Submit manuscript...
Journal of
eISSN: 2379-6359

Otolaryngology-ENT Research

Research Article Volume 15 Issue 1

Evaluation of MRI and transnasal endoscopic surgery for the diagnosis of perineural tumor spread to the skull base

Miguel Soares Tepedino,1 Camila Alves Costa Silva,2 Raíssa de Figueiredo Neves,3 Andrea S D Costacurta,4 Mariana Mafra Junqueira,5 Daniel Herchenhorn,6 Fernando L Dias7

1Associate professor and coordinator, Rhinology and Skull Base Group, Division of Clinical Otorhinolaryngology, Hospital Universitário Pedro Ernesto – UERJ Head of Otorhinolaryngology, Policlínica de Botafogo, Brazil
2Department of Otorhinolaryngology, Policlínica de Botafogo, Brazil
3Rhinology and Skull Base Fellow, Department of Otorhinolaryngology, Policlínica de Botafogo, Brazil
4Neuroradiologist, Grupo Fleury and Rede D'Or São Luiz, Brazil
5Anesthesiologist and pain management specialist, Chief Scientific Officer, Clínica São Vicente - Rede D’Or São Luiz, Brazil
6Instituto D’Or de Ensino e Pesquisa, Brazil
7Chief of Head and Neck Surgery, Brazilian National Cancer Institute, Department of Head and Neck Surgery, Graduate School of Medicine, Pontificia Universidade Católica do Rio de Janeiro, Brazil

Correspondence: Miguel Soares Tepedino, Associate professor and coordinator, Rhinology and Skull Base Group, Division of Clinical Otorhinolaryngology, Hospital Universitário Pedro Ernesto – UERJ Head of Otorhinolaryngology, Policlínica de Botafogo, Av. Pasteur, 72, Botafogo, Rio de Janeiro, RJ 22290-240, Brazil, Tel +55 (21) 2543-1909

Received: December 23, 2022 | Published: January 11, 2023

Citation: Tepedino MS, Silva CAC, Neves RF, et al. Evaluation of MRI and transnasal endoscopic surgery for the diagnosis of perineural tumor spread to the skull base. J Otolaryngol ENT Res. 2023;15(1):7-11. DOI: 10.15406/joentr.2023.15.00518

Download PDF

Abstract

Introduction: Magnetic resonance imaging (MRI) provides information about tumor size and extension, infiltration of major blood vessels and nerves, early bone-marrow infiltration, and lymph node involvement. Transnasal endoscopic approaches are an integral part of the therapeutic arsenal developed to address malignant sinonasal and skull-base neoplasms.

Objective: To analyze the use of magnetic resonance imaging in the diagnosis of perineural tumor spread involving the skull base region.

Methods: We describe two cases of patients who presented with primary squamous cell carcinoma in the malar region and suspected perineural spread to the skull base on MRI. One frozen cadaver head, were dissected to expose the trigeminal nerve and it branches.

Results: MRI showed evidence of perineural spread to the skull base, which was confirmed histopathologically after endoscopic transnasal biopsy.

Conclusion: MRI plays an important role in the diagnosis of perineural spread of tumors originating in the nose and skull base. In the two cases reported herein, the diagnostic suspicion raised by MRI was confirmed by histopathological examination. Endoscopic transnasal skull base surgery proved to be an important tool for diagnostic confirmation, with low procedure-associated morbidity. The presence of perineural spread changes the staging and, consequently, the prognosis and treatment of these tumors. Thus, its active search should be encouraged to improve diagnosis and help ensure appropriate treatment.

Keywords: endoscopic surgery, magnetic resonance imaging, perineural tumor, bone-marrow infiltration

Introduction

Magnetic resonance imaging (MRI) is the imaging modality that provides the best image quality for soft tissues, with greater tissue discrimination ability compared to other methods and the advantage of not exposing the patient to ionizing radiation. MRI provides information about tumor size and extension, infiltration of major blood vessels and nerves, early bone-marrow infiltration, and lymph node involvement.1

In most of the published literature, perineural spread of a tumor refers to the migration of tumor cells along nerve tissues.2,3 However, the term “perineural spread” is often misinterpreted and can give rise to confusion, since invasion of a peripheral or major nerve as an incidental radiological or histopathological finding can be interpreted as an indicator of poor prognosis. It is essential that clinicians understand the various forms in which this phenomenon manifests and how to best interpret it.4

Perineural invasion (PNI) occurs when neoplastic cells reach the perineural space of a peripheral nerve. This manifestation is usually represented by the incidental (microscopic) finding of nerve invasion on histopathological examination. If the neoplasm spreads along the perineural space to other areas away from the primary (original) tumor, this is known as perineural spread (PNS). Occasionally, at this stage of the disease, clinical manifestations such as paresthesia or palsies of the affected nerves may be observed; spread through the perineural space may be identified by imaging (preferably MRI) and will invariably be associated with a worse prognosis (BP1).4

Imaging modalities are essential in locating tumor spread, as these factors cannot be evaluated by the surgeon during clinical examination.5

Transnasal endoscopic approaches are an integral part of the therapeutic arsenal developed to address malignant sinonasal and skull-base neoplasms. In selected cases, this approach produces similar oncologic outcomes with lower morbidity than traditional open approaches.6

The present study sought to analyze the use of magnetic resonance imaging in the diagnosis of perineural tumor spread involving the skull base region. Given the dearth of publications on this topic, we describe the ability of this method to allow preoperative diagnosis of perineural spread and map the extent of disease in patients with squamous cell carcinoma.

Methods

Two cases of patients who presented with evidence of perineural tumor spread to the skull base on MRI were selected. The subsequent histopathological confirmation after biopsy was performed via the transnasal endoscopic approach. Both cases were evaluated by the same radiologists and surgeons.

Results

Case 1

A 63-year-old male presented with paresthesia in the maxillary region and convergent strabismus with a progressive course (1 year). He reported a history of resection of squamous cell carcinoma (SCC) in the malar region with right infraorbital spread 6 years before.

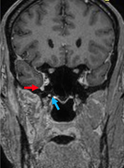
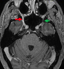
The imaging workup included MRI of the paranasal sinuses and brain, which showed a lesion in the right cavernous sinus with enhancement in the path of the right maxillary (V2), vidian, and mandibular (V3) nerves, consistent with perineural tumor spread (Figure 1) (Figure 2).

Figure 1 Magnetic resonance imaging, T1-weighted sequence with fat suppression. Coronal slices showing anomalous contrast enhancement in the foramen rotundum (red arrow) and pterygoid canal (blue arrow).

Figure 2 Magnetic resonance imaging, T1-weighted sequence with fat suppression. Axial slices showing anomalous contrast enhancement in the right foramen rotundum (red arrow), normal on the left (green).

Transnasal endoscopic surgery was performed to attempt biopsy of the cranial nerves with suspected involvement. Complete resection of the lesion was ruled out due to involvement of the cavernous sinus and because there was no histopathological diagnostic confirmation. Initially, a maxillary antrostomy was performed, followed by a post-lacrimal maxillectomy for expanded access to the floor and medial wall of the nasal cavity. The posterior wall of the maxillary sinus was then removed to expose the pterygopalatine fossa. An incisional biopsy was performed in the neurovascular structures covering the palatine bone, with the infraorbital nerve as the lateral limit. Then, the sphenoid sinus was opened and dissected down to the floor, exposing the vidian nerve (Figures 3A and 3B). On the lateral wall, the foramen rotundum was opened to expose CN V2 (Figures 3C and 3D). All specimens were sent for frozen sections, which revealed carcinomatous infiltration of nerve fibers, conclusively demonstrating perineural tumor spread. Postoperative treatment consisted of radiation therapy alone.

Figure 3 Transnasal exposure (zero-degree endoscope) of pterygopalatine fossa and sphenoid sinus on the right. A: Identification of the foramen rotundum and pterygoid foramen after partial resection of the structures of the pterygopalatine fossa; B: vidian nerve resection; C and D: opening of the foramen rotundum and exposure and undermining of the maxillary nerve up to the cavernous sinus.

Case 2

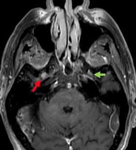
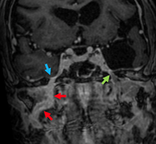
An 85-year-old male presented with a 6-month history of right hemifacial pain radiating to the ipsilateral ear, concomitantly with the onset of a skin lesion in the right malar region. He reported biopsy of a lesion in the same region 3 years ago, with local recurrence after 1 year, both resected with clear margins and a histopathological diagnosis of squamous cell carcinoma. MRI of the paranasal sinuses and brain showed a lesion consistent with tumor infiltration involving the infratemporal segment of the third branch of the right trigeminal nerve, extending to the foramen ovale and ipsilateral trigeminal cave, which was compressed (Figure 4) (Figure 5).

Figure 4 Magnetic resonance imaging, T1-weighted sequence with fat suppression. Coronal slices showing thickening and contrast enhancement in the right mandibular nerve (CN V3) at the level of the foramen ovale (blue arrow) and as it courses infratemporally within the masticator space (red arrow). The green arrow points to the normal contralateral foramen ovale for comparison purposes.

Figure 5 Magnetic resonance imaging, T1-weighted sequence with fat suppression. Axial slices showing anomalous contrast enhancement in the right foramen ovale (red arrow) when compared to the contralateral foramen (green arrow), consistent with involvement of the mandibular nerve (CN V3).

He underwent combined surgery for resection of the skin lesion, with clear margins on frozen section, and transnasal endoscopy for V3 nerve biopsy. At this stage, a post-lacrimal maxillectomy was performed with resection of the body of the right inferior turbinate down to the floor of the nasal cavity, thus providing better exposure of the posterior wall of the right maxillary sinus. A window was made into the posterior wall of the maxillary sinus, removing part of the underlying bone and periosteum to expose the structures of the pterygopalatine fossa. With the aid of the bipolar electrocautery and microdissection instruments, the relevant neurovascular structures (such as the pterygopalatine ganglion, foramen rotundum, internal maxillary artery and its branches) were isolated. This was followed by cauterization of the internal maxillary artery for hemostasis and better visualization of the operative field. The greater wing of the sphenoid was identified and dissected in the subperiosteal plane until the foramen ovale and CN V3 were visible (Figure 6). Finally, with the aid of grasping forceps, a biopsy of CN V3 was performed. Frozen sections identified carcinoma infiltrating nervous tissue. The final histopathological diagnosis was poorly differentiated squamous cell carcinoma.

Figure 6 Transnasal exposure (zero-degree endoscope) of the foramen ovale after dissection of the greater wing of the sphenoid on the right.

In this case, due to the very extensive perineural spread and recurrent disease, radiation therapy was not indicated; instead, intravenous immunotherapy (cemiplimab) was initiated, as the currently recommended first-line treatment for unresectable cutaneous squamous cell carcinoma.7

In both cases, a comprehensive imaging workup including chest CT and FDG-PET showed no other sites of recurrence, with perineural spread being the only evidence of disease.

Discussion

Magnetic resonance imaging is the leading method in the evaluation of perineural spread of skull base tumors. As it does not expose the patient to ionizing radiation, it is a safe and important imaging modality both for disease detection and for later follow-up.8 Both cases reported herein had perineural spread of primary skin neoplasms, first demonstrated on MRI, with subsequent histological confirmation by nerve biopsy performed through transnasal endoscopic surgery. The final histopathological diagnosis was squamous cell carcinoma. Due to advances in surgical techniques, and the evolution of endoscopic endonasal surgery in particular, tumors that extend through the base of the skull which were previously considered incurable can now be approached surgically.6

Perineural tumor spread has a negative impact on prognosis, requiring more extensive surgical resection in some cases.9 It is an important parameter that should be evaluated in the staging of patients with head and neck cancer, but it is still largely neglected in radiological evaluation. More in-depth training in techniques for evaluation of perineural spread is paramount in order to increase the detection of this phenomenon.3

According to the American Joint Committee on Cancer (AJCC) tumor classification and staging manual, all nonmelanoma skin cancers with perineural spread (PNS) are staged as T4, regardless of the primary location of the tumor or its extension along the nerve structure. Likewise, despite T4 staging of the primary tumor, perineural invasion of the skull base is defined as involvement of any nerve structures in proximity to the skull base. Therefore, nerve involvement in so-called zones 2 and 3 (zone 1 is not included) implies involvement of skull-base structures, with all the therapeutic and prognostic implications this carries (Table 1).10

Tx

• Primary tumor cannot be assessed

T0

• No evidence of primary tumor

Tis

• Carcinoma in situ

TI

• Tumor 2 cm or less in greatest dimension with less than two high-risk features

o >2 mm thick, Clark level≥IV, perineural invasion, primary site car or non-hair bearing lip.,
poorly differentiated or undifferentiated.

T2

• Tumor >2 cm in greatest dimension OR

• Tumor any size and two or more high-risk features

T3

• Tumor with invasion of maxilla, mandible, orbit or temporal bone

T4

• Tumor with invasion of skeleton (axial or appendicular)

PNI

• Clinical PNI Imaging zone I

o VI (ophthalmic nerve) to the superior orbital fissure; V2 (infraorbital nerve) to the external
aperture of the foramen rotundum; V3 (mandibular nerve) to the external aperture of the foramen
ovale; VII (facial nerve) to the extemal aperture of the stylomastoid foramen.

PN2

• Clinical PNI Imaging zone 2

o Zone 2: VI, V2, V3: from Zone l to the Gasserian ganglion cistern; VII: from Zone 1 up to
the lateral end of the internal auditory canal, including the geniculate ganglion and the labyrinthine
segment.

PN3

• Clinical PNI Imaging zone 3

o Zone 3: All nerves: proximal to the ganglion, into the cisterns, or into the brain stem.

Table 1 Suggested staging of primary cutaneous malignancy and perineural invasion (adapted from AJCC 7th Edition). For nodal and metastasis staging, see AJCC criteria. (AJCC)

In a systematic review by Pritesh et al., patients with cutaneous squamous cell carcinoma and PNI, whether identified radiologically or with clinical symptoms, were at increased risk of local recurrence and disease-specific death compared with patients with cutaneous squamous cell carcinoma who were diagnosed incidentally with PNI, with a 30% risk of death. Patients with perineural spread may benefit from increased long-term surveillance, but there is no recommended follow-up protocol. The authors concluded that further studies are needed to establish standardized guidelines for dermatological follow-up and surveillance in this high-risk patient population.11

The main findings that suggest perineural spread are thickening and contrast enhancement of the nerves, as well as of the foramina or canals through which the affected nerves pass, with consequent obliteration of fat planes. Secondary findings such as muscle atrophy due to denervation are also red flags.3 Focal or linear contrast uptake along CN V2, the foramen ovale, or trigeminal cave should raise suspicion of perineural spread. The cranial nerves most commonly affected by perineural spread are the trigeminal and facial nerves. The Meckel”s cave in the left side was dissected to expose anatomically the most common site of perineural spread (Figure 7). The risk of perineural spread increases with tumor location, male gender, tumor growth, recurrence after treatment, and poor histological differentiation.12–14 Clinically, it is a challenging diagnosis, because approximately 40% of patients with perineural spread are asymptomatic. When present, the most common signs and symptoms are pain, paresthesia, and motor weakness.3

Figure 7 Transnasal dissection (zero-degree endoscope) of the Meckle’s cave in the left side. Trigeminal nerve, route of the perineural spread in the skull base.

Lee et al. conducted a study of 38 patients who presented with histopathological evidence of perineural spread from head and neck cancer. Of these, only 13.1% had evidence of PNS mentioned in the radiological report. A retrospective assessment of the same cases revealed signs of PNS in 78.9%.3

Nemzek et al carried out a study with 19 patients which aimed to determine the accuracy of MRI to detect the spread of head and neck tumors. In this study, MRI correctly identified the presence of perineural spread in all but one case, for a sensitivity of 95%.15

Hanna et al evaluated the sensitivity and specificity of CT and MRI in detecting perineural spread of head and neck adenoid cystic carcinoma to the skull base in 26 patients. The sensitivity and specificity of CT in determining perineural spread in this study were 88% and 89%, respectively. MRI had a sensitivity and specificity of 100% and 85%, respectively.16

Parker et al, in a study of 52 patients, found that perineural spread was most commonly observed in head and neck squamous cell carcinoma, followed by adenoid cystic carcinoma, non-Hodgkin lymphoma, malignant schwannoma, minor salivary gland malignancies, and sarcomas. In their study, both high-resolution CT and MRI clearly showed perineural spread to the skull base, with MRI more effective in showing perineural tumor infiltration in the skull base and brainstem.8

Primary nasopharyngeal tumors may infiltrate the maxillary nerve and pterygopalatine fossa through the palatine nerves. Cutaneous carcinomas and desmoplastic melanomas can arise on the malar surface, adjacent to the nose or upper lip, which explains the increased risk of tumor cells spreading through the maxillary nerve.9,17 Both cases reported herein had squamous cell carcinoma in the malar region, highlighting the importance of the location of the primary lesion in raising suspicion of perineural spread.

Conclusion

MRI plays an important role in the diagnosis of perineural spread of tumors originating in the nose and skull base. In the two cases reported herein, the diagnostic suspicion raised by MRI was confirmed by histopathological examination. Endoscopic transnasal skull base surgery proved to be an important tool for diagnostic confirmation, with low procedure-associated morbidity.

There is a dearth of literature on this topic, especially related to the histological subtype of squamous cell carcinoma. The presence of perineural spread changes the staging and, consequently, the prognosis and treatment of these tumors. Thus, its active search should be encouraged to improve diagnosis and help ensure appropriate treatment.

Acknowledgments

None.

Conflicts of interest

Authors declare no conflict of interests.

Funding

None.

References

  1. Lee Kj, Abemayor Elliot, Sayre James, et al. Determination of perineural invasion preoperatively on radiographic images. Otolaryngology Head Neck Surg. 2008;139(2):275–280.
  2. Fabio M Paes, Singer AD, Checkver AN. Perineural spread in head and neck malignancies: clinical significance and evaluation with 18F-FDG PET/CT. Radio Graphics. 2013;33(6):1717–1736.
  3. Silveira Moreira MC, Dos Santos AC, Cintra MB. Perineural spread of malignant head and neck tumors: review of the literature and analysis of cases treated at a teaching hospital. Radiol Bras. 2017;50(5):323–327.
  4. Compton CC ES. Cutaneous squamous cell carcinoma and other cutaneous carcinomas. AJCC Cancer Staging Manual. 7th edn. 2010:301–314.
  5. McKennan K, Hecht S, Donald P, et al. Perineural spread of head and neck tumors: how accurate is MR imaging?. AJNR Am J Neuroradiol. 1998;19(4):701–706.
  6. Pornthep Kasemsiri, Serrat Prevedello, Alan Otto. Endoscopic endonasal technique: treatment of paranasal and anterior skull base malignancies. Brazilian Journal of Otorhinolaryngology. 2013;79(6):760–779.
  7.  Catherine Liebig, Gustavo Ayala, Jonathan A Wilks. Perineural invasion in cancer: a review of the literature. Cancer. 2009;115(15):379–391..
  8. Harnsberger HR Parker GD. Clinical-radiologic issues in perineural tumor spread of malignant diseases of the extracranial head and neck. Radiographics. 1991;11(3):383–399.
  9.  Bothwell M, Odland PB, Piepkorn M. Evidence that the p75 neurotrophin receptor mediates perineural spread of desmoplastic melanoma. Journal of the American Academy of Dermatology. 1996;35(5 Pt 1):725–731.
  10. Benedict J Panizza. An overview of head and neck malignancy with perineural spread. Journal of neurological surgery B Skull base. 2016;77(2):81–85.
  11. Pritesh S Karia, Frederick C Morgan, Emily SR. Clinical and incidental perineural invasion of cutaneous squamous cell carcinoma: a systematic review and pooled analysis of outcomes. JAMA Dermatology. 2017;153(8):781–788.
  12. Michael RM, Danny Rischin, Chrysalyne D. Schmults blockade with cemiplimab in advanced cutaneous squamous-cell carcinoma. New England Journal of Medicine. 2018;379:341–451.
  13. William MM, Alfio Ferlito, Robert PT, et al. Cutaneous head and neck basal and squamous cell carcinomas with perineural invasion. Oral Oncol. 2012;48(10):918–922.
  14. Majoie CB, Hulsmans FJ, Verbeeten B, et al. Perineural tumor extension along the trigeminal nerve: magnetic resonance imaging findings. Eur J Radiol. 1997;24(3):191–205.
  15. Guimarães MD PC. Evaluation of sellar tumors through computerized tomography and magnetic resonance in a School Hospital. Ciência e Inovação em Saúde. 2020;1:55–61.
  16. Ehab Hanna, Emre Vural, Emmanuel Prokopakis, et al. The sensitivity and specificity of high-resolution imaging in evaluating perineural spread of adenoid cystic carcinoma to the skull base. Otolaryngology Head Neck Surg. 2007;133(6):541–545.
  17. Woodruff WW, Yeates AE, McLendon RE, et al. Perineural tumor extension to the cavernous sinus from superficial facial carcinoma: CT manifestations. Radiology. 1986;161(2):395–399.
Creative Commons Attribution License

©2023 Tepedino, et al. This is an open access article distributed under the terms of the, which permits unrestricted use, distribution, and build upon your work non-commercially.