Submit manuscript...
Journal of
eISSN: 2379-6359

Otolaryngology-ENT Research

Forum Article Volume 9 Issue 4

Intra-Capsular Tonsillotomy by Ultrasonic Method

Adnan Qahtan Khalaf,1 Ali Hashoosh Abdullah,2 Feryal Shakir Taher,3 Emad Malik Abdalrida1

1ENT Specialist Laser Specialist in Otolaryngology, Iraq
2ENT Specialist Head of ENT Department in Al Yarmouk teaching hospital MOH, Iraq
3ENT Specialist, Iraq

Correspondence: Adnan Qahtan Khalaf ENT Specialist Laser Specialist in Otolaryngology Al Yarmouk teaching hospital MOH, Iraq, Tel +964 770 084 3208

Received: November 26, 2017 | Published: December 13, 2017

Citation: Khalaf AQ, Abdullah AH, Taher FS, Abdalrida EM (2017) Intra-Capsular Tonsillotomy by Ultrasonic Method. J Otolaryngol ENT Res 9(4): 00296. DOI: 10.15406/joentr.2017.09.00296

Download PDF

Abstract

This descriptive prospective study, (non - controlled clinical trial) was conducted during period of February 2016 to February 2017 in AL-Jadryia private hospital total of 80 patients age range (8-64years old) Gender distribution was 55% male, 45 % female. The patients where compelling from Tonsil hyperplasia, Chronic tonsillitis, Recurrent acute tonsillitis not responding to medical treatment. Surgical Ultrasound (Intra-capsular tonsillotomy) technique was done to them under L.A

Aim of study:

  1. To evaluated subjective & Objective improvement of using ultra sound volumetric tissue reduction technique (intra-capsular Tonsillotomy) in patient with Chronic Tonsillitis & Tonsillar Hyperplasia.
  2. Evaluated of safety and effectiveness of surgical ultra sound in management of Chronic Tonsillitis and Tonsillar Hyperplasia.

Patient and methods: The patients where compelling from Tonsil hyperplasia, Chronic tonsillitis, Recurrent acute tonsillitis not responding to medical treatment. Surgical Ultrasound tonsilletomy technique was done to them under L.A; the patient was placed in semi sitting position.

Use of 10% xylocaine spray as regional anesthesia for 7minute. Ultrasound generator until adjusted 44 - 55 intensity. The probe was introduced through tonsillar crypt while the a devise is activated, probe introduce for few second until the shrinkage has been occurred before leaving out probe, circular movement on entry point to ensure good hemostasis for few second (5-10sec.) 4-6 entrance in different site of tonsil may applied according to the size and the shrinkage that had been occurred (A phenomenon known as cavitations).

Results: There is minimal to no bleeding and pain , Slough can be seen in the first week after that disappear ,slight shrinkage in the size immediate (intra-operation) but can be seen obvious after 6weeks, there is subjective improvement in the snoring as per patient partners.

Conclusion: The results suggest that surgical Ultrasound tonsillectomy technique is an efficient & well tolerated procedure for the management of chronic tonsillitis and tonsillar hyperplasia.

Introduction

Today's physicians are paying more attention to enlarged tonsils, realizing that this upper airway obstruction leads to obstructive sleep disordered breathing in children, the cause of a myriad of behavioral and health problems. The conventional treatment for this medical condition is complete removal of the tonsils (total tonsillectomy) by a variety of surgical procedures (cold dissection, electrocautery, microbipolar, and harmonic scalpel). In their search for a less invasive, but equally effective technique, a team of ear, nose, and throat specialists revisited an old procedure, tonsillotomy, or partial tonsillectomy, but in this case, performed with contemporary technology. The procedure involves a reduction in the tonsil size, partially shaving them away using an endoscopic microdebrider, a very small, high-speed device that shaves soft tissue. The partial tonsillectomy eliminates the obstructive portion of the tonsil while preserving the tonsillar capsule. The capsule integrity is maintained, and a natural biologic dressing is left in place over the pharyngeal muscles, preventing them from injury, inflammation, and infection. The procedure results in less post-operative pain, a more rapid recovery, and perhaps fewer delayed complications.1

Tonsillotomy is partial Tonsillectomy where eliminate the obstructive portion of Tonsil, while preserving the Tonsillar capsule. The capsule integrity is maintained and natural biologic dressing is left in place over the pharyngeal muscles, preventing them from injury, inflammation and Infection.

Only the medial part of the tonsil is re-moved. It requires that the (well-perfused) lymphatic tissue is resected, and that the remaining crypts remain open to the oropharynx.2,3 Active lymphatic tissue, with secondary follicles and crypts, is left in the tonsil fossae.4 Tonsillotomy can be done with most dissecting and coagulating methods. The most common method is laser tonsillotomy and radiofrequency tonsillotomy.

Tonsil hyperplasia

Tonsil hyperplasia, also known as (idiopathic) tonsillar hypertrophy, refers to abnormal enlargement of the palatine tonsil.5,6 It has to be distinguished from physiological pediatric palatine tonsil hyperplasia7,8 which is not a sign or consequence of recurrent inflammation.9,10 Also, children with tonsil hyperplasia do not suffer from acute tonsillitis11,12 or middle ear infections.13 A pediatric tonsil is only "pathologically" hyperplastic if snoring (with or with-out obstructive sleep apnea) or rarely dysphagia14 or even more rarely dysphonia occur.15

Grade of tonsillar hyperplasia:

Grade 1: Tonsils hidden within tonsillar pillars.

Grade II: Tonsils, extend the pillars.

Grade III: Tonsils, are beyond the pillars.

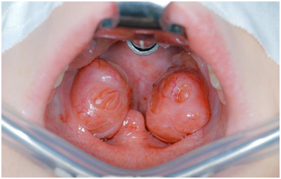
Grade IV: Tonsils, extend to midline (Figure 1).

Figure 1 Tonsillar Hyperplasia.

Chronic tonsillitis

Also called “chronic (hyperplastic) tonsillitis”, it is not well-defined and thus should not be used.16 It is better to speak of (chronic) recurrent tonsillitis,17,18 because true chronic tonsillitis with persistent symptoms lasting >4 weeks with adequate treatment and recovery of the mucosa (as in rhinosinusitis) does not exist.

Recurrent acute tonsillitis

Also called “recurrent tonsillitis” or “recur-rent throat infections”,19 this refers to recur-rent bouts of acute tonsillitis. In contrast to a single attack of acute tonsillitis, it is usually caused by many different bacterial pathogens20,21 and flare up again a few weeks after cessation of antibiotic therapy.22 Depending on the frequency and severity of such episodes.

Indications for tonsil surgery

Surgery is done for infections, to relieve air-way obstruction, for halitosis and for diagnosis when a tumor is suspected. Surgery for recurrent tonsillitis depends on its frequency and severity, and the presence of additional diseases (antibiotic allergies, immunosuppression and PFAPA syndrome).

Paradise criteria for tonsillectomy

Paradise (1984) reported that tonsillectomy significantly lowers the frequency of severe recurrent sore throats in children aged 3-15yrs. Most published guidelines incorporate the so-called Paradise criteria for tonsillectomy:

  1. 7 episodes of tonsillitis per year in one year or,
  2. 5 episodes of tonsillitis per year in 2 consecutive years or,
  3. 3 episodes of tonsillitis per year in 3 consecutive years.23

Techniques of tonsillectomy

Intracapsular techniques may use the microdebrider, bipolar, radiofrequency ablation (which can also be used to remove the entire tonsil), and carbon dioxide laser. Either extracapsular or intracapsular tonsillectomy can be performed for thepediatric patient with obstructive sleep apnea, but only extracapsular techniques should be used for patients undergoing tonsillectomy as a result of tonsillitis or peritonsillar abscess.

In addition, tonsils can be ablated using a laser or monopolar radiofrequency (somnoplasty). In a cooperative adult in a clinic setting. Harmonic scalpel, Bipolar radiofrequency ablation.

The harmonic scalpel Figure 2 can be used to perform an extracapsular tonsillectomy (Ethicon Endo-Surgery Inc. Cincinnati, OH). It uses ultrasonic energy to vibrate its blade at 55,000 cycles per second. The vibration transfers energy to the tissue, providingSimultaneous cutting and coagulation, so, typically, no additional instrument is needed for hemostasis. The components of the device include a generator, a hand piece, and a disposable blade. A high-frequency power supply provides energy to the hand piece. The blade oscillations dissect tissues by creating intra-cellular cavities as pressure waves are conducted through the tissues. The expansion and contraction of these cavities results in the lysis of cellular connections, resulting in tissue dissection (Figure 2).

Figure 2 Harmonic/ultrasonic scalpel.

Indication of tonsillitomy

  1. Tonsillar hyperplasia
  2. Foetor (halitosis )
  3. Recurrent detritus (debri) in tonsillar crypt.4

Surgical Ultrasound

Back ground and physics

Ultrasound energy is a mechanical power, it is not electrical, and the mechanism of separation and detachment of tissue is based on formation of cavities through high frequency vibration which is in conjunction with low pressure at the end of the ware glide cause explosion of cell and tissue separation in various level (A phenomenon known as cavitation’s photo destruction effect).2

Ultrasound frequency

Ultrasound were discovered in 1880 via the piezoelectric effect A quartz crystal vibrate when it gets to be part of an electrical circle , The frequency of vibrations of the crystal is set by electrical circuit , this crystal vibration second depend on the set value the electrical circuit delivers.2 In 1920 the first therapeutic use of ultrasound occurred when ultrasound were use to warm muscular tissue.3

Surgical ultrasound tonsillar tissue reduction: Is a minimally invasive surgical option that can reduce tissue volume in a precise, target with minimal impact on surrounding tissue.

Ultrasound probe is unipolar which insert in the Tonsillar crypt submucosally and induce explosion of cell and tissue separation in various level (A phenomenon known as cavitation).

The advantage of Surgical ultrasound are

  1. The advantage of surgical ultrasound, not electrical
  2. Less postoperative pain / discomfort
  3. Less postoperative risk of bleeding
  4. Minimal damage to adjacent tissue

Patient and method

This descriptive prospective study, (non - controlled clinical trial) was conducted during period of February 2016 to February 2017 in AL-Jadryia private hospital total of 80 patients age range (8 - 64years old) Gender distribution was 55% male, 45 % female. The patients where compelling from Tonsil hyperplasia, Chronic tonsillitis, Recurrent acute tonsillitis not responding to medical treatment. Surgical Ultrasound tonsilletomy technique was done to them under L.A. after describing the procedure to the patient and each patient had to sign a consent form.

Inclusion criteria

  1. Age: 8 - 64years old
  2. Gender: Both sexes
  3. Side: Bilateral tonsillar hypertrophy
  4. Foetor: halitosis
  5. Reconvert detritus (debris) in tonsillar crypts
  6. Patient unfit for surgery.

Exclusion criteria

  1. Patient below age of 8years
  2. Pregnancy
  3. Bleeding disorder
  4. Uncontrolled D .M.

Procedure

D & A UltraSurge II Device was used in this study (Figure 3).

Table 1 shows the commercial information of the device.

Figure 3 Shows the D&A Ultrasurg Device.

No.

Item Description

Details

1

Dimensions

30 x 27 x 10 cm

2

Generator

4,33 Kg

3

Hand piece – Acoustical transducer

157 gr

4

Electric supply Voltage

230V AC

5

Frequency

50-60 Hz

6

Electric power

max 40W

7

Power Cord

Detachable cable 1,50 m (3×1.5mm)

8

Electrical Safety

Class I, Type B

9

Protection category solid object and water ingress

IP 31

10

Functioning environment temperature

15° - 35°C

11

Relative humidity

30 - 90%

12

Transport and storage conditions

0° - 40°C

13

Unit’s operating frequency

48,50 KHz (+ 0,5 KHz)

14

Maximum continuous operation for every operating cycle

400 sec

15

Minimum pause duration needed after maximum continuous operation

200 sec

16

device certification

CE0653

Table 1 Commercial information of D&A ULTRASURG II

The patient was placed in semi sitting position.

Use of 10% xylocaine spray as regional anesthesia for 7minute.

Ultrasound generator until adjusted 44 - 55 intensity. As shown in Figure 4.

The probe was introduced through tonsillar crypt while the a devise is activated , probe introduce for few second until the shrinkage has been occurred before leaving out probe , circular movement on entry point to ensure good hemostasis for few second (5-10sec.)

(4-6) entrance in different site of tonsil may applied according to the size and the shrinkage that had been occurred. As show in Figure 4 & 5.

Figure 4  Probe used for Tonsilltomy.

Figure 5 Adjacent of the device.

Sterilization of probe was done by immersion of probe in the cidex, also can be done by auto-sterilization by immersion of probe in the N/S for 2minutes with the activation of the device.

Mechanism of action

The tonsillar tissue is heated interstitially, subsequent Scarring cause shrinkage of lymphoid tissue. No tissue is removed and large part of lymphoid allegedly remain function,2 Figure 6.

Figure 6 probe inserted in the tonsillar tissue.

Post - operative assessment

The patients were observed for about 1hour for any bleeding or other complication.

All the patients were discharge home on the following management.

Acetaminophen (Panadol) 500mg on need.

Eating soft cold food on 1st day.

Advised to follow his or her normal daily activities.

Augmintin tab

All patients were assessed post - operatively for

Post- operative pain, bleeding 1 st week Grade of Tonsil hypertrophy

Result

Complication during and after surgery, as shown in the tables below, there is minimal to no bleeding and pain, Slough can be seen in the first week after that disappear, slight shrinkage in the size immediate (intra-operation) but can be seen obvious after 6weeks, there is subjective improvement in the snoring as per patient partners.

Bleeding

Paste hear Table 2

Duration

No.

Description

Percentage %

Intra Operative

4

Oozing

5%

1st Week

0

No

0%

2nd Week

0

No

0%

Table 2  Bleeding follow-up

Pain

Paste hear Table 3

Duration

No.

Description

Percentage %

Intra - Operative

2

Mild

2.50%

1st Week

10

Sore throat

12.50%

2nd Week

0

No

0%

One Mouth

0

No

0%

Table 3 Pain follow-up

Slough

Immediate white distortions of Tonsillar, after 3 - 4day slough of tonsillar tissue appear, all of them disappear later (Table 4).

Duration

No.

Slough

Percentage %

Intra – Operative

60

Mild

75%

1st Week

40

Mild

50%

2nd Week

0

No

0%

One Mouth

0

No

0%

Table 4 Sloughing follow-up

Size

About 80% of the patient included in this study shows reduce in the size of the tonsil.

1st post- operative look are one week is mild reduce in size in comparsim to the pre -operative.

There is obvious reduce in size at 3 mouth later (Table 5).

Duration

No.

Size

Intra – Operative

60

5-Jan

1st Week

50

5-Jan

2nd Week

40

4-Jan

One Mouth

40

4-Jan

Table 5 Size follow-up

Snoring

Both subjective &objective improvement in snoring was observed post – operatively the patient was very satisfy.

Infection and debris

Most of patient did not complain of acute infection in the 1st 6 mouth.

Debris, only 2 of patient had once time recurrent.

Discussion

There is great debate about the relative merits of the various tonsillectomy techniques published in many studies, with many more ongoing that compare the techniques. The existing literature consistently reports that the intracapsular (partial) techniques result in less postoperative pain, however, the degree of lessened pain continues to be much debated.24‒26 In addition; there is a small risk of tonsil regrowth and the necessity for an additional procedure with the intracapsular techniques. Of the extracapsular techniques, “cold” tonsillectomy results in less postoperative pain compared with an electrocautery or” hot” tonsillectomy; however, the latter procedure is typically faster and has less intraoperative blood loss.27

The equipment involved withvarious techniques varies in price, although the largest cost factor in any tonsillectomy is theoperating time.

Conclusion

Appreciation of the indications and the use of new tonsilletomy techniques and technologies, as well as an awareness of the economic ramifications of their adoption, will ultimately provide the best care for tonsillectomy patients.

The results suggests that surgical Ultrasound tonsillectomy technique is an efficient & well tolerated procedure for the management of chronic tonsillitis and tonsillar hyperplasia.

Acknowledgment

None.

Conflicts of interest

Author declares there are no conflicts of interest.

Funding

None.

References

  1. Partial Tonsillectomy found to be Safer, as Effective, and Less Painful than Complete Removal, Article ID. 2002;31688.
  2. Scherer H, Fuhrer A, Hopf J. Current status of laser surgery in the area of the soft palate and adjoining regions. Laryngorhinootologie. 1994;73(1):14‒20.
  3. Koltai PJ, Solares CA, Mascha EJ, et al. Intracapsular partial tonsillectomy for tonsillar hypertrophy in children. Laryngoscope. 2002;112(8 Pt 2 Suppl 100):17‒19.
  4. Reichel O, Mayr D, Winterhoff J, et al. Tonsillotomy or tonsillectomy?--a prospective study comparing histological and immunological findings in recurrent tonsillitis and tonsillar hyperplasia. Eur Arch Otorhinolaryngol. 2007;264(3):277‒284.
  5. Semberova J, Rychly B, Hanzelova J, et al. The immune status in situof recurrent tonsillitis and idiopathic tonsillar hypertrophy. Bratisl Lek Listy. 2013;114(3):140‒114.
  6. Perry M, Whyte A. Immunology of the tonsils. Immunol Today. 1998;19(9):414‒421.
  7. Goldberg S, Shatz A, Picard E, et al. Endoscopic findings in children with obstructive sleep apnea: effects of age and hypotonia. Pediatr Pulmonol. 2005;40(3):205‒210.
  8. Reichel O, Mayr D, Winterhoff J, et al. Tonsillotomy or tonsillectomy?--a prospective study comparing histological and immunological findings in recurrent tonsillitis and tonsillar hyperplasia. Eur Arch Otorhinolaryngol. 2007;264(3):277‒284.
  9. Ericsson E, Lundeborg I, Hultcrantz E. Child behavior and quality of life before and after tonsillotomy versus tonsillectomy. Int J Pediatr Otorhinolaryngol. 2009;73(9):1254‒1262.
  10. Stelter K, Ihrler S, Siedek V, et al. 1-year follow-up after radiofrequency tonsillotomy and laser tonsillotomy in children: a prospective, double-blind, clinical study. Eur Arch Otorhinolaryngol. 2012;269(2):679‒684.
  11. Sarny S, Ossimitz G, Habermann W, et al. The Austrian tonsil study 2010--part 1: statistical overview. Laryngorhinootologie. 2012;91(1):16‒21.
  12. Braun T, Dreher A, Dirr F, et al. Pediatric OSAS and otitis media with effusion. HNO. 2012;60(3):216‒219.
  13. Gronau S, Fischer Y. Tonsillotomy. Laryngorhinootologie. 2005;84(9):685‒690.
  14. Fischer Y, Gronau S. Identification and evaluation of obstructive sleep apnea in children before adenotonsillectomy using evaluative surveys. Laryngorhinootologie. 2005;84(2):121‒135.
  15. Stuck BA, Gotte K, Windfuhr JP, et al. Tonsillectomy in children. Dtsch Arztebl Int. 2008;105(49):852‒860.
  16. Burton MJ, Glasziou PP, Chong LY, et al. Tonsillectomy versus non-surgical treatment for chronic / recurrent acute tonsillitis. Cochrane Database Syst Rev. 2000;11:CD001802.
  17. Georgalas CC, Tolley NS, Narula A. Recurrent throat infections (tonsillitis). BMJ Clin Evid, pii. 2007;0503.
  18. Jensen A, Fago-Olsen H, Sorensen CH, et al. Molecular mapping to species level of the tonsillar crypt microbiota associated with health and recurrent tonsillitis. PLoS One. 2013;8(2):e56418.
  19. Swidsinski A, Göktas O, Bessler C, et al. Spatial organisation of microbiota in quiescent adenoiditis and tonsillitis. J Clin Pathol. 2007;60(3):253‒260.
  20. Jensen JH, Larsen SB. Treatment of recurrent acute tonsillitis with clindamycin. An alternative to tonsillectomy? Clin Otolaryngol Allied Sci. 1991;16(5):498‒500.
  21. Paradise JL, Bluestone CD, Bachman RZ, et al. Efficacy of tonsillectomy for recurrent throat infection in severely affected children. Results of parallel randomized and nonrandomized clinical trials. N Engl J Med. 1984;310(11):674‒683.
  22. Chan KH, Friedman NR, Allen GC, et al. Randomized, controlled, multisite study ofintracapsular tonsillectomy using low-temperature plasma excision. Arch Otolaryngol Head Neck Surg. 2004; 130(11):1303‒1307.
  23. Chang K. Randomized controlled trial of Coblation versus electrocautery tonsillectomy. Otolaryngol Head Neck Surg. 2007;132(2):273‒280.
  24. Hall DJ, Littlefield PD, Birkmire-Peters DP, et al. Radiofrequency ablation versuselectrocautery in tonsillectomy. Otolaryngol Head Neck Surg. 2004;130(3):300‒305.
  25. Leinbach RF, Markwell SJ, Colliver JA, et al. Hot versus cold tonsillectomy: Asystematic review of the literature. Otolaryngol Head Neck Surg. 2003;129(4):360‒364.
  26. Hanasono MM, Lalakea ML, Mikulec AA, et al. Perioperative steroids in tonsillectomyusing electrocautery and sharp dissection techniques. Arch Otolaryngol Head Neck Surg. 2004;130(8):917‒921.
  27. Perkins J, Dahiya R. Microdissection needle tonsillectomy and postoperative pain: Apilot study. Arch Otolaryngol Head Neck Surg. 2003;129(12):1285‒1288.
Creative Commons Attribution License

©2017 Khalaf, et al. This is an open access article distributed under the terms of the, which permits unrestricted use, distribution, and build upon your work non-commercially.