Submit manuscript...
Journal of
eISSN: 2379-6359

Otolaryngology-ENT Research

Case Report Volume 10 Issue 6

An extremely rare type of carcinoma in the hypopharynx case report of epithelial myoepithelial carcinoma in the pyriform sinus

Mazen Hammoud, Jamal Serhal, Anis Mrad, Talal Halabi

Otolaryngology Head & Neck Surgery Specialist, Hammoud Hospital Medical Center, Lebanon

Correspondence: Mazen Hammoud, Otolaryngology Head & Neck Surgery Specialist, Head of Department, Hammoud Hospital Univeristy Medical Center, Lebanon, Tel 009613355500

Received: October 26, 2018 | Published: November 21, 2018

Citation: Hammoud M, Serhal J, Mrad A, et al. An extremely rare type of carcinoma in the hypopharynx case report of epithelial myoepithelial carcinoma in the pyriform sinus. J Otolaryngol ENT Res. 2018;10(6):355-356. DOI: 10.15406/joentr.2018.10.00380

Download PDF

Abstract

Hypopharyngeal and laryngeal cancers account for about one third of all head and neck neoplasms. Malignant salivary gland tumors of the larynx and its surroundings are very rare neoplasms, which account for less than 1% of all laryngeal malignancies. In the hypopharynx, salivary glands tumors are rarely reported. Epithelial-myoepithelial carcinoma (EMC) is a rare biphasic tumor of the salivary gland. In this paper, we are reviewing an isolated case of hypopharyngeal epithelial-myoepithelial carcinoma, in a 62 years old female patient who presented with dyspnea as a chief complaint, and needed tracheostomy, along with excision of the mass.

Keywords: malignant salivary glands tumors, epithelial-myoepithelial carcinoma, hypopharynx, pyriform sinus, head and neck cancer

Introduction

Hypopharyngeal and laryngeal cancers account for about one third of all head and neck neoplasms, affecting about 15,000 Americans per year. The pyriform sinus is located in a posterolateral position in relation to the larynx. It is part of the pharynx. Anatomically, its borders are the thyroid cartilage and thyrohyoid membrane laterally, and the cricoid cartilage and aryepiglottic fold medially. Its superior limits are the free edge of the aryepiglottic fold and glossoepiglottic fold.1 Inferiorly, it ends at the cricopharyngeus muscle, which is the most inferior structure of the pharynx and serves as the valve at the top of the esophagous. Epithelial-myoepithelial carcinoma (EMC) is a rare neoplasm, first described in 1972 by Donath et al.,2 EMC accounts for ~1% of epithelial salivary gland tumors, with the majority of cases arising in the parotid gland. Epithelial myoepithelial carcinomas are considered the rarest type to occur in salivary glands, with less than 600 cases reported in the literature since its initial description in 1972.3 Thus, the incidence to occur among the pharynx and larynx becomes even rarer. Upon literature review, only one case of epithelial-myoepithelial carcinoma in the hypopharynx was reported in 2014.4

Case study

A 62 years old female patient, known to have hypertension, moderately controlled, Diabetes Mellitus type 2, morbid obesity with a body mass index reaching 60, causing sleep apnea, and gastro-esophageal reflux disease. She was a heavy smoker (2 packs per day), no history of alcohol intake, and no family history of neck tumors. Patient presented to our clinic with increasing dyspnea since 3 months, on exertion and at rest, especially when lying on her left side; however, sleeping on her right side was more suitable for breathing. Patient also mentioned a new onset of voice hoarseness since 1 month. Echocardiography was done before referral to the otolaryngology clinic; it showed acceptable heart function with ejection fraction of 65%. CT scan of the chest excluded pulmonary causes of the worsening, rapidly progressive dyspnea. Fiberoptic laryngoscopy at the clinic showed a cyst like mass in the right pyriform sinus that appeared to have normal mucosa; however, we weren’t able to see the vocal cords because of the cyst that was compressing the epiglottis. CT neck was done, it showed a hypopharyngeal (2*4 cm) mass in the right pyriform sinus, that is compressing the epiglottis partially, and thus causing an “upper respiratory tract obstruction“. Patient was admitted for taking a biopsy in the operating theater. Intubating the patient was severely difficult due to the compression of the cystic mass on epiglottis that was pushed downward and medially, thus covering the larynx; the anesthesiologist used guidance with flexible fiberoptic laryngoscope to perform the intubation, Suspension micro-laryngoscopy was done. While taking the biopsy, the cystic mass was full of fluid and it shrinked on the spot. We made complete excision of the superior part of the cyst and it was sent for pathological examination. After the excision, compression over the epiglottis markedly decreased and the patient was breathing much better. She was observed then discharged home the day after. After the pathologist confirmed that this is an “epithelial myoepithelial carcinoma’’, the patient was being prepared to be scheduled for surgery: pharyngo-laryngectomy with neck dissection. 2 weeks after the first surgery, the patient presented to the emergency department with severe dyspnea, urgent tracheostomy was done and she was admitted to the intensive care unit for observation. The patient was doing well and was being prepared to be transferred to a regular floor, when the patient’s medical situation suddenly deteriorated and passed away few days later, due to her multiple comorbidities(Figure 1).

Figure 1 The cyst before decompression and taking biopsy during the first surgery.

Discussion

Firstly described by Donath et al.,2 epithelial myoepithelial carcinoma wasn’t included in the World Health Organization classification of salivary gland tumors until 1991.5 Higher incidence is in older persons with a female predominance, and affects principally the parotid gland, more than the others salivary glands. A few arise in the nasal cavity, paranasal sinus, nasopharynx, subglottic region, trachea, bronchus, lung, lacrimal gland, submandibular gland, tongue base, palate and liver.4 Epithelial myoepithelial carcinoma is a pathological challenge particularly when the diagnosis is not suspected. In cytology smears differential diagnosis must be done with myoepithelioma, pleomorphic adenoma, monomorphic adenoma, adenoid cystic carcinoma and polymorphous low grade adenocarcinoma.6 In order to differentiate epithelial myoepithelial carcinoma from others malignancies, it is important to take into account that biphasic nature epithelial and myoepithelial is the most relevant finding. This pattern can be present in smears, but it´s better seen in histology and is characterized by a tubular or ductal structures composed of basal myoepithelial and luminal epithelial cells, these latest look like normal intercalated salivary gland ducts.

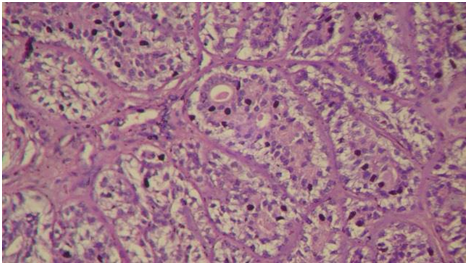
Pyriform sinus tumors account for 70% of cancers originating in the hypopharynx. Tumors originating from the medial wall of the pyriform sinus behave similarly to supraglottic tumors arising from the aryepiglottic folds, and it is often difficult to know the true origin of some of these lesions.7 The most common site of epithelial myoepithelial carcinoma is the parotid gland. In the literature, only 4 cases have been reported to occur in the larynx and only one case has been reported in the hypopharynx. Histologically, epithelial myoepithelial carcinoma is characterized by two types of cells arranged in well-defned tubules; epithelial cells in the inner layer and myoepithelial cells in the outer layer.4 The nodal and distant metastasis rates are low.8 These tumors arise from the subepithelial mucous glands in the larynx. Usually, any hypopharyngeal tumor presents with dysphagia. In our patient, the main presenting symptom was dyspnea, mostly probably exacerbated by the morbid obesity that the patient suffered from(Figure 2).9,10

Figure 2 Tumor characterized with Biphasic, two types of cells: An outer layer of myoepithelial cells with a clear cytoplasm and an inner lining of eosinophilic cuboidal epithelial cells.

Conclusion

In conclusion, the present study reports the second case of an epithelial myoepithelial carcinoma in the hypopharynx, to be diagnosed worldwide. The patient has presented with dyspnea even before dysphagia. Patient had multiple factors that are considered risk factors for squamous cell carcinoma mainly tobacco smoking and acid reflux, but no sufficient data is available to set same risk factors for epithelial pharyngeal carcinoma.

Epithelial myoepithelial carcinoma constitutes 0.5% to 1% of salivary gland tumors. They are classified as low grade tumors, occurring mostly in the parotid gland as low grade tumors. Rarely, these tumors occur in the larynx or paranasal sinuses. These tumors are encapsulated, with invasion to adjacent parenchyma. Concerning aggressiveness, this tumor is moderately aggressive with a recurrence rate of 40%. It can metastasize to lymph nodes, liver, and lungs by 15%, and a survival rate of 80% at 5 years. The main modality of treatment is wide excision which can be followed with radiotherapy.8

Acknowledgments

None.

Conflict of interest

The author declares there is no conflict of interest.

References

Creative Commons Attribution License

©2018 Hammoud, et al. This is an open access article distributed under the terms of the, which permits unrestricted use, distribution, and build upon your work non-commercially.