extract for the prevention of alzheimer's disease (GuidAge): a randomised placebo-controlled trial. Lancet Neurol. 2012;11(10):851–859.
  49. Lovera JF, Kim E, Heriza E, et al. Ginkgo biloba does not improve cognitive function in MS: a randomized placebo-controlled trial. Neurology. 2012;79(12):1278–84.
  50. Evans JR. Ginkgo biloba extract for age-related macular degeneration. Cochrane Database Syst Rev. 2013(1):Cd001775.
  51. Hilton MP, Zimmermann EF, Hunt WT. Ginkgo biloba for tinnitus. Cochrane Database Syst Rev. 2013;(3):Cd003852.
  52. Eidi A, Mortazavi P, Bazargan M, et al. Hepatoprotective activity of cinnamon ethanolic extract against CCI4-induced liver injury in rats. EXCLI J. 2012;11:495.
  53. Wu T, Li J, Li Y, et al. Antioxidant and hepatoprotective effect of swertiamarin on carbon tetrachloride-induced hepatotoxicity via the Nrf2/HO-1 pathway. Cell Physiol Biochem. 2017;41(6):2242–2254.
  54. Bouhrim M, Ouassou H, Choukri M, et al. Hepatoprotective effect of Opuntia dillenii seed oil on CCl4 induced acute liver damage in rat. Asian Pacific Journal of Tropical Biomedicine. 2018;8(5):254.
  55. Essawy AE, Abdel Wahab WM, Sadek IA, et al. Dual protective effect of ginger and rosemary extracts against CCl4-induced hepatotoxicity in rats. Environ Sci and Pollut Res Int. 2018:1–8.
  56. Okpara J, Atiku A, Salihu A, et al. Haematological and biochemical changes induced by carbon tetrachloride in wistar rats–ameliorative effects of Carica papaya (PAWPAW) leaf aqueous extract. Int J Sci Appl Res. 2018;3(1):1–11.
  57. Adetutu A, Owoade AO. Hepatoprotective and antioxidant effect of Hibiscus polyphenol rich extract (HPE) against carbon tetrachloride (CCl4)-induced damage in rats. British Journal of Medicine and Medical Research. 2013;3(4):1574.
  58. Ambali S, Shittu M, Ayo J, et al. Vitamin C alleviates chronic chlorpyrifos induced alterations in serum lipids and oxidative parameters in male wistar rats. Am J Pharmacol Toxicol. 2011;6(4):109–118.
  59. Luo YJ, Yu JP, Shi ZH, et al. Ginkgo biloba extract reverses CCl4–induced liver fibrosis in rats. World J Gastroenterol. 2004;10(7):1037.
  60. He SX, Luo JY, Wang YP, et al. Effects of extract from Ginkgo biloba on carbon tetrachloride-induced liver injury in rats. World J Gastroenterol. 2006;12(24):3924.
  61. Ali SA, Rizk MZ, Ibrahim NA, et al. Protective role of Juniperus phoenicea and Cupressus sempervirens against CCl4. World J gastrointest pharmacol ther. 2010;1(6):123–131.
  62. Huo HZ, Wang B, Liang YK, et al. Hepatoprotective and antioxidant effects of licorice extract against CCl4-induced oxidative damage in rats. Int J Mol Sci. 2011;12(10):6529–6543.
  63. Nwidu LL, Elmorsy E, Oboma YI, et al. Hepatoprotective and antioxidant activities of Spondias mombin leaf and stem extracts against carbon tetrachloride-induced hepatotoxicity. J Taibah Univ Med Sci. 2018;13(3):262–271.
  64. Shenoy KA, Somayaji S, Bairy K. Hepatoprotective effects of Ginkgo biloba against carbon tetrachloride induced hepatic injury in rats. Indian Journal of Pharmacology. 2001;33(4):260–266.
  65. Essawy AE, Abdel-Moneim AM, Khayyat LI, et al. Nigella sativa seeds protect against hepatotoxicity and dyslipidemia induced by carbon tetrachloride in mice. J Appl Pharm Sci. 2012;2(10):021–25.
  66. Abdel-Moneim AM, Al-Kahtani MA, El-Kersh MA, et al. Free radical-scavenging, anti-inflammatory/anti-fibrotic and hepatoprotective actions of taurine and silymarin against CCl4 induced rat liver damage. PLoS One. 2015;10(12):e0144509.
  67. Abdel-Zaher AO, Farghaly HS, El-Refaiy AE,et al. Protective effect of the standardized extract of ginkgo biloba (EGb761) against hypertension with hypercholesterolemia-induced renal injury in rats: Insights in the underlying mechanisms. Biomedicine & Pharmacother. 2017;95:944–955.
  68. Huang X, Zhang S, You Y, et al. Ginkgo biloba extracts prevent aortic rupture in angiotensin II-infused hypercholesterolemic mice. Acta pharmacol Sin. 2019;40(2):192–198.
  69. Njoku P, Akumefula M. Phytochemical and nutrient evaluation of spondias mombin leaves. Pak J Nutr. 2007;6(6):613–615.
  70. Yoshida Y, Umeno A, Shichiri M. Lipid peroxidation biomarkers for evaluating oxidative stress and assessing antioxidant capacity in vivo. J Clin Biochem Nutr. 2013;52(1):9–16.
  71. Adewale O, Adekeye A, Akintayo C, et al. Carbon tetrachloride (CCl4)-induced hepatic damage in experimental Sprague Dawley rats: Antioxidant potential of xylopia aethiopica. J Phytopharmacol. 2014;3(2):118–123.
  72. Bulama I, Kabara H, Zarami A, et al. Effect of aqueous leaf extract of scopariadulcis on carbon tetrachloride induced liver injury in albino rats. Vom J Vet Sci. 2017;12(1):149–158.
  73. Poli G. Pathogenesis of liver fibrosis: role of oxidative stress. Mol Aspects Med. 2000;21(3):49–98.
  74. Þener G, Kabasakal L, Yüksel M, et al. Hepatic fibrosis in biliary-obstructed rats is prevented by Ginkgo biloba treatment. World J Gastroenterol. 2005;11(35):5444–5449.
Creative Commons Attribution License

©2022 El-Shabasy, et al. This is an open access article distributed under the terms of the, which permits unrestricted use, distribution, and build upon your work non-commercially.