Submit manuscript...
Journal of
eISSN: 2379-6359

Otolaryngology-ENT Research

Proceeding Volume 5 Issue 1

Asymptomatic Septal Perforation in Wegener’s Granulomatosis

Mujtaba Khan, Khabeer AA

Department of Otolaryngology, Gandhi Medical College, India

Correspondence: Mujtaba Khan, Senior Resident, Department of Otolaryngology, Gandhi Medical College, India

Received: October 17, 2016 | Published: November 9, 2016

Citation: Khan M, Khabeer AA (2016) Asymptomatic Septal Perforation in Wegener’s Granulomatosis. J Otolaryngol ENT Res 5(1): 00127. DOI: 10.15406/joentr.2016.05.00127

Download PDF

Abstract

Wegener’s granulomatosis (WG) is an idiopathic vasculitic and autoimmune process that typically involves the upper and lower respiratory tracts. In this case report we describe a patient who had an incidental finding of a septal perforation. A thorough evaluation led to the diagnosis of Wegener’s granulomatosis.

Introduction

Wegener's granulomatosis is a multisystem inflammatory disease characterized by necrotizing granulomatosis and necrotizing vasculitis of small arteries, arterioles, capillaries and venules.1 It primarily involves the upper and lower respiratory tracts, including the larynx and trachea and kidneys. Other areas of involvement are the oral cavity, skin, joints (polyarteritis) and orbit.1 In the airway, the subglottis and trachea are more commonly affected. It occurs in all age groups and predominantly affects white populations.

The spectrum of disease presentation ranges from localized to disseminated forms, but the majority of patients have otolaryngologic manifestations. Sinonasal symptoms may be the only systemic manifestation in 25-30%.

Discussion

Friedrich Wegener first clearly defined WG in 19392 as a systemic disease characterized by necrotizing granulomas with vasculitis of the upper and lower respiratory tract, systemic vasculitis and focal necrotizing or proliferative glomerulonephritis. The prevalence of Wegener’s is estimated to be 3 cases per 100,000 and the mean age at diagnosis is 55years. In this interesting case report we describe a 22-year-old female patient who presented to the ENT department for tonsillectomy. In this patient anterior rhinoscopy revealed asymptomatic septal perforation. During further evaluation of the patient, a biopsy around the septal perforation was taken and sent for histopathological examination. Histopathology revealed necrotizing granulomata, multinucleated giant cells and vasculitis. The HPE picture was suggestive of a granulomatous nasal disease. On high suspicion of Wegener’s granulomatosis, a ANCA (Antineutrophil cytoplasmic antibody) was ordered (Figure 1).

Figure 1 Anterior rhinoscopy showing anterior septal perforation.

A provisional diagnosis of Wegener’s granulomatosis was made after a positive c-ANCA and later confirmed by presence of Proteinase 3 (PR3- ANCA) on enzyme immunoassay. After confirmation of the diagnosis, a detailed evaluation was done for systemic involvement including chest radiograph, erythrocyte sedimentation rate, urinalysis and oral cavity and eye examination which revealed no involvement of other systems. Though the specificity of antineutrophil cytoplasmic antibodies (c-ANCA) for Wegener’s granulomatosis is as high as 98%, the sensitivity varies with disease activity 90% in patients with active systemic disease, 60% in patient with localized disease, and 30% for patients in a remission phase but a positive PR3-ANCA is highly confirmatory of Wegener’s and clinches the diagnosis.

As the patient had no symptoms related to the septal perforation and no other systemic involvement, the patient was put on a regular follow up every month. A 6monthly evaluation of c-ANCA titres was done for a period of 2years, which showed no increase in titre (Figures 2&3).

Figure 2 Perforation seen on Diagnostic Nasal Endoscopy.

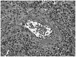
Figure 3 Histopathology showing fibrinoid necrosis.

Conclusion

Wegener granulomatosis manifests with multiple symptoms especially in the nose and throat. This case report presents a unique asymptomatic septal perforation which was later diagnosed as Wegener’s by histopathology and c-ANCA positivity. The otolaryngologist is a critical member of the interdisciplinary team providing care for patients with WG, as head and neck manifestations are common.3

Acknowledgments

None.

Conflicts of interest

Author declares there are no conflicts of interest.

Funding

None.

References

Creative Commons Attribution License

©2016 Khan, et al. This is an open access article distributed under the terms of the, which permits unrestricted use, distribution, and build upon your work non-commercially.