Submit manuscript...
Journal of
eISSN: 2379-6359

Otolaryngology-ENT Research

Case Report Volume 11 Issue 3

Chondro-osseous respiratory epithelial adenomatoid hamartoma of the nasal cavity (COREAH): A case report

Nikolopoulos Elias MD,1 Ploumidou Katherine MD PhD,2 Sourla Antigoni MD PHD,3 Kittas Christos MD PhD4

1Department of Otolaryngology Athens Medical Center (OmilosIatrikouAthinon), Greece
2Department of Otolaryngology Metaxa Anticancer Hospital Piraeus, Greece
3Bioiatriki Laboratories, Greece
4Department of Pathology Ethnikon kai Kapodistriakon Panepistimio Athinon (EKPA) Former Professor Christos Kittas (CK), Greece

Correspondence: Katherine Ploumidou MD, PhD Department of Otolaryngology Head and Neck Surgery Metaxa Hospital Piraeus Athens Greece, Greece

Received: May 25, 2019 | Published: June 3, 2019

Citation: Nikolopoulos EMD, Ploumidou KMD, Sourla AMD, et al. Chondro-osseous respiratory epithelial adenomatoid hamartoma of the nasal cavity (COREAH): A case report. J Otolaryngol ENT Res. 2019;11(3):171-173. DOI: 10.15406/joentr.2019.11.00429

Download PDF

Abstract

We report a rare case of a chondro-osseous respiratory epithelial adenomatoid hamartoma (COREAH) of the right sinonasal cavity in a 66 year old woman who presented to the Otolaryngology Department with complains of chronic headache and right nasal obstruction. Clinical examination with a rigid endoscope revealed a polypoid yellowish mass in the right nasal cavity. Left nasal cavity was clear of disease. CT and MRI studies depicted a mass on the right nasal cavity with a cephalocaudal diameter 5 centimeters with an anterior-posterior diameter of 3 centimeters. Patient was treated with endoscopic sinus surgery followed by complete tumor resection. Postoperative course was uneventful. Histological examination revealed a very rare case of a chondro-osseous respiratory epithelial adenomatoid hamartoma (COREAH). Clinical presentation of COREAH may mimic low grade sinonasal carcinoma. Misdiagnosis may result in an aggressive and unnecessary surgical procedure. Therefore differentiating it from other neoplasms is of paramount importance. This case is unique due to the very few existing references in literature.

Keywords: chondro osseous respiratory epithelial adenomatoid hamartoma, nasal cavity, respiratory adenomatoid hamartoma

Introduction

Hamartomas of the nasal cavity are very rare tumors, present as polypoid lesions, and are considered a combination of epithelial and mesenchymal tissue elements. There are three subtypes of hamartomas of the nasal cavity, the epithelial type which includes the respiratory epithelial adenomatoid hamartoma (REAH) and the seromucinous hamartoma (SH), the mixed epithelial and mesenchymal type which includes the chondro-osseous respiratory epithelial adenomatoid hamartoma (COREAH) and the messenchymal type which includes the nasal chondromesenchymal hamartoma (NCH).1,2 Chondro-osseous respiratory epithelial adenomatoid hamartoma (COREAH) of the nasal cavity is a very uncommon lesion with both epithelial and mesenchymal components, and may often appear sinister on imaging giving the suspicion of a neoplasm. Clinical symptoms may include recurrent sinus tract infections, nasal obstruction, headaches, midfacial pain, hyposmia, hypogeusia and epistaxis. The age range mentioned in literature is usually between 7 to 80 years old with equal presentation between the two sexes. Differential diagnosis includesnasal polyps, inverted papilloma and adenocarcinoma1,3

Histologically COREAH of the nasal cavity is characterized by features of a respiratory epithelial adenomatoid hamartoma (REAH) with elements of cartilaginous tissue and /or bony trabeculae. The adenoid components in COREAH tend to be less prominent compaired to REAH whilst immunohistochemistry isunremarkable.1,2

A literature review until now, has unveiled 8 cases of COREAH of the nasal cavity3-9 two of which are from the same institution.3

Case report

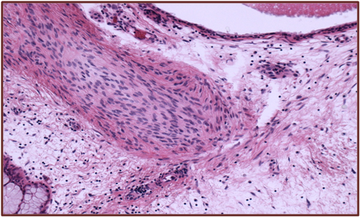
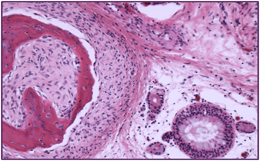
A 66 year old woman presented to the department of otolaryngology with complains of chronic headaches, rightnasal obstruction, and midfacial pain with a duration of 3 years. Clinical examination with a rigid endoscope revealed a polypoidal mass like structure in the right nasal cavity, extending from the middle turbinate to the posterior nasal space. CT and MRI depicted a soft tissue mass with calcification developing in the right nasal cavity, with no signs of bone erosion. The mass had a cephalocaudal diameter of 5 cm and a maximum anterior-posterior diameter of 3 cm extending from the level of the middle and superior turbinate back to the nasopharynx occluding partly the sphenoid sinus ostium. The maxillary and frontal sinuses were unremarkable. The patient underwent functional endoscopic sinus surgery with complete tumor resection. During surgery a small specimen was sent for frozen biopsy histopathological examination in order to exclude evidence of malignancy. Postoperative course was uneventful. The submitted specimen had a smooth hard surface with small irregular fragments of soft and bony tissue. Microscopic evaluation revealed an epithelial component consisting of islands of respiratory type epithelium with polypoid configuration forming invaginations into the subepithelial loose fibrovascular myxoid stromaadmixed with areas of immature fibrocartilaginous and bony tissue. No atypia or mitoses were observed or signs of infiltrative growth, excluding malignancy (Figure1 & 2).

Figure 1 Polypoid configuration Respiratory type epithelium with invaginations into the lamina propria Cystic dilated spaces lined by mucus-secreting cells and hyperplastic seromucinous glands.

Figure 2 Chondrofibromatous areas.

Discussion

Hamartoma is defined as a mass-forming aberrant organization of specialized cellular components indigenous to a particular body site. It does not clearly represent a neoplastic or an inflammatory process or have the capacity for continuous unimpeded growth. Hamartomas of the head and neck and specifically of the sinonasal tract are very uncommon. They are benign hamartomatous proliferation of respiratory epithelium, submucosal glands and chondroosseous mesenchyme. REAH and COREAH are examples of hamartomas that include both epithelial and mesenchymal elements. They do not clearly display histological features revealing aggressive or neoplastic biological behavior or any inflammatory reaction and usually tend to grow in the posterior nasal cavity. Despite their benign characteristics they may grow up to large sizes causing clinical problems. Symptoms include headache, nasal obstruction, chronic sinusitis, rhinorea, hyposmia.1,6,9,10 Local resection through endoscopic sinus surgery is recommended if the lesion is restricted to the nasal cavity and if removed completely, rarely do they recur. Adjuvant therapy is unnecessary due to the benign features of the tumor.4,5,7,9It is really important to separate COREAH from other nasal cavity neoplasms such glandular hamartomas, inflammatory polyps, inverted papillomas, and low-grade sinonasal adenocarcinoma, fact of paramount importance due to clinical similarities with aggressive tumors.1 COREAH can be differentiated from inflammatory polyps by the fact that the latter have an edematous stroma. On the other hand, inverted papillomas are more locally aggressive, commonly involved in the lateral nasal wall and have a tendency for recurrence and malignant transformation. COREAH may mimic histologically low grade sinonasal carcinoma and must be differentiated from adenocarcinoma of the nasal cavity by the presence of mitotic activity, nuclear atypia and desmoplasia, in the latter.1,2,3,9

Conclusion

Therefore clinicians and pathologists must be aware of this entity even though it is very rare, in order to exclude other malignancies and to avoid unnecessary surgical overtreatment. This is a very rare benign tumor and only 8 cases worldwide have been described up until now.

Acknowledgments

None.

Conflicts of interest

The authors declare no conflicts of interest.

References

  1. Wenig BM. Recently described sinonasal tract lesions/neoplasms: considerations for the new World Health Organization Book. Head and Neck Pathol. 2014;8(1):33–41.
  2. Bullock MJ. Low grade epithelial proliferations of the sinonasal tract. Head and Neck Pathol. 2016;10(1):47–59.
  3. Beattie M, Ito C, Ridley M. Chondro-osseous respiratory epithelial adenomatoid hamartoma of the sinonasal cavity: two cases from a single institution. 2017.
  4. Flavin R, Russel J, Phelan E, et al. Chondro-osseous respiratory epithelial adenomatoid hamartoma of the nasal cavity: a case report. International Journal of Pediatric Otorhinolaryngology. 2005;69:87–91.
  5. Nomura K, Oshima T, Maki A, et al. Recurrent chondro-osseous respiratoryepithelial adenomatoid hamartoma of the nasal cavity in a child. Ear Nose Throat J. 2014;93(1):E29–31.
  6. Fedda F, Boulos F, Sabri A. Chondro-osseous respiratory epithelial adenomatoid hamartoma of the nasal cavity. Int Arch Otorhinolaryngology. 2013;17(2):218–221.
  7. Fang G, Wang C, Piao Y, et al. Chondro-osseous respiratory epithelial adenomatoid hamartoma of the nasal cavity. Pediatr Int. 2016;58(3):229–231.
  8. Peric A, Vukomanovic Durdevic B, Stanojevic I. Middle turbinate chondro-osseous respiratory epithelial adenomatoid hamartoma. B-ENT. 2015;11(3):239–43.
  9. Idris Al Ramli RR, Sachlin IS. Chondro-osseous respiratory epithelial adenomatoid hamartoma (COREAH): A rare entity of nasal mass. Bangladesh Journal of Medical Science. 2018;17(3);489.
  10. Fitzhugh VA, Mirani N. Respiratory epithelial Adenomatoid Hamartoma: A review. Head and Neck Pathol. 2008;2(3):203–208.
Creative Commons Attribution License

©2019 Nikolopoulos, et al. This is an open access article distributed under the terms of the, which permits unrestricted use, distribution, and build upon your work non-commercially.