Submit manuscript...
Journal of
eISSN: 2379-6359

Otolaryngology-ENT Research

Review Article Volume 2 Issue 2

Evidence based management of spontaneous internal jugular vein thrombosis: a literature review

Shakeel M,1 Keh SM,2 Kynaston J,1 McCluney N,1 Ah See KW1

1Department of Otolaryngology- Head & Neck Surgery, Aberdeen Royal Infirmary, Scotland
2Department of Otolaryngology- Head & Neck Surgery, Ninewells Hospital, Scotland

Correspondence: Shakeel M, Department of Otolaryngology- Head & Neck Surgery, Aberdeen Royal Infirmary, Ward 45, ARI, Aberdeen, AB25 2ZN, Scotland, Tel 00441224552100

Received: January 18, 2015 | Published: March 16, 2015

Citation: Shakeel M, Keh SM, Kynaston J, et al. Evidence based management of spontaneous internal jugular vein thrombosis: a literature review. J Otolaryngol ENT Res. 2015;2(2):79-58. DOI: 10.15406/joentr.2015.02.00019

Download PDF

Abstract

Internal Jugular Vein (IJV) thrombosis is a rare but potentially fatal condition. First described in 1912 as a complication of peritonsillar abscess it is now known to have a varied aetiology. The leading cause of IJV thrombosis is the use of the IJV for venous access and central venous catheterisation. We present a comprehensive literature review of idiopathic internal jugular vein thrombosis and also present our management experience of this rare condition in an otherwise healthy 60 year old woman.  The patient was admitted with a 5 day history of an enlarging right sided neck swelling that was initially associated with redness and pain. Clinically she was stable but there was a tender, soft, diffuse swelling along the length of the right sternomastoid muscle. The overlying skin was mildly erythematous. The ultrasound scan showed occlusive thrombosis of right IJV. Blood cultures, a chest x-ray and computed tomography of chest were all normal. The patient was put on warfarin for 6 months. All the subsequent investigations were normal. Or literature review shows that IJV thrombosis is an important differential diagnosis in a neck swelling. Along with various other factors, it can also occur as a complication of head and neck malignancy, and rarely can be its first manifestation. On other occasions a specific aetiology is never found. Multidisciplinary team approach is required to manage the patient efficiently and the patient needs to be investigated thoroughly to rule out a pathological cause of IJV thrombosis.

Keywords: internal jugular vein thrombosis, idiopathic, neck lump, management

Abbreviations

IJV, internal jugular vein; U/S, ultrasound scan; CXR, chest x-ray; CT, computed tomography; MRI, magnetic resonance imaging

Background

Internal Jugular Vein (IJV) thrombosis is a rare but potentially fatal condition. First described in 1912 as a complication of peritonsillar abscess1 it is now known to have a varied aetiology. The leading cause of IJV thrombosis is the use of the IJV for venous access2 and central venous catheterization. Other causes include oropharyngeal infection (Lemierre Syndrome), deep neck space infection and trauma. It can also occur as a complication of head and neck malignancy, and rarely can be the first manifestation of the disease. On other occasions a specific aetiology is never found.

Diagnosis of IJV thrombosis requires a high degree of clinical suspicion, and the use of appropriate investigations. Potentially serious complications can ensue and prompt appropriate management is imperative. We present a review of current literature on the subject that demonstrates several case reports but no universally accepted guidelines on its management. 

Methodology

Research question: The addressed research question was ‘management of spontaneous IJV

thrombosis’.

Eligibility criteria: The following eligibility criteria were imposed: (a) original studies; (b) clinical

studies; (c) case series; and (d) case reports. Letters to the editor and short commentaries were excluded. Articles which are not in English language were also excluded.

Search strategy: Studies which fulfilled the eligibility criteria were searched electronically between

1996 and October 2013 using the following keywords in different combinations: “internal jugular vein thrombosis”; “spontaneous”; “management”. MEDLINE, EMBASE, CINAHL and the Cochrane Controlled Clinical Trials Register databases were searched via OVID. MEDLINE was also searched using the Pubmed (National Library of Medicine, Bethesda, Maryland) interface. The three search themes were combined using the Boolean operator 'AND'. Furthermore, hand-searching of the reference lists of the potentially relevant original and review articles (that were found to be pertinent in the previous step) were searched.

Study selection

Two authors (MS and SK) independently applied the inclusion criteria to the potentially eligible articles, with disagreements resolved by discussion. The initial search yielded 52 articles. Scrutiny of the titles and abstracts of these studies reduced the number of articles to 22. The list of excluded studies and main reason for exclusion is shown in Figure 1.

Figure 1 Quorum flow diagram summarizing reasons for exclusion of studies.

Results

Fifteen articles were reviewed comprising of 21 patients in total. There were 3 case series comprising of 2 to 4 patients and the remaining 12 articles were case reports (Table 1).

Authors et al.

Study design     

Number of subjects (n)          

Types of treatment

Duration of coumarin

Main Outcomes

Conclusion

Ishida A et al. 50

Case report

1

Thrombolysis

-

Resolution

Idiopathic IJVT may cause cervical spontaneous spinal epidural haematoma

Serinken M. et al.52

Case report

1

IV antibiotics and LMWH; followed by oral coumarin

Not mentioned in article

Resolution

IJVT should be suspected in patient presenting with undiagnosed neck swelling

Snijders MP et al.51

Case report

1

-

-

-

IJVT as paraneoplastic syndrome in ovarian non-Hodgkin’s lymphoma

Chlumsky J and Havlin J.53

Case report

1

LMWH followed by oral coumarin

6 months

Resolution

Patient should be followed up for any sign of malignancy

Ilhan E et al.54

Case report

1

LMWH followed by long term oral anticoagulants and acetylsalicylic acid

Long term

Resolution

Paget-von Schroetter syndrome should be a differential diagnosis of effort induced upper extremity pain and swelling. Conservative non-operative treatment is acceptable and can be successfully used with favourable long-term outcomes

Pata YS et al. 55

Case series

2

Therapeutic dose of heparin followed by coumarin

Not mentioned

1 had complete resolution; 1 died due to occult malignancy

Spontaneous thrombophlebitis can be the first manifestation of an occult malignancy

De Casso C et al.21

Case series

4

IV heparin or LMWH followed by oral coumarin

6 months to long term

Resolution

Spontaneous thrombophlebitis can be the first manifestation of an occult malignancy

Di Micco P et al.56

Case report

1

Combined treatment (chemotherapy, and radiotherapy) associated with oral anticoagulation therapy

Not mentioned

Resolution

Spontaneous IJVT occurring as the first sign of  occult lung cancer

Khandekar AA et al.57

Case report

1

LMWH for 7 days followed by aspirin 150mg/day

-

Resolution

IJVT, caused by protein S deficiency, is usually good

Chen KH et al.58

Case report

1

Heparinisation and penicillin

-

Resolution

IJVT may be caused by occult malignancy

Unsal EE et al. 22

Case report

1

Subcutaneous Heparin (5000 IU bd) and IV antibiotic followed by long term oral coumarin

Long term

No recanalization of IJV

IJVT may be caused by occult malignancy

Van den Noortgate N et al.59

Case report

1

Heparin followed by oral coumarin

-

-

IJVT may be caused by occult malignancy

Kale US and Wright RG5

Case series

3

Long term oral coumarin

≥6 months

1 of 3 patients died due to newly diagnosed coexisting malignancy

IJVT can be attributable to a different pathology including discoid lupus erythematosus, antiphospholipid syndrome and metastatic malignancy

Kalan A et al.60

Case report

1

Heparin

-

Patient died 8 weeks after initial consultation

IJVT may be caused by occult malignancy

Holland AJ et al.61

Case report

1

-

-

-

IJVT may be the initial presentation of primary antiphospholipid syndrome

Table 1 Characteristics of studies that fulfilled our eligibility criteria. Authors et al., numbers of subjects/participants in each study group, types of treatment, type of statistical test used and main outcomes and conclusion
IJVT, internal jugular vein thrombosis; LMWH, low-molecular-weight heparin; N/A, not applicable

Further scrutiny of the articles revealed that only 2 out of the 15 articles are idiopathic spontaneous IJVT. Majority of the cases were treated with LMWH followed by oral coumarin for a period of 6 months.

Our experience

A 60-year-old woman was admitted by her general practitioner as an emergency to the ENT ward with a 5 day history of an enlarging right sided neck swelling that was initially associated with overlying redness and pain. Subsequently she developed dysphagia, odynophagia and had felt feverish the night prior to admission, there were no airway problems. There was no history of trauma or recent infection, nor was there any other significant past medical history.

On examination, her temperature was 37.5˚ and the rest of her vital signs were within normal range.  There was a tender, soft, diffuse swelling along the length of the right sternomastoid muscle. The overlying skin was mildly erythematous. No associated lymphadenopathy was palpable. Fibreoptic pharyngolaryngoscopy demonstrated hyperaemia and mild swelling of the epiglottis and arytenoids but no asymmetry and the vocal cords had full mobility. Initial laboratory investigations included a full blood count, renal and liver profile. An urgent ultrasound scan (U/S) was requested to investigate the nature of the neck swelling.

The patient’s laboratory results were within normal limits, except for a raised white cell count and deranged liver function tests, which were previously documented by the GP. The patient was commenced empirically on intravenous co-amoxiclav for a presumed infection. Doppler U/S showed a markedly distended occluded thrombosis of the right IJV. The thrombosis extended from the sternal manubrium to the mandible. The right subclavian and left IJV were both patent.  There was no evidence of an abscess or mass lesions in the neck.

Subsequent clotting screen and blood viscosity tests were within normal limits. The patient was referred to the haematology and vascular surgery departments for further evaluation of the IJV thrombosis. It was decided to treat the patient initially with low molecular weight heparin and then warfarin. Following assessment in a multidisciplinary team setting, it was concluded that the aetiology was likely to be a soft tissue infection. Blood cultures, a chest x-ray (CXR) and chest computed tomography (CT) were requested.

The CXR was reported to be normal. A breast examination and a CT of the chest and abdomen were carried out which both identified no abnormalities. This was performed to exclude a distant malignancy as an aetiological factor. Gastroenterology consultation was also sought due to her deranged liver function test results. Tests for pro-coagulant disorders and liver biopsy were normal.

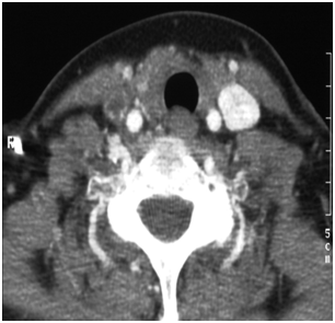
She was discharged home with a course of oral antibiotic and warfarin until her outpatient review. A follow-up CT scan performed 1month later failed to show resolution of the thrombosis with complete occlusion of the right IJV (Figure 2).

Figure 2 CT scan confirmation of right IJV thrombosis (arrow).

The patient remained on warfarin for a further 6 months after the event, and was then discontinued. She remained under regular review by the gastroenterologist to monitor her liver function.  The conclusion of all teams involved in this patient’s care was that this was an idiopathic IJV thrombosis. Underlying soft tissue infection was thought to be a possibility, given the clinical findings, but a definite diagnosis was never made.

Discussion

Internal Jugular Vein (IJV) thrombosis is an intraluminal thrombosis occurring anywhere from the intracranial IJV to the junction with the subclavian vein. It can present in many different ways so a high degree of suspicion is required. Our patient presented with a short history of unilateral tender neck swelling and her clinical investigations demonstrated a spontaneous thrombosis of her IJV. It is well-recognized from the literature that the nature of the veins in the neck makes them less susceptible to thrombosis than the extremities.3 It is a particularly rare condition which can often have a variety of aetiological factors. The causes of IJV thrombosis are numerous (Table 2) and this can make diagnosis particularly challenging.

Causes of IJV Thrombosis

References

Central Venous Catherterisation

5, 12, 29, 30, 33

Intravenous Drug Abuse

5

Post Neck dissection surgery

43-48

Deep neck infections

6, 21, 26

Lemierre Syndrome

40

Head and Neck Malignancy

41, 42

Coagulation Disorders

12, 36

Distant Malignancies

2, 3, 8, 21, 22, 40

Ovarian Hyperstimulation

9, 27, 28

Trauma

35

Post Tonsillectomy

34

Acute mastoiditis

37, 38

Acute Otitis Externa

39

Substernal Goitre

49

Idiopathic

26

Table 2 Causes of IJV Thrombosis

A classification system for spontaneous thrombosis has been suggested3 and it divides aetiologies into local and systemic factors. Local factors are those promoting thrombosis within a vein lumen at a given site e.g. endothelial injury, or venoconstriction slowing blood flow. Systemic factors describe alteration in the coagulation properties of blood. It is doubtful how useful this classification is but it certainly highlights the different precipitating factors towards thrombosis and subsequently the variation in aetiology.

The disease often presents with features mimicking a soft tissue neck infection, such as fever, neck swelling and pain and headache with associated leukocytosis. Rarely advanced disease can present with visual disturbance from increased intracranial pressure. Clinical suspicion for the condition is understandably therefore low. A small case study of 8 cancer patients (malignancies from a variety of primary sites, excluding head and neck) with IJV thrombosis in 20044 demonstrated that a neck mass was the most frequent presenting symptom and sign. However, central venous thrombosis presenting primarily as a neck swelling is relatively rare;5 particularly with increasing and effective use of antibiotics in infective cases masking the onset of local physical signs.6

Laboratory tests such as D-dimer, produced by fibrin degradation by plasmin, are raised in all thromboses and are non-specific in diagnosing IJV thrombosis. A positive result can indicate thrombosis but does not rule out other potential causes. Imaging is an important and useful investigation. In the past, one of the standard diagnostic tools was jugular venography. It has now been superseded by other forms of imaging but has proven useful in the diagnosis of vein thrombosis.7 Contrast venography is an invasive procedure and has many inherent risks such as allergic reaction, dislodgement of the clot result in dissemination of septic emboli and pulmonary embolism; the latter has an incidence of 5%.1,8,5 This is one of the reasons why this is now rarely used as a first line investigation. Ultrasound scan is a quick, non-invasive investigation and is used frequently in the management of several described case reports.4,9 Doppler U/S is a sensitive and safe imaging technique with the ability to demonstrate the loss of respiratory rhythm within the vein which has been shown to be useful in both diagnosis and follow up.10 However, U/S has been considered inferior to CT in several areas as a diagnostic tool.11 Ultrasound does not have the capacity to visualize accurately the surrounding tissues and in most cases, initial U/S is often followed by a CT scan to obtain a more detailed imaging. In some centres, contrast CT scanning has been favored as the first line investigation for patients with suspected IJV thrombosis.5 However, U/S is still used as initial imaging of choice due to low clinical suspicion of the disease in the initial setting, and the ease and availability of U/S in most departments.12 Several previous articles.13–16 and a more recent article by Kale et al.5 have demonstrated the potential benefits of CT scanning in their patient cohort including speed and reliability. However, there are no recent notable studies evaluating the benefits of CT scanning in IJV thrombosis. A recent meta-analysis17 tried to evaluate sensitivity and specificity of CT in diagnosis of patients with suspected deep vein thrombosis. They reported a high sensitivity (pooled estimate 95.9%) and specificity (pooled estimate 95.2%) comparable with ultrasound, but found there was too little research to evaluate the diagnostic accuracy of CT. Nevertheless U/S and CT both have high sensitivity and specificity for diagnosing thrombosis although as discussed earlier, CT scanning have added benefit of detailed imaging of surrounding tissues.18 In contrast, CT has the disadvantages of exposure to high dose radiation, cost and availability. Magnetic Resonance Imaging (MRI) is occasionally used for diagnosing central venous thrombosis. It has greater sensitivity to blood flow rates and has no radiation risk. A recent meta-analysis19 investigated the use of MRI in diagnosing of DVT. It showed that accuracy was similar to that of ultrasound with a sensitivity of 91.5% and a specificity of 94.8%. They concluded that MRI should not be used as a first line investigation primarily due to cost and inconvenience. Although not directly linked to IJV thrombosis there are significant similarities. A study from 1985,20 demonstrated the efficacy of MR imaging in jugular vein thrombosis. This study expressed reservations of its use in these cases, mainly due to cost and availability. However like CT, MRI provides better soft tissue definition compared to U/S, which is useful in establishing the underlying cause of thrombosis.21

This review has highlighted a lack of robust evidence comparing each of these different diagnostic imaging methods. This is unsurprising given that the condition is rare and obtaining patient numbers will always remain challenging. A further point is that once a diagnosis of IJV thrombosis is confirmed by imaging, further investigation to look for an aetiology should be initiated because of the risk of significant associated disease e.g. local or distant malignancy.22 This will depend on the clinical picture.

Treatment of IJV thrombosis should always include treating the primary cause. This discussion however will concentrate on treatment of the thrombosis. The main aim of treatment is not to resolve the clot but to prevent possible complications. These include pulmonary embolism and infected thrombophlebitis. A number of IJV thromboses go undiagnosed and cause no complications. Therefore the question remains as in whether all these cases require active treatment. A recent study consists of 546 patients with upper extremity DVT and IJV thrombosis23 had attempted to evaluate the morbidity and mortality associated with venous thrombosis. They found that patients with an isolated IJV thrombosis had an overall mortality at 2months of 29.6% but the mortality was relatively similar at 2 months for all the 3 groups (subclavian/axillary venous thrombosis, isolated IJV thrombosis and a combination of the two). They concluded that isolated IJV thrombosis should be treated as aggressively as upper extremity deep venous thrombosis. They also found that 5% of the upper extremity deep venous thrombosis patients would go on to develop a pulmonary embolism. Another recent cohort study24 looked at morbidity and mortality associated with the site of a thrombosis over a 5year period. In their study, they identified 21 patients with isolated IJV thrombosis and 61 patients with concomitant subclavian/axillary and IJV.  Fifty percent of their patients were treated with anticoagulation, around 40% received no anticoagulation and none underwent surgical intervention. They concluded that upper extremity DVT and IJV thrombosis have similar rates of pulmonary embolism. These two relatively large cohort studies had shown that active treatment should be given in all cases to avoid the risk of significant complications.

Documented use of anticoagulation in IJV thrombosis is evident in published literature. There have been minor changes in practice over the years, mainly with the increasing use of low molecular weight heparin. Some case reports describe the use of intravenous heparin,1,12,24 and others,5 the merits of low molecular weight heparin.  Anticoagulation with warfarin still seems to be the long term treatment of choice due to the risk of recurrence. The duration of warfarin therapy is controversial, but the consensus is 3-6 months. A double blinded study25 suggested that patients presenting for the first time with an episode of idiopathic venous thrombosis should receive anticoagulation for longer than 3months. However, despite anticoagulation, IJV thrombosis may still occur in warfarinised patient.12 To add, spontaneous resolution of IJV thrombosis in a patient presented with a neck abscess has been reported in the literature. The authors have implied that the use of anticoagulant may be unnecessary as this condition has been reported to resolve spontaneously.26 All anticoagulants carries significant morbidity, such as haemorrhage, and therefore the benefits and risks must be considered. Warfarin cannot be administered to pregnant woman because teratogenicity.27 Low molecular weight heparin is used to prevent and treat thrombus formation because it does not cross the placenta28 and treatment is advised to continue for the entire length of pregnancy.9 Ball et al.12 recommended treating patients with Factor V Leiden deficiency with intravenous heparin followed by long-term warfarin maintaining the INR between 2.5 and 3.0.

Treatment may be more complicated in the absence of a known cause. Although, antibiotics are used in the management of IJV thrombosis associated with an infection or where thrombophlebitis is involved,24 their role in the treatment of spontaneous IJV thrombosis is more difficult to evaluate. Antibiotics are often used primarily to treat the possibility of an associated infection. This needs to be ruled out with appropriate investigations such as white cell count and blood cultures. Nevertheless, in the absence of a cause, and with a suspicion of IJV thrombosis, antibiotics would seem appropriate to reduce the risk of further complications, particularly thrombophlebitis.6,29

Apart from medical treatment, there are reported cases of surgical30 and interventional management of IJV thrombosis. Surgical intervention is usually only required in extreme circumstances, such as infected thrombophlebitis24 Less invasive interventions such as superior vena cava filters used in upper extremity DVTs in patients who are unable to be anticoagulated and extension of thrombus despite anticoagulation.31 However, there is no report of its use in IJV thrombosis but should be considered as a potential management option in complicated or high risk cases. Other treatment reported in the literature includes catheter directed thrombolysis.32 A recent study33 evaluated the use of interventional procedures in the management of IJV thrombosis. The feasibility, efficacy and safety of mechanical thrombectomy, manual aspiration thombectomy and standard balloon dilatation, for the treatment of acute IJV thrombosis, were ascertained. They reported overall success in clearing thrombus and returning venous circulation, but did acknowledge that the study had small numbers.33

Conclusions

In conclusion, cases of true spontaneous IJV thrombosis are very rare. Unsurprisingly there is little published evidence to help guide the clinician when managing the disease. The evidence of treatment is diverse and drawn from experiences from individual clinicians. Large scale clinical trials for such rare conditions would not be efficacious or cost-effective and so are unlikely to occur.  However, from the literature, several important points remain consistent. First and foremost, early imaging should be considered if there is sufficient clinical suspicion of IJV thrombosis. Secondly, it is vital to establish the diagnosis early and initiate active treatment due to the significant morbidity and mortality associated with the condition. Thirdly, as with any medical condition in which there is a lack of evidence for its management, each case should be assessed individually and treatment should be tailored to the patient’s disease process. Last and not least, advice from other clinicians should be sought where necessary to obtain a consensus-view on the management of individual cases.

Acknowledgements

None.

Conflits of interest

The authors declare that there are no conflicts of interest.

References

  1. Cohen JP, Persky MS, Reed DL. Internal Jugular Vein Thrombosis. Laryngoscope. 1985;95(12):1478‒1482.
  2. Wilkin TD, Kraus MA, Lane KA, et al. Internal Jugular Vein Thrombosis Associated with Haemodialysis Catheters. Radiology. 2003;228(3):697‒700.
  3. Cheang PP, Fryer J, Ayoub O, et al. Spontaneous bilateral internal jugular vein thrombosis: a sign of metastasis. J Laryngol Otol. 2004;118(7):570‒572.
  4. Mamede RC, Resende e Almeida KO, de Mello-Filho FV. Neck mass due to thrombosis of the jugular vein in patients with cancer. Otolaryngol Head Neck Surg. 2004;131(6):968‒972.
  5. Kale US, Wight RG. Primary Presentation of spontaneous jugular vein thrombosis to the otolaryngologist – in three different pathologies. J Laryngol Otol. 1998;112(9):888‒890.
  6. Yau PC, Norante JD. Thrombophlebitis of the internal jugular vein secondary to pharyngitis. Arch Otolaryngol. 1980;106(8):507‒508.
  7. Carpenter JP, Holland GA, Baum RA, et al. Magnetic resonance venography for the detection of deep venous thrombosis: comparison with contrast venography and duplex Doppler ultrasonography. J Vasc Surg. 1993;18(5):734‒741.
  8. Liu KT, Chan HM, Lin TJ. An Unusual Presentation of Metastatic Gastric Adenocarcinoma- Acute Onset of Right Neck Swelling. J Formos Med Assoc. 2007;106(7):589‒591.
  9. Sinha A, Karkanevatos A, Saravanan R, et al. Need for an urgent ultrasound Examination for Neck Lump. Laryngoscope. 2006;116(5):833‒834.
  10. Gaitini D, Kaftori JK, Pery M, et al. High resolution real-time ultrasonography: diagnosis and follow up of jugular and sub-clavian thrombosis. J Ultrasound Med. 1988;7(11):621‒627.
  11. Albertyn LE, Alcock MK. Diagnosis of Internal Jugular Vein Thrombosis. Radiology. 1987;162(2):505‒508.
  12. Ball E, Morris-Stiff G, Coxon M, et al. Internal jugular vein thrombosis in a warfarinised patient: a case report. Journal of Medical Case Reports. 2007;1:184
  13. Albertyn LE, Alcock MK. Diagnosis of Internal Jugular Vein Thrombosis. Radiology. 1987;162(2):505‒508.
  14. Fishman EK, Gayler BW, Magid D, et al. External jugular vein thrombosis: CT demonstration. J Comput Assist Tomogr. 1985;9(3):580‒581.
  15. Mehrar GL, Colley DP, Clark RA, et al. Computed tomographic demonstration of cervical abscess and jugular vein thrombosis. A complication of intravenous drug abuse in the neck. Arch Otolaryngol. 1981;107(5):313‒315.
  16. Patel S, Brennan J. Diagnosis of internal jugular vein thrombosis by computed tomography. Journal of Computer Assissted Tomography. 1981;5(2):197‒200.
  17. Thomas SM, Goodacre SW, Sampson FC, et al. Diagnostic value of CT for deep vein thrombosis: results of a systematic review and meta-analysis. Clin Radiol. 2008;63(3):299‒304.
  18. Chowdhury K, Bloom J, Black MJ, et al. Spontaneous and non-spontaneous internal jugular vein thrombosis. Head Neck. 1990;12(2):168‒173.
  19. Sampson FC, Goodacre SW, Thomas SM, et al. The accuracy of MRI in diagnosis of suspected deep vein thrombosis: systematic review and meta-analysis. Eur Radiol. 2007;17(1):175‒181.
  20. Braun IF, Hoffman JC, Malko JA, et al. Jugular venous thrombosis: MR imaging. Radiology. 1985;157(2):357‒360.
  21. De Casso C, Ghosh S, Timms M, et al. Superior mediastinal and internal jugular venous thrombosis presenting to the otolaryngologist. J Laryngol Otol. 2005;119(1):40‒45.
  22. Unsal EE, Karaca C, Ensari S. Spontaneous internal jugular vein thrombosis associated with distant malignancies. Eur Arch Otorhinolaryngol. 2003;260(1):39‒41.
  23. Hingorani A, Ascher E, Markevich N, et al. Risk factors for mortality in patients with upper extremity and internal jugular deep venous thrombosis. J Vasc Surg. 2005;41(3):476‒478.
  24. Ascher E, Salles-Cunha S, Hingorani A. Morbidity and Mortality Associated with Internal Jugular Vein Thromboses. Vasc Endovascular Surg. 2005;39(4):335‒339.
  25. Kearon C, Gent M, Hirsh J, et al. A comparison of three months of anticoagulation with extended anticoagulation for a first episode of idiopathic venous thromboembolism. N Engl J Med. 1999;340(12):901‒907.
  26. Lin CH, Chou JC, Lin TL, et al. Spontaneous resolution of internal jugular vein thrombosis in a Salmonella neck abscess patient. J Laryngol Otol. 1999;113(12):1122‒1124.
  27. Schanzer A, Rockman CB, Jacobowitz GR, et al. Internal Jugular Vein Thrombosis in association with the ovarian stimulation syndrome. J Vasc Surg. 2000;31(4):815‒818.
  28. Ellis MH, Nun IB, Rathaus V, et al. Internal jugular vein thrombosis in patients with ovarian hyperstimulation syndome. Fertil Steril. 1998;69(1):140‒142.
  29. Leon Jr LR, Patel J, Labropoulos N, et al. Excision of Internal Jugular Vein for Catheter-Related Thrombophlebitis. Ann Vasc Surg. 2006;20(1):117‒119.
  30. Saito T, Asano M, Nomura N, et al. Surgical Treatment for Infected Thrombus in the Superior Vena Cava Using an Off-Pump Venoatrial Shunt. Ann Thorac Surg. 2008;85(3):1113‒1114.
  31. Ascher E, Hingorani A, Tsemekhin B, et al. Lessons learned from a 6- year clinical experience with superior vena cava Greenfield filter. J Vasc Surg. 2000;32(5):881‒887.
  32. Chung R, Home MK, Mayo DJ, et al. Pulse Spray treatment of subclavian and jugular vein thrombosis with recombinant tissue plasminogen activator. J Vasc Interv Radiol. 1996;7(6):845‒851.
  33. Tajima H, Murata S, Kumazaki T, et al. Successful Interventional Treatment of Acute Internal Jugular Vein Thrombosis. AJR Am J Roentgenol. 2004;182(2):467‒469.
  34. Nix PA. Jugular thrombosis following tonsillectomy. J Laryngol Otol. 2001;115(3):238‒239.
  35. Duke BJ, Ryu RK, Brega KE, et al. Traumatic bilateral jugular vein thrombosis: case report and review of literature. Neurosurgery. 199741(3):680‒683.
  36. Gunasekaran S, Anthony R, Woodhead CJ. Bilateral internal jugular vein thrombosis in a child with protein S deficiency. J Laryngol Otol. 2005;119(8):661‒664.
  37. Redaelli de Zinis LO, Gasparotti R, Campovecchi C, et al. Internal jugular vein associated with acute mastoiditis in a pediatric age. Otol Neurotol. 2006;27(7):937‒944.
  38. Masterson T, El-Hakim H, Magnus K, et al. A case of the otogenic variant of Lemierre's syndrome with atypical sequelae and a review of pediatric literature. Int J Pediatr Otorhinolaryngol. 2005;69(1):117‒122.
  39. Hile LM, Gibbons MD, Hile DC. Lemierre syndrome complicating otitis externa: case report and literature review. J Emerg Med. 2012;42(4):e77‒e80.
  40. Chirinos JA, Lichtstein DM, Garcia J, et al. The evolution of Lemierre syndrome: report of 2 cases and review of the literature. Medicine (Baltimore). 2002;81(6):458‒465.
  41. Sack Jr GH, Levin J, Bell WR. Trousseau’s syndrome and other manifestation of clinical disseminated coagulopathy in patients with neoplasm: clinical, pathologic and therapeutic features. Medicine (Baltimore). 1977;56(1):1‒37.
  42. Taib NA, Hisham AN. Follicular thyroid carcinoma with direct tumour extension into the great cervical veins and right atrium: is transcervical thrombectomy a safe option? Asian J Surg. 2007;30(3):216‒219.
  43. Cappiello J, Piazza C, Berlucchi M, et al. Internal jugular vein patency after lateral neck dissection: a prospective study. Eur Arch Otorhinolaryngol. 2002;259(8):409‒412.
  44. Brown DH, Mulholland S, Yoo JH, et al. Internal jugular vein thrombosis following modified neck dissection: implication for head and neck flap reconstruction. Head Neck. 1998;20(2): 169‒174.
  45. Prim MP, de Diego JI, Fernandez-Zubillaga A, et al. Patency and flow of the internal jugular vein after functional neck dissection. Laryngoscope. 2000;110(1):47‒50.
  46. de Bree R, van den Berg FG, van Schaik C, et al. Assessment of patency of the internal jugular vein following neck dissection and microvascular flap reconstruction by power doppler ultrasound. J Laryngol Otol. 2002;116(8):622‒626.
  47. Quraishi HA, Wax MK, Granke K, et al. Internal jugular vein thrombosis after functional and selective neck dissection. Arch Otolaryngol Head Neck Surg. 1997;123(9):969‒973.
  48. Docherty JG, Carter R, Sheldon CD, et al. Relative effect of surgery and radiotherapy on the internal jugular vein following functional neck dissection. Head Neck. 1993;15(6):553‒556.
  49. Lonnebakken MT, Pedersen OM, Andersen KS, et al. Incidental detection of internal jugular vein thrombosis secondary to undiagnosed benign substernal goiter. Case Report Med. 2010;645193:4.
  50. Ishida A, Matsuo S, Niimura K, et al. Cervical spontaneous spinal epidural hematoma with internal jugular vein thrombosis. J Neurosurg Spine. 2011;15(2):187‒189.
  51. Snijders MP, Morsink M, van Spronsen DJ, et al. Internal jugular vein thrombosis as paraneoplastic syndrome of primary ovarian non-Hodgkin’s lymphoma. Eur J Gynaecol Oncol. 2010;31(6):675‒678.
  52. Serinken M, Karcioglu O, Korkmaz A. Spontaneous internal jugular vein thrombosis: a case report. Kaohsiung J Med Sci. 2010;26(12):679-681.
  53. Chlumsky J, Havlin J. Spontaneous jugular vein thrombosis. Acta Cardiol. 2009;64(5):689‒691.
  54. Ilhan E, Ture M, Yilmaz C, et al. Subclavian vein thrombosis extending into the internal jugular vein: Paget-von Schroetter Syndrome. J Clin Med Res. 2009;1(3):178‒180.
  55. Pata YS, Unal M, Gulhan S. Internal jugular vein thrombosis due to distant malignancies: two case reports and literature review. J Laryngol Otol. 2008;122(3):318‒320.
  56. Di Micco P, Coppola L, Diadema MR, et al. Internal jugular vein thrombosis as first sign of metastatic lung cancer. Tumori. 2003;89(4):448-451.
  57. Khandekar AA, Kumbhalkar SD, Salkar HR, et al. Protein S deficiency presenting as deep vein thrombosis – a case report. Angiology. 2003;54(5):605‒608.
  58. Chen KH, Chen YJ, Liaw CC, et al. Left internal jugular vein thrombosis due to a lung tumour. Chang Gung Med J. 2003;26(6): 458‒462.
  59. Van den Noortgate N, Michielsen W, Afschrift M, et al. Spontaneous internal jugular vein thrombosis: primary manifestation of a colorectal adenocarcinoma in a very old woman. Acta Clin Belg. 2000;55(2): 94‒96.
  60. Kalan A, Tariq M, Harar RP, Gatland D. Spontaneous internal jugular vein thrombosis and recurrent laryngeal nerve palsy: a rare simultaneous presentation of an occult malignant neoplasm. J Laryngol Otol. 1996;110(12):1166‒1168.
  61. Holland AJ, Childs PA, Beilin J, et al. Spontaneous thrombosis of the internal jugular vein as the initial presentation of the primary antiphospholipid syndrome. Aust N Z J Surg. 1996;66(12):854‒855.
Creative Commons Attribution License

©2015 Shakeel, et al. This is an open access article distributed under the terms of the, which permits unrestricted use, distribution, and build upon your work non-commercially.