Submit manuscript...
Journal of
eISSN: 2373-437X

Microbiology & Experimentation

Case Report Volume 11 Issue 3

Disseminated salmonellosis with bronchopneumonia in an infant: a case report

Marcos Antonio Pereira de Lima, Maria Eduarda do Nascimento Ferreira, Irving Araujo Damasceno, Cláudio Gleidiston Lima da Silva, Racquel Oliveira da Silva Souza, Maria do Socorro Vieira dos Santos

Laboratory of Microbiology and Parasitology (LAMIP), School of Medicine, Universidade Federal do Cariri (UFCA), Brazil

Correspondence: Marcos Antonio Pereira de Lima, Faculdade de Medicina da UFCA, Rua Divino Salvador 184, Rosário, Barbalha, Ceará, Brazil, Postal Code 63180-000, Tel 55 88 3221961 1

Received: April 20, 2023 | Published: June 21, 2023

Citation: Ferreira MEN, Damasceno IA, Souza ROS, et al. Disseminated salmonellosis with bronchopneumonia in an infant: a case report. J Microbiol Exp. 2023;11(3):77-79. DOI: 10.15406/jmen.2023.11.00392

Download PDF

Abstract

Infection by the Salmonella genus is one of the main causes of gastroenteritis worldwide, with relevant mortality in developing Countries. However, its presentation is not always classic, and may involve extraintestinal sites such as lungs, kidneys, and others. Herein, we present a case report, with a detailed description of necroscopic findings, of a 7-month-old infant who died of salmonellotic bronchopneumonia, without previous gastrointestinal manifestation. The relevance of this report consists in alerting the medical community on the possibility of extraintestinal salmonellosis in this risk group, in addition to giving due attention to the macroscopic and histopathological findings of disseminated salmonellosis.

Keywords: salmonella, bronchopneumonia, autopsy

Introduction

Among the human pathogens transmitted through contaminated water and food, the Salmonella genus is one of the most important, being the third leading cause of human death from diarrheal diseases worldwide.1 Salmonella spp. are Gram-negative bacilli of the Enterobacteriaceae family that, according to the Kauffman-White classification scheme, are classified into two species: Salmonella bongori, which does not infect humans, and Salmonella enterica, which comprises 6 subspecies (S. enterica, S. salamae, S. arizonae, S. diarizonae, S. houtenae and S. indica) and more than 2,500 serotypes.1,2

Furthermore, Salmonella can be classified based on their ability to develop specific pathologies in humans, being divided into typhoid and non-typhoid serovars (NTS). Typhoid serovars such as Salmonella Typhi (S. Typhi), S. Sendai and S. Paratyphi are adapted to humans and high primates, and are responsible for typhoid fever, which has a varied clinical condition and can develop high fever, diarrhea, vomiting and, in severe cases, can lead to death.1

In this scenario, extraintestinal involvement is uncommon, and pleuropulmonary infections caused by Gram-negative bacteria are usually associated with high mortality.3 Moreover, extraintestinal cases of salmonellosis are important in patients younger than 5 years of age, elderly and immunocompromised.2 We present herein a case of an immunocompetent infant, with no previous history of pulmonary diseases or underlying disorders, who died from disseminated salmonellosis with an important picture of bronchopneumonia.

Case

Seven-month-old male infant, born and resident in Maracanaú, Ceará State, Brazil. Born at term by cesarean delivery, uneventful, with normal development, with no diseases of prior knowledge, he started a dry cough, being taken to the Emergency Care Unit where, according to the child's guardians, he was medicated with "syrup" (popularly term known to designate a group of liquid and sweet medicines, which can be herbal or not). He evolved with worsening of the condition, with persistent high fever for 48 hours straight. He was taken to a private clinic where a chest X-ray was performed, which, according to the guardians, would have been normal, and antibiotic therapy was prescribed (the guardians were unable to inform which antibiotic was prescribed). On the fourth day of evolution, he was taken to a public hospital, blood tests were performed, and then he was discharged. As there was no improvement, he was taken to a children's hospital in Fortaleza, Ceará, Brazil, with excessive irritability and moaning progressing with abdominal distension, anasarca, body spots, respiratory failure and cardiorespiratory arrest unresponsive to cardiopulmonary resuscitation maneuvers. According to the medical report, the patient had pancytopenia, urticarial patches, pneumonia, and severe sepsis. Laboratory data were not available.

At necropsy, the body showed widespread ecchymosis and purpura. Absence of trauma and signs of violence. Intact scalp, clear cerebrospinal fluid, condensed lungs in a red hepatization phase with bilateral basal abscedation, hyperplastic thymus, hepatic steatocongestion, enlarged acute infectious spleen, hemorrhage in the small intestine mucosa, significant hyperplasia of Peyer's patches and mesenteric lymphadenopathy. Adrenals and other abdominal and pelvic organs without prominent changes.

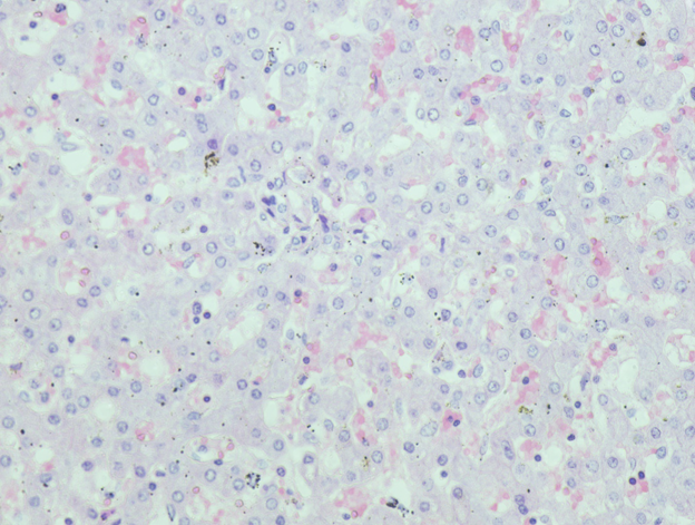
Histopathology revealed confluent, acute, purulent bronchopneumonia, with abscessation and colliquative necrosis (Figure 1A & 1B), also seen in the liver, small intestine and in both adrenals. Ileal portion: diffuse and follicular lymphoid hyperplasia of Peyer's patches and erythrophagocytosis, also seen in lymph nodes. Hyperplastic thymus, acute infectious spleen, liver with transinfectious hepatitis. Clinical and morphological findings allow us to conclude that it is a natural death from septicemia, possibly associated with disseminated salmonellosis. The Widal test was performed on non-hemolyzed serum collected during necropsy, with a reactive result for Salmonella O (Group D – Typhoid O), with a titration of 1:256. With this serological result and the finding of acute ileitis with Peyer's plaque hyperplasia and erythrophagocytosis, it can be concluded that this is a natural death associated with septicemia, with salmonellotic enteritis as its primary nosology (Figure 2A & 2B).

Figure 1A Lung section showing a transition zone between healthy tissue and extensive necrosis.

Figure 1B Liver section showing microabscedation and transinfectious hepatitis.

Figure 2A Ileal section showing loss of the lining epithelium, mucosal denudation, presence of crypts destruction, Peyer's plaque hyperplasia and erosive mucositis.

Figure 2B Erythrophagocytosis.

Discussion

The most common manifestation caused by Salmonella is acute gastroenteritis characterized by fever, nausea, vomiting, abdominal distension and diarrhea and is usually self-limited with complete resolution within 72 hours.4 In the case of typhoid fever, the clinical picture may include malaise, anorexia, abdominal pain, hepatomegaly, splenomegaly, dactylitis and rose spots – a rash present in approximately 30% of patients.2

It is worth noting that the case in discussion did not start with the classic clinical picture of gastroenteritis, with severe diarrhea, but with only dry cough and initially unexplained high fever, followed by irritability, abdominal distension and body spots (probably rose spots). This can occur in infections caused by S. Typhi which, after invading the intestinal mucosa, can spread without the presence of diarrhea. In these cases, some individuals may develop high fever, vomiting and other complications, as observed in the present case.4

The clinical course of these infections can be influenced by several factors such as age, underlying disease and immunosuppression, with severe cases being more common in patients younger than 5 years, elderly and immunocompromised.2 Furthermore, the risk of mortality from typhoid fever is 4-times higher in children under the age of 5 years when compared to older children.5 In the present case, the patient did not have underlying disease or immunosuppression, but belonged to an age group at higher risk (< 5 years).

In addition to its classic gastrointestinal involvement, typhoid fever is important for its potential, although rare, to cause extraintestinal foci, which may involve the neurological, cardiovascular and pulmonary systems.6 S. Typhi, for example, can travel through the body by means of phagocytic invasion, affecting bone marrow, spleen and liver,7 causing pancytopenia, splenic and liver abscess, being the rupture of the splenic abscess most common in younger children, the immunosuppressed, and those with hemoglobinopathies.8

Respiratory symptoms may predominate in children, with cough being the most common manifestation, present in 72% of the cases. Bronchopneumonia is twice as common in children than in adults, and it is possible to find a clinical picture of pulmonary reactivity with auscultation showing occasional snoring and crackles. Pleural effusion, empyema and bronchopleural fistulas can occur in patients with previous respiratory infections, sickle cell anemia and immunosuppressed patients.5 However, pulmonary involvement in cases of disseminated salmonellosis, including pneumonia, empyema and abscesses, is rare, making radiological findings imprecise.9

Transmission of Salmonella occurs via the fecal-oral route through contaminated food and beverages, like water, vegetables, eggs, fruits and poultry meat, and involves factors such as hygiene, water quality and food handling.10 Although the case under discussion does not have a dietary recall, it is possible that one of the transmission mechanisms above is involved in the development of morbidity.

Although it is present globally, being endemic in sub-Saharan Africa and in South and Southeast Asia, mortality from salmonellosis is restricted to developing countries.11,2 In Brazil, salmonellosis is the most common bacterial intestinal infection, with several cases of hospitalization. Unfortunately, its epidemiology is not as well described in South America as in Europe and North America, with local studies dating back more than 10 years and carried out basically in the State of São Paulo,11 without specific data from the Northeast region and, specifically, from the State of Ceará.11

Finally, we assume that the lack of laboratory tests, including culture and molecular approaches identifying the strain, may limit the robustness of the case presentation, but does not invalidate the importance of the case, considering that the diagnosis has been elucidated, revealing the need for caution in the investigation of children with septic conditions. In addition, the uniqueness of the present article for bringing the description of an autopsy with findings related to disseminate salmonellosis in an infant, with significant bronchopneumonia, highlights the relevance of the report. Also, it is important to emphasize the scarcity of publications regarding this topic. In this context, a search in the MEDLINE database, through PubMed, based on title and abstract (using the following MeSH descriptors: “Autopsy AND Salmonella”; period: since 2000), demonstrated that only 8 out of 17 records retrieved addressed the aforementioned subject, however, none of them presenting a detailed description of the case, highlighting the relevance of the present report.

In summary, it is necessary to point out that salmonella, although generally causing classic gastroenteritis, can also affect extraintestinal sites, including the pulmonary one, as reported in this article. Therefore, faced with infectious conditions with an atypical course, especially in patients with extreme age, immunocompromised, or with underlying diseases, salmonellosis must be suspected and included in the differential diagnoses. Finally, clinicians and laboratory staff should be aware of the possibility of extraintestinal salmonellosis in this risk group, even in the absence of previous classic gastrointestinal manifestations.

Acknowledgments

None.

Conflicts of interest

The authors declare that there is no conflict of interest.

References

  1. Ferrari RG, Rosario D, Neto AC, et al. Worldwide epidemiology of Salmonellaserovars in animal-based foods: A meta-analysis. Appl Environ Microbiol. 2019;85:e00591‒19.
  2. Eman N, Alemam AM, A Ghous A, et al. What is behind Salmonella? unusual presentation in two pediatric cases. Cureus. 2020; 6(12):1‒9.
  3. Silvestre CR, Nunes A, Cordeiro JR, et al. Salmonella empyema an unusual infection – A case report. Idcases. 2021;24:1‒4.
  4. Chen HM, Wang Y,Hui Su L, et al.  Nontyphoid Salmonella Infection: microbiology, clinical features, and antimicrobial therapy. Pediatr Neonatol. 2013;54(3):147‒152.
  5.  DekkerJP, Frank KM. Salmonella, Shigella, and Yersinia. Clin Lab Med. 2015;35(2):225‒246.
  6.  Britto C, Pollard AJ, Voysey M, et al. An Appraisal of the clinical features of pediatric enteric fever: systematic review and meta-analysis of the age-stratified disease occurrence. Clin Infect Dis. 2017;64(11):1604‒1611.
  7.  Birabaharan M, Kainath MK, Kesel AD, et al. Case report: typhoid fever complicated by acute respiratory distress syndrome in a pediatric traveler. Am J Trop Med Hyg. 2019;101(2):319‒322.
  8.  Kurtz, JR, Goggins JA, McLachlan JB, et al. Salmonella infection: interplay between the bacteria and host immune system. Immunol Lett. 2017;190:42‒50
  9.  Toyoshima H, Masuda N, Ishiguro C, et al. Salmonella enterica var. Enteritidis osteomyelitis with pulmonary involvement in an immunocompetent young woman. Idcases. 2021;24:1‒6.
  10. Naheed A,Ram PK, Brooks WA, et al. Burden of typhoid and paratyphoid fever in a densely populated urban community, Dhaka, Bangladesh. Int J Infect Dis. 2010;14:93‒99.
  11.  Reis RO, neves Souza M, Cecconi piccoli MC, et al. Increasing prevalence and dissemination of invasive nontyphoidal Salmonella serotype Typhimurium with multidrug resistance in hospitalized patients from southern Brazil. Braz J Infect Dis. 2018;22(5):424‒432.
Creative Commons Attribution License

©2023 Ferreira, et al. This is an open access article distributed under the terms of the, which permits unrestricted use, distribution, and build upon your work non-commercially.