Submit manuscript...
Journal of
eISSN: 2373-437X

Microbiology & Experimentation

Case Report Volume 3 Issue 1

Staphylococcus Warneri and Shewanella Putrefaciens Co-infection in Siberian Sturgeon (Acipenser Baerii) and Hybrid Sturgeon (Huso Huso x Acipenser Baerii)

Valentin Rusev,1 Nikolina Rusenova,2 Radostin Simeonov,3 Deyan Stratev1

1Department of Food Hygiene and Control, Trakia University, Bulgaria
2Department of Veterinary Microbiology, Infectious and Parasitic Diseases, Trakia University, Bulgaria
3Department of General and Clinical Pathology, Trakia University, Stara Zagora, Bulgaria

Correspondence: Deyan Stratev, Department of Food Hygiene and Control, Faculty of Veterinary Medicine, Trakia University, Stara Zagora, Bulgaria , Tel 359-42-699-537

Received: November 19, 2015 | Published: January 8, 2016

Citation: Rusev V, Rusenova N, Simeonov R, Stratev D (2016) Staphylococcus warneri and Shewanella putrefaciens Co-infection in Siberian Sturgeon (Acipenser baerii) and Hybrid Sturgeon (Huso huso x Acipenser baerii). J Microbiol Exp 3(1): 00078. DOI: 10.15406/jmen.2016.03.00078

Download PDF

Abstract

The present study describes the first case of Staphylococcus warneri and Shewanella putrefaciens co-infection in Siberian sturgeons (Acipenser baerii) and hybrid sturgeons (Huso huso x Acipenser baerii). On a sturgeon farm with recirculation aquaculture systems in North Bulgaria, an average daily mortality of 30 fish has occurred. The main pathological findings consisted in ulcerations on the skin, multiple haemorrhages on the ventral part of the body, yellow-tinted muscles with multiple haemorrhages, hyperemic spleen, yellow ochre coloured liver with frail consistency and surface petechial haemorrhages. Mesenteric blood vessels were hyperemic, and intestines were filled with bloody liquid content. Pure bacterial cultures of Staphylococcus warneri were isolated from liver and spleen, and Shewanella putrefaciens- from intestines. Histopathological examination was done. Antimicrobial susceptibility pattern of the isolates was determined.

Keywords: Staphylococcus warneri, Shewanella putrefaciens, siberian sturgeon, hybrid sturgeon, co-infection

Introduction

Fish are in continuous contact with microorganisms in the water and sediment, which influences the microbial species diversity on their skin, gills and alimentary tract.1 Although all microorganisms are part of the normal aquatic environment, some opportunistic pathogens cause bacterial diseases in fish with high mortality rates.2 Examples are several Gram-positive and Gram-negative bacteria including Staphylococcus warneri (S. warneri) and Shewanella putrefaciens (S. putrefaciens).3

From pond water samples at a fish farm, Newaj-Fyzul et al.,4 isolated Gram-positive bacteria identified as Staphylococcus spp. In the belief of Musharrafieh et al.,5 S. warneri is a part of the normal fish microflora, but Gil et al.,6 were the first to describe a disease on rainbow trouts caused by S. warneri, which makes it an opportunistic pathogen. Thereafter, Metin et al.,7 also reported S. warneri infection in rainbow trouts.

S. putrefaciens is a Gram-negative facultatively anaerobic bacterium from the Shewanellaceae family. It is usually isolated from sea water, sediment and marine 8,9 The first outbreak of disease caused by S. putrefaciens was described by Saeed et al.,10 Kozinska & Pekala8 and Pekala et al.,11 also reported S. putrefaciens infection in fish.

The present study describes the first case of S. warneri and S. putrefaciens co-infection in Siberian sturgeons (Acipenser baerii) and hybrid sturgeons (Huso huso x Acipenser baerii).

Case presentation

On a sturgeon farm with recirculation aquaculture systems in North Bulgaria, an average daily mortality of 30 fish has occurred in September 2015 among fish weighing 200-800 g. In this study, a total of 10 fish were used (5 Siberian and 5 hybrid sturgeons).

Gross anatomy findings consisted in ulcerations, 1 to 1.5cm in diameter (Figure 1) on the skin and multiple haemorrhages on the ventral part of the body. After dissection of the abdominal cavity, yellow-tinted muscles with multiple haemorrhages were observed (Figure 2). The spleen was hyperemic. The liver was of yellow ochre colour, frail consistency and surface petechial haemorrhages. Small gray-yellowish nodules were detected in some areas. Mesenteric blood vessels were hyperemic, and intestines were filled with bloody liquid content.

Figure 1 Ulcerations of the skin (arrows).

Figure 2 Multiple haemorrhages on the affected muscles (arrows).

The specimens for histopathological examination were fixed in 10% neutral formalin and processed by routine histology techniques.12,13 Cross sections (4 μm) were stained with haematoxylin-eosin (H/E).

For microbiology examination, samples from skin lesions, liver, spleen and intestines were collected and cultured on tryptic soy agar (Fluca, India) supplemented with 5% defibrinated ovine blood (TSBA), MacConkey agar (NCIPD, Bulgaria) and GSP agar (Merck, Germany). Plates were incubated aerobically at 37°C for 24-48 h. In addition, the samples were cultured on blood agar with 2% NaCl at room temperature for 48 h. Isolates were further identified by using BioLog Gen III microplates identification system (BioLog, USA) according to the manufacturer’s instructions. Antimicrobial susceptibility pattern of the isolates was determined by agar diffusion test according to CLSI14 with the following antimicrobial discs: penicillin 10E, ceftazidime 30µg, amoxicillin/clavulanic acid 20/10µg, erythromycin 15µg, enrofloxacin 5µg, chloramphenicol 30µg, flumequine 30µg and tetracycline 30µg. Disks were supplied by Oxoid (UK) and NCIPD (Bulgaria).

Pure bacterial cultures were isolated from liver, spleen and intestines. Primary identification of the liver and spleen isolates revealed Gram-positive cocci in clusters, catalase-positive and oxidase negative. Results showed species affiliation to Staphylococcus warneri with a probability of 0.980 in two independent trials. The biochemical profile of the isolates based on positive reactions is presented in Table 1.

Substrates

Sugars

Polyvalent alcohols

Hexose-PO4’s

Amino acids

Hexose acids

Carboxylic acids, testers, and fatty acids

D-Maltose

D-Mannitol

D-Fructose-6-PO4

L-Arginine

Pectin

Methyl Pyruvate

D-Trehalose

D-Arabitol

L-Aspartic Acid

D-Gluconic Acid

D-Lactic Acid Methyl Ester

Sucrose

Glycerol

 

L-Glutamic Acid

L-Lactic Acid

D-Turanose

 

L-Histidine

α-Keto-Glutaric Acid

Β-Methyl-D-Glucoside

L-Serine

 

L-Malic Acid

α-D-Glucose

     

Acetoacetic Acid

D-Fructose

     

Acetic Acid

 

 

 

 

 

Formic Acid

Table 1 Utilization of BioLog Gen III microplate substrates by Staphylococcus warneri

From intestines, Gram staining showed Gram-negative straight and slightly curved rods that gave strong positive reactions in catalase and oxidase tests. Furthermore, the colonies were brown pigmented and lactose-negative on MacConkey agar. The isolate was defined as Shewanella putrefaciens B with BioLog Gen III system with a high probability of 0.989 in two subsequent trials. The positive biochemical reactions are given in Table 2.

Substrates

Sugars

Amino acids

Carboxylic acids, testers, and fatty acids

D-Maltose

Gelatin

Methyl Pyruvate

Sucrose

 

D-Lactic Acid

Methyl Ester

Inosine

 

L-Lactic Acid

Table 2 Utilization of BioLog Gen III microplate substrates by Shewanella putrefaciens

Antimicrobial susceptibility pattern of the isolates is shown in Table 3. S. warneri showed resistance to penicillin, tetracycline and intermediate susceptibility to the third generation cephalosporin ceftazidime. S. putrefaciens was susceptible to all tested antimicrobials.

Antimicrobial agents

Staphylococcus warneri

Shewanella putrefaciens

Penicillin

R

R

Amoxicillin/clavulanic acid

S

S

Ceftazidime

I

S

Erythromycin

S

S

Enrofloxacin

S

S

Chloramphenicol

S

S

Flumequine

S

S

Tetracycline

R

S

Table 3 Staphylococcus warneri and Shewanella putrefaciens B antimicrobial susceptibility pattern (S, susceptibility; I, intermediate susceptibility; R, resistance)

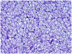
The histopathological exam showed dystrophy of renal parenchyma and catarrhal enteritis of intestines. The major part of epithelial cells were detached from the basement membrane and shed into the intestinal lumen (Figure 3). The most obvious changes were detected in the liver. Multiple small clear lacunae (vacuoles) were seen in the cytoplasm of liver cells: lipid droplets extracted during the processing of the specimen (Figure 4). The nuclei of many cells were of the reduced size, angular and intensively stained (karyopyknosis). The chromatin of other cells was gathered into small clusters around the nuclear membrane (hyperchromatosis of the nuclear membrane). At some areas dystrophic processes have evolved into necrobiotic in single liver cells or in cell groups. Consequently, the nuclei of affected cells exhibited a various stage of karyolysis or were completely lysed, and cell boundaries have become indistinct. Vascular hyperaemia was established in the connective tissue stroma.

Figure 3 Catarrhal enteritis. Numerous epithelial cells are detached from the basement membrane and shed into the lumen of the intestine (arrows). H/E, magnification 10×.

Figure 4 Fatty liver dystrophy. In the cytoplasm of liver cells, multiple small clear lacunae (vacuoles) could be seen, representing lipid droplets extracted during the processing of the specimen (arrows). H/E, magnification 20×.

Discussion

The Siberian sturgeon (Acipenser baerii) is sensitive to various diseases as White sturgeon iridovirus (WSIV), White sturgeon herpesviruses-1, 2 (WSHV-1, 2), Shovenose sturgeon iridovirus (SSIV), White sturgeon adenovirus (WSAV),15 vibriosis, pasteurellosis,16 aeromonosis,17 yersiniosis.18 This is the first study describing the co-infection caused by S. warneri and S. putrefaciens in Siberian sturgeons (Acipenser baerii) and hybrid sturgeons (Huso huso x Acipenser baerii).

Two cases of S. warneri infection in fish are reported. Gil et al.,6 were the first to describe a disease on rainbow trouts caused by S. warneri. Affected trouts demonstrated fin ulcerations, exophthalmia, distended abdomens as a result of accumulated ascitic fluid and liver discoloration. A similar condition in rainbow trouts provoked by S. warneri is also reported by Metin et al.7 The clinical signs included lethargy, anorexia, erosive lesions on anal fins’ base, haemorrhages in the eyes, mouth and the anus, anal prolapse and dark pigmentation. The necropsy revealed liver haemorrhages, splenomegaly, enlarged kidneys and yellow exudate in the intestine, liver discoloration, haemorrhages and lysis of muscles. Saeed et al.,10 reported high death rates in rabbitfish (Siganus rivulatus) reared in net cages in the Red Sea. The diseased fish exhibited discoloration, haemorrhagic necroses on the body and the mouth, frayed fins and exophthalmia. In Poland, Kozinska & Pekala8 isolated a variety of bacteria from the internal organs of carps and trouts exhibiting lethargy, skin discoloration and death, but the predominant species was S. putrefaciens. According to the authors S. putrefaciens is an opportunistic pathogen for fish causing illness at certain conditions as stress or in fish with compromised immune defense. Recently, Pekala et al.,11 reported a disease on carps and trouts with gill necrosis or skin ulcerations, cause by S. putrefaciens. Gross anatomy findings consisted in haemorrhages, oedematous kidneys and enlarged spleen. The findings of these authors are comparable with ours.

Metin et al.,7 affirmed that staphylococcosis was an economic problem in fish farms and recommended observation of veterinary sanitary measures. Moreover, S. warneri and S. putrefaciens can cause infections in human.19,20 The described pathological, histological and microbiological findings in this case clearly demonstrated the pathogenic potential of S. warneri and S. putrefaciens in Siberian sturgeons and hybrid sturgeons. The most obvious changes were established in the liver and intestine where S. warneri and S. putrefaciens were respectively isolated from. We deem that the present work will add to the clinical and laboratory experience.

Acknowledgments

None.

Conflicts of interest

We have no conflict of interest to declare.

References

  1. Austin B. The bacterial microflora of fish. ScientificWorld Journal. 2002;2:558‒572.
  2. Ali HH. Isolation and identification of Staphylococcus bacteria from fish of fresh water and its antibiotics sensitivity in Mosul city. Bas J Vet Res. 2014;1(1):33‒42.
  3. Austin B, Austin DA. Bacterial Fish Pathogens. Disease of Farmed and Wild Fish. 5th ed. Springer: Netherlands; 2012.
  4. Newaj-Fyzul A, Mutani A, Ramsubhag A, et al. Prevalence of Bacterial Pathogens and their Anti-microbial Resistance in Tilapia and their Pond Water in Trinidad. Zoonoses Public Health. 2008;55(4):206‒213.
  5. Musharrafieh R, Tacchi L, Trujeque J, et al. Staphylococcus warneri, a resident skin commensal of rainbow trout (Oncorhynchus mykiss) with pathobiont characteristics. Vet Microbiol. 2014;169(1-2):80‒88.
  6. Gil P, Vivas J, Gallardo CS, et al. First isolation of Staphylococcus warneri, from diseased rainbow trout, Oncorhynchus mykiss (Walbaum), in Northwest Spain. J Fish Dis. 2000;23(4):295‒298.
  7. Metin S, Kubilay A, Onuk EE, et al. First isolation of Staphylococcus warneri from cultured rainbow trout (Oncorhynchus mykiss) broodstock in Turkey. Bull Eur Ass Fish Pathol. 2014;34(5):165‒174.
  8. Kozinska A, Pekala A. First isolation of Shewanella putrefaciens from freshwater fish - a potential new pathogen of the fish. Bull Eur Ass Fish Pathol. 2004;24(4):199‒203.
  9. Holt HM, Gahrn-Hansen B, Bruun B. Shewanella algae and Shewanella putrefaciens: clinical and microbiological characteristics. Clin Microbiol Infect. 2005;11(5):347‒352.
  10. Saeed MO, Alamoudi MM, Al-Harbi AH. A Pseudomonas associated with disease in cultured rabbitfish Siganus rivulatus in the Red Sea. Dis Aquat Org. 1987;3:177‒180.
  11. Pekala A, Kozinska A, Pazdzior E, et al. Phenotypical and genotypical characterization of Shewanella putrefaciens strains isolated from diseased freshwater fish. J Fish Dis. 2015;38(3):283‒293.
  12. Dzhurov А, Аlexandrova Е, Alexandrov М. Histopahthological Methods. Zemizdat Publishing: Sofia, Bulgaria; 1989.
  13. Dyakov L, Lozanov L, Angelov А, et al. Manual of Veterinary Histopathology. Zemizdat Publishing: Sofia, Bulgaria; 1989.
  14. CLSI (Clinical and Laboratory Standards Institute). Performance Standards for Antimicrobial Disk and Dilution Susceptibility Tests for Bacteria Isolated From Animals. 3rd ed. CLSI document M31-A3: Wayne, Pennsylvania, USA; 2008.
  15. Yu-ping H, Di W (2005) A review of sturgeon virosis. J For Res 16(1): 79‒82.
  16. Marcu A, Marcu A, Nichita I, et al. Studies in the First Outbreak of Vibriosis Associated with Pasteurelosis at Siberian Sturgeon (Acipenser baerii) in the South-West Region of Romania. Preliminary Report. Anim Sci Biotechnol. 2010;43(2):36‒39.
  17. Cao H, He S, Lu L, et al. Characterization and Phylogenetic Analysis of the Bitrichous Pathogenic Aeromonas hydrophila Isolated from Diseased Siberian sturgeon (Acipenser baerii). Isr J Aquacul-Bamid. 2010;62(3):181‒188.
  18. Yi-Bin Y, Yong-Tao X, Wei-Dong Z, et al. Isolation and identification of Yersinia ruckeri from Acipenser baerii and its antibiotic sensitivity. Acta Hydrobiol Sin. 2013;37(2):393‒398.
  19. Campoccia D, Montanaro L, Visai L, et al. Characterization of 26 Staphylococcus warneri isolates from orthopedic infections. Int J Artif Organs. 2010;33(9):575‒581.
  20. Sharma KK, Kalawat U. Emerging infections: shewanella-a series of five cases. J Lab Physicians. 2010;2(2):61‒65.
Creative Commons Attribution License

©2016 Rusev, et al. This is an open access article distributed under the terms of the, which permits unrestricted use, distribution, and build upon your work non-commercially.