Submit manuscript...
Journal of
eISSN: 2379-6359

Otolaryngology-ENT Research

Case Report Volume 2 Issue 6

Internal jugular phlebectasia: a case report and literature review

Nasser Al Tamami, Khalil Al Macki

Department of Otolaryngology Armed Forces Hospital Sultanate of Oman

Correspondence: Nasser Al Tamami Department of Otolaryngology Head Neck surgery Armed Forces Hospital Sultanate of Oman

Received: April 08, 2015 | Published: June 11, 2015

Citation: Al Tamami N, Al Macki K. Internal jugular phlebectasia: a case report and literature review. J Otolaryngol ENT Res. 2015;2(6):190-193. DOI: 10.15406/joentr.2015.02.00045

Download PDF

Abstract

Introduction: Internal jugular Phlebectasia is a rare finding seen with presentation of intermittent neck swelling increased in response to valsalva manoeuvre. It is usually presented early childhood, but it is diagnosed most frequently late due to its rarity. We present a case of right internal jugular phlebectasia followed by discussion regarding its presentation, diagnostic materials and management based on literature review.

Case Report: A ten year old boy with no particular past medical history presented with a history of right neck intermittent swelling since birth, which became more prominent during the last 4years. Physical examination showed a non-pulsatile right side neck mass increasing in size by valsalva manoeuvre. Computed Tomography neck showed dilatation of right internal jugular vein which confirmed the diagnosis of Right Internal Jugular Phlebectasia.

Conclusion: Internal jugular phlebectasia is a rare condition, usually diagnosed late due to its rarity and lack of knowledge. It can be diagnosed clinically by demonstrating valsalva manoeuvre and looking for the neck swelling to occur. The best confirmatory investigation is Ultrasound combined with Colour Doppler Ultrasonography.

Keywords: phlebectasia, valsalva manoeuvre, swelling, manometric study, ultrasound, colour doppler ultrasonography

Introduction

Phlebectasia is a term given to describe an abnormal dilatation of a venous wall anywhere in the body. The term most commonly used in the literature is Phlebectasia, however; other terminology has been used such as, venous aneurysm, venous cyst, venous ectasia, venectacia,1‒3 venoma.3 Internal jugular Phlebectasia is a rare finding seen with presentation of intermittent neck swelling increased in response to valsalva manoeuvre and any other similar action. It is usually presented early childhood, but it is diagnosed most frequently late due to its rarity. Most of the cases managed conservatively, and rarely surgical management is indicated.

Case report

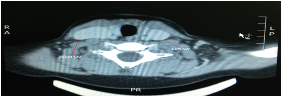
A ten year old male with no particular past medical or surgical history presented with history of right neck intermittent swelling since long time. This swelling became more prominent the past 4years. Parents noticed this swelling since early childhood, which was according to them increasing in size during coughing, straining, and any other Valsalva like manoeuvre. This swelling was occasionally associated with non-alarming shortness of breath while sleeping, especially when the child has an upper respiratory tract infection. He has been frequently seen in different hospitals for the same, and the parents were worried because of no definite diagnosis was made. On physical examination, he was generally healthy boy, with no dysmorphic features. Neck examination at rest showed no abnormality, however; on performing valsalva manoeuvre the swelling started to appear in the right side of the neck anterior triangle and posterior to the SCM muscle (Figure 1). On palpation there was fullness in the right side anterior triangle of the neck which was pushing the SCM slightly anteriorly. The mass was about 4x5cm, smooth surface with well-defined anterior surface, not warm, not tender, and not pulsatile. The mass completely disappeared when the child is relaxed. On the other side of the neck there was no swelling appreciated (Figure 2). Computed tomography revealed dilatation of right internal jugular vein, more toward the inferior part of the vein. There was no mass causing compression or obstructing the drainage of the vein (Figure 3).

Figure 1 Right neck mass appears when the child performs Valsalva manoeuvre.

Figure 2 Left side neck.

Figure 3 Contrast Enhanced CT scans of the neck: Right Internal Jugular Vein Phlebectasia.

In the absence of significant complications, the observation and follow up was recommended as for management of this case.

Discussion

Internal jugular Phlebectasia is a rare finding seen with presentation of intermittent neck swelling increased in response to valsalva manoeuvre and any other similar action. It is usually presented early childhood, but it is diagnosed most frequently late due to its rarity. The exact cause for this condition is unknown, however many theories has be mentioned in the literature. El Fakiri et al.,4 has attributed internal jugular phlebectasia to the hypertension of the superior vena cava system during inspiration, distribution of the valves in the superior vena cava,5 or anomalies of the vein wall. Paleri et al.,5 assumed that intermittent increase in intra thoracic pressure over the long period of time causes jugular phlebectasia. However, Takayuki Momooa et al.,6 using a manometric study of intra thoracic pressure in an un anesthetized patient, found that the increase in intra thoracic pressure was not transmitted to the dilated vein, although it was transmitted to other surrounding vein. The exact aetiology of the disease is unknown, but we agree with Rossi A et al.,7 and Yu-Tang Chang et al.,8 that a congenital defect of the internal jugular vein wall, in addition to a gradual decrease in the elasticity of the venous wall might be the cause. Asthma can be a predisposing factor to internal jugular phlebectasia based on 3 cases reported by Kwok et al.,9 in asthmatic children. It can present in association with other disease, David JP et al.,10 reported a case of internal jugular phlebectasia in Menke’s disease. Internal jugular phlebectasia can exist along with duplication of internal jugular vein. Extremely rare case of Horner’s syndrome due to jugular venous ectasia demonstrated by computed tomography and intravenous digital subtraction angiography as reported by Inci S et al.,11 In literature review of 25 cases reported in English Language (Table 1), we can notice that the condition most commonly present with intermittent neck swelling, which become prominent with valsalva manoeuvre or any other similar action. However, only one case found in literature present interestingly with paroxysmal cough and incidentally found to have neck swelling as reported by Padmanabhan K et al. 12 A part from 2 cases reported in adult (54yrs) and elderly (70), most commonly it presents in childhood and adolescent (24 cases, Table 1), age rang (7months-15years), mean age of 7.55years. Out of the 26 cases (Table 1), after excluding the 2 cases in which the gender was unknown, we can see that there is no significant difference between male and female 11:13 cases. Regarding the site, it is obvious that the right side is most commonly involved (22/26, ~ 85%). Many theories have been proposed to explain why right side involvement is higher, such as those proposed by Mustafa D et al.,13 right internal jugular vein is larger than the left in most of the people, right brachiocephalic vein is in direct continuity with the superior vena cava, and no valves in right brachiocephalic vein as compared with left. The diagnosis can be achieved clinically by asking the patient to demonstrate Valsalva Manoeuvre; as a result the swelling will appear (Table 2). Several radiological imaging procedures can confirm the diagnosis, such as Ultrasound (US), Colour Doppler Ultrasonography (Colour DUS), CT, MRI, MRA, or Venogram. USG with colour flow studies is the suitable tool for the confirmation as it is widely available, quick, non-invasive, and inexpensive.14‒18 However, CT or MRI can be used to look for any masses or obstructing lesions might be related to the dilatation. In most of the cases shown in Table 2, USG & Color DUS used successfully to in confirmation. Management of internal jugular phlebectasia is conservative unless the patient is symptomatic where the surgery is indicated.19‒23

Author

Age

Sex

Side

Presenting Symptom

Dhillon MK et al.13

8 yrs

Male

Right

Neck swelling, increased by Valsalva

R. Indudharan et al.14

7 yrs

Male

Right

Neck swelling, increased by straining

K-L Kwok et al.9

A- 10 yrs

Male

Right

Neck swelling, increased by Valsalva

 

B- 8 yrs

Male

Right

Neck swelling, increased by Valsalva, associated with shortness of breath

 

C- 8 yrs

Female

Right

Neck swelling, increased by Valsalva, straining

Andrea Rossi et al.7

2 yrs

Female

Right

Intermittent swelling, increased by Valsalva decreased at rest

Vinidh Paleri et al.15

A- 10 yrs

Female

Right

Neck swelling, increased by Valsalva, straining

 

B- 3 yrs

Male

Right

Neck swelling, increased by Valsalva, crying

Zuhal Erdem et al.5

A- 6 yrs

Female

Right

Neck swelling, increased by Valsalva, shouting, crying, sneezing, coughing

 

B- 10 yrs

Female

Right

Neck swelling, increased by Valsalva, and talking, associated with shortness of breath,

Mustafa Deniz YILMAZ1

15 yrs

Female

Right

Intermittent swelling, increased by Valsalva, speaking  loud or straining, decreased at rest

V.R.Rajendran et al.16

10 yrs

Female

Right

Intermittent swelling, increased by Valsalva, crying and coughing, decreased at rest

David J. Pricea et al.10

A- 16 mon

Male

Right

Neck swelling increased by crying

 

B- 7 mon

?

Left

Neck swelling increased by crying

 

C- 17 mon

?

Left

Neck swelling increased by crying

K.Padmanabhan et al.12

15 yrs

Female

Right

Paroxysmal cough
Incidental neck swelling increased by straining

Abdulla S et al.17

6 yrs

Male

Right

Neck swelling increased by crying, coughing
Decreased at rest

Takayuki Mooma et al.6

70 yrs

Female

Right

Neck swelling

Margarita Escudero et al.18

23 mon

Male

Bilateral

Neck swelling increased by crying

Andrea Mv Souzaa et al.19

10 yrs

Female

Right

Neck swelling increased by straining, crying and phonation

Yu-Tang Chang et al.8

8 yrs

Female

Right

Intermittent swelling, increased by Valsalva, coughing, straining, and crying
Decreased at normal breathing

Srivastava et al.20

10 yrs

Female

Right

Neck swelling, increased by Valsalva, straining

Godwin I Ogbole et al.21

54 yrs

Female

Right

Intermittent swelling, increased by Valsalva

Filiz Aydogan et al.22

14 yrs

Male

Bilateral

Intermittent swelling, increased by Valsalva, straining

M.-M. El Fakiri et al.4

6 yrs

Male

Right

Neck mass, increased by Valsalva, associated with pain

Table 1  Literature review of 25 cases reported in English Language

Author

Diagnosis

Confirmation

Management

Dhillon MK et al.13

Clinically: Valsalva

Doppler USG, CT, Venogram

Conservative: Observation

R.Indudharan et al.14

Clinically: Valsalva

Doppler USG, CT with contrast

Conservative: Observation

K-L Kwok et al.9

A-Clinically: Valsalva

CT, Doppler USG

Conservative: Observation

 

B-Clinically: Valsalva

USG

Conservative: Observation

 

C-Clinically: Valsalva

Doppler USG

Conservative: Observation

Andrea Rossi et al.7

Clinically: Valsalva

Color Doppler USG, MRA

Conservative: Observation

Vinidh Paleri et al.15

A- Clinically: Valsalva

Color Doppler USG

Conservative: Observation

 

B- Clinically: Valsalva

USG

Conservative: Observation

Zuhal Erdem et al.5

A- Clinically: Valsalva

USG, Color Doppler USG

Conservative: Observation

 

B- Clinically: Valsalva

USG, Color Doppler USG

Conservative: Observation

Mustafa Deniz YILMAZ1

Clinically: Valsalva

Color Doppler USG

Surgery to prevent complications

V.R.Rajendran et al.16

Clinically: Valsalva

USG, Color Doppler USG

Conservative: Observation

David J. Price et al.10

A- Clinically: Valsalva

USG, MRI

Conservative: Observation

 

B- Clinically: Valsalva

USG

Conservative: Observation

 

C- Clinically: Valsalva

CT, MRA

Conservative: Observation

K. Padmanabhan et al.12

Clinically: Valsalva

USG, CT, Doppler USG

Excision and ligation: because it was symptomatic; paroxysmal cough

Abdulla S et al.17

Clinically: Valsalva

Doppler USG

Conservative: Observation

Takayuki Mooma et al.6

Clinically: Valsalva

Doppler USG, CT

Conservative: Observation

Margarita Escudero et al.18

Clinically: Valsalva

Bilateral cervical echography

Conservative: Observation

Andrea Mv Souzaa et al.19

Clinically: Valsalva

USG, CT, MRI

Surgical excision : because of persistent tenderness

Yu-Tang Chang et al.8

Clinically: Valsalva

USG, MRI

Conservative: Observation

Srivastava et al.20

Clinically: Valsalva

USG, Doppler USG

Conservative: Observation

Godwin I Ogbole et al.21

Clinically: Valsalva

Doppler USG, CT

Surgery because of cosmetic reason

Filiz Aydogan et al.22

Clinically: Valsalva

USG, Color Doppler USG

Conservative: Observation

MM El Fakiri et al.4

Clinically: Valsalva

CT scan with contrast

Conservative: Observation

Table 2 The diagnosis can be achieved clinically by asking the patient to demonstrate Valsalva Manoeuvre; as a result the swelling will appear.

Conclusion

Internal jugular phlebectasia is a rare condition; usually diagnosed late due to it is rarity and lack of knowledge. It can be diagnosed clinically by demonstrating valsalva manoeuvre and looking for the neck swelling to occur. The best confirmatory investigation is US combined with Color Doppler USG.

Acknowledgments

None.

Conflicts of interest

Author declares there are no conflicts of interest.

Funding

None.

References

  1. Yilmaz MD, Kahveci OK. Jugular Phelebectacia. Kocatepe Tip Dergisi. 2003;1:71‒74.
  2. Bowdler DA, Singh SD. Internal Jugular Phlebectasia. Int J Pediatr Otorhinolaryngol . 1986;12(2):165‒171.
  3.  Paleri V, Gopalakrishen S. Jugular Phlebectasia: theory of pathogenesis and review of literature. Int J Pediatr Otorhinolaryngol. 2001;57(2):155‒159.
  4. El Fakiri MM, Hassani R, Aderdour L, et al. Congenital internal jugular phlebectasia. Eur Ann Otorhinolaryngol Head Neck Dis. 2011;128(6):324‒326.
  5. Erdem CZ, Erdem LO, Camuzcuoglu I. Internal Jugular Phlebectasia: Usefulness of color Doppler Ultrasonography in the diagnosis. J Trop Pediatr. 2002;48(5):306‒310.
  6. Momooa T, Johkura K, Kuroiwab Y. Jugular phlebectasia: A manometric study in an unanesthetized patient. J Clin Neurosci. 2008;15(8):914‒916.
  7. Rossi A, Tortori-Donati P. Internal jugular vein phlebectasia and duplication: case report with magnetic resonance angiography features. Pediatr Radiol. 2001;31(2):134.
  8. Chang YT, Lee JY, Wang JY, et al.Transaxillary Subfascial Endoscopic Approach for Internal Jugular Phlebectasia in a child. Head Neck. 2010;32(6):806‒811.
  9. Kwok KL, Lam HS, Nq DK. Unilateral right-sided internal jugular phlebectasia in asthmatic children. J Paediatr Child Health. 2000;36(5):517‒519.
  10. Price DJ, Ravindranathb T, Kaler SG. Internal jugular phlebectasia in Menke’s disease. Int J Pediatr Otorhinolaryngol. 2007;71(7):1145‒1148.
  11. Inci S, Bertan V, Kansu T, et al.Horner’s syndrome due to jugular venous ectasia. Childs Nerv Syst. 1995;11(9):533‒535.
  12. Padmanabhan K, Vaishali B, Indudharan R. Internal jugular vein ectasia-a rare cause of paroxysmal cough. J Laryngol Otol. 2007;121(8):742‒744.
  13. Dhillon MK, Leong YP. Jugular venous aneurysm- a rare cause of neck swelling. Singapore Med J. 1991;32(2):177‒178.
  14. Indudharan R, Quah BS, Shuaib IL. Internal jugular phlebectasia- an unusual cause of neck swelling. Ann Trop Paediatr. 1999;19(1):105‒108.
  15. Paleri V, Gopalakrishnan S. Jugular phlebectasia: theory of pathogenesis and review of literature. Int J Pediatr Otorhinolaryngol. 2001;57(2):155‒159.
  16. Rajendran VR, Vasu CK, Regi George AN, et al.Unilateral Internal Jugular Phlebectasia. Indian J Pediatr. 2004;71(8):751‒753.
  17. Abdulla SA, Aldabagh MH. Congenital phlebectasia of the internal jugular vein (case report). Dohuk Medical Journal. 2008;2(1):155‒159.
  18. Lirio ME, Pecellin ID, Castano MT, et al.Phlebectasia as a cause of intermittent cervical mass. International Journal of Pediatric Otorhinolaryngology Extra. 2008;3(1):3‒9.
  19. Souza AM, Guerraa AFM, Lima TMA, et al.Jugular phlebectasia: A cause of neck swelling-Case report. International Journal of Pediatric Otorhinolaryngology Extra. 2008;3(4):158‒160.
  20. Srivastava P, Upadhyaya V, Gangopadhyay A, et al.Internal Jugular Phlebectasia in children: a Diagnostic Dilemma. The Internet Journal of Surgery. 2009;19(1).
  21. Ogbole GI, Irabor AE, Adeoye PO, et al.Internal jugular phlebectasia in an African adult. BMJ Case Rep. 2010.
  22. Aydoğan F, Taştan E, Aydin E, et al.Bilateral internal jugular vein phlebectasia. Ear Nose Throat J. 2011;90(3):E1‒E3.
  23. Som PM, Shugar JM, Sacher M, et al.Internal jugular vein phlebectasia and duplication: CT features. J Comput Assist Tomogr. 1985;9(2):390‒392.
Creative Commons Attribution License

©2015 Al, et al. This is an open access article distributed under the terms of the, which permits unrestricted use, distribution, and build upon your work non-commercially.