Submit manuscript...
Journal of
eISSN: 2379-6359

Otolaryngology-ENT Research

Case Report Volume 3 Issue 4

Bilateral inverted papilloma of maxillary and ethmoid sinuses with multiple recurrences

Zahoor Ahmad,2 Pasan Waidyasekara,1 Maria Agustina Sevilla,2 Muhammad Shakeel2

1Faculty of Health Sciences and Medicine, Bond University, Australia
2Department of Otolaryngology- Head and Neck Surgery, Counties Manukau Health, New Zealand

Correspondence: Zahoor Ahmad FRACS, Consultant Otolaryngologist, Department of Otolaryngology- Head and Neck Surgery, Manukau Super Clinic, P.O. Box 98743, South Auckland Mail Center, Auckland 2241, New Zealand, Tel +64212137576

Received: October 13, 2015 | Published: October 29, 2015

Citation: Ahmad Z, Waidyasekara P, Sevilla MA, et al. Bilateral inverted papilloma of maxillary and ethmoid sinuses with multiple recurrences. J Otolaryngol ENT Res. 2015;3(4):312-314. DOI: 10.15406/joentr.2015.03.00074

Download PDF

Abstract

Introduction: Bilateral inverted papilloma is uncommon. It is locally invasive, often recurs and has a risk of malignant transformation.

Objective: To describe a patient with bilateral inverted papilloma of sinonasal cavity with multiple recurrences followed up for more than 10years at our centre.

Method: A case report and a brief review of the literature on the management of bilateral inverted papilloma.

Result: A 52year old male presented with bilateral nasal obstruction, histology revealed bilateral inverted papilloma. He underwent endoscopic partial medial maxillectomy and canine fossa puncture, followed by two more endoscopic surgeries. He had three recurrences with one, three, and four years of disease free follow up between each episode.

Conclusion: Bilateral inverted papillomas are rare. These can present with bilateral nasal obstruction. The approach to resection should be chosen with the goal of complete evacuation of tumour. Patients with bilateral disease should have long-term surveillance for recurrence and/or malignancy.

Keywords: Inverted papilloma; Paranasal sinus neoplasm; Bilateral; Nasal obstruction; Endoscopic sinus surgery; Anterior rhinoscopy; Frontal sinuses; Maxillary sinus; Scheiderian mucosa; Septal perforation; Frontoethmoidal recesses;

Abbreviations

CT, computer tomography; IP, inverted papilloma; FESS, functional endoscopic sinus surgery; MRI, magnetic resonance imaging

Introduction

Inverted papilloma (IP) or Shneiderian papilloma is a benign neoplasm of the sinonasal cavity that is hallmarked by its locally invasiveness, tendency for recurrence and malignant transformation. They arise from the ectodermally derived Scheiderian mucosa that lines the nasal cavity and paranasal sinuses. Predominantly observed in males in their fifth and sixth decade of life, it has an annual incidence of 0.6-1.5 per 100,000. Mostly IP occur unilaterally and the incidence of bilateral synchronous inverted papilloma is 4-5%.1,2 The most common site of occurrence of IP is at the lateral nasal wall and maxillary sinus, followed by ethmoid air cells and nasal septum. Less commonly these can arise at the sphenoid and frontal sinuses. Bilateral presentation can be due to synchronous multicentric growth with no communication or unilateral disease spreading to the contralateral side through septal perforation.3 Often it is difficult to determine the disease origin due to the involvement of multiple sites.

Histologically Shneiderian papillomas exhibit two patterns of growth: exophytic which includes the fungiform subtype which commonly arise at the nasal septum, and endophytic which includes inverted and oncocytic subtypes.4 Microscopically, inverted papilloma is composed exclusively or almost exclusively of hyper plastic ribbons of basement membrane-enclosed epithelium that grows in endophytic pattern into the underlying stroma. The epithelium is multilayered and formed of squamous or ciliated columnar cells mixed with mucocytes. Evidence for Human Papilloma Virus involvement in the aetiology of inverted papilloma is growing.5‒7 Squamous cell carcinoma is also associated with inverted papilloma4.Carcinoma can be synchronous or metachronous with the occurrence of inverted papilloma and range from well to poorly differentiated types. Inverted papillomas are primarily managed surgically. Meticulous surgical excision of entire tumour is paramount to prevent recurrence.8 Endoscopic approach to managing these tumours has gained sound plausibility.9‒10 Combined endoscopic and open approaches maybe required for adequate exposure, and when tumour involvement is extensive.

We present a case of bilateral inverted papilloma in a 52-year-old man that co-existed with inflammatory polyposis. He had three recurrences with one, three and four years of disease free follow up between each episode. The case illustrates the importance of suspecting inverted papilloma when patients present with bilateral inflammatory polyposis and stresses the importance of long-term follow up of patients with bilateral inverted papilloma.

Case report

A 52year old male of Samoan descent presented to our centre in year 2003 with long term (>10years) nasal obstruction and clear nasal discharge. Anterior rhinoscopy showed bilateral grade IV nasal polyps. Nasoendoscopic examination of the left nasal cavity revealed numerous pale polypoid masses in the inferior meatus and middle meatus whilst the right nasal cavity was completely full of polyps. Computerized tomography (CT) scan revealed extensive bilateral disease with polyposis involving the paranasal sinuses, nasal cavity and nasopharynx. There was no evidence of bony sclerosis, thickening or destruction (Figure 1). He suffered from asthma and had undergone bilateral functional endoscopic sinus surgery (FESS) previously elsewhere. In 2004, with a preoperative diagnosis of chronic rhinosinusitis with bilateral polyposis, a revision FESS was preformed and the polyps were sent for histological examination. On macroscopic examination, the polyps from both sides appeared smooth, shiny and cream in colour. Histological examination of polypoid fragments from both sides was consistent with bilateral synchronous Shneiderian papilloma along with inflammatory polyposis.

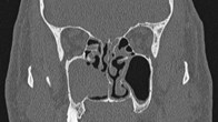
Figure 1 Bilateral mucoperiosteal disease worse affecting the right nasal cavity (Year 2004).

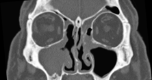
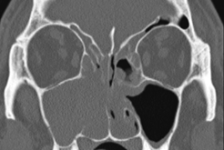
Based on the diagnosis, the patient underwent further surgical intervention. The pre-operative contrast enhanced CT scan revealed extensive residual mass on right maxillary sinus with minimal residual mass on the left maxillary antrum margin extending to the middle ethmoid through the surgical defect (Figure 2). Both frontoethmoidal recesses were filled with soft tissue mass while the rest of the sinuses were clear. Further surgery was carried out when right nasal cavity and antrum were found to be completely obliterated by polypoid tissue. Complete maxillary sinus clearance was achieved with endoscopic partial medial maxillectomy combined with canine fossa puncture. On the left side middle turbinate mucosa had several small polyps and left maxillary antrum macroscopically appeared clear. The histological examination of specimens from both nasal cavities revealed inverted papilloma with no epithelial dysplasia or malignancy. The patient remained under clinical surveillance and in year 2008 bilateral small nasal polyps were noted and further investigated by CT scan that demonstrated soft tissue mass filling right maxillary sinus and extended medially through surgical defect of medial maxillary sinus wall (Figure 3). The left sided nasal cavity did not reveal any suspicious features. He underwent right revision FESS and the histology showed IP in the specimen excised from the floor of right maxillary sinus.

Figure 2 Residual inverted papilloma (IP) worse affecting the right maxillary sinus (Year 2005).

Figure 3 Right sided IP recurrence (Year 2008).

The patient was kept under regular follow up when in the year 2012 he was noticed to have soft granulation tissue arising from right middle meatus and extending to the nasal cavity. The CT scan confirmed a soft tissue opacification of right maxillary sinus extending to the right nasal cavity (Figure 4). He underwent FESS and intra-operatively a large polypoid mass extending from right maxillary sinus to nasal cavity was removed. No macroscopic residual mass was observed with 45 and 70degree endoscopic examination. Histological examination of the right middle meatus polypoidal mass confirmed the presence of Schneiderian papilloma of exophytic subtype. He has been followed up regularly since then. He is asymptomatic and to date have been recurrence free at 2years of follow up, both clinically and radiologically (Figure 5).

Figure 4 Right maxillary sinus IP recurrence (Year 2012).

Figure 5 No disease recurrence (Year 2014).

Summary

Inverted papilloma (IP) or Shneiderian papilloma is a benign neoplasm of the sinonasal cavity that is hallmarked by its locally invasiveness, tendency for recurrence and malignant transformation. Classic presentation of IP is a unilateral nasal mass but bilateral IP can rarely occur causing bilateral nasal blockageIP should be considered as a differential diagnosis when dealing with bilateral nasal polyposis

Surgical clearance of IP is the standard of care and the patients with IP require long term follow up with nasal endoscopy to monitor disease recurrence

Acknowledgments

None.

Conflicts of interest

Author declareas there are no conflicts of interest.

Funding

None.

References

  1. Hyams VJ. Papillomas of the nasal cavity and paranasal sinuses. A clinicopathological study of 315 cases. Ann Otol Rhinol Laryngol. 1971;80(2):192‒206.
  2. Krouse JH. Endoscopic treatment of inverted papilloma: Safety and efficacy. Am J Otolaryngol. 2001;22(2):87‒99.
  3. Kodama S, Kawano T, Suzuki M. Bilateral endoscopic medial maxillectomy for bilateral inverted papilloma. Case Rep Otolaryngol . 2012;2012:215847.
  4. Barnes L. Schneiderian papillomas and nonsalivary glandular neoplasms of the head and neck. Mod Pathol. 2002;15(3):279‒297.
  5. Sarkar FH, Visscher DW, Kintanar EB, et al. Sinonasal Schneiderian papillomas: human papillomavirus typing by polymerase chain reaction. Mod Pathol. 1992;5(3):329‒332.
  6. Hasegawa M, Deng Z, Maeda H, et al. Human papillomavirus load and physical status in sinonasal inverted papilloma and squamous cell carcinoma. Rhinology . 2012;50(1):87‒94.
  7. Xiao W, Liu S, Wang L, et al. Meta analysis of the relationship between human papilloma virus and nasal inverted papilloma. Lin Chung Er Bi Yan Hou Tou Jing Wai Ke Za Zhi. 2013;27(11):572‒576.
  8. Xiao-Ting W, Peng L, Xiu-Qing W, et al. Factors affecting recurrence of sinonasal inverted papilloma. Eur Arch Otorhinolaryngol. 2013;270(4):1349‒1353.
  9. Busquets JM, Hwang PH. Endoscopic resection of sinonasal inverted papilloma: a meta-analysis. Otolaryngol Head Neck Surg. 2006;134(3):476‒482.
  10.  Carta F, Blancal JP, Verillaud B, et al. Surgical management of inverted papilloma: approaching a new standard for surgery. Head Neck. 2013;35(10):1415‒1420.
  11. Salomone R, Matsuyama C, Giannotti Filho O, et al. Bilateral inverted papilloma: case report and literature review. Braz J Otorhinolaryngol. 2008;74(2):293‒296.
  12. Jurlina M, Prstacic R, Zizic-Mitrecic M, Janjanin S (2011) Synchronous multicentric bilateral sinonasal inverted papilloma and frontal sinus osteoma. J Craniofac Surg 22(3): 1113-1116.
  13. Yiotakis J, Hantzakos A, Kandiloros D, et al. A rare location of bilateral inverted papilloma of the nose and paranasal sinuses. Rhinology. 2002;40(4):220‒222.
  14. Jiang X, Huang Q, Tang J, et al. Monophasic epithelial synovial sarcoma accompanied by an inverted papilloma in the sphenoid sinus. Case Rep Med. 2012;2012:379720.
  15. Hosal SA, Freeman JL. Bilateral lateral rhinotomy for resection of bilateral inverted papilloma. Otolaryngol Head Neck Surg. 1996;114(1):103‒105.
  16. Lawson W, Kaufman MR, Biller HF. Treatment outcomes in the management of inverted papilloma: an analysis of 160 cases. Laryngoscope. 2013;113(9):1548‒1556.
  17. Sathananthar S, Nagaonkar S, Paleri V, et al. Canine fossa puncture and clearance of the maxillary sinus for the severely diseased maxillary sinus. Laryngoscope. 2005;115(6):1026‒1029.
  18. Panda NK, Saravanan K, Verma RK, et al. Bilateral aggressive inverted papillomas: A changing scenario. Indian J Otolaryngol Head Neck Surg. 2007;59(4):369‒373.
  19. Sciarretta V, Fernandez IJ, Farneti P, et al. Endoscopic and combined external-transnasal endoscopic approach for the treatment of inverted papilloma: analysis of 110 cases. Eur Arch Otorhinolaryngol. 2013;271(7):1953‒1959.
Creative Commons Attribution License

©2015 Ahmad, et al. This is an open access article distributed under the terms of the, which permits unrestricted use, distribution, and build upon your work non-commercially.