Submit manuscript...
Journal of
eISSN: 2379-6359

Otolaryngology-ENT Research

Research Article Volume 5 Issue 1

A Novel Technique for the Treatment of Intractable Nasal Polyposis: Surgical Highlights of the Dermoplasty Technique

George Anastasopoulos,1 Dilyana Vicheva,2 Eleni Christina Tsiompanou,3 Demetra Rapti,4 Eleftherios Ferekidis5

1Department of Otolaryngology,
2Department of Otolaryngology, Medical University, Bulgaria
3Department of Radiology, General Hospital of Rhodes, Greece
4Department of Anesthesiology,
5Department of Otolaryngology, National University of Athens, Greece

Correspondence: George Anastasopoulos, Department of Otolaryngology, “Euroclinic” Private Hospital, Kifisias ave 71, 11523 Athens, Greece

Received: August 13, 2016 | Published: November 28, 2016

Citation: Anastasopoulos G, Vicheva D, Tsiompanou EC, Rapti D, Ferekidis E (2016) A Novel Technique for the Treatment of Intractable Nasal Polyposis: Surgical Highlights of the Dermoplasty Technique. J Otolaryngol ENT Res 5(1): 00128. DOI: 10.15406/joentr.2016.05.00128

Download PDF

Abstract

Background: The treatment of nasal polyps is many times hard for the patient with difficult operations undertaken and intense and protracted medical regimens ordered. In this setting we designed and perform a new surgical technique involving skin grafting.

Materials and method: Fifteen patients of both sexes with multiple surgical attempts in the past were operated using the dermoplasty technique. The mucosa of the lamina papyracea, the fovea ethmoidalis, and the lateral surface of the middle concha were replaced by a skin graft.

Results: With the exception of the first two cases, the rest of the patients report a beneficial effect of the method in the quality of their life. Until now this group of patients retains both nasal cavities functional with only limited pharmaceutical support.

Conclusion: This novel use of dermoplasty in the nasal cavity displays a great potential towards an effective treatment of recalcitrant nasal polyposis and deserves the attention of the rhinological society.

Keywordsnasal polyps, endoscopic surgery, dermoplasty, chronic rhinosinusitis, ethmoidal labyrinth, sphenoid sinus

Introduction

At least three medical specialties are occupied, among other things of course, with the treatment of nasal polyps: Pulmonology, allergology, and certainly the otolaryngologists. This is because the nose plays an important role in the physiology of the respiratory system and it directly affects the quality of life. Also, nasal polyps are detected in a significant - up to 4% - portion of the adult population1 and despite their benign nature, may present a recurrence rate of up to 60%.2 Various techniques have been proposed for the surgical treatment of nasal polyps through time. Simple polypectomy is still in use from the era of Hippocrates using various instruments under local or general anesthesia. The introduction of endoscopes in nasal surgery in the ‘80s had a major impact in the treatment of chronic rhinosinusitis. Still a 20% of revision surgery within five years is reported. Other major operations such as the complete removal of the floor of the frontal sinuses have been proposed but with similar results. In this setting we designed a new method for severe polyposis based not on the extent of surgical extirpation, which would lead to other equally serious complications such as atrophic rhinitis and empty nose syndrome,3 but rather on the replacement of the diseased mucosa of the middle meatus which is mainly responsible for the eruption of polyps. The concept of replacing diseased mucosa with skin graft is old and well tested but the use of dermoplasty for the treatment of nasal polyposis was announced for the first time.4

Materials and method

Fifteen patients suffering from severe polyposis, having co-morbidities such as bronchial asthma and allergy and reporting a history of early recurrence after surgical removal by means of functional endoscopic sinus surgery (fess) were included in our survey (Table 1). Each patient was informed about the concept of dermoplasty, its experimental nature and its potentially beneficial effect in the treatment of nasal polyps.1 Chronic obstructive pulmonary disease.

Patient No.

Gender    

Age   

Months from Operation    

Previous Operations   

History-Habits    

Site of Dermoplasty   

 

1

M

44

57

2

Allergy, smoker

Bilateral

2

M

36

57

1

Smoker

Bilateral

3

M

47

56

2

Allergy

Bilateral

4

F

33

30

3

Churg-Strauss

Left

5

F

34

29

2

Asthma

Left

6

M

38

16

2

Allergy

Left

7

M

44

13

1

Allergy, diabetes

Left

8

M

22

12

1

Samter’s triad

Right

9

M

30

11

2

Smoker

Left

10

M

30

9

1

Allergy, Asthma

Left

11

M

52

8

2

Allergy

Right

12

F

58

8

5

Samter’s triad

Right

13

M

59

5

1

Smoker, COPD1, obesity

Right

14

M

35

4

2

Asthma

Left

15

M

67

3

3

Asthma

Left

Table 1 Demographic and other characteristics of the patients

After obtaining patient’s informed consent, we proceed with endoscopy of the nose to assign polyps a proper stage using a system proposed by Lildholdt et al.,5 Also, for reasons of documentation and surveillance, each patient is given a questionnaire similar to the one proposed by Lund & Mackay6 where he/she may evaluate the gravity of his/her symptoms. As the operation is performed under general anesthesia, the overall health condition of the patient is a major concern. The preoperative evaluation of the patient by the anesthesiologist is one of the main steps of the operation. Preoperative treatment begins after we have arranged the day the surgery will be performed. Counting backwards, we order a preoperative regimen of oral antibiotic and corticosteroid. A nine days regimen is prescribed consisting of 1gr amoxicillin-clavulanic acid two times daily and methylprednisolone starting three times daily for the first three days and reducing by one tablet every three days.

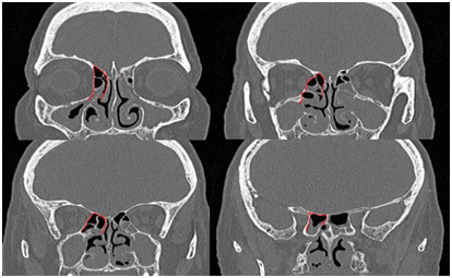
The rationale behind the preoperative treatment is the reduction of inflammation which will lead to less bleeding during the operation and therefore to more accurate dissection of the tissues.7 At the same time, the shrinkage of polyps and the reduction of mucosal edema will render the nasal cavities more accessible during endoscopic examination. It is now time for a second evaluation of the nose to decide in which nostril we will apply the dermoplasty technique. In the first three cases dermoplasty was applied in both nostrils. This resulted in a prolonged operation becoming cumbersome for the surgeon and dangerous for the patient. Then we decided to apply dermoplasty unilaterally planning to return to the contralateral nostril at a second stage. Our criterion as on which nostril to apply dermoplasty is the accessibility of the axilla of the middle concha which results in unobstructed insertion of the endoscope and the instruments in the middle meatus. Another effect of the preoperative treatment is the ability to study the anatomy of the ethmoidal labyrinth. At the end of the regimen the patient is submitted to a computed imaging (CT) of the nose and paranasal sinuses. The study of the CT will provide us with information about the anatomy of the ethmoidal complex and any areas of danger like the optical nerve, the internal carotid artery etc. The study of the CT will also permit us to estimate the surface and the contour of the skin graft needed. The radiologist will measure the distance between the posterior end of the frontal ostium and the sphenoid sinus (including its roof) in the sagittal plane (Figure 1) and then he/she will proceed to the coronal plane to measure the sum of the length of the lamina papyracea, the fovea ethmoidalis and the middle or upper concha at ten points moving from the posterior rim of the frontal ostium to the sphenoid sinus (Figure 2). The combination of these measurements will give the surface and the contour of the skin graft needed.

Figure 1 Working on the sagittal plane.

Figure 2 Consecutive measurements at the coronal plane.

The posterior rim of the frontal ostium is chosen as the most anterior point of the ethmoidal roof accessible with a 0o endoscope as we try to complete the operation with this endoscope. After the induction of general anesthesia the operation begins. The first steps are typical of fess removing polyps and opening the ostia of the paranasal sinuses. The frontal wall of the sphenoid sinus is almost completely removed to the skull base making use among others of 15o a curved diamond DCR bur (Figure 3).

Figure 3 Removing fine bony septa by making use of the DCR bur.

Using the same instruments, every ethmoid septum attached to the skull base and the lamina papyracea is gradually removed. This will serve a dual purpose: It will render the bed to receive the graft smooth and it will facilitate the removal of the mucosa. In order for the skin graft to survive, no remnant of nasal mucosa is left covering the lamina papyracea, the fovea ethmoidalis and the lateral surface of the middle and upper concha. The mucosa is meticulously removed making use of the round knife used in the ear surgery (Figure 4). The mucosa of the lateral surface of the middle and upper concha is removed making use of the microdebrider. The last action taken before the insertion of the graft is to suture-fix the middle concha to the septum with an absorbable stitch.

Figure 4 The use of the otosurgical round knife.

After preparing the bed (Figure 5) it is the time to receive the graft. We have already estimated the surface we need to cover by studying the CT. Usually a graft with dimensions 5x5cm will suffice. The thickness of the graft has also been already estimated at 0.15mm. The graft must be thin enough to contain only a thin slice of dermis. The optimal area for receiving the graft is the thigh, preferably its inner surface. We take the graft from the ipsilateral leg by the use of an electric dermatome. Prior to insertion, the graft must be trimmed to acquire the proper contour. Also, multiple cuts are performed on its surface so as to prevent air and blood clots to accumulate between the graft and its bed. Furthermore, these cuts will allow small remnants of mucosa to find their way into the nasal cavity preventing the formation of mucocele (Figure 6). After completing trimming, the graft is wrapped around a sterile paper and is inserted inside the nose (Figure 7). After the insertion of the graft no further actions must be taken inside this nostril. No packing of any kind must be inserted. The graft remains in its position due to viscosity rather than any other supporting force.

Figure 5 Picture of the surgical cavity ready to receive the graft.

Figure 6 Trimming the graft.

Figure 7 The graft at its final position. The small cuts in its entire surface can be seen.

After completing working at the side of dermoplasty we proceed to the contralateral nostril performing a typical fess. No packing is used either. The overall duration of the operation is four hours. The patient stays overnight and leaves the hospital the next day. He/she is instructed to take 500mg of cefuroxime orally for one week mainly for the wound on the leg and to perform nasal rinses with water saline. Our policy for the postoperative period is based on the least discomfort for the patient. The first time we will examine the patient at the office will be one month after the operation. No polyps are removed and no adhesions are separated. The only action taken is endoscopy of the nose using cotton pledgets with decongestant and topical anesthetic. The same procedure is repeated every three months for the first year. As maintenance, the patient is instructed to use drops containing tobramycin and dexamethasone for one week every three months inserting three drops inside every nostril three times daily.

Results

 Almost five years after our first case and fifteen cases of dermoplasty we are counting thirteen successful cases. Only the first two cases were failures due to poor operative technique. We believe that in these two cases we failed to completely remove the mucosa of the middle meatus and also to trim properly the skin graft. This led to failure of the graft take and therefore the mucosa covered again the middle meatus.

Thirteen patients, who after previous surgical attempts would already suffer a blocked nose, are now experiencing a functional upper respiratory system with a minimal use of medication in the form of topical drops. And the most astonishing thing is that none of the patients is in need so far to perform dermoplasty to the other nostril either. Polyps still grow from areas of the nasal mucosa not covered by the skin graft but exhibit a more benign nature and respond more readily to the topical therapy. So far, none of the group of the thirteen patients was in need to receive corticosteroid orally whereas this was not the case after previous surgical attempts. Under certain circumstances, the olfactory function also shows a tendency to improvement and so does the function of the lower respiratory system. The only disadvantages appear to be the wound on the leg and a foul odor produced by the graft inside the nose.

Discussion

Until the introduction of the endoscopes in the surgery of the nose little had changed in the surgical treatment of nasal polyps compared to ancient times as the operation was restricted to the removal of the polyps.8 The introduction of the endoscopes changed radically our view of the anatomy and the physiology of the nose which resulted in new surgical concepts in many fields of the surgery of the nose. In the cases of chronic rhinosinusitis with and without polyps the new concept was the clearance and opening of the ostia of the paranasal sinuses. Although this led to a great improvement in the cases without polyps, the recurrence rates in the cases of chronic rhinusinusitis with polyps showed little or no improvement.9 Based on the use of dermoplasty for telangiectasia by W. Saunders and other experience of skin grafting mucosa-lined cavities and taking advantage of the ability for detailed dissection of the nasal tissues provided by the use of endoscopes, we designed and perform the dermoplasty technique for nasal polyps. So far, the results are promising. We are rewarded with a high rate of success, combined with a low rate of complications and only minor morbidity. If we exclude the duration of the operation which is prolonged by an hour, our team finds no other reason for not applying the dermoplasty technique to patients prone to early recurrence.

Conclusion

Dermoplasty for polyps is a new indication of a time honored practice of replacing mucosa by skin graft. Early results are promising. We encourage colleagues with interest in Rhinology to test the efficacy of the technique on their patients which will lead to more experience and further improvement of this method.

Acknowledgments

None.

Conflicts of interest

Author declares there are no conflicts of interest.

Funding

None.

References

Creative Commons Attribution License

©2016 Anastasopoulos, et al. This is an open access article distributed under the terms of the, which permits unrestricted use, distribution, and build upon your work non-commercially.