Submit manuscript...
Journal of
eISSN: 2379-6359

Otolaryngology-ENT Research

Research Article Volume 11 Issue 3

Endoscopic management of intranasal meningoceles and meningoencephaloceles

Carlos S Ruggeri, Ana Laura Cajelli, Agustín Martínez Font

Department of Otolaryngology, Hospital Italiano de Buenos Aires, Argentina

Correspondence: Carlos Santiago Ruggeri MD, Department of Otolaryngology, Chief of Rhinology division, Hospital Italiano de Buenos Aires-Gascón 450, CP1181, CABA, Argentina

Received: May 28, 2019 | Published: June 12, 2019

Citation: Ruggeri CS Cajelli AL, Font AM, et al. Endoscopic management of intranasal meningoceles and meningoencephaloceles. J Otolaryngol ENT Res.2019;11(3):175-179. DOI: 10.15406/joentr.2019.11.00430

Download PDF

Abstract

Objective: Determine the efficacy of the anterior skull base reconstruction in adult patients with intranasal meningoceles and meningoencephaloceles treated by endoscopic endonasal approach.

Study design: Retrospective observational study of adult patients admitted to a tertiary hospital.

Materials and methods: Intranasal meningocele was defined as a protrusion of meninges through a defect in the skull base forming a cyst filled with cerebrospinal fluid in the nasal cavity or paranasal sinuses. If the cyst had brain tissue it was called meningoencephalocele. The electronic clinical records of patients admitted with suspected of intranasal MC or MEC between January 2010 and December 2018 were reviewed. All patients treated by endoscopic endonasal approach were included. We excluded those cases with anterior skull base previous surgeries (iatrogenic or following tumoral resections), reconstruction with external surgical approaches and those who were less than 18 years old.

Results: Intranasal MC was the most frequent lesion (6/5) and there was one patient with MEC (1/6). 5 cases were idiopathic and one patient had history of transnasal surgery. A total of 83,3% of the cases were primary surgeries and one patient had 3 prior MC surgeries. Only in four of them (66,6%) the lesion location was detected by at least one of the studies (CT, MRI and/or endoscopy). We performed a multilayer closure technique in all patients. During the immediate postoperative period, one patient had acute meningitis. One patient had a CSF leak recurrence 4 months after surgery. The success rate of the reconstructions performed by endonasal approach was 83.33% (5/6). The average follow-up of the patients was 15 months.

Conclusion: The effectiveness of the anterior skull base reconstruction in adult patients with meningoceles and meningoencephaloceles performed by endoscopic endonasal approach in our series was 83.33% (5/6). This procedure is currently the gold standard due to its high efficacy and low morbidity. According to current studies, it is recommended to perform the reconstruction with a multilayer technique.

Keywords: skull base, meningocele, meningoencephalocele, endoscopic, surgery

Introduction

Meningocele (MC) and meningoencephalocele (MEC) are protrusion of meninges through a defect in the skull base forming a cyst filled with cerebrospinal fluid in the nasal cavity or paranasal sinuses. They may have only liquid content (cerebrospinal fluid) or brain tissue. The brain tissue inside is usually not functional. The skull base defect can be either congenital or acquired (intracranial hypertension, trauma, surgery, expansive tumors, etc.). If there is no bone defect, with heterotopic brain tissue, it is called glioma. The incidence of congenital MC is 1 per 3,000-10,000 newborns. The underlying mechanism may be defects of the neural tube caused by genetic alterations (approximately 10% of the cases). Treatment of these lesions is based on repairing the bone defect in order to avoid the risk of meningitis. There are different approaches to treat MC or MEC. The endoscopic endonasal approach with multilayer technique is preferred because of its low morbidity and high success rate.

Study design

Retrospective observational study of adult patients admitted to a tertiary hospital.

Objective

To determine the efficacy of the anterior skull base reconstruction in adult patients with intranasal meningoceles and meningoencephaloceles treated by endoscopic endonasal approach.

Materials and methods

Intranasal meningocele was defined as a protrusion of meninges through a defect in the skull base forming a cyst filled with cerebrospinal fluid in the nasal cavity or paranasal sinuses. If the cyst had brain tissue it was called meningoencephalocele. The electronic clinical records of patients admitted with suspected of intranasal MC or MEC between January 2010 and December 2018 were reviewed. The inclusion criteria were age >18 years, treated by endoscopic endonasal approach. We excluded those cases with anterior skull base previous surgeries (iatrogenic or following tumoral resections), those who had previous reconstructions with external surgical approaches. The electronic clinical histories were reviewed. Demographic data and clinical characteristics were obtained. Data were retrieved by 2 independent operators and reviewed by the principal investigator in order to detect erroneous values and missing information. The specific data recorded were age, sex and preexisting baseline comorbidities. We retrospectively analyzed and compared medical records of patients diagnosed with intranasal MEC and MC. A total of 6 patients were diagnosed with intranasal MC and 1 patient with MEC. We excluded 1 female patient with an ethmoidal MC and history of previous rhinoseptoplasty 7 years earlier who had suffered recurrent meningitis that refused treatment. A total of 6 patients were included, four were women and two men, the average age was 52 years old. In all cases we studied them by nasal endoscopy, CT Scan and MRI.

Surgeries were performed under general anesthesia. The endonasal approach varied according to the location of the lesion. Whenever was possible, the defect´s surrounding bone tissue was exposed by resecting the surrounding mucosa to prepare the surgical site for the graft or flap. In all of them a multilayer repair was made, using autologous grafts and/or flaps. Then a synthetic adhesive was placed, followed by Spongostán and an anterior nasal packing, left in place for 6 days. All patients were admitted to the intensive or intermediate care unit for an average of 7 days and received antibiotic prophylaxis treatment until nasal packing was removed.

Results

//

Intranasal MC was the most frequent lesion (6/5) and there was one patient with MEC (1/6). Five cases were idiopathic and one patient had history of transnasal surgery for a tumor of the sellar region and sphenoid plane 15 days before. 83,3% of the cases were primary surgeries and one patient had 3 prior MC surgeries. In 2 cases the MC was located in the sphenoid lateral wall (Figures 1A-B), one was located in the sphenoid roof (Figure 2), 2 in the cribriform plate and one patient, with MEC diagnosis, had it located in the frontal sinus. 66,6% had anterior rhinorrhoea (4/6) (Table 1). All patients were studied before surgery, only in four of them (66,6%) the lesion location was detected by at least one of the studies (CT, MRI and/or endoscopy). For one patient with MC of the lateral sphenoid wall intrathecal fluorescein was used prior to surgery (10cc of CSF were extracted by lumbar puncture and mixed with 0.2ml of 5% fluorescein, then 1ml per minute was delivered by intrathecal injection. We performed a multilayer closure technique in all patients (Figures 3A-C). In 4 cases we used autologous fat with mucoperichondrium (Figures 4A-B) and (Figures 5A-C) and in 2 cases autologous cartilage with mucoperichondrium. We used an intranasal transpterygoid approach for one case of lateral sphenoid wall mucocele, a Draf III technique in une case of frontal sinus MEC (Figures 6A-E). During the immediate postoperative period, one patient had acute meningitis that resolved with intravenous empirical antibiotics. One patient had a CSF leak recurrence 4 months after surgery. He was treated by external approach and had no relapse. No complications during postoperative follow up. The success rate of the reconstructions performed by endonasal approach was 83.33% (5/6). The average follow-up of the patients was 15 months.

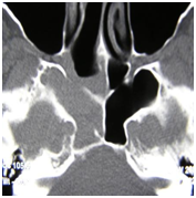
Figure 1A-B Lateral Sphenoid wall MC (Sternberg canal) Enhaced CT Scan and MRI.

Figure 2 Sphenoid roof MC.

Figures 3A-C Lateral Sphenoid wall MC, multilayer closure technique.

Figure 4A Cribiform plate MC. B: Multilayer closure using autologous fat and mucoperiosteal lateral nasal wall flap.

Figure 5A Cribiform plate MC. B-C: Multilayer closure using autologous fat and mucoperiosteal middle turbinate flap.

Figure 6A-B Frontal Sinus MEC. C: DRAFIII Surgery. D: Herniated brain tissue bipolar cauterization. E: Multilayer reconstruction with autologous cartilage and nasoseptal flap.

Demographic Data and Clinical Characteristics

Male

4

Female

1

AGE1

52

Lesion2

MC

5

MEC

1

Location

Sphenoid

3

Crribiform plate

2

Frontal

1

1. mean age (Years old)-2 skull base defect

Table 1 Demographic data and clinical characteristics

Discussion

Meningoceles (MC) are protrusion of meninges through a defect in the skull base forming a cyst filled with cerebrospinal fluid in the nasal cavity or paranasal sinuses and it is called meningoencephalocele (MEC) when it has brain tissue content. These are infrequent lesions, with an incidence of approximately 1 in 35,000, and are usually located in the anterior cranial fossa.1 chronic. It may be congenital, as a result of a neural tube closure abnormality, or acquired, after previous trauma or surgeries. MC occur more frequently in middle-aged obese women, who also tend to have clinical symptoms and radiological signs of intracranial hypertension (IH). Among the radiological signs, there is a high incidence of empty sella going from 6% in the general population to 94% in patients with IH. Some of this patients don't have the typical symptoms of this entity, since there is an active leak of CSF, and they do not develop intracranial hypertension symptoms until their fistula has been repaired. This fact probably contributes to the failure of long-term surgical treatment and the recurrence rate of these patients. In our series, two female patients with sphenoid meningoceles were obese (body mass index> of 30), only one had an elevated intracranial pressure (IP). None of the patients in our series had signs or symptoms of intracranial hypertension. The most accepted theory to explain the development of MC establish its relation with intracranial hypertension secondary to a disorder of CSF reabsorption in arachnoid granulations. Persistent elevations and significant fluctuations in IP levels may cause the development of aberrant arachnoid granulations, which penetrate the dura but do not drain into any venous sinus. The pulsatility of CSF maintained over the years is able to reshape and erode the bone. Points of low resistance are more frequent in pneumatized areas of the skull base: cribriform plate, midline and lateral wall of the sphenoid sinus (particularly at a point called the craniopharyngeal or Sternberg canal), the sellar diaphragm, the tegmen timpany and the floor of the middle cranial fossa. The craniopharyngeal or Sternberg lateral canal is produced by the lack of fusion of the ossifying points of the sphenoid sinus (between the greater wings and the anterior sphenoid) during the embryonic period.2,3 This region, located posterolateral to the inferior wall of the sphenoid sinus, is covered only by connective tissue, being the area of ​​least resistance of the skull base. This canal was described by Sternberg in 1888 for the first time 2 and is present until 3-4 years of age.4 It is estimated that 0.1% to 4% of adults have persistence of this canal.4 In our series, three patients had MC in the sphenoid sinus: one in the midline and two in the lateral wall.

Evaluation in this patients should always be with CT and contrast enhanced MRI to assess the content of the cyst and its possible vascularization. Patients with these pathologies have a higher risk of meningitis, especially if there is an active CSF fistula. A CSF fistula resolves spontaneously within the first 5 days after trauma in 80 to 90% of patients.5 However, the spontaneous cessation does not guarantee that the dural tear is completely sealed, leading to recurrent rhinorrhea and deferred intracranial infections.6 This may be due to local clots, lacerated mucosa, and/or inflammatory tissue on the dura or brain tissue herniation. Besides, the dura does not regenerate. In a long-term study of 160 cases of posttraumatic CSF leak, the reported risk of meningitis before surgical treatment was 30.6% and the cumulative risk 1.3% per day in the first two weeks, 7, 4% per week in the first month and up to 85% after 10 years of follow-up. After surgical treatment, the risk of meningitis during the subsequent 10 years was reduced from 85% to 7%.6

The main objective of the treatment of MC and MEC is the closure of the defect in the skull base to reduce risk of intracranial infections.1,7 Compared with the external approach, it is currently considered that endoscopic endonasal techniques are the best options to treat intranasal or sinus MC and MEC, cause these are less invasive techniques and for its high effectiveness.8 The first step of the surgery is to expose the sac of the lesion, and to resect the underlying mucosa of the bone peripheral to the MC. If the content has brain tissue it should be reduced with bipolar electrocautery, since when it goes through a narrow hole, the brain tissue may be non-functioning. If they are sessile and their implantation base is broad, the brain content may be functional. In order to achieve better outcomes, a multilayered reconstruction, placing a graft between the skull base bone and the meninx to then cover it with a nasal mucoperiosteal free graft or with a local pedicled flap. In cases of MEC of the sphenoid lateral wall, some authors suggest to place overlay grafts (covering the defect above the margins of the exposed bone), because they consider it less invasive, having less possibilities of altering the sensitivity of the underlying temporal lobe.9 Abdominal fat can be used to seal the defect in the intradural space («bath-plug technique») before the placement of the mucosa graft.10 All the reconstructions in our study were performed with a multilayer technique. The autologous grafts used were septal cartilage, rectus abdominis muscle´s fascia, mucoperiosteum of the inferior turbinate and fat.

Martinez Arias and Manuel Bernal-Sprekelsen reviewed the literature and found, between the year 2000 and 2014, 87 cases of MEC of the lateral wall of the sphenoid sinus treated with endoscopic surgery.The persistence of cerebrospinal fluid fistula was described in 6 cases. The 6 cases were repaired with complete resolution of the fistula. The repair of the skull base failed twice in only one case of our series (lateral sphenoid MC treated by endoscopic transpterygoid/transsphenoidal approach). Only 2 studies used a lumbar drainage from the time of surgery until 2 to 4 days postoperatively, despite the fact that there was no known high intracranial pressure.11 Castelnuovo et al,.12 prefered not to place lumbar drainage, considering that the persistence of some pressure at the level of the fistula is useful for the coaptation of the "underlay" graft to the bone defect, without leaving dead spaces. Experimental studies have shown that the graft becomes incorporated into the dura after one week. It is essential that with any surgical reconstruction technique used, stability of the graft or flap is ensured for the first 7 days. The displacement of the graft is one of the most frequent causes of procedure failure.

Conclusion

The effectiveness of the anterior skull base reconstruction in adult patients with meningoceles and meningoencephaloceles performed by endoscopic endonasal approach in our series was 83.33% (5/6). This procedure is currently the gold standard due to its high efficacy and low morbidity. According to current studies, it is recommended to perform the reconstruction with a multilayer technique.

Acknowledgments

None.

Conflicts of interest

We declare there is no financial interest or any conflict of interest.

References

  1. Lai SY, Kennedy DW, Bolger WE. Sphenoid encephaloceles: disease management and identification of lesions within the lateral recess of the sphenoid sinus. Laryngoscope. 2002;112(10):1800–1805.
  2. Al Nashar I, Carrau R, Herrera A, et al. Endoscopic transnasal transpterygopalatine fossa approach to the lateral recess of the sphenoid sinus. Laryngoscope. 2004;114(3):528–32.      
  3. Sternberg M. Ein bisher beschriebener Kanal im Keilbein des Menschen. Anat Anz. 1888;23:784–786.
  4. Schick Β, Brors D, Prescher A. Sternberg's canal - cause of congenital sphenoidal meningocele. Eur Arch Otorhinolaringol. 2000; 257(8):430–432.           
  5. Griffith HB. CSF fistula and surgeon. Br J Neurosurg. 1990;4(5):369–371.
  6. Eljamel MS, Pidgeon CN, Toland J. MRI cisternography and the localization of CSF fistulae. Br J Neurosurg. 1994;8(4):433–437.
  7. Castelnuovo P, Dallan I, Pistochini A, et al. Endonasal endoscopic repair of Sternberg’s canal cerebrospinal fluid leaks. Laryngoscope. 2007;117(2):345–349.
  8. Alobid I, Enseñat J, Rioja E, et al. Management of cerebrospinal fluid leaks depends on its size. Our experience. Acta Otorrinolaringol Esp. 2014.
  9. Tomazic PV, Stammberger H. Spontaneous CSF- leaks and meningoencephaloceles in sphenoid sinus by persisting Sternberg’s canal. Rhinology. 2009;47:369–374.
  10. Pasquini E, Sciarretta V, Farneti G, et al. Endoscopic treatment of encephaloceles of the lateral wall of the sphenoid sinus. Minim Invasive Neurosurg. 2004;47(4):209–213.
  11. Martínez Arias A, Bernal Sprekelsen M, Rioja E, et al. Abordaje endoscópico transpterigoideo y reparación de base de cráneo tras resección de meningoencefalocele esfenoidal. Nuestra experiencia. Acta Otorrinolaringológica Española. 2015;66(1):1–7.
  12. Castelnuovo P, Dallan I, Pistochini A, et al. Endonasal endoscopic repair of Sternberg’s canal cerebrospinal fluid leaks. Laryngoscope. 2007;117(2):345–349.
Creative Commons Attribution License

©2019 Ruggeri, et al. This is an open access article distributed under the terms of the, which permits unrestricted use, distribution, and build upon your work non-commercially.