Submit manuscript...
Journal of
eISSN: 2379-6359

Otolaryngology-ENT Research

Case Report Volume 2 Issue 2

Challenging tracheostomy – a novel approach in a rare anomaly of the brachiocephalic artery

Sangeet Poddar,1 Nagendra Parvateneni,2 Amit Raodeo,3 Jaideep C,4 Harleen Luther,5 Satish Jawali6

1Consultant ENT and Head Neck surgeon, Sevenhills hospital, India
2Surgical oncologist, Sevenhills hospital, India
3Critical Care consultant Sevenhills hospital, India
4Anesthesiologist, Sevenhills hospital, India
5Neurosurgeon, Sevenhills hospital, India
6Cardiovascular surgeon, Sevenhills hospital, India

Correspondence: Sangeet Poddar, Consultant ENT and Head Neck Surgeon, Sevenhills Hospital, Mumbai, India, Tel +919820911409

Received: October 20, 2014 | Published: March 10, 2015

Citation: Parvateneni N, Raodeo A, Jaideep C, et al. Challenging tracheostomy – a novel approach in a rare anomaly of the brachiocephalic artery. J Otolaryngol ENT Res. 2015;2(2):74-77. DOI: 10.15406/joentr.2015.02.00018

Download PDF

Abstract

A 70year old post craniotomy patient on ventilator required tracheostomy for early weaning. An anomalous Brachiocephalic trunk running across the surgical site was making the surgery challenging due to difficulty during surgery and also post operative risk of torrential bleeding due to injury to the vessel by the tracheostomy tube causing vascular rupture. We describe a novel technique performed by us countering both the challenges.

Keywords: tracheostomy, brachiocephalic trunk, ct angiography, hemorrhage, strap muscles, thyroid isthmus, tracheal flap

Introduction

Tracheostomy is creating an opening in the trachea to have an airway in patients who have to an upper airway obstruction like malignant growth, bilateral Abductor palsies etc. More commonly it is performed in ICU for patients requiring prolonged mechanical ventilation for better respiratory toilet and early weaning. This procedure has been known to mankind for ages. The evolution of tracheostomy can be divided into five stages. The first and longest period (covering roughly 3,000years from 1500 BC to 1500 AD) begins with references to incisions into the "wind pipe" in the Ebers Papyrus and the Rig Veda. However, Alexander the Great, Asclepiades, Aretaeus and Galen are all recorded as having used this operation. Between 1546 with the writings of Brassarolo until 1883, the procedure was considered futile and irresponsible and few surgeons had the courage to perform it. The third period starts with Trousseau's report of 200 cases in the therapy of diphtheria in 1833. Tracheostomy became a highly dramatized operation for asphyxia and acute respiratory obstruction. In 1932 Wilson suggested its prophylactic and therapeutic use in poliomyelitis. 

Tracheostomy was then recommended for a large variety of assorted maladies. This started a tremendous period of enthusiasm. Finally, the present era starting in 1965 comes as a period of rationalization. Complications, indications and interrelation with endotracheal intubation are clearly outlined.1 The procedure is mostly straightforward- requires trans cervical exposure of the trachea and an opening is created between the 3rd and 4th tracheal ring. A tracheostomy tube is placed and secured in place with the help of tapes and/ or suture. Life threatening complications can be encountered if anomalous blood vessels get injured during the procedure or in the post operative period if the tip of the tracheostomy tube abuts against and the great vessels of the neck. We describe here a case with anomalous Brachiocephalic artery which made the surgery difficult and prone to life threatening complications.

We present here this case for the rare anatomical anomaly, clinical suspicion, comprehensive investigation and a novel technique of management.

Case report

A 70year old lady was admitted with us with anterior cerebral hemorrhage and was operated by the Neurosurgeon for hematoma evacuation. Near total surgical evacuation of the clot could be achieved. As the patient required prolonged ventilation and was expected to recover from her primary disease, it was decided to do a Tracheostomy to get rid of the endotracheal tube for better pulmonary toilet and early weaning off the ventilator. A PDT was planned but deferred at the last moment due to presence of abnormal pulsations at the puncture site. There are very few if any, absolute contraindications for PDT.2,3

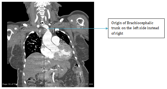
ENT referral was sought and a colour Doppler was advised which showed an abnormal large artery in running across in front of the Trachea. A CT angiography was then done which revealed anomalous Brachiocephalic trunk running from left to right across in front of the trachea which had pushed the thyroid gland to the level of Cricoid cartilage (Figures 1-4).

Figure 1 Angiogram.

Figure 2 Angiogram.

Figure 3 Angiogram

Figure 4 VRT, CT Angiography

Literature was searched for this anomaly and it was found to be a rare anomaly (Beautiful description in an anatomy journal).4 The challenges were two: first, the surgical difficulty in view of the horizontally running large vessel in front of the trachea just 1cm below the Cricoid cartilage and second, the risk of post operative hemorrhage due to the vessel hitting against the Tracheostomy tube due to pounding pulsations, movement of the tube due to mechanical ventilation, frequent handling for suctioning and dressing and neck movements.5-7

Life prognosis was discussed with the operating Neurosurgeon and he was optimistic of patient to survive subject to be able to wean her off the ventilator at the earliest. It was discussed with the cardiovascular surgeons for the possible alternatives. Going below the anomalous vessel and doing a retrosternal open Tracheostomy was a faint remote possibility albeit involving life threatening risk of hemorrhage and Mediastinitis.8

The relatives were explained of the tricky situation and all the risks and complications including the need to abandon the procedure, ligate the main vascular trunk and risk of death on table. We decided to go ahead with transcervical approach with a Cardiovascular surgeon back up in case of massive hemorrhage due to injury to the brachiocephalic trunk.

After identifying the landmarks (Figure 5) the neck was explored by a transverse 6 cm incision just on the upper border of the felt pulsation of the vessel. Skin, fat and platysmal incised and upper flap was raised to expose the investing layer of cervical fascia. The lower flap was deliberately not raised to prevent exposing the vessel. This fascia was split in the midline to expose the strap muscles and the isthmus of thyroid gland (Figure 6). The isthmus was split in midline and the edges transfixed to the ipsilateral Sternothyroid muscles (Figure 7). Both sides Sternohyoid muscles were cut at their upper ends, rotated and sutured to the other side (Figures 8&9) sternothyroids making a muscular bed over the horizontally running brachiocephalic trunk just underneath. An inverted “U” flap on the exposed 2nd to 4th tracheal rings was incised and was sutured to the unraised subcutaneous layer of the lower skin flap overlying the vessel hence forming another barrier and a bed for the tracheostomy tube so that it does not rub against it any of the time (Figure 10). Skin incision was closed leaving the opening for the trachoestoma. Portex cuffed tracheostomy tube with suction aid inserted after withdrawing the endotracheal tube.

The patient was weaned off the ventilator a few days later.

Figure 5 Landmarks

Figure 6 Thyroid Gland and Trachea Exposed

Figure 7 Thyroid split

Figure 8 Strap muscle flaps raised

Figure 9 Strap Muscle Flap Bed

Figure 10 Inverted 'U' Flap Tracheostomy

Discussion

The brachiocephalic artery (or brachiocephalic trunk or innominate artery) is an artery of the mediastinum that supplies blood to the right arm and the head and neck. It is the first branch of the aortic arch, and soon after it emerges, the brachiocephalic artery divides into the right common carotid artery and the right subclavian artery. There is no brachiocephalic artery for the left side of the body. The left common carotid and the left subclavian artery, come directly off the aortic arch. However, there are two brachiocephalic veins. It arises, on a level with the upper border of the second right costal cartilage, from the commencement of the arch of the aorta, on a plane anterior to the origin of the left carotid; it ascends obliquely upward, backward, and to the right to the level of the upper border of the right sternoclavicular articulation, where it divides into the right common carotid and right subclavian arteries. The artery then crosses the trachea in front of it obliquely from the left to the right, roughly at the middle of the trachea or the level of the ninth tracheal cartilage.

In infants, it often divides cephalad to the sternoclavicular articulation, within the anterior triangle of the neck. An anomalous Innominate artery as in this case can be a differential diagnosis in infants with respiratory obstruction. Hemorrhage is a feared complication of tracheostomy and can present anytime in following 3 weeks. There are many ways to control minor bleedings: packing, taking transfixation sutures or re exploration to identify the bleeder and securing it. Massive bleeding can occur due to direct pressure over the vessel wall [6] assisted by the tube movement during mechanical ventilation, violent neck movement by a semi comatose or awake restless patient or by the tracheostomy tube tip eroding the anterior tracheal wall and causing tracheo arterial fistula. Massive bleeding occurs from major vessels – most commonly the Innominate artery7 (but also from the Carotid artery, Brachiocephalic vein8 and the Aortic arch).9 It requires further inflation of the cuff, manual finger pressure to control the bleeding and block aspiration, shifting the patient to the operation room, re exploration, Cardiovascular surgeon (or one experienced with sternotomy and vascular grafting) assistance and can be fatal if not controlled in time. Massive bleeding may be preceded by sentinel bleeds hence these mild bleeds should never be ignored.

In vascular anomalies as in our case, open tracheostomy is safer compared to percutaneuous tracheostomy to minimize the risk of bleed during procedure but also to undertake reconstructive measures to prevent the late complication of erosion of major vessels. This anatomical variation in which the Brachiocephalic artery is overlying the trachea where incision for tracheostomy is made or the guide wire of the PDT is inserted we encountered is very rare and failure to identify it would have led to catastrophic complication at tracheostomy and not undertaking rotational muscle flaps during surgery would have led to post operative vascular laceration and lethal bleeding.

It helped to discuss the situation with the relatives of the patient as they could fully and exactly understand the technical challenge.

By virtue of timely diagnosis, investigations and impeccable surgical management, we could carry out the life saving procedure without any complications.

Acknowledgements

None.

Conflits of interest

The authors declare that there is no conflicts of interest.

Funding

None.

References

Creative Commons Attribution License

©2015 Parvateneni, et al. This is an open access article distributed under the terms of the, which permits unrestricted use, distribution, and build upon your work non-commercially.