Submit manuscript...
Journal of
eISSN: 2379-6359

Otolaryngology-ENT Research

Case Report Volume 4 Issue 5

Benign Myoepithelial Tumor of the Middle Ear: A Case Report

Soleimanpour M,1 Mojtaba Maleki,1 Ehsan Shams Koushki,2 Ali Daneshvar2

1Otolaryngologist, Department of Otolaryngology, Iran University of Medical Sciences, Iran
2Resident of Otolaryngology, Department of Otolaryngology, Iran University of Medical Sciences, Iran

Correspondence: Ehsan shams koushki, Rasoul Hospital, Tehran University of Medical Sciences, Tehran, Iran, Tel +989122185334

Received: August 23, 2016 | Published: September 23, 2016

Citation: Soleimanpour M, Mohseni, Maleki M, Koushki ES, Daneshvar A (2016) Benign Myoepithelial Tumor of the Middle Ear: A Case Report. J Otolaryngol ENT Res 4(5): 00114. DOI: 10.15406/joentr.2016.04.00114

Download PDF

Abstract

Benign and malignant tumours originating from myoepithelial cells are rarely seen in clinical practice. Myoepithelioma of the middle ear is a very rare condition. A 54-year-old woman was admitted to our department, complaining of ear fullness, otalgia, and tinnitus in the left ear beginning 4years earlier. The tumor Diagnosed as the left ear benign myoepithelioma. The tumor was removed. The ossicles and tympanic membrane were preserved intact.

Keywords: myoepithelioma, middle ear, immunohistochemistry

Introduction

This case report presents a patient with myoepithelioma of the middle ear. Benign and malignant tumours originating from myoepithelial cells are rarely seen in clinical practice. Myoepithelial cells occur as isolated cells lying within the basal lamina of glandular epithelium and theoretically myoepithelioma can be seen in any part of the body where there are exocrine glands.1 We report a case of Middle ear epithelioma arising in the external auditory canal in a 54years old female. To the best of our knowledge, a few cases have been reported to date who has presented ME at this anatomic location.

Case presentation

A 54-year-old woman was admitted to our department, complaining of ear fullness, otalgia, and tinnitus in the left ear beginning 4years earlier. An otoscopic examination demonstrated a mass in the left external auditory canal, which did not pulsate. There were no enlarged lymph nodes in the neck. Other physical examination revealed no remarkable findings. Pure-tone audiometric examination demonstrated a 50-dB conductive hearing loss. High-resolution CT showed a significant soft tissue filled the left external auditory canal and also the complete middle ear with extension to the auditus, mastoidal antrum and mastoidal air cells. No clear bony erosion is noted. Inner ear structures were normally visible and in right ear no clear abnormality was present. MRI was also performed which demonstrated that the mass was not hyper vascular.

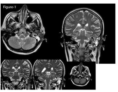
In MRI with and without IV gadolinium injection: an enhancing mass measuring 22*10*8mm was present in the middle ear and in the mastoid antrum. Minimal intracranial extension through erosion of the tegmen tympani was visible. Abnormal thickening and enhancement of the lining of the EAC was visible too which may indicate tumor extension (Figure 1). Informed Consent was obtained through a signed permission form. The patient underwent surgery on November 2012. At surgery, the tumor was soft and creamy and encapsulated and was separated from adjacent. The tumor was not removed en bloc. The ossicles and tympanic membrane were preserved intact. Histologically, a polypoid neoplastic lesion covered by stratified squamous epithelium composed of glandular structures, lined by two layers of bland looking luminal epithelial cells and basal (myoepithelial) cells. Immuno-Histo-Chemical Examination (IHC) showed positive reactivity for CK in epithelial cells as well as positive reactivity for S100, SMA and p63 in myoepithelial cells. Neither atypia nor mytosis were seen. Finally, pathology report was benign epithelial myoepithelial tumor. These histopathological findings were indicative of myoepithelioma.

Figure 1 MRI with and without IV gadolinium injection: an enhancing mass was present in the middle ear

Discussion

Myoepithelial cells (MCs) are usually seen between epithelial cells and basal cells in intercalated ducts and acini of exocrine glands. Myoepithelioma (ME) is a tumor that shows myoepithelial differentiation but not ductal differentiation. Such tumors account for 1% of all tumors developing in the salivary glands.2 Myoepithelioma is a rare tumor arising in the major and minor salivary glands, but mainly in the parotid gland.3 ME is basically benign without atypical mitotic figures or signs of necrosis, either of which may be seen in myoepithelial carcinoma.2 In this case, we had anticipated that the tumor would be a glomus tympanic tumor preoperatively because of its clinical findings and location (and intraoperatively, because of more than usual bleeding during surgery). However, histological examination demonstrated proliferation of uniform spindle cells, which is not the feature of jugulotympanic glomus tumor.2 On immunohistochemical examination, both epithelial and smooth muscle markers were positive. In addition, there was no staining for chromogranin A, which is usually positive in a glomus tumor, and moreover there were no neurosecretory granules found. We considered these histopathological findings consistent with those of ME, and consequently diagnosed the tumor as ME.

Under the condition of chronic inflammatory process, it is known that middle-ear epithelium may form glands, similar to the epithelium in the respiratory tract. This glandular metaplasia, which is considered to be responsible for the development of adenoma in the middle-ear spaces. A second possibility is that ectopic glandular tissue (choriostoma) might have existed in the middle ear in the patient. Salivary gland choristoma in the middle ear is commonly accompanied by middle-ear abnormalities, but some cases of choriostoma without middle-ear abnormalities have also been reported.2

Myoepithelioma is defined as a neoplasm with the histology and growth patterns of the myoepitheliomatous component of pleomorphic adenomas, but lack or show only limited (<5 to 10%) differentiation of the ductal phase of this tumor.3 The distinction is important because myoepithelioma is more aggressive than pleomorphic adenoma, and occasionally transforms into malignant myoepithelioma. Extra-parotid myoepithelioma is extremely rare, but has occurred in the palate, submandibular gland, lip, cheek, oral cavity, nasopharynx, orbit, middle ear, external auditory canal, and maxillary sinus.3 We describe a rare case of myoepithelioma of the Middle ear. Only 4 cases of myoepithelioma have been reported in the external auditory canal4 and one of them was benign.

Acknowledgments

None.

Conflicts of interest

Author declares there are no conflicts of interest.

Funding

None.

References

Creative Commons Attribution License

©2016 Soleimanpour, et al. This is an open access article distributed under the terms of the, which permits unrestricted use, distribution, and build upon your work non-commercially.