Submit manuscript...
Journal of
eISSN: 2379-6359

Otolaryngology-ENT Research

Case Report Volume 13 Issue 3

A rare basal cell adenoma (BCA) of the parotid gland in a male patient

Joseph Radzevich,, Gus J Slotman

Department of Surgery, Inspira Health Network, USA

Correspondence: Gus J Slotman, M.D, FACS, FCCM, FCCP, FASMBS, Director of Clinical Research, Clinical Professor of Surgery Rowan SOM, Inspira Health Network, 1505 West Sherman Avenue, Suite B, Vineland, NJ, Tel 856-641-8635, Fax 856-641-863

Received: February 21, 2021 | Published: May 4, 2021

Citation: Radzevich J, Slotman GJ. A rare basal cell adenoma (BCA) of the parotid gland in a male patient. J Otolaryngol ENT Res. 2021;13(3):43‒44. DOI: 10.15406/joentr.2021.13.00488

Download PDF

Abstract

Basal cell adenoma (BCA) is an uncommon, benign salivary tumor comprising 1-3% of salivary tumors. These tumors occur more commonly in women and patients older than 50 years of age. Patients typically present with a slow growing, well circumscribed mass. Overall BCA has a good prognosis with low rates of recurrence and malignant transformation.  However, BCA membranous subtype undergoes malignant transformation at increased rates compared with the solid, tubular and trabecular forms.  We present a rare case of a basal cell adenoma in a 57 year old male as well as a literature review.

Introduction

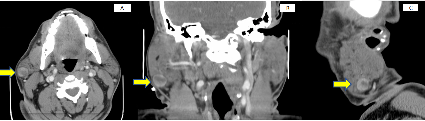
A 57-year-old male presented to the outpatient office with a chief complaint of a right parotid mass.  The mass was asymptomatic, had been present for 10 years, and had recently started enlarging. The patient was given a course of antibiotics by his primary care physician, with no change in size or quality of the mass. On exam, there was a 2cm well-defined, mobile mass in the right parotid gland, clinically within the parotid capsule.  A computed tomography (CT) scan of the soft tissues of the neck with contrast revealed a 1.7 cm well-circumscribed, enhancing nodule within the superficial lobe of the right parotid gland (Figure 1).  No other head and neck lesions or enlarged cervical lymph nodes were identified.

Figure 1 1.7cm right lower lobe parotid tumor seen on CT scan (A axial view, B coronal view, C sagittal view).

Surgery

The patient underwent a right superficial parotidectomy with preservation of the facial nerve, under general anesthesia and using neurophysiologic nerve monitoring. A 2cm well defined solid lesion was removed intact with the superficial parotid lobe and was sent for pathologic examination. Thorough hemostasis was confirmed in the operative field, and the incision was closed in two layers.  When he awakened in the recovery unit, the patient had normal function of the facial nerve.

Surgical pathology

Examination of the surgical specimen by the Department of Pathology revealed basal call adenoma, solid sub-type.  The resection margins were negative for adenoma.

Discussion

Tumors involving the salivary glands are uncommon. They constitute between 2 and 6.5% of all head and neck tumors.1 Basal cell adenomas (BCA) represent an even more rare type of salivary gland tumor and comprise only 1-3% of all salivary gland tumors.1,2 The most common location for BCA are the parotid glands (73-75%).1,3 Other locations for BCA include the submandibular glands (5%) and the salivary glands of the upper lip (6%).1,3 In addition, others have identified BCA in the palate, parapharyngeal space, orbit and nasal septum.1,4,5 Within the parotid gland, the majority of BCA appear within the superficial lobe.2 Notably, one study did demonstrate deep parotid lobe locations in 37.9% of BCA patients.2

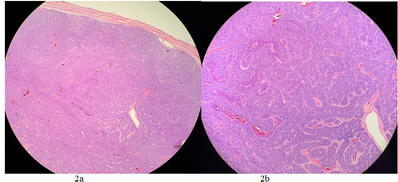
The World Health Organization defined BCA as a benign neoplasm composed chiefly of basaloid cells with a prominent basal cell layer and distinct basement membrane like structure with no myxochondroid stromal component. Histologically they are divided into solid, tubular, trabecular, and membranous types.2 The solid type is the most common.2 Malignant transformation is rare, but has been reported in BCA.3,6 Malignant transformation is most common in the membranous subtype, but has been reported in other subtypes as well.3,6 Malignant transformation manifests as a malignant basaloid tumor (Figure 2a & 2b).  However, there are three case reports of non-basaloid carcinoma arising from BCA.6 The higher propensity for membranous BCA to undergo malignant transformation is likely due to its incomplete capsule formation and multifocal microadenomas.2 Recurrence rates for solid, tubular, and trabecular BCA approach zero. Membranous BCA, however, has a reported recurrence rate of 24-37%.1,3,6

Figure 2a Photomicrograph basal cell adenoma (low power).
Figure 2b Photomicrograph basal cell adenoma (high power).

Basal cell adenomas present as an asymptomatic, slow growing, mobile parotid mass.1 One study did report mild localized pain in 5 percent of patients.2 Patients generally are greater than 50 years of age, most commonly in the 6th or 7th decades of life.6 BCA is more common in females, reported female predominance ranges from 1:1.5-1:2.1,6 BCA is almost always unilateral, with fewer than10 reports of bilateral tumors in the literature.6 BCA size is usually less than 3cm at time of diagnosis.2

Treatment of BCA is typically by local excision with superficial parotidectomy for superficial tumors and total parotidectomy for deep tumors.2 One important caveat is membranous type BCA. It is suggested that treatment for membranous BCA regardless of location (superficial or deep) should be total parotidectomy because of the increased risk of recurrence and malignant transformation.3 The patient presented in this report had a typical presentation for BCA. He presented with a slow growing asymptomatic parotid mass in the sixth decade of life. The tumor was unilateral and located in the superficial portion of the parotid gland, which is the most common location. The final pathology was <3cm (1.7cm) basal cell adenoma. The sub-type was solid which is also the most common sub-type. The patient being a male is uncommon as there is a female predominance of 1:1.5-1:2.1,6 The patient underwent typical treatment with superficial parotidectomy and has had no signs of recurrence or malignant transformation.

Conclusion

To illustrate the spectrum of basal cell adenoma of the parotid gland, a rare case of a basal cell adenoma in a 57 year old male as well as a literature review was presented.  Basal cell adenomas represent a rare salivary gland tumor, comprising only1-3% of salivary gland neoplasms. These tumors have a good prognosis overall.  However, BCA membranous subtype undergoes malignant transformation at increased rates compared with the solid, tubular and trabecular forms.  This pathologic subtype should be kept in mind with salivary gland tumors, particularly parotid tumors, as more aggressive primary resection is indicated.

Acknowledgments

None.

Conflicts of interest

The author declares that there is no conflict of interest to disclose.

Funding

None.

References

Creative Commons Attribution License

©2021 Radzevich, et al. This is an open access article distributed under the terms of the, which permits unrestricted use, distribution, and build upon your work non-commercially.